tuberculosis Flashcards

(50 cards)

1
Q

principal causa de muerte por un solo agente infeccioso (previo a covid xd)

A

tuberculosis

How well did you know this?
1
Not at all
2
3
4
5
Perfectly
2
Q

la tuberculosis es mas comun en (hombres/mujeres)

A

hombres

How well did you know this?
1
Not at all
2
3
4
5
Perfectly
3
Q

principal sitio de infeccion por tuberculosis

A

pulmon
*seguida por la miliar

How well did you know this?
1
Not at all
2
3
4
5
Perfectly
4
Q

sin tratamiento, la mortalidad de tuberculosis es de _%

A

50%

How well did you know this?
1
Not at all
2
3
4
5
Perfectly
5
Q

factores de riesgo para desarrollar tuberculosis

A

-VIH
-desnutricion
-DM2
-alcoholismo
-fumar

How well did you know this?
1
Not at all
2
3
4
5
Perfectly
6
Q

a nivel mundial, el principal factor de riesgo para Tb es _, pero en México es _

A

mundial VIH
México DM2

How well did you know this?
1
Not at all
2
3
4
5
Perfectly
7
Q

en promedio, una persona con Tb infecta de _ personas por año

A

3-10 personas

How well did you know this?
1
Not at all
2
3
4
5
Perfectly
8
Q

clasificacion de tuberculosis

A

-latente
-activa

How well did you know this?
1
Not at all
2
3
4
5
Perfectly
9
Q

persona que presenta tos con expectoracion o hemoptisis, de dos o mas semanas de evolucion, en las cuales deben agotarse los recursos de diagnostico previo a iniciar el tratamiento

A

caso probable de Tb

How well did you know this?
1
Not at all
2
3
4
5
Perfectly
10
Q

paciente con signos o sintomas sugestivos de Tb (tos, expectoracion, fiebre, diaforesis nocturna)

A

Tb presuntiva

How well did you know this?
1
Not at all
2
3
4
5
Perfectly
11
Q

persona en quien se ha identificado por laboratorio el complejo Mycobacterium tuberculosis en cualquier muestra biologica ya sea por cultivo, baciloscopia o por metodos moleculared

A

caso de tuberculosis confirmado

How well did you know this?
1
Not at all
2
3
4
5
Perfectly
12
Q

de acuerdo a su localizacion, la Tb se clasifica en:

A

-pulmonar
-extrapulmonar

How well did you know this?
1
Not at all
2
3
4
5
Perfectly
13
Q

la Tb miliar se considera pulmonar o extrapulmonar?

A

pulmonar porque tiene lesiones en pulmon

How well did you know this?
1
Not at all
2
3
4
5
Perfectly
14
Q

de acuerdo con la historia de tratamiento previo, la Tb se clasifica en:

A

-caso nuevo
-caso previamente tratado

How well did you know this?
1
Not at all
2
3
4
5
Perfectly
15
Q

de acuerdo con el estadio de VIH, la Tb se clasifica en:

A

-px con Tb y VIH
-px con Tb sin VIH
-px con Tb y estadio de VIH desconocido

How well did you know this?
1
Not at all
2
3
4
5
Perfectly
16
Q

de acuerdo a los resultados del tratamiento, la Tb se clasifica en:

A

-curado
-tratamiento completo
-fracaso al tx: persistencia de bacilos al termino del tx
-fallecido
-perdida en el segumiento: no inicio tx

How well did you know this?
1
Not at all
2
3
4
5
Perfectly
17
Q

cuadro clinico de Tb pulmonar

A

-tos productiva
-diaforesis nocturna
-fiebre
-perdida de peso
-hemoptisis
-malestar general
-fatiga

How well did you know this?
1
Not at all
2
3
4
5
Perfectly
18
Q

sintomas extrapulmonares de Tb
Renal:
Meningitis:
Medula:
Laringe:
Extras:

A

-Tb renal: hematuria
-Tb meningitis: cefalea o confusion
-Tb medula: dolor de espalda
-Tb laringe: ronquera
-perdida de apetito y de peso
-diaforesis nocturna
-fiebre
-fatiga

How well did you know this?
1
Not at all
2
3
4
5
Perfectly
19
Q

unica prueba para segumiento de Tb

A

baciloscopia

How well did you know this?
1
Not at all
2
3
4
5
Perfectly
20
Q

pruebas para dx de Tb

A

-baciloscopia
-PCR GeneXpert
-cultivo
-IGRAs en Tb latente
-biopsias en granulomas
-rx o TAC

How well did you know this?
1
Not at all
2
3
4
5
Perfectly
21
Q

para que la baciloscopia sea positiva en expectoracion debe tener _ micobacterias

A

10.000 micobacterias

22
Q

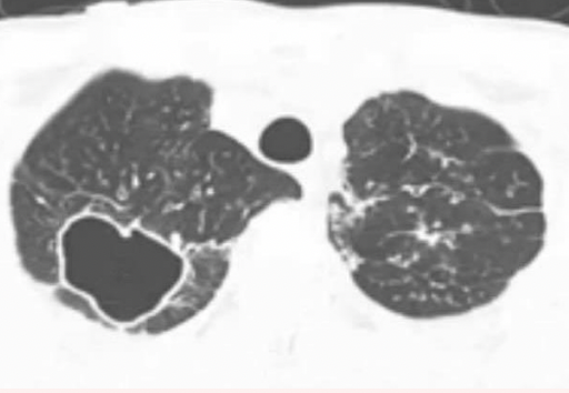
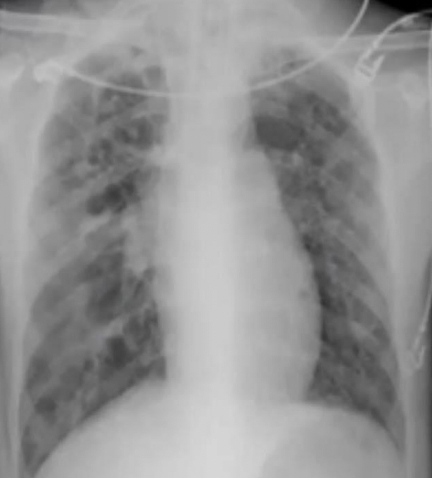
qué se observa en una rx de torax con Tb?

A

cavitaciones en lobulos superiores

23
Q

qué se observa en una TAC con Tb?

A

cavitaciones, arbol en gemacion y micronodulos

24
Q

tratamiento de primera linea para casos nuevos de Tb

A

-isoniacida (H)
-rifampicina (R)
-pirazinamida (Z)
-etambutol (E)
*por 6 meses

25
tratamiento para casos de abadono, recaida o reconquista de Tb
-isoniacida -rifampicina -pirazinamida -etambutol -estreptomicina (S) *por 8 meses
26
tratamiento para casos de fracaso al tx y retratamiento primario de Tb
-kanamicina o amikacina o capreomicina -levofloxacino -protionamida -ciclocerina -pirazinamida -etambutol
27
qué farmacos son y cómo se toma el tx para Tb en fase intensiva?
-isoniacida 300 mg -rifampicina 600 mg -pirazinamida 1500-2000 mg -etambutol 1200 mg diario, de lunes a sabado, hasta completar sesenta dosis
28
qué farmacos son y cómo se toma el tx para Tb en fase de sosten o mantenimiento?
-isoniacida 800 mg -rifampicina 600 mg intermitente, tres veces por semana (L, Mi, V), hasta completar cuarenta y cinco dosis
29
medicamento para Tb que no se debe utilizar en el embarazo
estreptomicina
30
hasta cuando se puede cambiar el tx a fase de mantenimiento?
hasta que haya una baciloscopia negativa
31
en el control del tratamiento de Tb, cada mes se evalua:
-sintomas -efectos adversos -apego al tx -baciloscopia mensual
32
se dice que hubo un tratamiento bueno, si la baciloscopia salio negativa a los _ meses y se mantuvo negativa
2 meses
33
a qué se le llama primoinfeccion?
cuando un individuo entra en contacto por primera vez con el bacilo tuberculoso
34
durante la primoinfeccion, el _% de los px permanecen asintomaticos y solamente _% desarrollan la enfermedad aparente
95%, 5%
35
celulas clave en la interaccion inicial con el bacilo tuberculoso
macrofagos
36
quién inhibe la formacion del lisosoma?
la micobacteria mediante la proteina sulfatida
37
qué sucede cuando la micobacteria inhibe la formacion del lisosoma?
se forma el granuloma pues los macrofagos se "comen" a la bacteria pero no la pueden destruir y posteriormente se forma el foco de Ghon
38
conjunto de celulas inflamatorias conteniendo a las bacterias tuberculosas
granuloma
39
conjunto de celulas inflamatorias que contienen a las bacterias y tienen un centro de necrosis caseificante
foco de Ghon
40
fisiopatologia de la tuberculosis
-activacion de complemento por los productos bacterianos -atraccion de macrofagos y cel T helper que forman los granulomas -no se activan los macrofagos y cel T -crecimiento exponencial del numero de bacilos -alveolitis por las celulas del sistema fagocitico -fase de escape donde los bacilos llegan a ganglios por via linfatica y se forma el complejo de Ghon -los bacilos entran a circulacion pulmonar e intersticio por el conducto linfatico y dan metastasis -ocurre un control inmunologico por hipersensibilidad retardada provocando un cese abrupto de la curva de crecimiento micobacteriano -destruccion de macrofagos con bacilos que forma focos de necrosis caseosa -en los focos viven los bacilos por muchos años sin poder reproducirse ni salir
41
principales factores que participan en la hipersensibilidad retardada
-linfocitos T citotoxicos -citocinas (TNF-alfa) -especies reactivas de oxigeno -oxido nitroso
42
qué sucede en px inmunocompetentes una vez que los bacilos se quedan en los focos de necrosis caseosa?
desarrollan un equilibrio entre el bacilo y el organismo de por vida, por eso dan una respuesta positiva a la prueba cutanea de tuberculina
43
qué sucede en px inmunocomprometidos una vez que los bacilos se quedan en los focos de necrosis caseosa?
desarrollan la enfermedad, por lo que no habra una respuesta positiva a la prueba cutanea de tuberculina
44
mecanismo mas comun para la reactivacion tuberculosa
reactivacion ENDOGENA
45
principal factor para la reactivacion de la tuberculosis, es decir, que se vaya de latente a activa
VIH
46
principales focos metastasicos de la tuberculosis
-SNC -hueso esponjoso -higado -riñon -region genital
47
al conjunto del foco de Ghon con un ganglio linfatico se le llama:
complejo de Ghon
48
qué sucede una vez que la tuberculosis se reactiva?
-invade pulmon -mayor respuesta inmune por cel T de memoria -mayor necrosis caseosa -reaccion por hipersensibilidad retardada que provoca la secrecion de tuberculina toxica -se desagrra el complejo de Ghon y se disemina la enfermedad -bronconeumonia y bacteremia
49
cómo se manifiesta la tuberculosis miliar en cada organo?
-riñones: piuria esteril -meningitis -enf de Pott en lumbares -enf de Addison en glandulas suprarrenales -hepatitis -escrofula en ganglios cervicales -astritis por micobacterias -osteomielitis en huesos largos
50
qué significa la Tb MDR (Tb multirresistente)?
Tb resistente a rifampicina e isoniazida