Tuberculosis Flashcards

(13 cards)

1
Q

reactivation of latent tuberculosis is responsible for ________how much_____ of active tuberculosis cases

A

70%

How well did you know this?
1
Not at all
2
3
4
5
Perfectly
2
Q

Patients With a High Prevalence of Tuberculosis (Highest to Lowest Risk)

A

• IMMIGRANTS from high-prevalence countries
• HIV
• PRISONERS or shelters for the homeless
• ALCOHOLICS/ DRUGS users
• ELDERLY and nursing home patients

How well did you know this?
1
Not at all
2
3
4
5
Perfectly
3
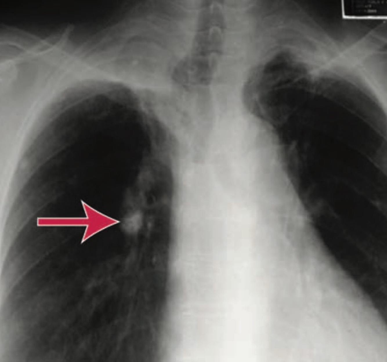
Q

IDENTIFY

A

Primary Ghon complex (arrow)

is a tubercle, appearing as calcified hilar lymph nodes.

How well did you know this?
1
Not at all
2
3
4
5
Perfectly
4
Q

The tendency is for survival in areas of high oxygen content or blood flow, such as the

A
  1. apical and posterior segments of the upper lobe and the superior segment of the lower lobe of the lung,
  2. renal cortex
  3. meninges
  4. epiphyses of long bones
  5. vertebrae
How well did you know this?
1
Not at all
2
3
4
5
Perfectly
5
Q

During dormancy (or latent infection), _______________ detects the disease

A

a positive tuberculin skin test

How well did you know this?
1
Not at all
2
3
4
5
Perfectly
6
Q

The tuberculin skin test becomes positive ____________ after initial exposure

A

1 to 2 months

How well did you know this?
1
Not at all
2
3
4
5
Perfectly
7
Q

True or false

Latent infection is not transmissible.

A

True

How well did you know this?
1
Not at all
2
3
4
5
Perfectly
8
Q

The risk for reactivation is higher among ____________ and those over ________ old.

A

HIV-infected

Over 50 years

How well did you know this?
1
Not at all
2
3
4
5
Perfectly
9
Q

Population with increased risk for tuberculosis activation

A

> immunocompromised from cancer of solid organs,
leukemia
transplantation
medications
Antagonists of tumor necrosis factor-α (etanercept or infliximab)
corticosteroids (≥15 milligrams/d for ≥4 weeks of prednisone or its equivalent)
chronic diseases such as
diabetes
chronic renal failure requiring hemodialysis
psoriasis
silicosis

How well did you know this?
1
Not at all
2
3
4
5
Perfectly
10
Q

most common extrapulmonary site of tuberculosis is the

A

lymphatic system—painless lymphadenopathy (i.e., scrofula, cervical lymphadenitis)

How well did you know this?
1
Not at all
2
3
4
5
Perfectly
11
Q

On chest radiograph, look carefully for (4)

A

upper lung field involvement
fibrocalcific changes
pleural capping
calcified Ghon complex

How well did you know this?
1
Not at all
2
3
4
5
Perfectly
12
Q

≥5-mm induration is positive in (5)

A
  • Close contact
  • HIV
  • Immunosuppressed on prednisone >15 milligrams per day for >1 month
  • CXR healed tuberculosis
  • Organ transplants
How well did you know this?
1
Not at all
2
3
4
5
Perfectly
13
Q

≥10-mm induration is positive in

A

INjection drug users
High-prevalence groups (immigrants, long-term care facility residents, persons in local high-risk areas)
Conditions that increase the risk of progression to active disease (silicosis; diabetes; carcinoma of the head, neck, or lung)
CHildren <4 y of age

How well did you know this?
1
Not at all
2
3
4
5
Perfectly