Describe the epidemiology of TB
Describe the incidence rates of TB around the world?
Parts of southern africa have very high incidence rates of TB.
In the UK we have had low rates but not as low as other countries.

Describe death rates from TB around the world?
South africa (despite having high incidence of TB / yr) has lower death rates, due to introduction of TB treatment programmes.
Certain countries e.g. somalia still have high death rates due to compromised healthcare delivery.

Describe TB cases and incidence rates in England
In the 1970’s TB incidence rates were around 24 new cases per 100,000 per year.
This steadily dropped until the the 1990’s, when a resurgence of cases occurred. Due to a number of reasons –> 1) drug resistance 2) TB requires prolonged tx with high level of compliance, tends to affect more vulnerable members of society who stuggle to complete course of Tx.
(6 months of tx).

Describe TB incidence rates in England (from 2014-2017)

Describe epidemiology of new cases of TB in England

TB cases in England: Country of origin that may have TB risk?

Describe the aetiology of tuberculosis
Describe bacterial and mycobacterial cell walls
Bacterial:
Gram positive bacteria are surrounded by Peptidoglycan wall which stains purple/ violet, retains the crystal violet stain, therefore stain positive. (postitive, purple, peptidoglycan wall).
Gram negative –> Has in inner double cell membrane, thin peptidoglycan cell wall surrounded by an outer cell membrane. Therefore does not retain crystal violet stain and stains negative. (stain pink).
Mycobacteria:
Have peptidoglycan cell wall with a layer of mycolic acids surrounding it, creating waxy coat and preventing gram positive stain.

Describe the pathology of tuberculosis
Pathogenesis of TB is similar to other LRTI’s
Exposure to TB only leads to infection in 30% of cases
The primary infection only causes disease in around 10% and goes into containment/ latency in around 90% of cases. (Primary infection often goes undiagnosed as sx. are mild and self resolving.)
Containment tends to occur within a Ghon focus and hilar lymph nodes. (infection becomes sealed off and contained by the immune sx.)
(Ghon focus is an area within the lung that has become infected by TB, become necrosed and fibroses, self contained by the immune sx.)
Latent infection can stay in pt for life and never affect you. (No bacterial replication occurring.)
However reactivation and secondary disease only occurs in 10% of people.
Reates of reactivation vary enormously depending on risk factors.
Describe the histopathology of TB?
Histopathology –> granulomatous inflammation with “caseous” necrosis
Ghon lesion/ ghon focus = tuberculous caseating granuloma represents primary pulmonary TB infection
Where does latent TB tend to present within the lung?
What is a Ghon focus?
Latent TB tends to be contained within the middle or lower lobes of the lung (often the R lower lobe).
Ghon focus = Granuloma within the middle/ lower lobes of the lung, in combination with transient paratracheal or hilar lymphadenopathy. Ghon focus involves infection of adjacent lymphatics and hilar lymph nodes, it is known as the Ghon’s complex or primary complex.

What are the host risk factors for both primary infection and reactivation of latent TB?
What is miliary TB?
Miliary TB is widespread dissemination of mycobacterium tuberculosis via haematogenous spread (via blood) during primary infection and activation (only 10%, whereas 90% isolated in Ghon focus and suppressed).
Classic miliary TB is defined as millet like seeding of TB bacilli in the lung.

Sites of TB presentation for cases in england during 2017?
Half of TB presents in the lungs –> pulmonary = 54%
of which 3% was miliary TB
Half of TB presents as Extra pulmonary (58%):

What are the clinical features of TB?
Onset
Systemic features?
pulmonary features?
lymph nodes affected?
other sites affected presents generally with?
Clinical features of TB vary according to the site of infection.
Sx normally have an insidious onset (median incubation time from a month to two years, however disease can emerge many years later.)
Sytemic features = fever, night sweats and weight loss
Pulmonary features –> Cough (normally dry for 2-3 weeks then productive), sputum, haemoptysis, dysponea
Lymph nodes –> typically cervical and axillary –> lymph nodes may become necrotic and affect the overlying skin (scrofula).
Other sites –> local sx of low grade inflammation and tissue necrosis
What sites other than pulmonary can TB affect and how does it present?
GI –> most disease ileocaecal causes colicky abdominal pain and vomiting
Spinal TB –> local pain, bony tenderness for weeks- months.
CNS TB –> foci of infection in brain and spinal cord, foci rupture = meningitis, headache, confusion, seizures, focal neurological deficit
Genitourinary TB –> sx may be chronic intermittent or silent, LUTS sx.
Cardiac TB –> often involved pericardium, chest pain.
What is shown here?

Necrotic cervical lymph nodes = scrofula

What investigations will be done to diagnose TB? describe what you may see?
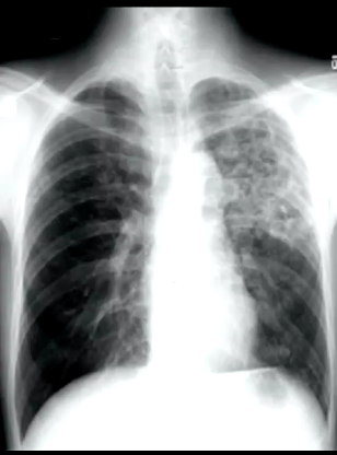
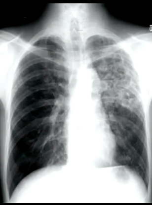
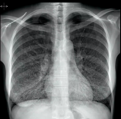
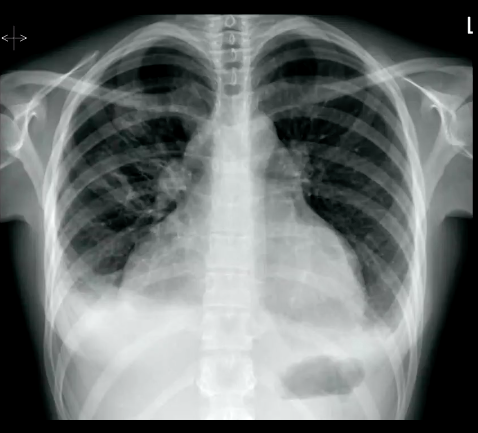
What signs of TB infection are on this CXR?


What type of TB presentation is shown in the CXR?

Miliary TB shown, nodular opacities, with diffuse spread of mycobacterium throughout the lung tissue (this will also be spread diffusely throughout other body tissues).
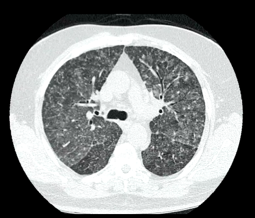
CT scan will show this even more distinctly.

What pathology is shown?

Pericardial effusion from TB
What pathology is shown?

Pott’s spine –> a form of TB where the bacterium infects the IV joints, charactersitically the infection starts in the IV disc, it spreads and can compress the spinal cord –> leads to neurological deficit.
What pathology is shown in what region of the body?

Laproscopic image, showing portion of the bowel at the bottom of the image and peritoneal fluid, far more than normally should be there.
On the posterior abdominal wall there are deposits of TB infection.