Qual o agente etiológico da tuberculose?
Bacilo de Koch ou Mycoplasma tuberculosis
Quais as condições clínicas necessárias para que um portador do BK infecte outro indivíduo?
Deve haver o contato entre um bacilífero e um paciente suscetível
Quais as características epidemiológicas de uma infecção por TB? Fale também sobre a primoinfecção.
É uma doença URBANA
Após a primoinfecção pelo BK, quais os cenários possíveis com este paciente infectado?
Quais os tipos de TB mais relevantes epidemiologicamente?
Fale sobre características epidemiológicas da TB pulmonar primária
Fale sobre características clínicas da TB pulmonar primária
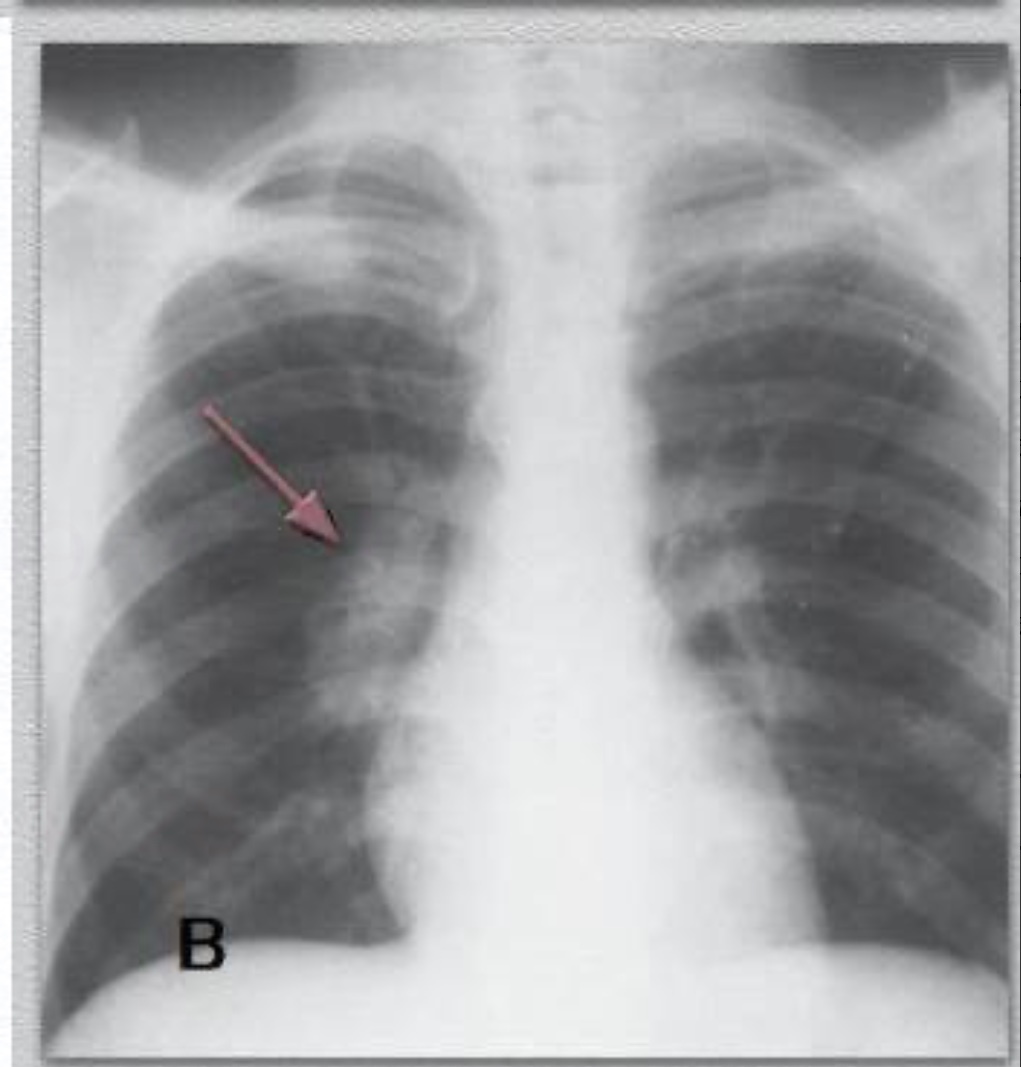
Como você interpreta esta imagem de um pct pediátrico com suspeita de TB?

Adenopatia hilar unilateral
Qual uma complicação da TB pulmonar primária?
Em que cenários ela acontece com mais frequência?
TB Miliar
Como você interpreta esta imagem em um paciente pediátrico com suspeita de TB?

Rx de Tx com micronódulos pulmonares bilaterais, típicos de TB miliar
Fale sobre características epidemiológicas da TB pulmonar Pós-primária
Fale sobre características clínicas da TB pulmonar pós-primária
Qual uma complicação da TB pulmonar pós-primária?
Bola fúngica por Aspergillus (dentro de uma cavitação já formada)
Como diagnosticar uma TB pulmonar em um adulto?
Lembrando que 2 dos 3 critérios= Já pode tratar!
Como avaliar um escarro na condução de um caso suspeito de TB?
Pode ser avaliado por 3 métodos:
Como diagnosticar uma TB pulmonar em uma criança?
Qual a TB extrapulmonar mais comum no Brasil?
E a mais comum em pacientes HIV+?
TB Extrapulmonar
Cite características da TB ganglionar
Acomete cadeias linfonodais cervical/submandibular/supraclavicular, geralmente de forma unilateral, gerando inflamação e fístula caseosa.
Frequentemente a cultura deste material fistulizado demonstra o BAAR
Fale sobre as características do líquido extraído de uma TB pleural e como diagnosticá-la
Quem está mais suscetível a uma TB meníngea?
Crianças não vacinadas com BCG e pacientes imunodeprimidos
Quais as características de uma TB meníngea?
É a forma mais sequelante de tuberculose
Qual o arsenal terapêutico padrão para tratamento de TB?
RIPE
Qual o esquema terapêutico básico para tratamento de tuberculose?
Qual o esquema terapêutico para tratamento de tuberculose meníngea ou osteoarticular?