What is TB and what organism is it caused by ?
It is an infection caused by Mycobacterium tuberculosis that most commonly affects the lungs
What is the shape and gram stain of Mycobacterium tuberculosis?
Rod shaped gram positive bacillus

How is TB spread?
Via aerosol route (coughing, sneezing)
List the people most commonly affected by TB infection
Describe the pathogenesis of a primary TB infection
Describe the difference between active and latent TB infection
Is someone with latent TB infectious ?
Define what is meant by millary TB ?
This is when when the primary infection is not adequately contained and invades the bloodstream, resulting in severe disease.
Describe what is meant by secondary TB infection and state where it most commonly occurs in the body and give examples of the causes for it
This is where someone with latent TB, has there TB reactived (to active TB), this is usually due to the host becoming immunocompromised.
Reactivation generally occurs in the apex of the lungs and may spread locally or to more distant sites. Possible causes of immunocomprise include:
Does TB only affect the lungs ?
No - The bacteria usually attack the lungs, but TB bacteria can attack any part of the body such as the kidney, spine, and brain.
What are the general symptoms of TB ?
What are the additional features alongisde the general symptoms of TB suggestive of pulmonary TB ?
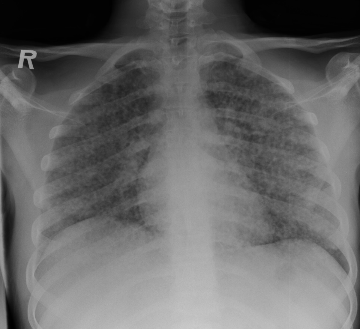
What are the additional features alongisde the general symptoms of TB suggestive of Miliary TB ?
Severe disease with poor immune response can produce a picture like millet seeds over the CXR.

What are the additional features alongisde the general symptoms of TB suggestive of genitourinary TB ?
What are the additional features alongisde the general symptoms of TB suggestive of spinal TB (potts disease) ?
What are the additional features alongisde the general symptoms of TB suggestive of skin TB ?
Erythema nodosum (represents an early immunological response to infection), skin sinus formation (‘scrofuloderma’), erythema induratum
What are the additional features alongisde the general symptoms of TB suggestive of GI TB ?
What are the additional features alongisde the general symptoms of TB suggestive of pericardial TB ?
Initially nonspecific; may be signs of pericardial effusion (pulsus paradoxus, elevated JVP) or constrictive pericarditis.
What are the additional features alongisde the general symptoms of TB suggestive of TB meningitis ?
What is the treatment of CNS TB ?
Isoniazid (with pyridoxine), rifampicin, pyrazinamide and ethambutol (RIPE) for 2 months then isoniazid (with pyridoxine) and rifampicin for a further 10 months.
Who do you screen for TB in/ screen for latent TB?
Those who have been in close contact of a person with pulmonary/laryngeal TB or have come to the country from a high TB incidence country
How is latent TB diagnosed/ how do you screen for TB?
Who may the mantoux screening test for TB be fasly negative in?
Those who have: