Tumor Flashcards

(38 cards)

1
Q

Diagnóstico provável tumor epifise criança e no adulto ?

A

Criança condroblastoma
Adulto TCG

How well did you know this?
1
Not at all
2
3
4
5
Perfectly
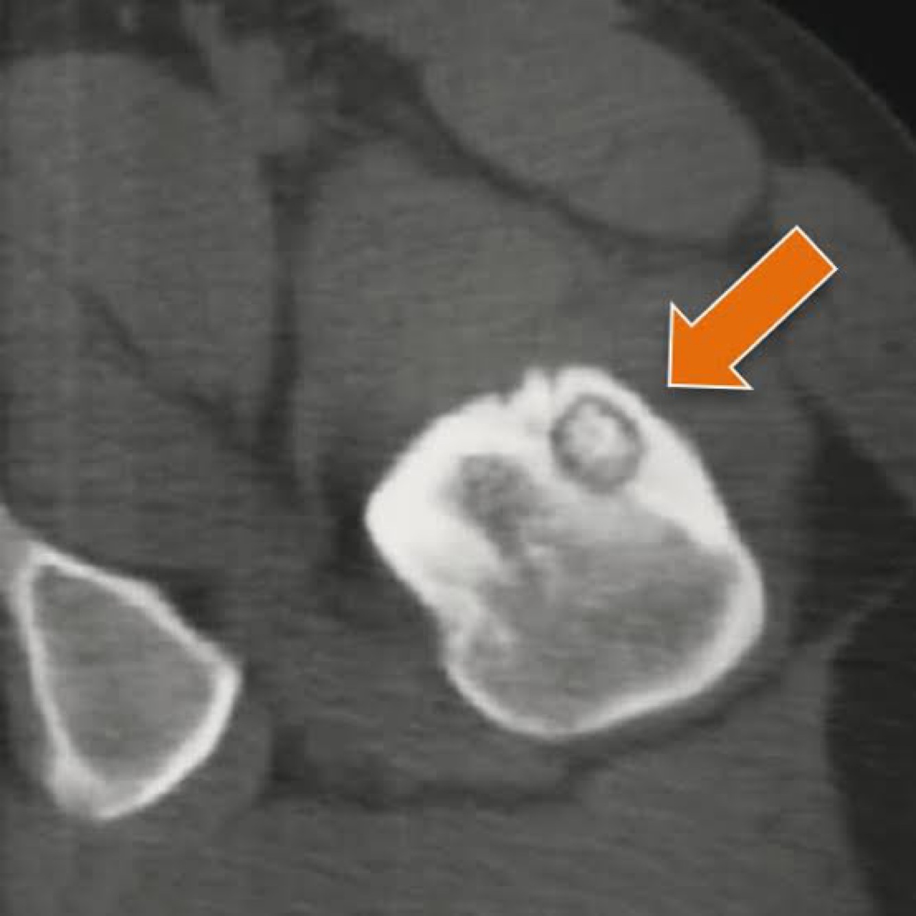
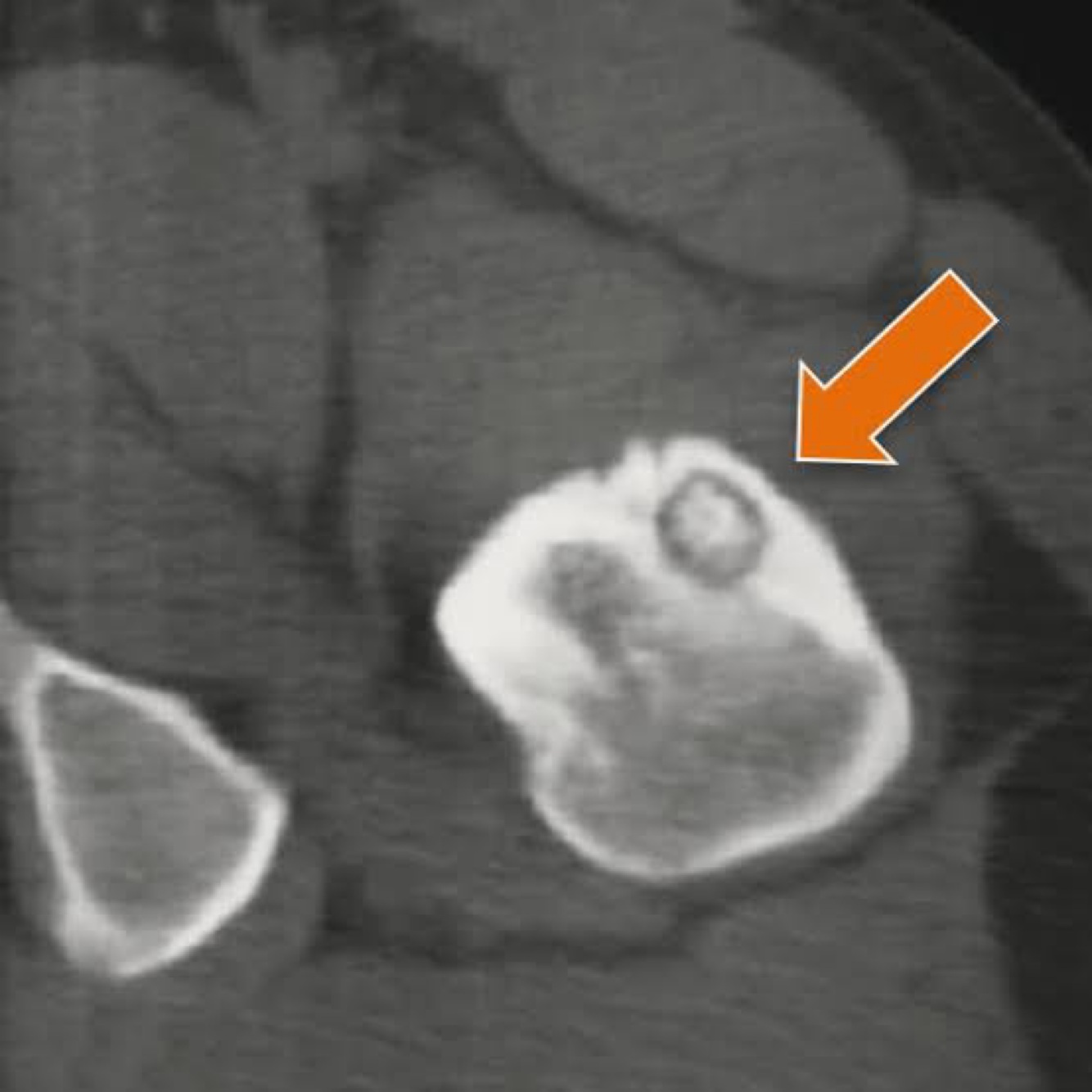
2
Q

Características TCG ?

A

Excêntrico
Limite definido
Comprime osso subcondral
Fêmur distal e tíbia proximal
Pode acometer rádio distal ( mais grave )
O mais comum do sacro (anterior )
Mais mulher

How well did you know this?
1
Not at all
2
3
4
5
Perfectly
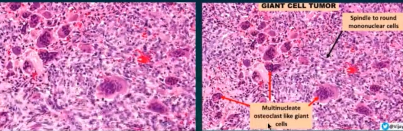
3
Q

Lesões de células gigantes podem ser ?

A

TCG
Cisto ósseo aneurismatico
Granuloma de células gigantes
Fibroma não ossificante
Tumor marrom do hiperpara

How well did you know this?
1
Not at all
2
3
4
5
Perfectly
4
Q

Síndrome de MAFFUCI?

A

Encondromatose múltipla + hemangiomas
Alta taxa sarcomatose(malfucci)

How well did you know this?
1
Not at all
2
3
4
5
Perfectly
5
Q

Síndrome de Ollier ?

A

Encondromatose múltipla congênita
Não hereditária não genética !

How well did you know this?
1
Not at all
2
3
4
5
Perfectly
6
Q

Aspecto “ calçada portuguesa “ ou “ tela de galinheiro “?

A

Condroblastoma

How well did you know this?
1
Not at all
2
3
4
5
Perfectly
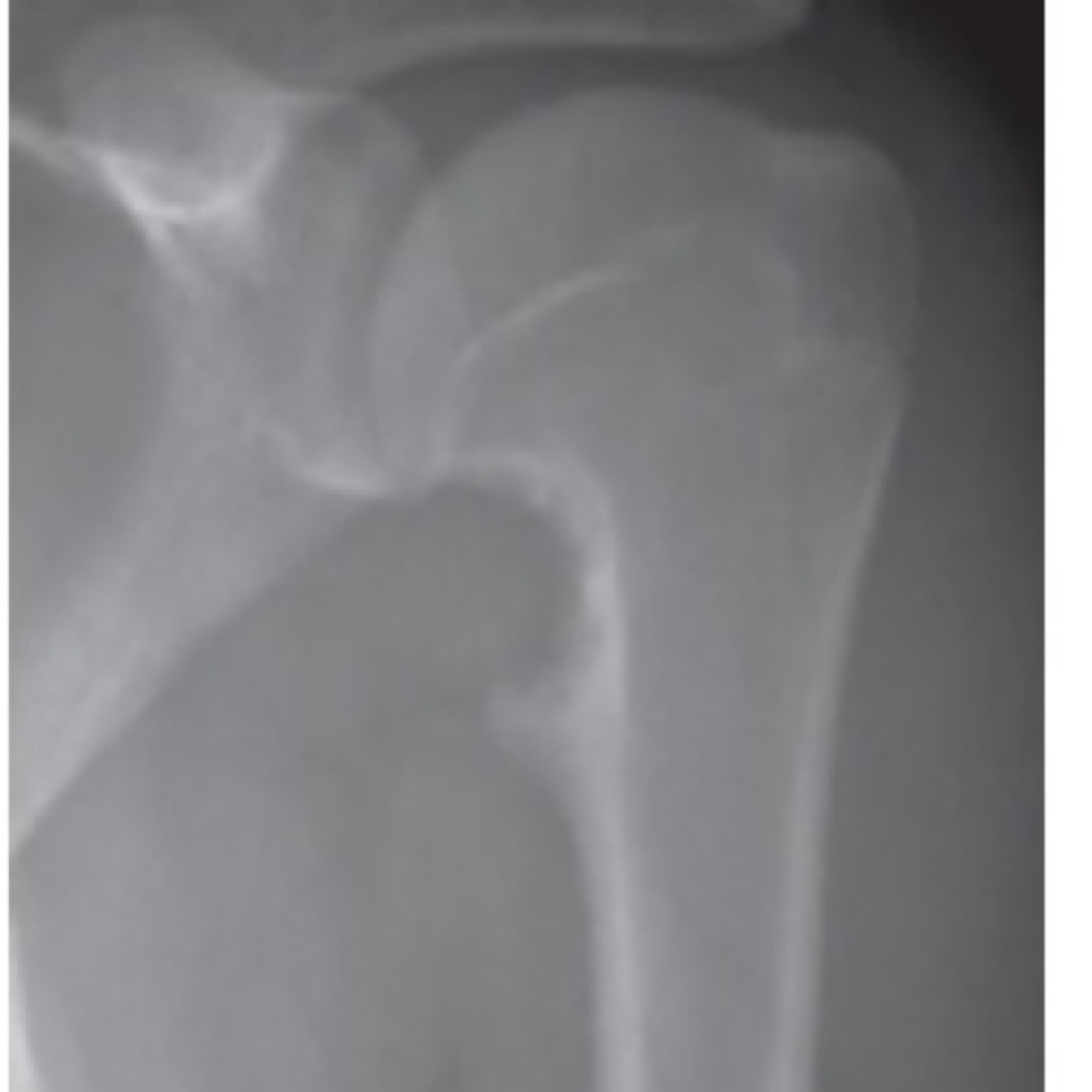
7
Q

Hipótese ?

A

Condroma periosteal

How well did you know this?
1
Not at all
2
3
4
5
Perfectly
8
Q

Diferença osteoma osteoide e osteoblastoma?

A

Tamanho do nidus > osteoide < 1,5 e
Osteoblastoma > 2,0 (tumor de Dahlin)

How well did you know this?
1
Not at all
2
3
4
5
Perfectly
9
Q

Epidemiologia osteoma osteoide ?

A

Homens segunda terceira década , fêmur> tíbia , benigno não maligniza

How well did you know this?
1
Not at all
2
3
4
5
Perfectly
10
Q

Síndrome de Gardner ?

A

Osteoma múltiplos , tumores partes moles e polipose intestinal

How well did you know this?
1
Not at all
2
3
4
5
Perfectly
11
Q

Síndrome de Jaffe-Campanacid?

A

fibromas nao ossificantes,manchas café-com-leite, retardo mental, hipogonadismo ou criptorquidia e malformações oculares e cardiovasculares.

How well did you know this?
1
Not at all
2
3
4
5
Perfectly
12
Q

Na fase inicial da histiocitose de células de LANGERHANS, a imagem radiográfica assemelha-se a:

A

Tumor de Ewing

How well did you know this?
1
Not at all
2
3
4
5
Perfectly
13
Q

Oq é doença de HAND-SCHULLER CHRISTIAN?

A

Síndrome com Crianças e jovens( associada a langerhans )
Defeitos osteolíticos nos ossos membranosos,
Exoftalmia
Diabete insípido
A doença não costuma ser fatal> CRISTO

How well did you know this?
1
Not at all
2
3
4
5
Perfectly
14
Q

Oq é doença de LETTERER-SIWE.?

A

Let die (doença associada a langerhans )

Menores de um ano.
Acometimento cutâneo (pápulas róseas)
Febre e perda ponderal
Órgãos podem ser infiltrados (pulmões, figado, linfonodos e ossos)
Trombocitopenia e anemia
O prognóstico é ruim (mortalidade pode ser superior a 50%)

How well did you know this?
1
Not at all
2
3
4
5
Perfectly
15
Q

Epidemiologia cisto ósseo simples ?

A

Homem
Úmero e fêmur Proximal metáfise na criança
Calcâneo e ilíaco no adulto
Elementos posteriores coluna

How well did you know this?
1
Not at all
2
3
4
5
Perfectly
16
Q

Aspecto favos de mel e aumento PGE2 associado a ?

A

Cisto ósseo aneurismatico

17
Q

Local comum de metástase distal ao cotovelo e joelho ?

A

1 pulmão
2 rim

18
Q

Local mais comum fratura patológica secundária a metástase a distância ?

A

Fêmur proximal

19
Q

Sítio mais comum de metástase óssea ?

A

1 esqueleto axial ( coluna e pelve )
2 fêmur proximal

20
Q

Escore de Mirels?

A

Maior igual 8 cirurgia
Lesões acima 2.5
Destruição 50% cortical
Fratura avulsão trocanter menor

21
Q

Tumor ósseo maligno mais comum na coluna ?

A

Mieloma múltiplo

22
Q

Histologia mieloma ?

A

Células redondas produzem amiloide ( azuis)

23
Q

Rx e cintilo do mieloma ?

A

Lesão lírica sem borda esclerótica e normocaptação

24
Q

No osteossarcoma como avaliar osso e pulmão ?

A

Osso RNM
PULMÃO TC

25
Quais Sao sarcomas de superfície ?
Parosteal Periosteal Alto grau
26
Localização osteossarcoma parosteal e periosteal ?
Parosteal região posterior e distal do fêmur Periosteal diáfise tíbia
27
Principais causas osteossarcoma secundário ?
1 irradiação 2 Paget ( mais raro mais agressivo )
28
Sarcoma de ewing associado a quais anticorpos ?
LCA CD99 São PAS positivos e reticulonegativos(oposto linfoma)
29
Padrão histológico ewing ?
Células pequenas redondas e azuis com pouca matriz Dx > linfoma e rabdomiosarcoma ( mieloma tem também com amiloide )
30
Qual segundo tumor mais comum de partes moles ?
Lipossarcoma
31
Diferencial tumores colunas ?
32
Mccune albright?
Displasia fibrosa poliostotica , endocrinopatia alteração pigmentação cutânea( manchas café com leite ) Pode ter fêmur em cajado de pastor 3 MMM > mulher menarca precoce e mancha café com leite
33
Tumores que respondem a rádio ?
34
Classificação ajcc?
35
Classificação hemipelvectomia ?
36
Classificação gledhill e Roberts ?
37
Acomete elementos anteriores e posteriores coluna ?
38
Classificação laprade menisco ?
3 alça de balde 5 avulsão óssea