Unit 1 Lab Structures Flashcards

(40 cards)

1
Q

Identify this structure:

A

propria-submucosa

How well did you know this?
1
Not at all
2
3
4
5
Perfectly
2
Q

This is the trachea, identify this structure:

A

tracheal glands

How well did you know this?
1
Not at all
2
3
4
5
Perfectly
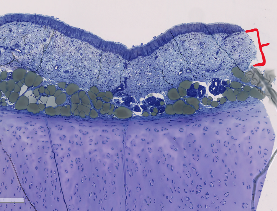
3
Q

Identify these structures:

A

adipose cells

How well did you know this?
1
Not at all
2
3
4
5
Perfectly
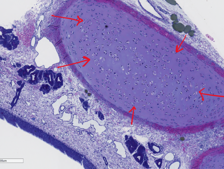
4
Q

This is the trachea, identify this structure:

A

tracheal cartilage

How well did you know this?
1
Not at all
2
3
4
5
Perfectly
5
Q

Identify this structure:

A

trachealis muscle

How well did you know this?
1
Not at all
2
3
4
5
Perfectly
6
Q

Identify this structure:

A

sub-mucosal gland

How well did you know this?
1
Not at all
2
3
4
5
Perfectly
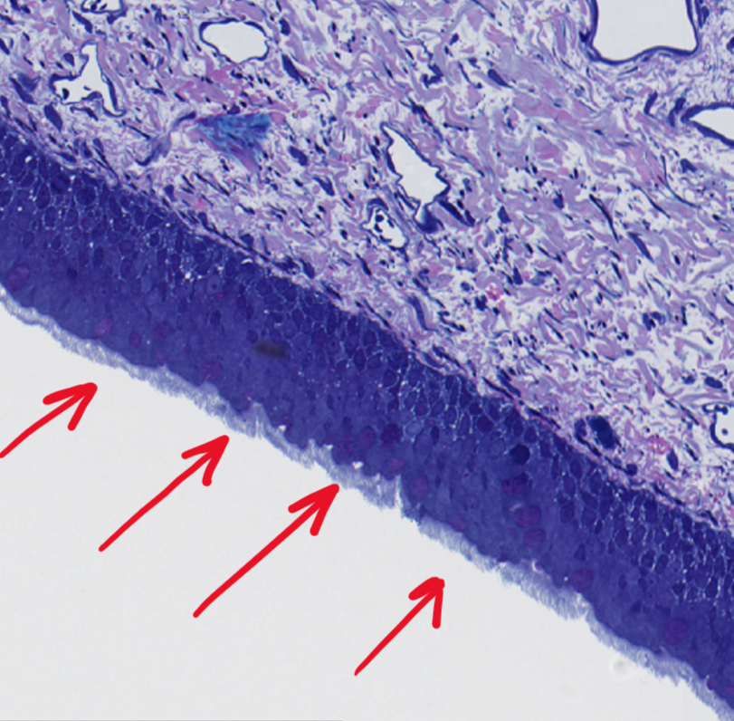
7
Q

This is the bronchus, what type of epithelium is this?

A

columnar to cuboidal epithelium

How well did you know this?
1
Not at all
2
3
4
5
Perfectly
8
Q

Identify this structure:

A

cartilage

How well did you know this?
1
Not at all
2
3
4
5
Perfectly
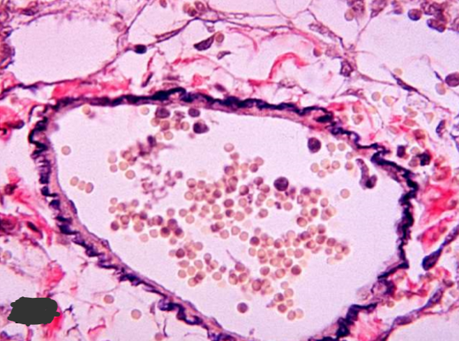
9
Q

Identify this structure:

A

macrophages

How well did you know this?
1
Not at all
2
3
4
5
Perfectly
10
Q

Identify this structure:

A

club cells

How well did you know this?
1
Not at all
2
3
4
5
Perfectly
11
Q

Identify this structure:

A

respiratory bronchiole

How well did you know this?
1
Not at all
2
3
4
5
Perfectly
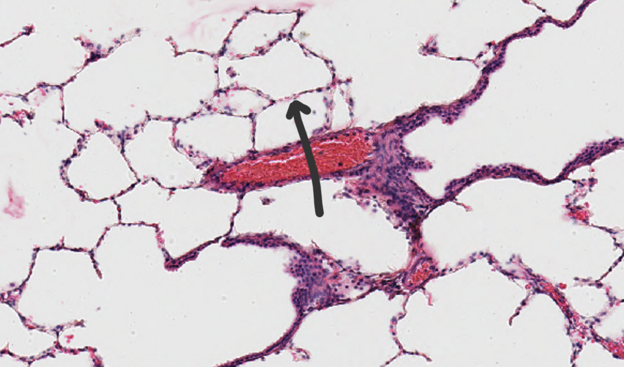
12
Q

Identify this structure:

A

capillary

How well did you know this?
1
Not at all
2
3
4
5
Perfectly
13
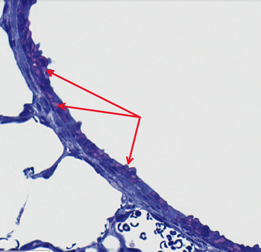
Q

Identify this structure:

A

intralveolar speta

How well did you know this?
1
Not at all
2
3
4
5
Perfectly
14
Q

Identify this structure:

A

alveoli

How well did you know this?
1
Not at all
2
3
4
5
Perfectly
15
Q

Identify this structure:

A

alveolar sac

How well did you know this?
1
Not at all
2
3
4
5
Perfectly
16
Q

Identify this structure:

A

alveolar duct

How well did you know this?
1
Not at all
2
3
4
5
Perfectly
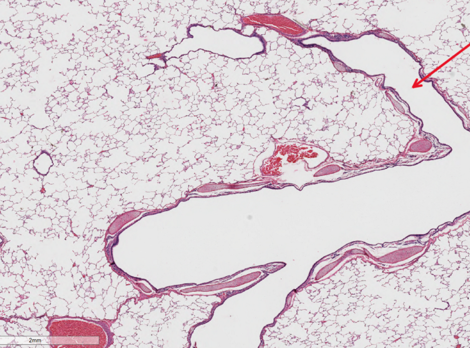
17
Q

Identify this structure:

18
Q

Identify this structure:

A

terminal bronchiole

19
Q

Identify this structure:

20
Q

Identify this structure:

21
Q

Identify this structure:

22
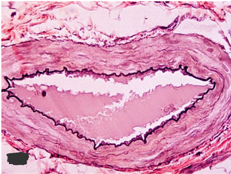
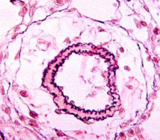
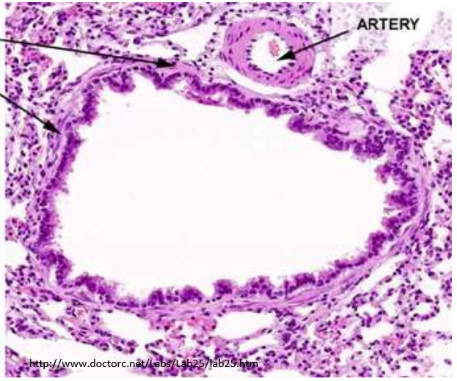
Q

Identify this structure:

A

Bronchial artery

23
Q

Identify this structure:

A

Pulmonary vein

24
Q

Identify this structure:

A

Pulmonary artery

25
Identify this structure:
osmiophilic lamelar bodies
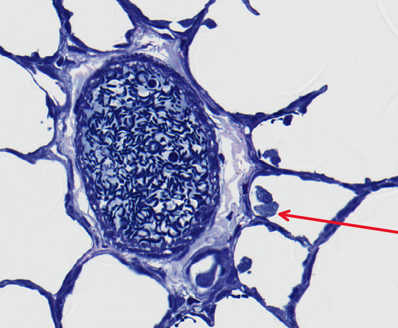
26
What is A?
red blood cells in capillaries
27
What is B?
Type II alveolar epithelial cells
28
What is C?
Type 1 alveolar cells
29
What is the shape of type 1 alveolar cells?
squamous (flat and thin)
30
What is the shape of type II alveolar cells?
round and large
31
What do the type II alveolar cells do?
create surfactant
32
What is the purpose of the type I alveolar cells?
it is where the blood-gas barrier is
33
Are there more type I or type II alveolar cells in the body?
type I (95%)
34
What are alveolar epitheal cells also known as?
pneumocytes
35
Differentiate between PA, PV, and BA (hystologically).
Pulmonary artery is thin walled and has both internal and external laminae. Bronchiole artery has only internal laminae and is thick walled. Pulmonary vein has only external laminae.
36
Identify this structure:
tracheal glands
37
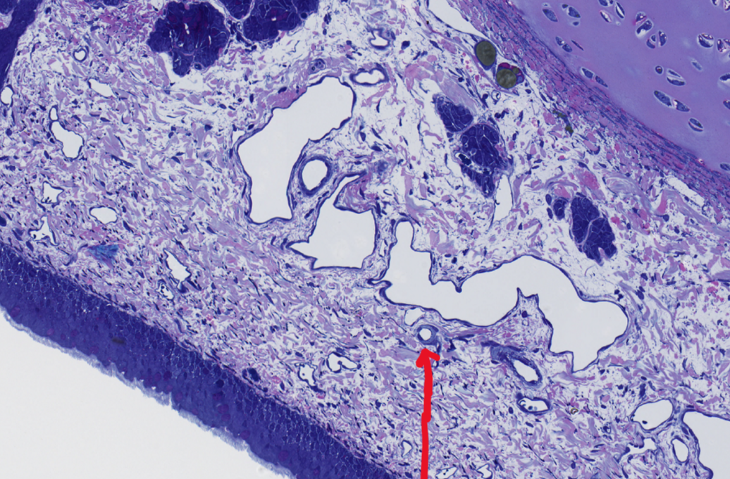
Identify this structure:
longitudinal elastic fibers
38
What is A?
alveolar macrophage
39
What is b?
alveolar pore
40
What is C?
Type I alveolar cell