Tuberculosis Flashcards

(44 cards)

1
Q

Sme Cavitario

Causas (14)

A
  1. TBC y otras micobacterias
  2. Klebsiela
  3. S. aureus
  4. Nocardia
  5. Legionela
  6. Absceso pulmonar
  7. Carcinoma epidermoide necrosado
  8. Mtx pulmonar
  9. Infarto pulmonar
  10. Micosis oportunistas HIV
  11. Hidatidosis
  12. Silicosis
  13. Vasculitis (Wegener, linfomatoide)
  14. Malf quisticas
How well did you know this?
1
Not at all
2
3
4
5
Perfectly
2
Q

Sme Cavitario - Síntomas (6)

A
  1. Tos cronica
  2. Disnea
  3. Hemoptisis o Vomica
  4. Fiebre (a veces)
  5. Dolor cronica y permanente
  6. Sme Impregnacion TBC
How well did you know this?
1
Not at all
2
3
4
5
Perfectly
3
Q

Sme Cavitario - Signos (4)

A

Perdida de peso
Febriculas vespertinas
Sudoresis nocturna
Expectoracion hemoptoica

How well did you know this?
1
Not at all
2
3
4
5
Perfectly
4
Q

Sme Cavitario - EF Inspeción

A

Disminución de la expansion toracica del lado afectado.
Torax adelgazado.

How well did you know this?
1
Not at all
2
3
4
5
Perfectly
5
Q

Sme Cavitario - EF Palpación (2)

A

Disminución de excursion inspiratorioa de bases y vertices.

Vibraciones vocales:
* Aumentadas: cuando hay condensacion pericavitaria
* Disminuídas: cavernas superficiales sin condensacion pericavitaria

How well did you know this?
1
Not at all
2
3
4
5
Perfectly
6
Q

Sme Cavitario - EF Percusión

A

Hipersonoro o timpanico (cuando cavernas vacías)

Mate o submate en lobulos inferiores (ocupado por liquidos, simula una condensacion)

How well did you know this?
1
Not at all
2
3
4
5
Perfectly
7
Q

Sme Cavitario - EF Auscultación

A

MV disminuídos
Soplo cavitario o anforico
Broncofonia
Pectoriloquia y/o afonia
Tríada de Laenec (pectorriloquia, soplo cavitario y gorgoteo)
Estertores subcrepitantes

How well did you know this?
1
Not at all
2
3
4
5
Perfectly
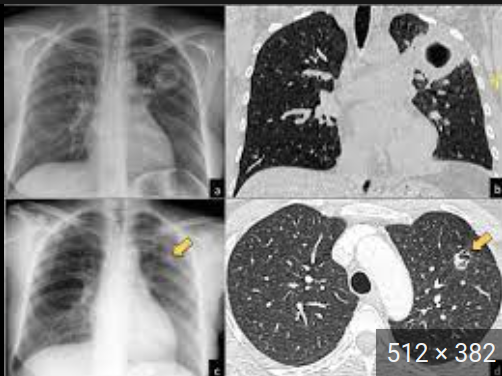
8
Q

Sme Cavitario - Rx Tx

A

Cavidad (region radiolucida) con proceso inflamatorio pericavitario, generalmente en regiones apicales.

OBS: no toda TBC es cavitada

How well did you know this?
1
Not at all
2
3
4
5
Perfectly
9
Q

TBC - Definición y Agente Causal

A

Enfermedad infecto-contagiosa de transmision respiratoria causada por el Mycobacterium tuberculosis.

Puede afectar cualquier región del cuerpo, en especial los pulmones (rico en O²).

Bacilo de Koch: es un bacilo aerobio intracelular obligado y de crecimiento lento. Es clasificado como acido-alcohol resistente (BAAR) y que se tiñe con tecnica de Ziehl-Neelsen.

How well did you know this?
1
Not at all
2
3
4
5
Perfectly
10
Q

TBC - Clínica

A

Tos cronica con expectoracion
Puede tener hemoptisis o no
Febricula vespertina
Sudoracion nocturna
Perdida de peso
Inapetencia
Adinamia, cansancio

Región endemica: Pensar en TBC a todo pcte con tos > 2 semanas

How well did you know this?
1
Not at all
2
3
4
5
Perfectly
11
Q

Grupos de riesgo para TBC (7)

A
  1. Contacto con baciliferos
  2. HIV
  3. DBT
  4. Inmunosuprimjidos
  5. Adictos a drogas o alcohol
  6. Población carceraria
  7. Profesionales de salud
How well did you know this?
1
Not at all
2
3
4
5
Perfectly
12
Q

TBC - Fisiopato de la Primoinfeccion

A
  1. Los bacilos llegan a los alveolos por las VA
  2. Son fagocitados por macrofagos alveolares
  3. Se desarrolla una alveolitis
  4. Si la persona es inmunocompetente generalmente hay control del sistema inmune y la TBC se torna latente y asintomatica.
  5. Si no hay suceso en controlar los bacilos puede se desarrollar la enfermedad primaria.
How well did you know this?
1
Not at all
2
3
4
5
Perfectly
13
Q

TBC 1ria

A

TBC 1ria: es el desarrollo de la enfermedad directamente a partir de la primoinfeccion, donde el organismo no logró controlar la proliferacion.

Evolución:
1. Los bacilos se proliferan en los macrofagos alveolares
2. Se forman pequeñas lesiones en lobulo medio con rapida diseminacion a ganglios regionales, formando el complejo primario de Gohn.
1. En seguida puede curarse o progresar aun más.
1. Si cura: queda un area esteril con cicatriz
1. Si progresa: hay necrosis licuefactiva y caseum con bacilos en interior, que se comunica con bronquio, se evacua y forma una cavidad.

How well did you know this?
1
Not at all
2
3
4
5
Perfectly
14
Q

Que es el Complejo Primario de Gohn

A

Lesion característica de TBC 1ria y que esta constituida de:
* Lesiones pulmonares (generalmente lobulo medio)
* Adenomegalias

How well did you know this?
1
Not at all
2
3
4
5
Perfectly
15
Q

TBC Post-primaria o 2ria

A

Es la TBC del adulto, que ocurre por reinfeccion endógena o nueva infeccion a partir de otra persona bacilífera.

  • Reinfeccion endógena: ocurre a partir de bacilos de una lesion primaria que pueden reactivarse por inmunodepresion.
How well did you know this?
1
Not at all
2
3
4
5
Perfectly
16
Q

TBC Post-primaria o 2ria - Hallazgos radiologicos

A

La caverna tuberculosa la lesión fundamental.
Están rodeadas de zonas de consolidación y zonas de fibrosis en parches.
Evoluciona a un síndrome de retracción hemitorácica.
Afecta más frecuentemente a los segmentos apicales y posteriores de los lóbulos superiores, o los segmentos superiores de lóbulos inferiores.

How well did you know this?
1
Not at all
2
3
4
5
Perfectly
17
Q

TBC Extra-pulmonar

Sitios afectados (6)

A
  1. Laringe y bronquios: ulceración mucosa y granulomas con disfonía, y expectoración hemoptoica.
  2. Ganglios: sobre todo los de la zona del cuello con alta tendencia a la fistulización (escrófula).
  3. Articulaciones: afecta a las grandes articulaciones que cargan peso, como rodilla y cadera.
  4. Hueso: provoca mal de Pott afectando a vértebras dorsales o lumbares y más raramente a cervicales.
  5. Riñón: se presenta con piuria y hematuria con orina estéril.
  6. SNC: se puede presentar con una meningitis tuberculosa a líquido claro, con frecuente afectación de los pares craneanos visuales. También puede provocar la presencia de tuberculomas a nivel cerebral.
How well did you know this?
1
Not at all
2
3
4
5
Perfectly
18
Q

TBC Miliar

A

Se produce por la diseminación hematógena.

Rx Tx: pequeños nódulos del tamaño de un grano de mijo diseminados en ambas playas pulmonares.

Dx: se confirma con punción pulmonar y biopsia.

19
Q

Metodología de Estudio en TBC

A
  1. Sospecha clínica
  2. PPD
  3. Rx Tx (frente y perfil)
  4. Baciloscopía (3 muestras)
20
Q

Que es la PPD y para que sirve?

A

Prueba de Proteina Purificada (Mantoux)

Usada para Dx de TBC.

21
Q

Como se hace la PPD?

A
  1. Se pone por inyeccion intradermica la proteina purificada.
  2. Se evalua a las 48-72h la roncha:

POSITIVO:
* Con BCG > 10mm
* Inmunosuprimidos > 5mm

NEGATIVO:
* < 10mm

22
Q

Baciloscopía

Características del Examen y Resultados

A

Negativo: sin bacilos observados

(+) 10-99 bacilos en 100 campos
(++) 1-10 bacilos en 50 campos
(+++) > 10 bacilos en 20 campos

De preferencia con 3 muestras de días diferentes.
Se hace a todo sintomático respiratorio: paciente con tos y expectoración por más de 2 semanas.
Método de tinción: Ziehl Neelsen

23
Q

Rx Tx (3 patrones comunes)

A

Típica: alta probabilidad > 75%. Lesiones intersticiales y/o acinares confluentes, en segmentos posteriores de lóbulos superiores, cavitaciones, etc.

Atípica: Probabilidad intermedia entre 26-75%. Opacidades en lóbulos medios o inferiores, lesiones apicales de actividad indeterminada u opacidades difusas no miliares.

Negativa: Baja probabilidad < 25%. Radiografía de tórax normal o calcificaciones nodulares.

24
Q

Dx Presuntivo y de Certeza

A
  • Presuntivo: cuadro y epidemiologia compatible, pero no es posible dicho aislamiento (baciloscopía).
  • De certeza: Baciloscopia de esputo, cultivo (Lowestein-Jensen) y pruebas de sensibilidad.
25
Contactos del paciente | Quienes son, clasificación (3) y metodología de estudio (5)
Los contactos son todas las personas expuestas o relacionadas con el caso índice. Se clasifican en: * **Alto riesgo**: contacto diario > 6h o personas inmunocomprometidas expuestas independientemente de la frecuencia del contacto. * **Mediano riesgo**: contacto diario < 6h * **Bajo riesgo**: contactos esporádicos. ## Footnote Metodología de Estudio: 1. Anamnesis 2. EF 1. PPD 1. Rx tórax 1. Posible profilaxis
26
# Contactos del Paciente Quien debe realizar la Profilaxis Primaria?
**Contactos de Alto Riesgo:** personas sanas < 35 años y que sean contactos estrechos (> 6h/día), o inmunodeprimidos. Los contactos que resulten “negativos” se sugiere posponer la quimioprofilaxis y repetir la PPD 3 meses después. En contactos “positivos” se debe cumplir el tratamiento completo y regular.
27
# Contactos del Paciente Profilaxis Primaria - Como se hace?
**Isoniacida** 5 mg/kg/día en adultos Niños 5-10 mg/kg/día (sin sobrepasar los 300 mg) Ante casos de resistencia o alergia: * Reemplazar por **Rifampicina** diario 10mg/Kg durante 4 meses | Se debe evaluar el riesgo/beneficio, hepatotoxicidad.
28
Tratamiento del Paciente Bacilífero | Fármacos de primera linea utilizados (5)
1. **Isoniacida** 1. **Pirazinamida** 1. **Rifampicina** 1. **Etambutol** 1. **Estreptomicina**
29
Isoniacida
H **Isoniacida** 300 mg/día * Bactericida * Inhibe sintesis acido micolico
30
Pirazinamida
Z **Pirazinamida** 500 mg/día * Bactericida * Inhibe sintesis acido micolico * Es hepatotoxico e hiperuricemico.
31
Rifampicina
R **Rifampicina** 600mg/día * Bactericida en fase de replicación activa. * Tiene buena penetración a pulmón, hígado, bilis, vesícula y orina. * Penetra muy bien las meninges inflamadas. * Puede ingresar en los fagocitos y destruir a bacterias intracelulares. * Produce una coloración anaranjada en la orina, lo que se utiliza como una manera de controlar si el paciente está cumpliendo el tratamiento.
32
Etambutol
E **Etambutol** 15mg/kg/día * Bacteriostático * Alta capacidad de difusión intramacrofágica * Inhibe la síntesis de arabinogalactano que forma parte de la pared de las micobacterias. * Produce neuritis óptica e hiperuricemia (50%).
33
# Tratamiento del Paciente Bacilífero Fases del Tratamiento
Debe ser precoz, intensivo, combinado, prolongado y supervisado: 1. **Fase intensiva o esterilizante:** 2 meses de isoniacida, pirazinamida, rifampicina y etambutol en forma diaria (total de 60 tomas). 2. **Fase de consolidación:** 4 meses de isoniacida + rifampicina en forma diaria (total de 120 tomas).
34
GCC en Tto TBC
Los corticoides solo están indicados en: * Pericarditis * Meningitis * Pediátricos con importantes masas ganglionares que comprimen la vía aérea, distrés respiratorio, enfisema o enfermedad parenquimatosa severa que no se resuelve. | Se recomienda una dosis de Prednisona 0,5mg/kg/día por 30 días.
35
Fármacos de segunda línea (14)
1. kanamicina 1. amikacina 1. capreomicina 1. rifabutina 1. rifapentina 1. ácido paraaminosalicílico 1. etionamida, 1. protionamida 1. cicloserina 1. terizidona 1. ciprofloxacina 1. ofloxacina 1. levofloxacina 1. moxifloxacina | Reacciones adversas graves o casos de resistencia.
36
Estudios a pedir antes de iniciar el tto | Hepatotoxicidad
A todos los pacientes se debe realizar hepatograma al inicio. A los que tienen **antecedentes de hepatopatías**: * Mes 1: hepatograma semanal * Mes 2: hepatograma cada 15 días
37
Criterios de suspensión de los fármacos en Reacciones Adversas
**Transaminasas**: * > 5 veces el límite superior normal sin síntomas * > 3 con síntomas * Aumento de la bilirrubina
38
Como se hace el retorno gradual cuando hay hepatotoxicidad?
**Mientras aguarda normalizar**: * Es conveniente administrar por lo menos tres fármacos no hepatotóxicos (Etambutol, quinolona (levo) y aminoglucósido (amika)). **Cuando el hepatograma se normaliza**: * Se administran nuevamente en forma secuencial (R – H – Z) para encontrar cual fármaco está causando la hepatotoxicidad.
39
RAFA (Reaccion Adversa a Farmacos Antituberculosos) (5)
* **Rash o erupción cutánea**: depende de la gravedad, si afecta mucosas y tiene fiebre (se trata con GCC) * **Petequias**: control plaquetas, trombocitopenia por Rifampicina * **Intolerancia digestiva**: náuseas, vómitos, dolor abdominal, hiporexia. Solicitar hepatograma. * **Polineuropatia**: Isoniacida en pacientes predispuestos (diabetes, alcoholismo desnutrición, embarazo, HIV). Se agrega Piridoxina 25 mg/d como dosis preventiva y 100 mg/d como dosis terapéutica. * **HIV**: se debe suspender la Rifampicina.
40
Tipos de Resistencia al Tto (4)
* **Monodrogorresistente**: resistentes a una sola droga, que no sea Rifampicina. * **Polirresistente**: resistente a dos o más drogas, excepto aquellos que son simultáneamente resistentes a isoniacida y rifampicina (la más común es la resistencia asociada a estreptomicina e isoniacida). * **Multidrogorresistente** (TB-MDR): resistentes a Isoniacida y Rifampicina. * **Extensamente drogorresistente** (TB-XDR): multidrogorresistentes con resistencia adicional al menos a una fluoroquinolona y a uno de los tres inyectables de segunda línea (kanamicina, amikacina y/o capreomicina). | En resistentes se agregan + 18 meses de tto post-baciloscopia negativa
41
Re-tratamiento - Definición y Tipos (3)
Es el paciente que ha recibido previamente medicación especifica por más de un mes, y son indicaciones absolutas de efectuar pruebas de sensibilidad a los fármacos principales. Tipos: * **Abandono del tratamiento**: toma más de un mes y deja por dos o más meses. * **Recaída**: aparición de cultivo de esputo positivo en paciente que ha concluido un régimen satisfactorio de tratamiento. * **Fracaso terapéutico**: aparición de cultivo positivo a partir del cuarto mes de tratamiento. Puede indicar resistencia.
42
Cuando se interna un pcte TBC? (4)
* Formas severas de TB * Complicaciones y asociaciones morbosas que de por sí indiquen una internación * RAFA severas * Motivos socioeconómicos que impidan el tratamiento ambulatorio inicial.
43
Micobacterias No TBC (4) e su importancia médica
BAAR indistinguibles del M. tuberculosis (solo por cultivo y pruebas bioquimicas): * M. avium complex (más frecuente) * M. kansassi * M. fortuitum * M. abscessus Son encontradas en agua y suelos. No hay contagio interhumano. ## Footnote Puede ser la primera manifestación de HIV. Puede dar falsos-positivos para TBC
44
Micobacterias No TBC - Clínica, Rx y Tto
**Clínica**: * tos con expectoración de larga evolución * astenia * pérdida de peso * disnea * febrícula vespertina * hemoptisis. **Rx Tx**: desde lesiones cavitadas en campos pulmonares superiores hasta múltiples nódulos acompañados o no de bronquiectasias. **Tto**: claritromicina + rifampicina + etambutol