Anterior and posterior Relations of hip joint
Hip joint is a synovial ball and socket joint between the acetabulum of the pelvis and the head of the femur. The acetabular labrum (made of fibrocartilage) is attached to the peripheral edge of the acetabulum. There is a deep depression on the head of the femur for the attachment of the ligament of the head of the femur (ligamentum teres)
What is the function of the labrum
Joint capsule is attached around labrum and passes literally like a sleeve, to attach to the neck of the femur and then the capsule fibres turn back to attach to around the head of the femur. They hold down the arteries that run up from distal to proximal to supply most of the head of the femur.
Ligaments that reinforce joint capsule

Strongest ligament that reinforces hip capsule
iliofemoral (prevents hyperextension)
Is joint capsule tight in extension or flexion
In general, the hip joint capsule is tight in extension and more relaxed in flexion.
What are the hip flexors and their nerve and blood supply
Hip Extensors
Hip adductors
Hip Abductors
Hip internal rotators
Hip External rotators
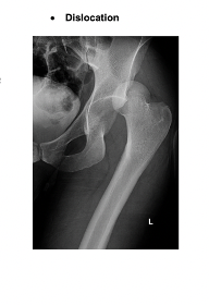
Which direction of hip dislocation is the most common and why?
Posterior because anterior ligaments are stronger
Which structure at risk following hip dislocation
Nerve injury – sciatic nerve is most commonly affected
In what position is affected limb likely to be in posteiror hip dislocation
Flexion, adduction and internal rotation with shortening of the leg.

WHat is this?

Fracture of the neck of the femur
What does this show
OA of the hip

What main factors stabilise the hip joint
What is Trendelenburg’s test
= Place their hands on your outstretched hands (for stability) and ask them to stand on the leg your examining, lifting the contralateral leg off the ground for 30 seconds. Feel for drop in pelvis on contralateral side.
Trendelenburg’s sign
Contralateral side (normal side) will sag down/ indicates weakness sin hip abductor muscles (gluteus Medius and gluteus minimums)
What is a common complication of fracture of the neck.. How do you treat fractured femoral head? How do you treat the complication
Post op complications are pain, bleeding, length llength discrepancies and potential NV damage. Long term complications – joint dislocation, aseptic loosening, peri-prosthetic fracture and deep infection/prosthethic joint infection.
What can be done for an arthritic hip
= Initial management – Adequate pain control to ensure ongoing mobility and QoL. Lifestyle mods including weight loss, regular exercise and smoking cessation. Physiotherapy to slow disease progression.
= Long term management – if conservative don’t work them surgical intervention. Hip replacement (total or hemiarthroplasty). Common post-op complications including TE disease, bleeding, dislocation, infection, loosening of prosthesis and leg length discrepancy.
= Surgical approaches : Posterior approach, anterolateral approach, anterior approach.
Shenton’s line:
Imaginary curved line along inferior border of superior pubic ramus. Should eb continuous and smooth

NV supply of the hip

2 Types dislocaiton of the hips