Tumors Flashcards

IMC 606 (59 cards)

1
Q

Histologic features of

Pilocytic astrocytoma

A

Biphasic
Rosenthal fibers [9c]
GFAP+ [9a]

How well did you know this?
1
Not at all
2
3
4
5
Perfectly
2
Q

Histologic features of

Infiltrating Astrocytoma

A

hypercellular
nuclear atypic
GFAP+

How well did you know this?
1
Not at all
2
3
4
5
Perfectly
3
Q

Histologic features of

Anaplastic astrocytoma

A

Hypercellular
nuclear atypic
GFAP+
**No microvascular proliferation of necrosis **

Bold is differentiator between this and an infiltrating astrocytoma

How well did you know this?
1
Not at all
2
3
4
5
Perfectly
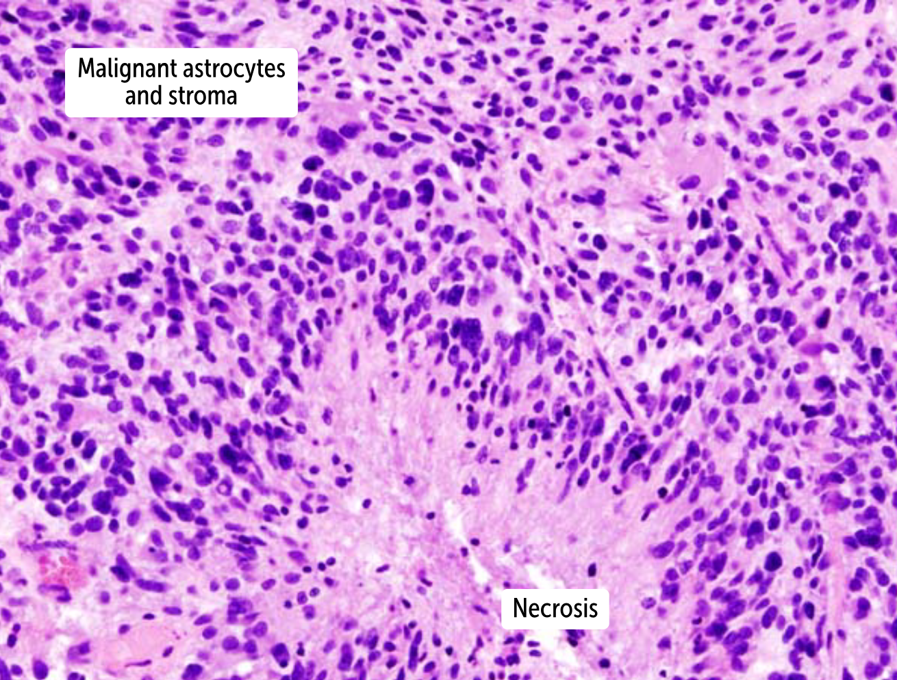
4
Q

Histologic features of

Glioblastoma

A

Hypercellular
nuclear atypic
mitotic acitivity
GFAP+ [13f]
pseudo palisading necrosis [13e] sash
microvascular proliferation [13c] red hair beard moustache

How well did you know this?
1
Not at all
2
3
4
5
Perfectly
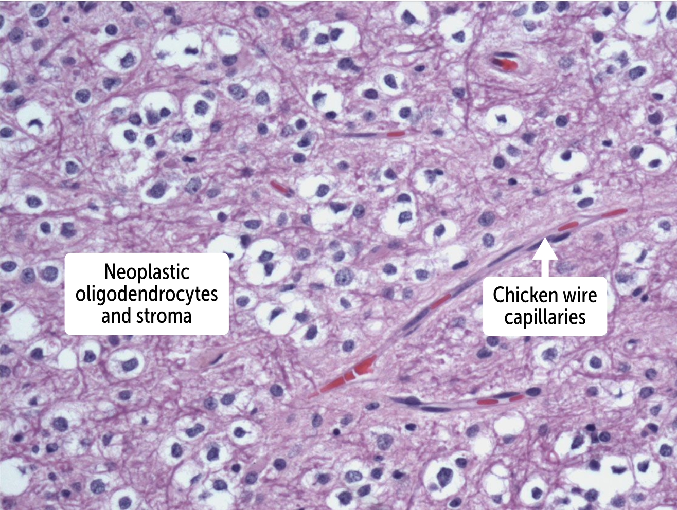
5
Q

Histological features of

Oligodendroglioma

A

“Fried egg” neuronal cell bodies (cytotoxic edema) [14e]
Chicken wire capillaries [14f]

How well did you know this?
1
Not at all
2
3
4
5
Perfectly
6
Q

Histologic features of

Ependymomas

A

Perivascular psuedorosettes [11f]
ependymal rosettes [11g]

How well did you know this?
1
Not at all
2
3
4
5
Perfectly
7
Q

Histologic features of

Meningiomas

A

Circumscribed [12d]
Spindle cells
Whorl pattern [12b]
Psammoma bodies [12f/18]

How well did you know this?
1
Not at all
2
3
4
5
Perfectly
8
Q

Histologic features of

Medullablastomas

A

Small roud cells
Homer-Wright rosettes [10i]

How well did you know this?
1
Not at all
2
3
4
5
Perfectly
9
Q

Histologic features of

Gangliogliomas

A

Binucleated ganglion cells
Peripheral Nissl substance
Glia
Calcifications

How well did you know this?
1
Not at all
2
3
4
5
Perfectly
10
Q

Glioma with WHO grade I

A

Pilocytic astrocytoma [9]

How well did you know this?
1
Not at all
2
3
4
5
Perfectly
11
Q

Glioma with WHO grade II

A

Infiltrating Astrocytoma
Oligodendroglioma [14]

How well did you know this?
1
Not at all
2
3
4
5
Perfectly
12
Q

Glioma with WHO grade III

A

Anaplastic Astrocytoma

How well did you know this?
1
Not at all
2
3
4
5
Perfectly
13
Q

Glioma with WHO grade IV

A

Glioblastoma [13]

How well did you know this?
1
Not at all
2
3
4
5
Perfectly
14
Q

Name this glioma

A

Pilocytic Astrocytoma [9c]

How well did you know this?
1
Not at all
2
3
4
5
Perfectly
15
Q

Name this glioma

A

Glioblastoma [13d]

How well did you know this?
1
Not at all
2
3
4
5
Perfectly
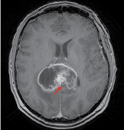
16
Q

Name this glioma

A

Glioblastoma [13e]

How well did you know this?
1
Not at all
2
3
4
5
Perfectly
17
Q

Name this glioma

A

Anaplastic Astrocytoma

How well did you know this?
1
Not at all
2
3
4
5
Perfectly
18
Q

Name this glioma

A

Oligodendroglioma [14e] [14f]

How well did you know this?
1
Not at all
2
3
4
5
Perfectly
19
Q

Name this glioma

A

Ependymoma [11]

How well did you know this?
1
Not at all
2
3
4
5
Perfectly
20
Q

Symptoms of

Pilocytic Astrocytoma

A

Cerebellar deficits [5] [6]

How well did you know this?
1
Not at all
2
3
4
5
Perfectly
21
Q

Symptoms of

Infiltrating Astrocytoma

A

New onset seizures

How well did you know this?
1
Not at all
2
3
4
5
Perfectly
22
Q

Symptoms of

Anaplastic Astrocytoma

A

New onset seizures
Headache
Focal signs

How well did you know this?
1
Not at all
2
3
4
5
Perfectly
23
Q

Symptoms of

Oligodenroglioma

A

Seizures [8]
Headache [10]
Focal signs [9]

How well did you know this?
1
Not at all
2
3
4
5
Perfectly
24
Q

Symptoms of

Ependymomas

A

Obstructive hydrocephalus [7]
Headache [2]
Vomiting [5]
Focal signs

25
# Symptoms of Meningioma
Seizures [8] Headache [10] Focal Signs [9]
26
# Symtpoms of Medulloblastomas
Obstructive hydrocephalus [7] Headache [2] Vomiting [5] Ataxia [6] Nystagmus CN VI palsy
27
# Symptoms of Gangliogliomas
Seizures
28
What CNS tumors occur in the supratentorial region?
Infiltrating astrocytoma Oligodendrogliomas Pediatric CNS tumors: Pilocytic astrocytoma, medulloblastoma, ependymomas
29
What tumors occur in the meninges
Meningioma [12]
30
What CNS tumor occurs in the 4th ventricle in children?
Ependymoma [10] Medulloblastoma [11]
31
What CNS tumor occurs in the spinal cord in adults?
Ependymoma [11c]
32
What tumors occur in the hemispheres of the cerebellum?
Glioblastoma Ganglioglioma
33
What glioma occurs in the CNS?
Anaplastic astrocytoma
34
What glioma occurs in the brainstem?
Glioblastoma
35
What gliomas are common in 30-45 year olds?
Infiltrating Astrocytoma Anaplastic Astrocytoma Oligodendrocytoma
36
What gliomas are common in 8-13 year olds
Pilocytic astrocytoma [9]
37
What brain tumors are common in children
Pilocytic astrocytoma [9] Ependymomas [11] Medulloclastoma [10] Gangliogliomas
38
# What chromosomes/ proteins are involved in Tuberous sclerosis
ch9- hamartin [15] ch16- tuberin [14]
39
# What chromosomes/ proteins are involved in Sturge Weber
ch9
40
# What genes are involved in Tuberous Sclerosis
TSC1 TSC2
41
# Clinical features of Tuberous Sclerosis
Skin lesions [24] [25] [26] Seizures [22] Intellectual disability [23]
42
# Clinical features of Sturge Weber
Seizures [9] Port wine birthmark [3] Glaucoma [11]
43
# What gene is involved in Sturge Weber
GNAQ [4]
44
What is a Hamartoma?
Benign overgrowth of tissue
45
What is a Tuber?
Enlarged gyri with disorganized lamination lacking separation between grey and white matter
46
# Pathology seen in Tuberous Sclerosis
Hamartomas [15] Cortical tubers [19] Depigmented nevi Angiofibromas Subungual fibromas Shagreen patches Subependymal nodules Subependymal giant cell astrocytoma
47
# Pathology seen in Sturge Weber
Leptomeningeal angiomas [7] Cortical calcifications with tram track appearance [13]
48
# Histological features of Schwannomas
Biphasic Areas with increased cell density (Antoni A) and lower density (Antoni B). The Antoni A areas contain Verocay bodies, areas of palisading nuclei with an intervening non-nuclear region.
49
How are schwannomas related to the genetic defect in neurofibromas
Defects in the NF-2 [17] gene on chromosome 22 [17b] code for the protein merlin [17a]. Merlin is a cell adhesion molecule that suppresses cell growth in crowded cellular environments. Defects in merlin allow uninhibited growth of Schwann cellsm [8].
50
Where do schwannomas form?
along CN VIII and at the cerebellopontine angle [18]
51
What are some symptoms of a schwannoma?
vertigo[18c], hearing loss [18b], tinnitus, ear fullness, nausea
52
# Chromosome affected in NF1
ch17 [2b]
53
# Chromosome affected in NF2
ch22 [17b]
54
# Protein affected in NF1
Neurofibromin [4]
55
# Protein affected in NF2
Merlin [17a]
56
# Inheritance of NF1
Autosomal dominant [2]
57
# Inheritance of NF2
Autosomal dominant [17]
58
# Symptoms of NF1
Lisch nodules [7] freckling cafe-au-lait spots [6] neuro-fibromas optic nerve gliomas [11] seizures learning disabilities bone deformities [16]
59
# Symptoms of NF2
Schwannomas [8] bilateral vestibular schwannomas [18] cataracts [23a] meningiomas [23]