Unicamp Flashcards

(122 cards)

1
Q

Em pacientes obesos com TEP, qual achado não esperamos encontrar?

A

Tiragem intercostal

How well did you know this?
1
Not at all
2
3
4
5
Perfectly
2
Q

Quais medidas melhoram a sobrevida de pacientes com DPOC a longo prazo?

A

Oxigenoterapia / cirurgia pneumorredutora / interrupção do tabagismo

How well did you know this?
1
Not at all
2
3
4
5
Perfectly
3
Q

Quando oxigênio domiciliar está indicado na DPOC

A

Saturação de oxigênio menor ou igual a 88% e Pao2 menor ou igual a 55

How well did you know this?
1
Not at all
2
3
4
5
Perfectly
4
Q

Fatores dependentes da vitamina K

A

2, 7, 9 e 10

How well did you know this?
1
Not at all
2
3
4
5
Perfectly
5
Q

Qual a meta de Fio2 para o paciente com SARA?

A

A menor possível que mantem saturação de O2 > 90

How well did you know this?
1
Not at all
2
3
4
5
Perfectly
6
Q

Pacientes em uso de prednisona em dose imunossupressora, vai passar por cirurgia, o que fazer?

A

Hidrocortisona no ato anestésico e 24h depois

How well did you know this?
1
Not at all
2
3
4
5
Perfectly
7
Q

Critério de Barcelona

A

Diagnóstico de CHC em pacientes cirróticos

How well did you know this?
1
Not at all
2
3
4
5
Perfectly
8
Q

Critérios de Barcelona (2)

A

1- dois exames de imagem diferentes com tumores maior ou igual a 2 cm
2 - um exame de imagem com tumor maior que 2 cm e alfafetoproteína maior ou igual a 400

How well did you know this?
1
Not at all
2
3
4
5
Perfectly
9
Q

Diagnóstico

A

Dissecção aórtica A

How well did you know this?
1
Not at all
2
3
4
5
Perfectly
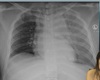
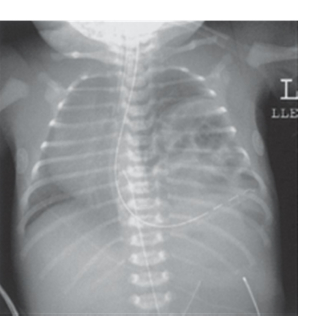
10
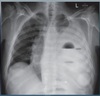
Q

Hérnia diafragmática congênita

A

Insuficiência respiratória grave que pode acontecer durante ou após o parto
Oba: pode causar bulhas cardíacas em hemitórax D

How well did you know this?
1
Not at all
2
3
4
5
Perfectly
11
Q

Antídoto Intoxicação por triciclico

A

Bicarbonato de sódio

How well did you know this?
1
Not at all
2
3
4
5
Perfectly
12
Q

Meta do ph na intoxicação por tricíclico

A

Ph maior que 7,5

How well did you know this?
1
Not at all
2
3
4
5
Perfectly
13
Q

Indicação do uso de oseltamivir na Sd Gripal

A

1 - Sara
2 - fatores de risco:
idade < 5 ou > 70
Gestantes
Puérperas até 2 semanas
Imunossuprimidos
Doenças crônicas
Obesos
Institucionalizados
Menor de 19 anos em uso do AAS

How well did you know this?
1
Not at all
2
3
4
5
Perfectly
14
Q

Conduta na RPMO

A

Rezende: parto imediato
Williams: ruptura após 32- final da 33 semanas: a não ser que seja confirmado a maturidade pulmonar, deve-se realizar corticoide e profilaxia para estreptococos do grupo B

How well did you know this?
1
Not at all
2
3
4
5
Perfectly
15
Q

V ou F
A Usg é imprescindível para colocação do DIU

A

Falso

How well did you know this?
1
Not at all
2
3
4
5
Perfectly
16
Q

Quando devemos exigir que a mulher esteja menstruada para colocação do DIU?

A

Quando a mulher não estiver usando nenhum método contraceptivo

How well did you know this?
1
Not at all
2
3
4
5
Perfectly
17
Q

V ou F
É correto não dosas hormônios em pacientes com queixas de climatério em idade compatível

A

Verdadeiro

How well did you know this?
1
Not at all
2
3
4
5
Perfectly
18
Q

Hérnia diafragmática congênita

A

Insuficiência respiratória aguda que ocorre geralmente após 6h do parto

Obs: pode causar ausculta de bulhas cardíacas em hemitórax D

How well did you know this?
1
Not at all
2
3
4
5
Perfectly
19
Q

Diferença do CA de cólon E e cólon D

A

Cólon D é marcado pela melena
Cólon E é marcado pela hematoquezia e sinais de obstrução

How well did you know this?
1
Not at all
2
3
4
5
Perfectly
20
Q

Quem possui pedículo vascular?
Enxerto ou retalho

A
How well did you know this?
1
Not at all
2
3
4
5
Perfectly
21
Q

Síndrome de aterosclerose aorto-biiliaca

A

Síndrome de Leriche

How well did you know this?
1
Not at all
2
3
4
5
Perfectly
22
Q

Mecanismo do priapismo nos pacientes falcêmicos

A

Obstrução da drenagem venosa pelas hemoglobinas falcêmicas

How well did you know this?
1
Not at all
2
3
4
5
Perfectly
23
Q

Conduta definitiva no priapismo

A

Aspiração dos corpos cavernosos

How well did you know this?
1
Not at all
2
3
4
5
Perfectly
24
Q

Padrão ouro para identificação de alergia alimentar

A

Dieta de exclusão por 8 semanas seguido do teste de enfrentamento

How well did you know this?
1
Not at all
2
3
4
5
Perfectly
25
Conduta RN diante da profilaxia para SAG
26
Teste do coração Quando está normal?
Saturação > 95% Diferença entre a saturação dos membros menor que 3
27
Teste do coração Conduta quando alterado
Repetir exame em 1 hora
28
Icterícia por mais de 3 semanas no RN, o que pensar?
Atresia de vias biliares
29
Droga de uso contínuo para controle da hipertensão na gestação
Metildopa
30
Prevenção de pré eclâmpsia (2)
Aspirina e carbonato de cálcio
31
Quadro materno de hipotensão e hipoxemia após amniotomia
Embolia do líquido amniótico
32
Endométrio com 15mm no puerpério
Não sugere restos ovulares
33
Poeira de madeira predispõe a risco de qual carcinoma?
Carcinoma nasal
34
Qual objetivo do rastreio?
Diminuir mortalidade, seja fornecendo diagnóstico precoce ou não
35
Transferência
O que o paciente passa para você durante a anamnese
36
Contratransferência
O que você passa para o paciente durante a anamnese
37
Hipertrofia de septo sugere miocardiopatia…
Restritiva
38
Verdadeiro ou falso Na prevenção secundária do AVC cardioembólico usamos warfarin e aspirina
Falso! Na prevenção secundária usamos apenas warfarin
39
Enzima bloqueada pelo carbamato
Acetilcolinesterase
40
Acetilcolina
Neurotransmissor parassimpático
41
Sintomas predominantes na intoxicação por carbamato
Miose Sialorreia Broncoespasmo Bradicardia
42
Tendência de deslocamento dos íons K e P na desnutrição
Desnutrição = hipoinsulinismo As bombas celulares param de funcionar - íons se deslocam do intra para o extracelular
43
Síndrome de re alimentação O que esperar dos níveis de K e P?
Aumento da insulina abrupto - deslocamento dos íons para o intracelular
44
FAN + com padrão anti centrômero
Sugere esclerose sistêmica
45
Alargamento de mediastino em cenário de trauma
Lesão de aorta
46
Exame na lesão de aorta
Angiotc
47
Distúrbios hidroeletrolíticos presentes em pacientes transfundidos
Hipocalemia (alcalose metabólica) e hipocalcemia (citrato)
48
Saída de líquido leitoso pelo dreno após toracotomia
Pensar em lesão de ducto torácico
49
Nódulo testicular palpável e indolor
Tumor de testicular
50
Marcadores do tumor testicular
Alfafeto proteína e beta-HCG
51
Crotálico
Cascavel
52
Elapídico
Cobra coral verdadeira
53
Botrópico
Jararaca
54
Loxoscélico
Aranha marrom
55
Manifestação em comum do acidente por crotálico e elapídico? Como diferenciar ?
1) Paralisia neuromuscular 2) crotálico faz lesão muscular e aumento de CPK
56
Síndrome simpatomimética
Ativação simpática
57
Síndrome anticolinérgica
Contra acetilcolina - ativação simpática indireta
58
Síndrome anticolinesterásica
Inibe a acetilcolinesterase - sobra acetilcolina - muita ativação do parassimpático
59
Com diferenciar as síndromes anticolinérgicas das síndromes simpatomiméticas?
Sudorese- presente na simpatomimética Parassimpático controla as glândulas do suor
60
IGG ou IGM, qual atravessa a placenta?
IGG! G de Gestante
61
Combs indireto positivo com identificação de Anticorpo anti Lewis
Continuar como se fosse negativo. IGM não atravessa a placenta.
62
Principal manifestação da intoxicação por metanol
Cegueira
63
Principal manifestação da intoxicação por benzeno
Alterações na medula óssea
64
Manifestação da intoxicação por chumbo
SNC/Renal
65
Efeitos colaterais da morfina (4)
Bradpneia Bradcardia Obstipação Mioclonias
66
Qual doença está ligada a ateromatose das artérias pulmonares?
Hipertensão pulmonar
67
O que é isso?
Linhas B radiografia
68
Xantopsia O que é? Principal droga que causa?
Visão amarelada Digoxina
69
Distúrbio que predispõe a intoxicação por digitálico?
Hipocalemia
70
Atuação do digitálico?
Compete com o sítio de K nas bombas sódio-potássio Se pouco k - muito efeito de digoxina
71
Escroto agudo
Torção testicular
72
Torção testicular: Sinal de Prehn
Alívio da dor ao elevar o testículo
73
Formular ACLS para expansão volêmica em grandes queimados
2.peso.SCQ
74
Fórmula de Parkland
4ml.peso.SCQ
75
Qualquer fratura deve ser tratada com menos de 24
Sim!
76
Risco de não correção das fraturas?
Embolia gordurosa
77
Critério para retirada do dreno (3)?
Clínico Radiológico Débito
78
Critério clínico
Melhora hemodinâmica e dos sintomas
79
Critério radiológico
Expansão pulmonar
80
Critério débito (2)
Derrames: drenagem < 200-300ml em 24h Pneumotórax: ausência de fuga aérea em 24h
81
Dose máxima de lidocaína com vasoconstrictor?
7mg/kg
82
Sinovite transitória do quadril
Dor no quadril com irradiação para joelhos e dificuldade na marcha
83
Gatilho para sinovite transitória do quadril
Infeção viral recente
84
Posição que a criança deve dormir
Decúbito dorsal “Criança também é gente “
85
O que devemos investigar em pacientes com Sd de Down (4)
Hipotireoidismo Dç celíaca Luxação atlantoaxial Leucemias
86
Qual anticonvulsivante não altera o funcionamento dos ACOs?
Ácido valproico
87
Cuidado na apresentação pélvica
Em extremos(bebe grande e prematuro) o melhor a ser feito é a cesariana
88
Síndrome neuroleptica maligna
Síndrome ocasionado pelo uso de antipsicóticos
89
Síndrome neuroléptica Achados clínicos
Rebaixamento do sensório Hipertermia Hipertonia muscular (aumento CPK) Disautonomia
90
Síndrome neuroleptica maligna Antídoto
Bromocriptina
91
Traili
Lesão pulmonar aguda secundário a transfusão
92
Taco
EAP secundário a transfusão
93
Alteração do sensório é contraindicação para o uso de VNI
Falso! De qual alteração estamos falando?
94
Qual perfil de pacientes tem boa resposta a VNI
EAP e DPOC
95
Cansaço as mamadas no lactante sugere?
Acometimento cardíaco
96
Conjuntivite gonoccocica Tratamento
Pomada de eritromicina
97
Piodermite com lesão bem delimitada
Erisipela
98
Principal agente da erisipela
Pyogenes
99
Certo ou errado? Lesões na segunda porção do duodeno não costumam cursar com irritação peritoneal porque essa porção é retroperitonial
Correto!
100
Paralisia facial periferia
Acometimento integral da hemiface ipsilateral
101
Correto ou incorreto Radiograma = radiografia?
Correto!!
102
PPC esperada no TCE grave?
Maior ou igual a 60
103
Manobra de Adson
Pulso radial reduzido devido a síndrome do desfiladeiro torácico
104
Teste de Neer
105
4 Ts pós parto
Trauma - sutura Tecido - curetagem Trombo - transamin Tônus - massagem + ocitocina
106
O uso do IBP diminui a eficácia de qual medicação?
Clopidogrel
107
Intoxicação por triciclicos pode ser considerada uma síndrome colinérgica
Falso! É uma síndrome anti colinergica
108
Qual antídoto da intoxicação por triciclicos?
Bicarbonato (esses pacientes desenvolvem acidose metabólica)
109
Ausência de pulso em trauma ósseo sugere …?
Compressão de leito arterial devido à desalinhamento ósseo
110
Medicação usada para substituir os “IBPS” em pacientes que vão ser investigados para H Pylori
Sucralfatp
111
Antibioticoterapia é fator de risco para candidíase cutânea
112
Cálculo urinário em paciente pós bariátrica
Pensar em oxalato de cálcio
113
Hipocalemia + hipofosfatemia + hipomagnesemia em pacientes internados
Pensar em síndrome da realimentação
114
Dor testicular aguda Diagnósticos diferenciais
Torção testicular ou orquiepidimite
115
Dor testicular aguda Qual exame solicitar
USG Doppler
116
Dor de cabeça após raquianestesia
Sugere saída de liquór pelo local da punção
117
O que fazer em casos refratários de cefaleia pós raquianestesia
Blood patch
118
Diagnóstico Dor no quadril + claudicação nas crianças
119
Lesões de uretra: Anterior e posterior?
Anterior (bulbar): queda a cavaleira Posterior(membranosa): fratura de pelve
120
Diagnóstico
Lesão traumática de aorta
121
Diagnóstico
Hérnia diafragmática
122
Achado acidental de divertículo de meckel Conduta
Em crianças : resseca (maior risco de complicações) Em adultos: conservador inicialmente