What are the diagnostic requirements for dementia?
Memory impairment for at least 6 months
Plus impairment in one or more of the following:
What are the 5 mains types of dementia?
What are some differential diagnosis for dementia?
What are the risk factors for Alzheimers Disease?
Female
Age
Genetics - Presenillin/Apolilipoprotein
What is the pathophysiogy of Alzheimers Disease??

What do neurofibrilliary tangles and senoid plaques look like?

How is Alzheimers Disease diagnosed?
What are the cardinal signs?
DIagnosis of exclusion
Insiduous, progressive, gradual decline
LOSS OF NEW MEMORIES
What are the risk factors for vascular dementia?
Age
male
Cardiovascular risk factors
What is the pathophysiology of vascular dementia??
Focal or widespread embolism causing cerebral infarction

What are the cardinal features of vascular dementia?
Abrupt onset
Stepwise decline
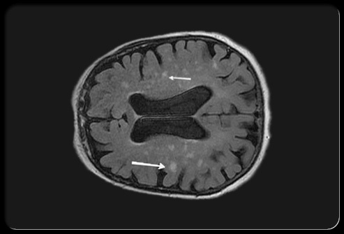
How is vascular dementia diagnosed?
Neurological signs and vascular disease on imaging
What is Dementia with Lewy bodies?
A continuum between Alzheimers and Parkinsons
What is the pathophysiology of Dementia with Lewy bodies?
Lewy bodies form in brain and affect dopaminergic and acetylcholinergic neurons
Dopamine - PD
ACH - Alzheimers
Both - Dementia with Lewy bodies

What are the diagnostic features of Dementia with Lewy bodies?
Dementia, plus two of the following
What is frontotemporal dementia?
Atrophy of frontal and temporal lobes

What is an example of frontotemporal dementia?
Picks Disease

What are the features and what is an example of frontotemporal dementia?
Early onset
Loss of language and personality/behaviour changes whilst memory remains intact
How is dementia assessed?
Mini mental state exam
CT brain - not diagnostic but can exclude other pathologies
What is a differential for dementia where the key symptom is urinary incontinence?
Hydrocephalus