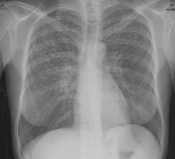
Qual a lesão clássica da TB?
Radiografia demonstrando lesão cavitária em ápice de pulmão direito.
Quando suspeitar?
Tosse > 03 semanas
(Sintomáticos Respiratórios)
Etiopatogenia?
Mycobacterium tuberculosis:
Outros: M. africanuns; MAC; bovis…
Transmissão?
Aerossóis.
As gotículas caem ao solo, desidratam e formam os núcleos de Wells.
Ventou, tchau!
Quais os fatores predisponentes do adoecimento?
Ex.: população privada de liberdade.
Imunocompetente?
Radiografia
O bacilo é fagocitado pelos macrófagos e, em sendo intracelular facultativo, começa a se proliferar dentro da célula.
Pode chegar ao hilo pulmonar.
Resposta imune específica –> Reação granulomatosa –> nódulo de Ghon (90% dos indivíduos).
Obs.: geralmente aparece no lobo inferior.
Quando ocorre o primeiro contato?
Infância.
Como se dá a TB primária?
Após o primeiro contato.
1 - Pode chegar no hilo, formar lesão nodular (linfadenopatia), fechar brônquio e via aérea - atelectasia.
2 - O nódulo cresce, cresce, cresce… Explode e forma duas consolidações contralaterais (uma em ápice e outra em base) - imagem em escada da “pneumonia tuberculosa”.
3 - Pode haver derrame pleural.
Voltinha pelo corpo… (Fígado, SNC… pulmão novamente, por via sanguínea): TB Miliar! (Não está nos alvéolos)
Geralmente ocorre nos imunodeprimidos e crianças.


TB Miliar.

TB Miliar.
Forma pós-primária…
Habitualmente representada pela TUBERCULOSE CAVITÁRIA!!
Maior pressão de oxigênio alveolar: lobo superior (lobo direito*).
Diagnóstico?
Baciloscopia do escarro!!!
02 amostras
Se baciloscopia negativa?
(S = 80%)
Se pacientes não expectoram…
(Pode estar presente na saliva)
Escarro induzido - nebulização com solução salina hipertônica
Broncoscopia + lavado.
Método molecular.
Sugere existência de resistência…
Método molecular.
E a cultura?
Quanto tratar?
OU
E o PPD?
A criança ganha 15/40 pontos.
Tratamento:
RIPE (02 meses)
Rifampicina + Isoniazida + Pirazinaminda + Etambutol
+
RI (04 meses)
Obs.: agora está tudo num fármaco só.
Exceções:
1 - Em crianças, a gente evita usar o etambutOLHO
As crianças podem não perceber a perda da acuidade visual
2 - SNC - Faz-se a segunda etapa por sete meses + corticoide
3 - TB multirresistente:
SELTZ
S = Estreptomicina
E = Etambutol
L = Levofloxacino
T = Terizidona
Z = Pirazinamida
S(5)ELTZ por 02 meses + S(3)ELTZ por 04 meses + ELT por 12 meses.
Quem mata mesmo o bicho?
Rifampicina
Isoniazida
Quem considerar multirresistente?
A baciloscopia pode demorar 03-04 meses pra negativar.
Só considerar SE CULTURA DEMONSTRANDO!!!
(Dados clínicos não ajudam).
Quando pensar?
Efeitos colaterais…
Isoniazida
Neuropatia periférica
Tratamento: piridoxina (B6)
Efeitos colaterais…
Rifampicina
Urina avermelhada
Efeitos colaterais…
Pirazinamida
Hiperuricemia