Tumour Flashcards

(330 cards)

1
Q

Labs to order in multiple myeloma workup

A

Serum labs:

  • Anemia
  • increased Cr
  • hypercalcemia
  • ESR (increased)
  • SPEP (M-spike)

Urine

  • Proteinuria
  • UPEP (Bence-JOnes protein)
How well did you know this?
1
Not at all
2
3
4
5
Perfectly
2
Q

What is a Bence-Jones protein?

A

Light chain immunoglobulin found in multiple myeloma

can be kappa or lambda light chain

UPEP will show monoclonal light chains

How well did you know this?
1
Not at all
2
3
4
5
Perfectly
3
Q

Lifetime risk of malignant transformation for solitary osteochondroma?

A

1%

How well did you know this?
1
Not at all
2
3
4
5
Perfectly
4
Q

Most common benign tumour of childhood?

A

NOF

How well did you know this?
1
Not at all
2
3
4
5
Perfectly
5
Q

Two important differences between Maffucis and Olliers?

A

Maffucis has hemangiomas

Maffucis has higher risk of secondary malignant transformation (100% vs. 30%)

How well did you know this?
1
Not at all
2
3
4
5
Perfectly
6
Q

Which type of liposarcoma does not require adjuvant radiotherapy?

A

Well differentiated liposarcoma

How well did you know this?
1
Not at all
2
3
4
5
Perfectly
7
Q

Can you do limb salvage in osteosarcoma in a patient with a pathologic fracture?

A

Yes

However increased rates of local recurrence and decreased survival overall in these patients

How well did you know this?
1
Not at all
2
3
4
5
Perfectly
8
Q

Adult Patient with osteochondrama has acute onset of pain at the location of lesion. What do you suspect?

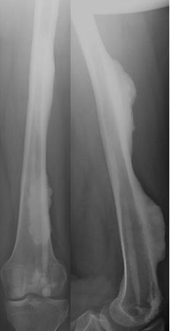
A

Sarcomatous transformation

How well did you know this?
1
Not at all
2
3
4
5
Perfectly
9
Q

Treamtent for osteosclerotic myeloma

A

Chemo + radio+ plasmapheresis

Generally no surgery needed

(This is a form of MM associated with POEMS)

How well did you know this?
1
Not at all
2
3
4
5
Perfectly
10
Q

What is the multidrug resistance gene (MDR)

A

Pumps chemo out of cancer cells

Present in 25% of primaries

50% of mets

Very poor prognostic indicator

How well did you know this?
1
Not at all
2
3
4
5
Perfectly
11
Q

What primary is very vascular, requiring embolization of lesions primary to ORIF?

A

RCC

Thyroid

How well did you know this?
1
Not at all
2
3
4
5
Perfectly
12
Q

What does GCT look like on MRI?

A

Dark on T1 and T2

How well did you know this?
1
Not at all
2
3
4
5
Perfectly
13
Q

List 4 types of surgical resection in terms of margins.

A
  • intralesional (you cut into the tumor)
  • marginal (you resect directly at the interface between tumor and normal tissue)
  • wide (you resect the tumor with a cuff of normal tissue surrounding the tumor)
  • radical (you resect the entire compartment from which the tumor arose)
How well did you know this?
1
Not at all
2
3
4
5
Perfectly
14
Q

Ddx for lytic lesion in greater than 40 year old

A
  1. Mets
  2. MM
  3. Lymphoma
  4. Metabolic (browns Tumor)
  5. Sarcoma
How well did you know this?
1
Not at all
2
3
4
5
Perfectly
15
Q

General treatment of soft-tissue sarcoma

A

En-bloc resection + adjuvant radiation

How well did you know this?
1
Not at all
2
3
4
5
Perfectly
16
Q

Diagnosis?

A

Melorheostosis

Periosteal formation of new bone

Looks like dripping candle wax

Benign but painful

Symptomatic treatment ± excision

How well did you know this?
1
Not at all
2
3
4
5
Perfectly
17
Q

Name these translocations!!

  1. t(2;13)
  2. t(11;22)
  3. t(X;18)
  4. t(12:16)
A

  1. Alveolar rhabdomyosarcoma; t(2;13)
  2. Ewings Sarcoma; t(11;22)
  3. Synovial sarcoma; t(X;18)
  4. Myxoid liposarcoma; t(12:16)

How well did you know this?
1
Not at all
2
3
4
5
Perfectly
18
Q

Who gets Ewing’s sarcoma?

A

White males aged 10-20

How well did you know this?
1
Not at all
2
3
4
5
Perfectly
19
Q

What blood markers can be used to measure bone turnover?

A

ALP, LDH

How well did you know this?
1
Not at all
2
3
4
5
Perfectly
20
Q

What is stone man’s disease?

A

Fibrodysplasia ossificans progressiva

Hallmarks:

  • Progressive and EXTENSIVE heterotopic ossification (muscles, fascia, tendons, ligaments, joint capsules)
  • Congenital malformation of the great toe

Mutation in ACVR1 gene (activin A type I receptor)

How well did you know this?
1
Not at all
2
3
4
5
Perfectly
21
Q

Enchondromatosis is characterized by:

A) multiple enchondromas, hemangiomas, lymphangiomas

B) multiple enchondromas in a unilateral distribution

C) auto-dominant transmission, multiple enchondromas and osteochondromas

A

C

How well did you know this?
1
Not at all
2
3
4
5
Perfectly
22
Q

Poor prognostic indicators in Multiple myeloma (9)

A

Renal failure (worst)

hypercalcemia

Stage

Type (plasmacytoma has best prognosis)

chromosome 13 deletion or translocation (t4;14), 4(14;16)

circulating plasma cells

increased beta 2 microgloblulin (indicates elevated tumor burden)

decreased serum albumin

increased marrow microvessels

How well did you know this?
1
Not at all
2
3
4
5
Perfectly
23
Q

Surveillance of soft-tissue & osteosarcoma?

(They are the same)

A

Physical exam, CXR, CT Chest

1-2 years: 3 months

3-5 years: 6 months

5-10 years: yearly

How well did you know this?
1
Not at all
2
3
4
5
Perfectly
24
Q

Common locations of ABC?

A

Femur > tibia > spine

How well did you know this?
1
Not at all
2
3
4
5
Perfectly
25
What part of an osteochondroma is usually the site for secondary malignant transformation?
Cartilage cap
26
Name the tumours associated with NF1
**Wilm's tumour** **Optic glioma - part of dx criteria** Neurofibroma Neuofibrosarcoma Astrocytoma meningioma melanoma leukemia rhabdoyosarcoma pheochromocytoma carcinoma pancreatic endocrine tumors
27
Options for fixation of a met? (Be general)
1. ORIF Plate with cement versus nail 2. Arthroplasty 3. Endoprosthesis
28
Describe FU for solitary enchondroma with no concerning features:
serial x-rays q3-6 months for 1-2 years, then annually
29
What is the incidence of post radiation sarcoma in an area previously radiated to treat malignancy?
13% (more common if also had chemo)
30
When do osteochondromas stop growing?
At skeletal maturity
31
Episyphyseal lesions?
Chondroblastoma, infection, GCT
32
Does thickness of cartilage cap have an associated with risk of sarcomatous change in osteochondroma? If so, what is the limit?
Yes, but only in adults (skeletally mature) In kids, it is an unreliable finding \>2cm is a risk for change to chondrosarcoma
33
What is the main dDx for intramuscular myxoma that you must rule out?
myxoid liposarcoma
34
True or false, lipomas can present with pain?
True Angiolipoma often present as a painful mass
35
Name some negative prognostic characteristics of osteosarcoma.
1. Poor response to Neo adjuvant chemo (% necrosis) 2. Tumour size (\> 8 cm is bad) 3. Patient age (old is bad) 4. Higher stage of Tumor 5. Anatomical site (central is bad)
36
dDx for soft tissue sarcoma?
Soft-tissue sarcoma hematoma infection ±HO/MO if within a muscle
37
Chrondroblastomas are located where?
Epiphysis
38
Lifetime risk of malignant transformation for olliers?
30%
39
What are characteristics of a metastasis on X-ray?
Lytic Permeative Diaphysis/metadiaphysis Proximal long bone or spine
40
Describe the Enneking system for classifying malignant tumours.
Three factors: Grade, site and metasteses Grade is high or low Site is intracompartmental (enclosed by natural barriers) or extracompartmental
41
Parosteal osteosarcoma with invasion into medullary cavity - what is the affect on prognosis?
No effect - still good prognosis
42
Name 2 scoring systems that may help you decide whether to operate on a pathologic spine tumour
_Spinal instability neoplastic score_ based on: location, pain, type of lesion, spinal alignment, vertebra body collapse, involvement of posterior elements Score: 0-6: stable 7-12: impending instability 13-18: unstable _Modified Tokohashi Scoring system_ based on: Karnofsky performance status, # of extraspinal bony mets, # of vertebral body mets, Mets to major organs, primary site of cancer, palsy **Score** **0-8: \<6 months life expecancy: conservative + palliative** **9-11: life expectancy \> 6 months: palliative surgery** **12-15: life expectancy \> 1 year. Excisional surgery** I think the principles of these scoring systems are imporant JAAOS 2015
43
Dx & Treatment?
Parosteal osteosarcoma These are usually low grade Treat with Wide-resection only (usually curative) Chemo generally not indicated unless there is a high grade component
44
Presentation of glomus Tumour
Triad: * cold sensitivity * point tenderness * intermittent severe pain Also may have a bluish-reddish hue Occur in subungal region X-rays will show a scalloped, osteolytic defect
45
Name the 5 subtypes of liposarcoma.
Well differentiated liposarcoma Myxoid liposarcoma Pleomorphic liposarcoma Dedifferentiated liposarcoma Mixed-type liposarcoma
46
What is the most common sarcoma in the foot?
Synovial sarcoma
47
Soft tissue tumours that mets via LN & to places other than lungs
SCREAM Synovial sarcoma Clear cell sarcoma Rhabdomyosarcoma Epitheliod sarcoma Angiosarcoma Myxoid liposarcoma
48
Name 2 sarcomas for which excisional bx can be performed
Parosteal osteosarcoma low grade chondrosarcoma \*not sure I would say this on an exam It's from AAOS CORE2
49
What is a defining feature on histo for extra-articular desmoid tumour?
100% positive for estrogen receptor-beta
50
4 Options for treating PVNS (think techniques)
Arthroscopic synovectomy: best for focal disease arthroscopic + open synovectomy (ie arthroscopic + open posterior knee approach) Total joint arthroplasty + synovectomy Total synovectomy + arthrodesis ± radiation - addition of radiation combined with total synovetomy reduces recurrence to 10-20%
51
Risks for post-radiation fracture
Female Anterior femoral compartment resection Age Periosteal stripping Radiation dose osteoporosis
52
2 negative prognostic indicators of CMF
children lobulated with abundant myxoid material
53
Football player suffered injury after helmet to groin hit. Residual non-tender mass. Diagnosis? Treatment?
Myositis ossificans Non-operative - most resolve in a year or so If recalcitrant, excise, but not before it matures (\> 6 months) Note x-ray: it calcifies from outside in, vs. tumour, which goes inside out
54
Olliers is characterized by: A) multiple enchondromas, hemangiomas, lymphangiomas B) multiple enchondromas in a unilateral distribution C) auto-dominant transmission, multiple enchondromas and osteochondromas
B
55
What colour is bone matrix on staining?
Pink
56
What findings differentiate chondrosarcoma from a benign lesion?
1) myxoid matrix - may still have chondroid matrix, but generally the more myxoid the higher the grade 2) cortical thinning or thickening 3) soft tissue mass 4) invasion of haversian system
57
5 tumors that can have an associated ABC?
1. giant cell tumor 2. chondroblastoma 3. fibrous dysplasia 4. chondromyxoid fibroma 5. NOF
58
Fallen leaf sign what is it what is it pathognomonic for?
Cortical fragment in the bottom of an empty cyst UBC
59
4 associated conditions of NOF
Jaffe-Campanacci syndrome Neurofibromatosis Familial multifocal NOF ABC
60
What is the treamtnet of low-grade intramedullary osteosarcoma?
Surgial resection only This is the exception of the usual rule of chemo-sx-chemo for sarcoma
61
Components of local staging?
MRI to characterize lesion (of entire bone) Biopsy (can do soft tissue mass) Send for pathology and cultures Adequate hemostasis Good lesional tissue Use pathology to prognosticate
62
Physical exam for metastasis with unknown origin must include?
Thyroid exam Lung exam Abdomen exam Breast/prostate exam
63
Describe the bones in enchondromatosis?
Dysplastic They are not normal and can have deformities
64
Young, thirsty kid with these findings. Diagnosis?
Hans-Schuller-Christian disease (disseminated eosinophilic granuloma) Classic triad: Exophthalmos Diabetes insipidus Lytic skull lesions
65
What malignant tumour can secondarily arise from a bone infarct, Paget's disease or prior radiation?
Malignant fibrous histiocytoma (aka Undifferentiated pleomorphic sarcoma)
66
What do you do following unplanned excision of soft tissue sarcoma?
Work up as normal Local staging to look for extent of tumour bed and contamination Systemic staging to look for mets Definitive is re-resection of tumour bed and all associated contaminated compartments Radiotherapy (controversial whether pre or post-op)
67
Tumour association with poly-vinyl chloride
Angiosarcoma very aggressive vascular tumour
68
Overall prognosis for multiple myeloma? What confers the worst prognosis?
Poor Median survival 3 years from diagnosis 5 year survival: 30% 10 years survival: 10% Shortest survival in patients with renal failure
69
Name 3 syndromes assocaited with Fibrous Dysplasia
McCune Albright Mazabraud Osteofibrous dysplasia
70
What sarcoma has flat epithelial cells on pathology?
Synovial sarcoma
71
What is radiation dose for HO prophylaxis?
6Gy | (vs. 45-60 for soft tissue sarcoma)
72
Genetics for myxoid liposarcoma
t(12;16) Creates CHOP-TLS fusion protein
73
What physeal zone does osteochondroma/MHE stem from?
Proliferative
74
What Tumor stains for MIC2 antigen?
Ewing's sarcoma. This is how you differentiate it from other small round blue cell tumors.
75
What is the most common malignant bone tumour of the hand?
Chondrosarcoma THINK: common to have enchondromas in hand, so one of them must transform
76
3 non-neoplastic things to consider adding on to the end of a ddx for bone lesion?
EG Infection Hyperparathyroidism (if older)
77
What is the recurrence rate of osteoid osteoma treated with percutaneous radiogrequency ablation?
10-15%
78
Describe Harington's Criteria
\>50% destruction of diaphyseal cortices \>50-75% destruction of metaphysis (\>2.5cm) Permeative destruction of the subtrochanteric fermoal region persistent pain following irradiation
79
Treatment of osteofibrous dysplasia?
nonoperative - observation bracing if deformity interfering with walking OR if you need correction of deformity (osteotomy)
80
Cause of Paget's
Thought to be a slow viral infection by paramyxovirus or RSV as most are spontaneous There is a small group of heritable Paget's also
81
What kind of matrix does ewings usually have?
None
82
Poor prognostic indicators for EG
involvement at young age rapid disease progression organ involvement (eg pituitary, lung, hematopoietic, or liver involvement); \*organ dysfunction carries an especially poor prognosis
83
Older than 40 , blastic lesion DDx (4)?
Metastases (prostate) Bone island Bone infarct Osteoblastoma Infection
84
Name two enchondroma syndromes.
1. Olliers 2. Maffuccis
85
Classic findings of Hans-Christian-Schuller Disease
Disseminated form of EG Triad: Skull lesions diabetes insipidus (thirst) Exopthalmos (double vision)
86
Osteolysis in tumour is caused by the action of what cytokine on what cell?
RANKL on osteoclastic cells (not on tumour cells)
87
Genetically, how does osteofibrous dysplasia differ than regular fibrous dysplasia?
It doesn't have the Gs alpha activating mutation
88
Name the basic biopsy principles.
1. Biopsy through (single) involved compartment 2. Use extensile incision (usually longitudinal) 3. Meticulous hemostasis 4. Do not create multiple planes 5. Bring out drains in line with incision (so the tunnel can be removed with definitive resection) 6. should biopsy soft tissue component of bone tumour if possible 7. round holes in bone, not square 8. do not exanguinate before tourniquet 9. avoid nv structures
89
Compare pre vs. post operative radiation for soft tissue sarcoma:
Pre/neoadjuvant RTx: Lower dose Lower field (b/c you haven't contaminated it with surgery) Lower rates of fibrosis Also lower rates of edema and joint stiffness, but not statistically significant (Lower overall functional rates if they had fibrosis, edema and stiffness) HOWEVER: higher risk of wound infection Generally, neoadjuvant (pre) RTx is better, even tho wound complications are higher SR2 study: know this data - it's canadian
90
6 lesions on the posterior elements of spine
G: giant cell tumour (although most commonly in vertebral body) O: osteoblastoma T: tuberculosis **A: aneurysmal bone cyst (only one PURELY found posteriorly)** P: Paget disease E: eosinophilic granuloma GO TAPE
91
4 posterior element tumours
ABC osteoid osteoma osteoblastoma osteochondroma
92
What systemic pathology (ie non ortho) do people with Paget's disease get?
high output cardiac failure due to increased turnover of bone
93
What percentage of vertebral body tumours are malignanet?
75%
94
What bone metasteses are not redio sensitive? Which is the most readio-sensitive?
1) GI and Renal 2) Prostate
95
Classic spine finding in eosinophilic granuloma Name 1 other classic finding
Vertebra plana aka platyspondia Multiple punched out/lytic cranial lesions (ask for skull x-ray)
96
Which side of the spine in an osteoid osteoma normally found in?
Concavity of the spine
97
Histology of ewings sarcoma?
Small round blue cells
98
How do you classify UBC?
Active - in continuity with physis Latent - bony bridge between UBC and physis
99
Most common location of mets in soft tissue sarcoma
Lungs They *can* mets to LNs, but lungs are still most common
100
Survival rate of chondrosarcoma
Directly correlates with histological grade: Grade 1: 90% Grade 2: 60-70% Grade 3: 30-50% **De-differentiated: 10%**
101
What are the main steps in treatment of malignant bone tumour?
1. Neo adjuvant chemotherapy 2. Re-stage with imaging for response to therapy and operative planning 3. Surgery - limb sparing vs. amputation 4. Post-operative chemotherapy - use pathology to prognosticate
102
Treatment?
Chordoma Wide resection is standard of care ± radiation if: positive margins inoperable tumour
103
What is the most common cause of painful scoliosis in the adolescent population?
osteoid osteoma
104
5 complications with treatment of UBC
recurrence fracture embolizatio of injected material local reaction to injected material growth disturbances
105
What kind of tumour results from malignant transformation of a chronic OM? what is the treatment?
SCC Treat with wide excision/amputation + adjuvant chemo/rads Prognosis is poor with late diagnosis, good with early
106
Patient comes in post-MVC with a pathologic fracture through this. Dx as ABC. What is your plan?
Non-operative fracture management Once healed, then proceed with intralesional curettage Remember to treat path fractures non-op!
107
4 predisposing genetic factors for intramedullary osteosarcoma
Rb + p53 Rothmund thomson syndrome LiFraumeni syndrome
108
60 yo F with constitutional symptoms, pain palpable mass. (see picture) Dx & treatment
Lymphoma Treatment is surgical stabilization, chemo, radiation \*Lymphoma can have a soft tissue mass! \*lymphoma: small round blue cell
109
What do the terms onion skinning and sunburst refer to on radiographs? Which Tumors are each characteristic of?
Types of periosteal reaction Onion skinning = ewings Sunburst = osteosarcoma
110
Age range for GCT?
20-40
111
indications for excisional bx
superficial to fascia Not overlying NV structure excise AND LEAVE BEHIND FASCIA
112
"Pop corn densities" are useful in differentiating what secondary malignancy from its benign precursor?
Secondary chondrosarcoma from enchondroma.
113
What is the histo of periosteal osteosarcoma
osteoid + chondroblastic matrix If no osteoid, will be classified as chondrosarcoma
114
What tumor shows predilection for the distribution shown in this figure?
Giant Cell Tumor
115
Desribe AJCC classification system
Soft soft tissue tumours: See picture
116
Name 5 signs/symptoms that are concerning for chondrosarcoma, you know, that may be in a stem of a question
Deep Endosteal scalloping (\>2/3) Pain/progressive pain Night symptoms/constitutional symptoms Periosteal reaction Soft tissue extension Lysis of prior chondroid mineralization
117
Ddx for multiple giant cell containing lesions?
Multifocal GCT Browns Tumor
118
Management of hypercalcemia
Fluids (200-300mL/hr initially, then maintaining u/o 100-150mL/hr) Calcitonin Bisphosphonates Can use denosumab if refractory to bisphosphonates **LOOP DIURETICS ARE NOW NOT RECOMMENDED**
119
dDx for Benign Latent Lesion (3)
Osteochondroma NOF Enchondroma
120
Treatment for suspected low-grade chondrosarcoma (instead of enchondroma)
intralesional curettage
121
Histopathology of GCT?
Multinucleated giant cells. May see bone. Mononuclear stromal cells
122
Where is the most common place for sarcomas to metastasize?
1. Lungs 2. Another bone
123
What is Denosumab?
RankL inhibitor. This is a ligand for the Rank receptor and acts as a signal for bone removal. Denosumab is an analogue and used in GCT tumours to prevent bone turnover.
124
General treatment approach for bone sarcoma?
1. Neo adjuvant chemotherapy, multi-agent 2. Re-stage with imaging to assess for interim progression/metastases and pre-op planning 3. Wide resection 4. Chemotherapy - use response to pre-op chemo to prognosticate (% necrosis of surgical pathology) and target therapy
125
Name & decribe the possible life threatening complication of hemangioma
Kasabach-Merrit syndrome entrapped platelets in the hemangioma leading to a possible fatal coaguloapthy
126
Phases of Paget's disease
Lytic: osteoclastic resorption Mixed: resorption & compensatory bone formation Sclerotic: bone formation predominates All 3 may exist at same time so Paget's can look lytic, mixed or sclerotic (like OM its a mimicker)
127
Differential for small round blue cells on histology?
Ewing's sarcoma Lymphoma Osteomyelitis Multiple myeloma Histiocytosis Rhabdomyosarcoma Neuroblastoma (LERN'M)
128
What tumor shows predilection for the distribution shown in this figure?
Osteoid Osteoma
129
What happens to NOF as the patient grown and reaches skeletal maturity
Migrate to diaphysis as patient grows AND GET **LARGER** Will then usually self-resolve (become sclerotic and then go away) as the patient reaches skeletal maturity
130
Local Recurrence rate for well differentiated vs. high grade?
Well differentiated: 10% High grade: 20%
131
Benign tumours that can metastasize to lungs (2)
GCT Chondroblastoma
132
Epiphyseal Lesion with this biopsy. Diagnosis?
Clear cell chondrosarcoma
133
7yo M severe pain after ice skating. How do you treat?
UBC (fallen leaf sign) Weight bearing area Treat with bone grafting and internal fixation
134
What is the most common soft tissue sarcoma in kids?
Rhabdomyosarcoma
135
On an exam, what tumour has codman's, what has onionskinning?
Codman's: osteosarc Onion-skinning; Ewings
136
2 risk factors for malignant transformation of osteochondroma
Cartilage cap \>2cm in adults (some say \>0.9cm is a risk factor) Sessile lesions
137
What primary cancer diagnosis is associated with the shortest life expectancy after pathologic fracture?
Lung cancer
138
Medical managmeent for fibrous dysplasia?
bisphosphonate decreases pain and bone turnover
139
How do you differentiate between ABC/GCT vs. UBC on x-ray
UBC is not as expansile It generally doesn't go past the width of the physis
140
Which chondrosarcoma variant is typically epiphyseal?
Clear cell chondrosarcoma
141
Osteosarcoma: poor prognostic indicators:
Advanced stage of disease (most prognostic of survival) Mets on presentation Axial location/mets Skip lesions Poor response to chemotherapy (\>98% necrosis is a GOOD sign) Increased LDH and/or ALP Tumour site & size Expression of P-glycoprotein Vascular involvement Margins Site & size of tumour Type of sarcoma (parosteal better than intramedullar/conventional)
142
Imaging for metastasis with unknown origin?
Chest X-ray X-ray of involved bone Any painful extremities Bone scan If suspect myeloma, skeletal survey Consider MRI of bone lesion Ct chest/abdo/pelvis
143
What is a unique treatment option of neuroblastoma?
In young kids, nonoperatiave as they may spontaneously regress
144
4 *extraosseous* findings in fibrous dysplasia
cafe-au-lait spots precocious puberty intramuscular myxoma Chereubism
145
# Define the stages and survival for AJCC IA IVB
IA: low grade \<8cm No LN No mets 5 year survival 98% IVB: Any tumour with mets to site other than lungs 5 year survival 30%
146
What tumor shows predilection for the distribution shown in this figure?
Ewings Sarcoma
147
What is the primary difference between sarcomas and carcinomas? (In terms of lineage)
Carcinomas = epithelial Sarcomas = mesemchymal
148
What is the most important factor for 5 year disease free survival in soft tissue sarcoma? What happens if this is not achieved?
Size of operative margin larger margin = better b/c it avoids microscopic contamination If you have + margins, must take back for re-resection of tumour bed
149
What is the most common malignancy of bone? What is the most common primary malignancy of bone?
What is the most common malignancy of bone? Mets What is the most common primary malignancy of bone? myeloma
150
Describe Mirel's score
151
What mutation is characteristic of fibrous dysphasia?
G-Protein mutation
152
Treamtent of leiomyosarcoma?
Surgical resection and CHEMO Although effet is variable, some studies show better outcomes with surgical resection + chemo. No role for radiation except if you can't get margins **This is one of the _exceptions_ of regular ST sarcoma treamtent of surgery and radiation** Recall: synovial sarcoma may be respnsive to chemo also, but in that one you use RTx
153
Knee pain and this picture. Previous aspiration showed hematoma. Diagnosis & management?
PVNS clue: affects both sides of the joint and causes OA like destruction (cysts) Debridement ± radiation
154
What % of plexiform neurifibroma's transform into neurifibrosarcoma?
10%
155
Post-op radiation after prophylactic surgery for impending pathologic fracture has what 3 goals
Decrease pain slow progression treat remaining tumour burden not removed at surgery
156
Recurrence for PVNS?
30-50% - high Therfore for treatment, may start with minimally invasive (arthorscopi) but make patient aware you may have to open later on
157
Diagnosis & treatment?
Synovial chondromatosis (calcified stippling affecting *both sides of joint*) Treatment: Arthroscopic debridement (symptomatic treatment)
158
Why do you take out a retroperitoneal lipoma?
It has a higher chance of being a liposarcoma
159
Dosing side effects of wound healing post external beam radiation
\<45 Gray: usually leads to uncompliated tissue healing 45-55 Gray: tissue heals but with problems \>60 Gray: tissue will likely not heal
160
Jaffe-Companacci syndrome
Congenital syndrome of: multiple NOFs cafe-au-lait pigmentation mental retardation heart, eyes, gonads involved
161
What tumour is associated with Dupuytrens, Ledderhose and Garrods? What other inherited condition is it associated with?
Extra-abdominal desmoid tumour familial adenomtaous polypsis (FAP)
162
Indications for non-excisional bx
\>5cm deep to fascia surrounds NV structure and NOT a lipoma overlies bone Hx of "treated" carcinoma unclear diagnosis
163
What are Birbeck granules diagnostic of?
Eosinophilic granuloma
164
You should embolize mets from which lesions?
RCC Thyroid Hepatocellular carcinoma
165
Local recurrence rate of chordoma?
50% (very high) Proton-photon beams may help decrease this
166
Inheritance pattern of enchonromatosis (Ollier's/Maffuci)?
No inheritance pattern MHE is AD though
167
What primary bone malignancies are more likely in patients over 40?
Plasmocytoma (solitary myeloma) Primary lymphoma of bone Chondrosarcoma MFH
168
Genearlly, what do soft tissue sarcomas look like on MRI?
Dark on T1 Bright on T2
169
Management of pathologic fracture through enchondroma?
Cast with delayed curettage until after healing
170
dDx for Benign Active lesion (6)
Fibrous dysplasia UBC EG Osteoid osteoma Chondroblastoma Painful enchondroma
171
GCT location mainly?
Prox tibia, distal femur, proximal humerus, distal radius I.e. Where a lot of growth occurs
172
Poor prognostic indicators for Ewing's (5)
spine and pelvic tumors tumors greater than 100cm3 \< 90% necrosis with chemotherapy elevated lactic dehydrogenase levels p53 mutation in addition to t(11:22) translocation
173
Diagnosis & Treatment?
Schwannoma Classic "String Sign" (Soap on a rope) Marginal excision Try not to damage nerve to preserve function
174
Best cure rate of SCC?
Moh's microsurery
175
t(12;16)(q13;p11.2) (CHOP transcripton factor)
Myxoid liposarcoma
176
Treatment for solitary plasmacytoma
External beam irradiation alone ± surgical stabilization
177
What is the approach to neoadjuvant chemotherapy for pre-operative malignant bone tumour?
Multiagent chemotherapy: 1. Methotrexate 2. cisplatin 3. Doxorubicin 4. Ifosfamide
178
Most common complication of TKA & THA in Paget's popuation?
TKA: malalignment THA: excessive bleeding Therefore, treat medically before elective hip/knee surgery to decrease bleeding risk
179
What is the most common subungla malignancy?
SCC
180
GNAS mutation is associate with what condition?
Polyostotic fibrous dysplasia Mcune Albright syndrome
181
What percentage response to chemo is a good prognostic indicator?
\>98%
182
Where do neurofibrosarcoma's arise?
From a peripheral nerve or from a neurofibroma (malignant transformation)
183
What must you do to gain adequate margins when resecting a chordoma?
Sacrifice the nerve roots
184
You suspect soft tissue sarcoma but MRI is indeterminant. Your core biopsy comes back as hematoma only Next step?
Open biopsy CANNOT resect this tumour if you suspect soft tissue sarcoma as many of the core's come back as hematoma
185
Recurrence of chondrosarcoma is directly related to what?
Increased telomerase activity
186
In synovial chondromatsis, is the cartilage normal?
No - metaplastic
187
Benign bone lesion in spine is usually what?
Osteoblastoma
188
Does radiation have a role in treatment of Ewing's sarcoma?
Yes, if wide resection is technically difficult or if a Tumor was inadequatly resected based on pathology
189
Synovial sarcoma is a misnomer. What percentage of these tumours actually arise is a major joint?
10%
190
At what age does metastases become more common than primary bone malignancy?
40
191
Diagnosis?
Chondroblastoma classic: chondroid matrix epiphyseal crossing into metaphysis lots of surrounding edema dDx: clear cell chondrosarc
192
How can you differentiate schwannoma from neurofibroma on MRI?
Schwannoma is eccentric and separate from nerve. Neurofibroma is central with the nerve runnign through it.
193
What is the most important factor in preventing local recurrence of a tumour?
adequacy of surgical margin
194
Treatmet for symptomatic, large NOFs
curettage & bone graft
195
This patient is having leg pain unresponsive to conservative mangaement. Diagnosis? Treatment?
Paget's disease Treatment with metaphyseal osteotomy with plate fixation (Metaphyseal \> diaphyseal, plate \> IMN - Parvizi)
196
3 Manifestations of fibrous dysplasia
McCune Albright Mazabraud Osteofibrous dysplasia
197
Treatment of lymphoma
Multiagent chemotherapy ± local radiation ± surgical fixation for instability/pathologic fractures
198
Accuracy of core biopsy done in the office?
80%
199
What is the classification system for GCT?
Campanacci: I: Intramedullary lesion confined to bone II: Thinned, expanded lesion III: Cortical breach
200
Name 3 reasons why prophylactic fixation is better than fixing an actual pathologic fracture
Shorter OR time Less morbidity Quicker recovery
201
You diagnose myxoid liposarcoma. How do you stage?
CT chest, abdo, pelvis (not just CT chest) Myxoid liposarcoma specifically has the tendency to spread to areas other than lungs
202
2 differentiating factors from myositis ossificans and tumour
Calcifies from outside - in (vs. tumour - inside out) Intramuscular origin
203
What Tumor has characteristic fluid levels on MRI?
ABC
204
Most common site for bony mets Most common site for pathologic fracture secondary to mets to bone
Most common site: thoracic spine Most common site of pathologic fracture due to mets: proximal femur
205
Treatment algorithm for soft tissue sarcoma
Radiation + wide excision Whether you do pre-vs. post op radiation is controversial with pros and cons
206
Risk of metasteses with Liposarcoma by grade?
* Low grade (well differentiated) = * High (undifferentiated) = 50%
207
Cell type of synovial sarcoma
Usually biphasic with spindle cells (fibrous) & epithelial cells NOT SYNOVIAL CELLS
208
## Footnote Lifetime risk of malignant transformation for multiple hereditory exostosis?
10%
209
Name the radio-resistant tumours
(TUMOR) **T**hyroid **U**ndifferentiated soft tissue tumour & chondrosarcoma (Except mesenchymal and dedifferentiated??) **M**elanoma **O**steosarcoma **R**CC
210
What is the most common solid tumour of childhood? Is it malignant or benign?
Neuroblastoma Malignant
211
Patient with RTC symptoms and solitary enchondroma found on imaging. Plan?
Treat mechanical symptoms of RTCT. No need to treat incidentally found enchondromas as they normally have nothing to do with adjacent joint mechnical symptoms If enchondroma is truly symptomatic, then intralesional curettage
212
Distal radius lytic lesion DDH? (4)
GCT Abc Chondrosarcoma Telientatic osteosarcoma
213
Poor prognostic indicators in osteosarcoma (11)
advanced stage of disease (most predictive of survival) response to chemotherapy (as judged by percent tumor necrosis of resected specimen) * \>98% is a good prognostic indicator, but doesn't say what's bad tumor site and size expression of P-glycoprotein tumor cells can pump chemotherapy out of cell with MDR expression present in 25% of primary lesions and 50% of metastatic lesions high serum alkaline phosphatase high lactic dehydrogenase vascular involvement surgical margins type of chemotherapy regimen
214
Genetic translocation association with osteosarcoma?
None no ***translocation*** However it has associted mutations: p53, Rb
215
dDx for path with giant cells
GCT ABC telangiectatic osteosarcoma conventional osteosarcoma
216
Metastatic Tumor that is blastic?
Prostate
217
A translocation of chromosome 11 and 22 resulting in a chimeric protein is characteristic of what Tumor?
Ewing's sarcoma Translocation results in EWS gene
218
You are working up a malignant looking tumor. It is bright on T2 with liquid, purulent looking gross pathology and no osteointegration matrix. what is it?
Ewing's sarcoma
219
Synovial sarcoma treatment
Same as any other soft tissue sarcoma: wide resection + radiation Radiation can be pre or post op (controversial) UNLIKE other ST sarcomas, **_chemo_** may **help** in synovial sarcoma in both local control and overall survival
220
What colour is chondroid matrix on staining?
Blue
221
You're suspicious of multiple myeloma. How do you stage it?
Skeletal survey NOT bone scan, b/c they will be cold in 30% (b/c it lacks osteoblastic activity)
222
What is the diagnostic criteria for MM?
requires one major and one minor (or three minor) criteria for diagnosis **_major criteria_** biopsy confirmation of plasmacytoma \>10% plasma cells on bone marrow biopsy serum IgG \> 3.5g/dL, IgA \> 2g/dL urine IgA \> 1g/24hr or presence of Bence Jones proteins **_minor criteria_** 10-30% plasma cells on bone marrow biopsy serum or urine protein levels below those listed for major criteria presence of multiple lytic bone lesions ("punched out" lesions without evidence of surrounding sclerosis) decreased serum IgG levels
223
Recurrence rate of UBC
depends on treatment modality but generally up to 25-30% is reasonable With steroids, some have reported recurrence up to 88% (JAAOS 2014)
224
What benign tumour is characterized by fatty infiltration of sub synovial connective tissue?
Lipoma aborecens
225
What primaries metastasize to bone?
Lymphoma Melanoma Visceral carcinomas: Breast Prostate Lung Kidney Thyroid
226
Driving cell behind Paget's?
ostoclasts
227
What primaries are most likely to present as metastasis with unknown origin?
Lung and kidney (because they are more likely to be occult)
228
How do you differentiate between ABC and telangiectatic osteosarcoma on MRI?
It's hard - you can't really orthobullets says you need bx to truly differentiate top: TO Bottom: ABC
229
What part of bone does ewings usually occur?
Diaphysis
230
Most common tumour of hand?
enchondroma
231
What on histo is pathognomonic for Schwannoma?
Verocay bodies Composed of 2 rows of aligned nuclei in a palisading formation
232
Preferred treatment of EG. Name 5 modalities Salvage procedures
Nonop with treatment of mechanical symptoms preferred * Obervation alone * bracing (if amenable) * Low dose radiation (for spinal lesions that cause neuro symptoms) * Chemo (diffuse HSC) * Corticosteroid injections * Bisphosphonates _Operative if fails:_ * Curettage and bone grafting for lesions endangering articular surface * Spinal deformity correction
233
Dose for adjuvant radiation in soft-tissue sarcoma? What are complications of 45 Gy vs 60Gy?
45-65Gy 45Gy: woudn has delayed healing 60Gy: wound not expected to heal
234
CD99
Ewing's sarcoma
235
8 lesiosn that can be found in vertebral body
multiple myeloma (most common primary tumor of spine) - chordoma - osteosarcoma - hemangioma - giant cell tumor of bone: sacrum; - eosinophilic granuloma - osteosarcoma of the spine - osteoid-osteoma and osteoblastoma of the spine
236
dDx for Benign aggressive lesion
Osteoblastoma GCT ABC CMF Chondroblastoma ±UBC
237
Long term survival of parosteal osteosarcoma when local contrl has been achieved
95%
238
What subtype of lipoma is painful?
AngioLipoma
239
Poor prognostic indicators in Ewing's
male age \>14 fever anemia high LDH axial location use of radiotherapy without surgery poor histologic response to chemo Transcription Type II (Survival benefit with transcription type I EWS/FLI1 mutation) Poor response to chemo No effect of pathologic fracture Local recurrence not as poor prognostic factor as in osteosarcoma ("death sentence" if local recurrence in osteosarcoma)
240
Most common site of mets of osteosarcoma
Lung: most common Another bone: second most common
241
Tumours that mets to bone
breast lung thyroid renal prostate \*all the paired organs
242
What are the three treatment facets of a MM bone lesion?
With a confirmed diagnosis, the treatment of multiple myeloma involves **radiotherapy, bisphosphonates +/- surgical stabilization**. Surgical stabilization is utilized when there is a complete or impending fracture.
243
CD31 & polyvinyl chloride exposure is a risk for what?
ANgiosarcoma rare
244
What is the local recurrence rate with ABC? Name 1 adjunct that may help decrease local recurrence?
25% local recurrence High speed burr Phenol Less common in older kids
245
Bloodwork for metastasis with unknown origin?
Spep/upep CBC Esr Lytes Liver enzymes Psa Alp LDH
246
Survival of Chordoma?
60% 5 year survival 25% long term survival local extension may be fatal
247
What kind of biopsy is contraindicated in chordoma?
transrectal
248
Maffuccis is characterized by: A) multiple enchondromas, hemangiomas, lymphangiomas B) multiple enchondromas in a unilateral distribution C) auto-dominant transmission, multiple enchondromas and osteochondromas
A
249
What does it mean if a Tumor is biphasic?
It contains both epithelial and mesemchymal neoplastic cells
250
For ewings sarcoma, what blood markers should be added to the typical malignant work up and why?
CBC, esr and crp to differentiate it from osteomyelitis In ewings esr will be up (but not crp?)
251
Indications for marginal resection of lipoma (4)
Symptomatic lesions Rapidly growing mass Deep to fascia or in retroperitoneum Spindle cell & pleomorphic variants
252
What term is typically used to describe the following genes: p53 and RB-1
Tumor suppressor genes.
253
In terms of tumour location, what are apophyses treated like?
Epiphysis THINK: locations for chondroblastoma (GT apophysis, calcaneal apophysis etc...)
254
3 dDx for anterior tibial liesion
osteofibrous dysplasia adamantinoma malignant fibrous histiocytoma
255
What tumor am I? Estrogen Beta Positive Locally invasive but benign Can treat with Tamoxifen Associated with FAP and Dupuytrens
Extra-Abdominal Desmoid Tumor
256
Lifetime risk of malignant transformation for solitary enchondroma?
1%
257
What is special about biphasic sarcomas in terms of metasteses?
They can go to lymph nodes, which is unusual for sarcomas. Also they metastasize to locations other than the lungs.
258
Name 2 types of benign periepheral nerve sheath tumours What's the difference
Scwannoma: only made up of Schwan cells Neurofibroma: Arises from Schwann cells but also has other cells (fibroblasts etc)
259
PVNS typically contains which pigment?
Hemosiderin deposits
260
Gene associated with primary ABC?
Tre2
261
3 Predictors of UNSUCCESSFUL treatment of UBC with steroids
active lesion large size multiloculated
262
Long standing chronic draining wounds or burn scar are at risk of what?
Transformation into SCC (Marjolin's ulcer)
263
What Tumor is usually epiphyseal in skeletally immature with chicken wire calcifications?
Chondroblastoma Also has mononuclear chondroblasts
264
Name 3 soft tissue tumours that chemo can help with:
Synovial sarcoma Leiomyosarcoma Rhabdomyosarcoma (only in paediatric population, not adults)
265
Common presentations in Chordoma?
bladder & bowel changes are common! palpable on rectal exam
266
What staging investigation must you include in epitheliod sarcoma (and certain other soft tissue sacomas)
Sentinel LN biopsy
267
Li-Fraumeni syndrome: what germ line mutation & tumour is it associated with
p53 osteosarcoma also: breast, colon Ca
268
Name 4 vertebral body tumours
hemangioma GCT chordoma multiple myeloma Lymphoma
269
What is the most common benign radiation induced tumour of bone?
osteochondroma
270
Indications for bone marrow biopsy? (i.e. what tumors necessitate this)
1. Ewings 2. Multiple Myeloma 3. Rhabdomyosarcoma
271
Patient is complaining of on and off pain, tenderness to palpation and cold intoleratnce. This is the clinical picture. Diagnosis & Management?
Glomus tumour _Classic triad_ * paroxysmal pain * exquisite tenderness to palpation * Cold intolerance Treatment: marginal resection is curative
272
Tretment of fibrous dysplasia?
Observation ± bisphosphonates: asymptomatic lesions Operative with internal fixation and autologous bone graft (symptomatic)
273
What is unique in Ewing's as part of staging?
Bone marrow biopsy looks for BM mets that would change prognosis
274
Which primary has worst prognosis once mets are present in bone?
Lung
275
How do you differentiate between ABC and telangiectatic osteosarcoma?
Biopsy Telengiectatic osteosarcoma is Slayers Sarcoma because it is Lakes of Blood
276
A 75-year-old man presents with a displaced femoral neck fracture. During your surgical exposure for a hemiarthroplasty, the femoral neck has fractured through a pathologic lesion which is diagnosed as a lymphoma on frozen section. The lesion is located in the center of the femoral neck and the calcar femorale is not involved. Your treatment should include
Hemiarthroplasty & postoperative staging and chemo-radiotherapy as needed Lymphoma can be treated with chemo-rads for local and distant disease If it was osteosarc: close and regular sarcoma protocol
277
SYT-SSX1, SYT-SSX2, or SYT-SSX4 translocation (t(X;18)(p11;q11))
Synovial sarcoma
278
Classic spine finding in EG?
vertebra plana Couldn't find a good picture but can be subtle - remember the SPORC case??
279
What is the risk of malignante transformation of fibrous dysplasia?
1% into osteosarcoma, fibrosarcoma or MFH
280
What is the usual indication for radiation therapy at the following doses? a) 6 Gy b) 30 Gy c) 60 Gy
a) HO prophylaxis b) Treatment of a boney Met c) Adjuvant therapy for soft tissue sarcoma
281
Poor prognostic sign in neuroblastoma?
bony mets
282
Name 2 tumours affecting multiple vertebra
metastatic disease multiple myeloma (remember may be cold on bone scan)
283
Benign aggressive looking lesion. Must rule out what malignancy?
Telangiectatic osteosarcoma
284
Enchondromas always central metaphyseal t/f?
True
285
Which sarcoma is radio/chemo resistant? A) liposarcoma B) osteosarcoma C) chondrosarcoma D) Ewing's sarcoma
C) chondrosarcoma
286
What are the three biphasic sarcomas?
1. Synovial sarcoma 2. Angiosarcoma 3. Mixed liposarcoma
287
UBC on MRI?
very Dark on T1 Very bright on T2
288
What percentage of UBCs heal after fracture?
10-15% (JAAOS 2014 says
289
Which soft tissue tumour is relatively insensitive to both radiation and chemo?
Angiosarcoma
290
Man has radicular buttock pain MRI shows large nerve lesion in sciatic What is it likely?
Neurofibrosarcoma (malignant peripheral nerve sheath tumour) They affect large nerves Must resect entire affected nerve
291
What type of nerve cells is responsible for the neurofibromas in NF1?
non-myelinating Schwann cells (vs. myelinating in solitary neurofibromas)
292
What type of resection are you performing with PVNS
Marginal resection is what you're aiming for (with arthroscopic, probably doing intralesional)
293
Host lamellar bone entrapment is characteristic of what malignancy?
Chondrosarcoma
294
Best UBC lesions to pursue steroid injections
Predictors of success following UBC treated with steroids approaching skeletal maturity Not loculated smaller size Fracture of inner wall (radiograhpically active - Can't find a reference - probabyl a POOR sign though. This contrasts "approaching skeletal maturity")
295
Most common presentation of chondroBLASTOMA
pain
296
Treatment for multiple myeloma
multiagent chemotherapy (mainstay) bisphosphonates (helps reduce number of skeletal events) Surgical stabilization
297
Orthopaedic Tumours that Spread to LN's
Synovial Sarcoma epitheliod sarcoma angiosarcoma rhabdomyosarcoma clear cell sarcoma
298
Diagnosis & Treatment?
Adamantinoma (NOT OFD b/c not confined to cortex - much more malignant. ALso associated with bowing) Treatment: wide resection + reconstruction (intercalary graft)
299
Histologically, how do you differentiate ABC from telangiectatic osteosarcoma?
TO: lakes of blood filled mixed with neoplastic cells (top) ABC: Cavernous blood filled spaces with no endothelial lining (bottom)
300
Describe Mazabraud syndrome
Polyostotic fibrous dysplasia intramuscular myxoma
301
What is a Bence Jones Protein?
Light chain immonuglobulin found in multiple myeloma.
302
What kind of chondrosarc does enchondrama change into?
low grade chondrosarcoma
303
## Footnote Lifetime risk of malignant transformation for Maffucis?
100%
304
Name the 3 manifestations of eosinophilic granuloma and their characteristics
_Eosinophilic granuloma_ * Single self-limited lesion in younger patients _Hand-Schuller-Christian disease (HSC)_ * chronic, disseminated form with bone and visceral lesions _Letterer-Siwe Disease_ * Fatal form that occurs in young kids **Can be Monoostotic or Polyostotic**
305
What tumor shows predilection for the distribution shown in this figure?
Lymphoma
306
Recurrence rate of GCT of tendon sheath after marginal excision?
5-50%
307
Treatment for neurofibrosarcoma (malignant peripheral nerve sheath tumour)? What must you specifically do?
Wide resection Must resect the entire affected nerve
308
Name the syndromes associted with the spectrum of Langerhans cell histiocytosis
_Eosinophilic Granuloma_ * Self-limited in younger patients _Hand-Schuller-Christian Disease_ * Chronic, disseminated form _Lettere-Siwe Disease_ * Fatal for in young kids
309
Do osteochondroma transform into high or low grade chondrosarcoma?
Low grade
310
Which primary can have mets distal to knee and elbow?
Lung
311
Name 1 poor prognostic factor for parosteal osteosarcoma
de-differentiation
312
Indicatios for surgical resection in osteoid osteoma
painful scoliosis Too close to vital strucures for radiofrequency ablation (neural elements, skin)
313
NOF can be associated with what other tumour
ABC
314
In operative management of fibrous dysplasia, what should you never use
Autograft It will rapidly be turned into fibrous dysplastic woven bone
315
Benign aggressive lesions? (3)
GCT, ABC, osteoblastoma
316
Seven questions for evaluating bone lesion on x-ray? (as per Toronto group)
1. where is it? 2. how big is it? 3. What is it doing to bone? (destructive? geographic? permeative?etc.) 4. what is bone doing to it? (sclerosis? periosteal rxn?) 5. matrix? 6. cortex? (eroded? preserved? neocortex? endosteum?) 7. soft tissue mass?
317
Which soft tissue sarcomas need chemo?
RSSD Rhabdomyosarcoma Synovial sarcoma Soft-tissue Ewings de-differentiated chondrosarc HOWEVER THIS IS CONTROVERSIAL SAFE ANSWER FOR TREATMENT OF SOFT TISSUE SARCOMA IS WIDE RESECTIO + RADIATION
318
Treatment of this pathologic fracture?
Sling for comfort Nonop of pathologic fractures through UBC, unless they are in a weight bearing zone (proximal femur)
319
Which way do pedunculated osteochondraom lesions point?
Away from the joint
320
3 poor prognostic indicators for soft tissue sarcoma?
High grade size \>5cm tumour location below deep fascia
321
how often is ABC associated with another tumour?
30% of the time
322
Synovial sarcoma genetics
t(X;18) Forms SYT/SSX1 & SYT/SSX2 fusion transcripts
323
Medical treatment options in UBC
Bone graft (poor success with high recurrence rates) Steroid autologous bone marrow (controversial - may be better than steroids) JAAOS 2014
324
Why must you follow chordoma patients long term post resection?
1. High recurrence rate 2. Mets occurs late in disease Occurs in 30-50% to lung, rarely bone
325
Nonoperative mangement of Paget's When is it indicated
Bisphosphonates Calcitonin Indicated in *sympomatic* cases asymptomatic you just treat supportively
326
What tumor shows predilection for the distribution shown in this figure?
Chondroblastoma
327
What extra-articular tumor has pathology similar to PVNS?
Giant cell tumor of tendon
328
What are the basic types of soft tissue sarcoma (think histo)
Synovial (sarcoma) Lipo(sarcoma) Rhabdomyo(sarcoma) Fibro(sarcoma)
329
GCT histology?
Mononuclear cells with Uniformly distributed multinucleated giant cells
330
What medication is contra-indicated for Paget's Disease? What does it do?
Teriparatide, PTH agonist