Typfall urologi Flashcards

(29 cards)

1
Q

Lars Sundström, 60 år
Söker vårdcentralen eftersom han besväras av vattenkastningsbesvär sedan sex månader. Han har haft en känsla av att inte kunna tömma blåsan fullständigt och har varit tvungen att gå på toaletten igen mindre än två timmar efter att han har kastat vatten. När han går på toaletten ”stoppar det upp” och han får börja om och försöka kissa flera gånger. Han har också svårt att skjuta upp att gå på toaletten (hålla emot trängningar) och upplever att han har svag urinstråle och behöver krysta för att starta urineringen. Han är annars väsentligen frisk och tar inga mediciner.

Hur kan du bedöma svårighetsgraden av Lars symtom objektivt?

A
  • Skattningsskalor
    o IPSS (självskattningsformulär för bedömning av symtom från prostata som påverkar vattenkastningen).
  • Rektal palpation
  • Tidsmiktion/flödesmätning
  • Miktionslistor/volym-frekvensschema
  • Livskvalitetsfrågor
  • Undersökning (urinsticka/mikroskopi)
  • Kreatinin, PSA
  • Residualurin (bladder)
How well did you know this?
1
Not at all
2
3
4
5
Perfectly
2
Q

Vilken typ av frågor är viktiga till patienten vid mycket mikterande på natten?

A

Livskvalitetsfrågor

How well did you know this?
1
Not at all
2
3
4
5
Perfectly
3
Q

Vilket är det vanligaste tillståndet hos åldrande män som ger upphov till nedre urinvägssymtom (lower urinary tract symptoms; LUTS) och vilka typiska symtom rör det sig om?

A
  • Godartad prostataförstoring (BPH)
    o Lagringssymtom (irritativa): trängningar till miktion, ökad miktionsfrekvens, trängningsläckage, nykturi
    o Tömningssymtom (obstruktiva): svag stråle, känsla av ofullständig blåstömning, ökad residualurin
How well did you know this?
1
Not at all
2
3
4
5
Perfectly
4
Q

Vilka andra sjukdomar/symtom kan förekomma sekundärt till urinvägsobstruktion?

A
  • Postrenal uremi
    o Avflödeshinder i njure/njurar eller urinblåsa
  • Allvarlig urinvägsinfektion
  • Urinretention
    o Uretrastriktur, förstoppning, neurogen påverkan (akut diskbråck med cauda equina-syndrom, MS), farmakologisk biverkan (antikolinerga läkemedel, smärtstillande, psykofarmaka)
    o Kan ge UVI
How well did you know this?
1
Not at all
2
3
4
5
Perfectly
5
Q

Lars Sundström, 60 år
Söker vårdcentralen eftersom han besväras av vattenkastningsbesvär sedan sex månader. Han har haft en känsla av att inte kunna tömma blåsan fullständigt och har varit tvungen att gå på toaletten igen mindre än två timmar efter att han har kastat vatten. När han går på toaletten ”stoppar det upp” och han får börja om och försöka kissa flera gånger. Han har också svårt att skjuta upp att gå på toaletten (hålla emot trängningar) och upplever att han har svag urinstråle och behöver krysta för att starta urineringen. Han är annars väsentligen frisk och tar inga mediciner.

Är det nödvändigt för läkaren att göra rektal undersökning?

A
  • Ja för att
    o Bedöma prostatas storlek och konsistens (prostatacancer)
    o Palpera övriga delar av rektum
    o Sfinktertonus och perianal hudsensibilitet och reflex. (neurologiskt allt intakt?)
How well did you know this?
1
Not at all
2
3
4
5
Perfectly
6
Q

Lars Sundström, 60 år
Söker vårdcentralen eftersom han besväras av vattenkastningsbesvär sedan sex månader. Han har haft en känsla av att inte kunna tömma blåsan fullständigt och har varit tvungen att gå på toaletten igen mindre än två timmar efter att han har kastat vatten. När han går på toaletten ”stoppar det upp” och han får börja om och försöka kissa flera gånger. Han har också svårt att skjuta upp att gå på toaletten (hålla emot trängningar) och upplever att han har svag urinstråle och behöver krysta för att starta urineringen. Han är annars väsentligen frisk och tar inga mediciner.
Skulle du regelbundet ta blodprov för analys av PSA?

A

*Ja, PSA bör tas hos alla män som söker med nedre urinvägsbesvär eftersom en viktig differentialdiagnos till symtomatisk BPH i den här åldersgruppen är prostatacancer.

How well did you know this?
1
Not at all
2
3
4
5
Perfectly
7
Q

Vad kan det finnas för orsaker till ”falskt” förhöjt PSA?

A

BPH, UVI, prostatit, instrumentering (cystoskopi, katetersättning), urinretention, prostatabiopsier, KAD

How well did you know this?
1
Not at all
2
3
4
5
Perfectly
8
Q

Vilka är absoluta indikationer för behandling vid BPH?

A
  • Upprepade urinretentioner
  • Upprepade UVI
  • Njurinsufficiens
  • Blåssten
  • Upprepade episoder av makrohematuri
How well did you know this?
1
Not at all
2
3
4
5
Perfectly
9
Q

Vilka olika typer av behandling finns det vid BPH?

A
  • Expektans
  • Farmakologisk behandling
    o Alfablockerare
    o Endokrin behandling (5-alfa-reduktashämmare)
    o Kombination
  • Kirurgisk behandling
    o TUR-P – diatermi på prostata
    o Öppen adenomenukleation
  • Minimalinvasiva behandlingsalternativ
    o TUMT (mikrovågsbehandling – värmebehandling)
    o Laser
    o TUNA (Via urinröret förs ett specialinstrument upp till prostatan. Radiofrekvensenergi på låg nivå når prostatan via införda nålar. Vävnaden upphettas till 1100 i cylinder runt nålen på ca 1cm i diameter. Beroende på grad av prostataförstoring görs detta på 2-5 nivåer på vardera sida).
    o Stentar
How well did you know this?
1
Not at all
2
3
4
5
Perfectly
10
Q

Kajsa Hammarqvist, 30 år
Söker på vårdcentralen pga. två dagars anamnes på trängningar, täta miktioner, brännande känsla vid vattenkastning, ryggsmärta samt illaluktande urin.
Hur går du vidare avseende diagnostik?

A
  • Anamnes (hur länge har besvären funnits? Andra symtom, hemorragisk cystit, frossa, haft detta tidigare, blod i urin)
    o Flytningar, sexuella relationer (diffdiagnos)
  • Status (feber, andningsfrekvens, ömhet i flanken, påverkat allmäntillstånd)
    o Vitalparametrar
  • Utredning
    o Residualurinmätning (tveksamt)
    o Urinprov
    o Blodprov (blod, el (njurstatus), CRP)
    o Urinsticka
How well did you know this?
1
Not at all
2
3
4
5
Perfectly
11
Q

Hur instruerar du patienten om urinprov ska tas vid U-sticka?

A
  • Morgonurin helst
  • Ta alltid odling också! (kanske inte primärvården vid okomplicerad och nitritpositiv)
  • Alltid odla hos män!
How well did you know this?
1
Not at all
2
3
4
5
Perfectly
12
Q

Negativt nitrit innebär inte att patienten inte har en bakteriell UVI (e. coli), vad är viktigt att göra då?

A
  • Skicka på odling!
How well did you know this?
1
Not at all
2
3
4
5
Perfectly
13
Q

Hur instruerar du patienten om urinprov ska tas vid urinodling?

A
  • Vid mens eller kraftiga flytningar kan tampong i slidan föras upp innan du kissar.
  • Håll isär blygdläpparna eller dra tillbaka förhuden för att undvika bakterier härifrån.
  • Kissa först en skvätt i toaletten (mittenstråleprov)
  • För in provtagningsburken i strålen
How well did you know this?
1
Not at all
2
3
4
5
Perfectly
14
Q

Vilka organismer kommer sannolikt att vara inblandade om det rör sig om samhällsförvärvad UVI?

A
  • Primärpatogener (E.coli 80 %, Staphylococcus saprophyticus 5%)
  • Sekundärpatogener (Proteus, klebsiella, enterokocker, enterobacter och pseudomonas)
How well did you know this?
1
Not at all
2
3
4
5
Perfectly
15
Q

Hur kan du behandla Kajsa som har en cystit?

A
  • Akut okomplicerad cystit
    o 3-5 dagar med ett förstahandspreparat (Pivmecillinam (selexid), Nitrofurantoin) (Andra hand cefalosporiner, trimetoprim)
    o Åter om utebliven förbättring
    o Ingen kontroll
  • Akut komplicerad cystit
    o Urinodling
    o 10-14 dagar med preparat som valts efter odlingsverifiering –> Cefotaxim ex
    o Urinvägsutredning (flödesmätning + residualurin, cystoskopi, urografi, ultraljud njurar)
How well did you know this?
1
Not at all
2
3
4
5
Perfectly
16
Q

Vilka råd ger vi en kvinna med recidiverande cystitbesvär?

A
  • Långtidsbehandling med ett för stammen verksamt antibiotikum (3-6 månader)
  • En tablett antibiotikum vid samlag om infektionerna uppfattas ha relation till samlivet
    o Även basic tips som att kissa efter samlag
  • Metenamin (Hiprex®)
    o Urinvägsantiseptikum och innehåller metenaminhippurat, ett salt som består av metenamin och hippursyra. I sur miljö omvandlads metenamin till formaldehyd som tillsammans med hippursyran skapar en antibakteriell effekt i urinen
17
Q

Viola Larsson, 71 år
Mångårig rökare med KOL, söker på vårdcentralen pga. att hon noterat rödfärgad urin vid två tillfällen. Hon remitteras från VC enligt SVF makroskopisk hematuri.
Vilka frågor ställer du till Viola i syfte att hitta tänkbara orsaker till hennes besvär?

A
  • Ätit rödbetor?
  • B-symtom, hereditet?
  • Läkemedel såsom rifampicin, nitrofurantoin?
  • Antikoagulantia (t ex warfarin)?
  • Andra nytillkomna symtom från urinvägarna såsom sveda vid urinering, nykturi eller trängningar?
  • Utsatts för något trauma eller genomgått någon undersökning av urinvägarna?
18
Q

Viola Larsson, 71 år
Mångårig rökare med KOL, söker på vårdcentralen pga. att hon noterat rödfärgad urin vid två tillfällen. Hon remitteras från VC enligt SVF makroskopisk hematuri.
Vilka initiala laboratorieprover och fysikaliska undersökningar (=status) är rimligt att genomföra?

A
  • U-sticka,
  • Hb, CRP, el
  • Blodtryck
  • Bukpalpation
  • Gynekologisk undersökning
  • Viktigt titta på urinen (hur röd är den)
    o Eventuellt spoldropp om rödvinsfärgat (blir koagler)
  • Blödning från rektum, uretra, eller vagina?
    o Gynekologi
    o Per rektum
19
Q

Viola Larsson, 71 år
Mångårig rökare med KOL, söker på vårdcentralen pga. att hon noterat rödfärgad urin vid två tillfällen. Hon remitteras från VC enligt SVF makroskopisk hematuri.
Vad kan man misstänka som genes till Violas symtom? Ge tre tänkbara förklaringar med motivering.

20
Q

Viola Larsson, 71 år
Mångårig rökare med KOL, söker på vårdcentralen pga. att hon noterat rödfärgad urin vid två tillfällen. Hon remitteras från VC enligt SVF makroskopisk hematuri.
Vilka frågor ställer du till Viola i syfte att hitta tänkbara orsaker till hennes besvär?

  • Ätit rödbetor?
  • B-symtom, hereditet?
  • Läkemedel såsom rifampicin, nitrofurantoin?
  • Antikoagulantia (t ex warfarin)?
  • Andra nytillkomna symtom från urinvägarna såsom sveda vid urinering, nykturi eller trängningar?
  • Utsatts för något trauma eller genomgått någon undersökning av urinvägarna?
    Vilka initiala laboratorieprover och fysikaliska undersökningar (=status) är rimligt att genomföra?
  • U-sticka,
  • Hb, CRP, el
  • Blodtryck
  • Bukpalpation
  • Gynekologisk undersökning
  • Viktigt titta på urinen (hur röd är den)
    o Eventuellt spoldropp om rödvinsfärgat (blir koagler)
  • Blödning från rektum, uretra, eller vagina?
    o Gynekologi
    o Per rektum

Vilka ytterligare undersökningar behöver urologen göra? Motivera.

A
  • DT-urografi
  • Cystoskopi
    o Smalt rör med en kamera i urinröret för undersökning av urinröret och urinblåsan
  • U-cytologi (av spolvätska)
21
Q

Viola Larsson, 71 år
Mångårig rökare med KOL, söker på vårdcentralen pga. att hon noterat rödfärgad urin vid två tillfällen. Hon remitteras från VC enligt SVF makroskopisk hematuri.
Utredningen påvisar misstänkt blåscancer. Vilka åtgärder behöver man göra för att fastställa diagnos och bedöma stadium?

A
  • Transuretral resektion av blåstumören (TUR-B)
    o Skickas för PAD
  • DT thorax och buk
  • Bimanuell palpation (via vagina) (oklart varför)
22
Q

Vilka behandlingsalternativ finns för blåscancer?

A
  • Ej muskelinvasiv sjukdom
    o TUR-B
    o Intravesikal cytostatikabehandling (mitomycin)
    o BCG (Ett lokalt immunstimulerande, levande tuberkulosvaccin som visat sig kunna minska risken för återfall. BCG-behandlade patienter följs noggrant och vid tecken på återfall får man överväga radikal kirurgi (cystektomi))
  • Muskelinvasiv sjukdom
    o Cystektomi + iliakal körtelutrymning
    o Strålbehandling
    o Kemoterapi
    o Kombination av kirurgi, strålbehandling samt kemoterapi
23
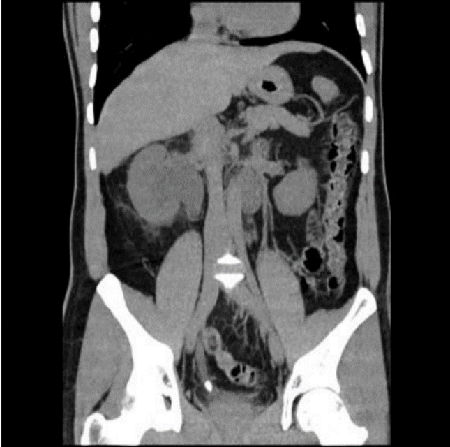
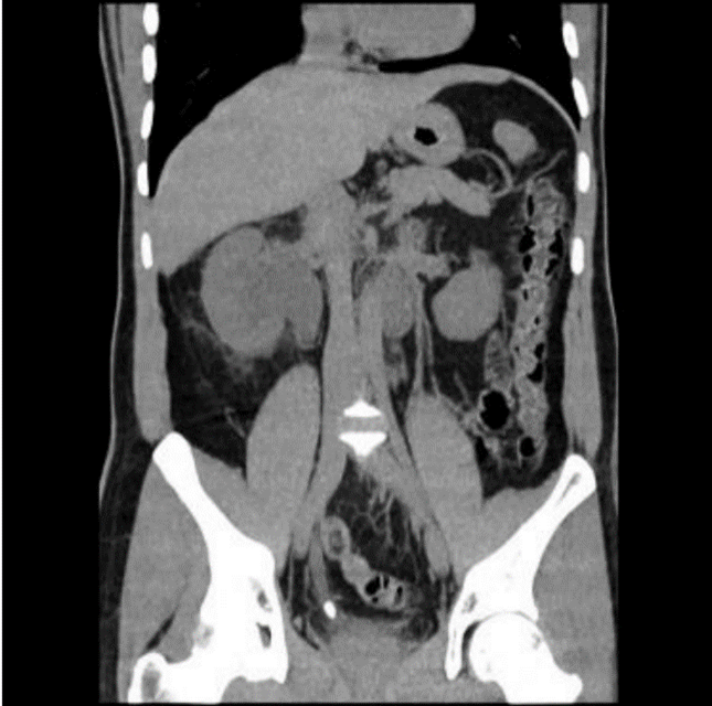
Q

Jon Viktorsson, 40 år
Sedan tidigare väsentligen frisk. Han uppsöker vårdcentralen pga. intervallartad högersidig smärta i flanken med utstrålning mot ljumsken. Jon remitteras till akutmottagningen pga. smärta, feber samt höga infektionsparametrar. Efter undersökning av Jon beställer jourhavande läkare undersökning med datortomografi.
Vad visar undersökningen?

A
  • Stort konkrement mätande 15 x 9 mm distalt i höger uretär. Måttlig högersidig hydronefros samt hydrouretär.
    o PUJ, vid kärlsträng, ostiet (innan urinblåsa)
24
Q

Jon Viktorsson, 40 år
Sedan tidigare väsentligen frisk. Han uppsöker vårdcentralen pga. intervallartad högersidig smärta i flanken med utstrålning mot ljumsken. Jon remitteras till akutmottagningen pga. smärta, feber samt höga infektionsparametrar. Efter undersökning av Jon beställer jourhavande läkare undersökning med datortomografi
Vilka andra symptom kan förekomma vid konkrement i urinvägarna?

A
  • Hematuri
    o Makro/mikro
  • Postrenal uremi (njurskada)
  • Allvarlig urinvägsinfektion
  • Urinretention
25
Vilka är de olika typerna av konkrement i urinvägarna? Vad består de av?
* Kalciumstenar, bestående av kalciumoxalat och/eller kalciumfosfat. * Infektionsstenar, bestående av magnesium-ammoniumfosfat och/eller karbonatapatit. * Uratstenar * Cystinstenar
26
Vilka är möjliga behandlingsalternativ vid njursten (akut och elektivt)?
* Akut behandling o Smärtlindring (NSAID i första hand (om patienten tål), morfin) o Odling o Avlastning av höger njure (nefrostomi (vid ev samtidigt infektion) eller splint (ej vid infektion)) * Planerad behandling o ESVL (stötvågsbehandling) o Uretäroskopi (Skop förs in i uretra och via urinblåsan upp i uretären för att avlägsna eller sönderdela stenen) o Kirurgi
27
Möjliga behandlingsalternativ vid njursten * Akut behandling o Smärtlindring (NSAID i första hand (om patienten tål), morfin) o Odling o Avlastning av höger njure (nefrostomi (vid ev samtidigt infektion) eller splint (ej vid infektion)) * Planerad behandling o ESVL (stötvågsbehandling) o Uretäroskopi (Skop förs in i uretra och via urinblåsan upp i uretären för att avlägsna eller sönderdela stenen) o Kirurgi Vilka är biverkningarna av resp. behandlingsalternativ?
* Nefrostomi o Infektion, blödning, tarmskada * Splint o Perforation, infektion * ESVL o Hematuri, uretärobstruktion (steinstrasse), infektion * Kirurgi o Striktur (sjuklig förträngning av rörformig anatomisk struktur) o Blödning o Infektion
28
Vilka utredningar genomförs för att verifiera de olika typerna av konkrement i njurvägarna?
* Skicka sten på analys! * Urat och fritt fritt joniserad Ca2+ på alla! * Odling vid infektionssten o Fråga specifikt om urealytikum o Ska ha antibiotika och korrigering av anatomisk avvikelse * Uratsten o Vilken typ av uratsten och pH
29
Vilka behandlingar finns för olika typer av konkrement?
* Uratsten o Allopurinol (giktbehandling) o Alkaliskt citrat * Cysteinsten o Urincystein (pH) o Dricka mkt vatten för att skölja ur * Kalciumsten (komplicerad) o Dietråd (mkt vätska, ej salta maten)