Unit 10: Post Processing in CT Flashcards

(42 cards)

1
Q

What is the image display in CT

A
  • last phase in creation of the CT image
How well did you know this?
1
Not at all
2
3
4
5
Perfectly
2
Q

What does display system include in a CT image

A
  • patient info
  • scan protocol data
  • graphic aids (ROI, measuring tool etc)
  • designed to assist in image interpretation
How well did you know this?
1
Not at all
2
3
4
5
Perfectly
3
Q

What is window width in CT image display

A
  • width determines the number of HU (CT numbers) represented in an image
  • software assigns shades of grey
  • anything above the range: white
  • anything below range: black
How well did you know this?
1
Not at all
2
3
4
5
Perfectly
4
Q

What is it called when you increase window width

A

widening
more numbers are assigned to each shade of grey

How well did you know this?
1
Not at all
2
3
4
5
Perfectly
5
Q

What is window level

A

selects the centre CT value of the window width

How well did you know this?
1
Not at all
2
3
4
5
Perfectly
6
Q

What is the window level and width in this range

A

WW: 300
WL: 200

How well did you know this?
1
Not at all
2
3
4
5
Perfectly
7
Q

How do we determine what window level we want to set

A

set the level as close to the HU of the tissue we want to see

How well did you know this?
1
Not at all
2
3
4
5
Perfectly
8
Q

Window width and window level for different studies

A
  • tissue types with similar densities should have a small window width
  • tissue types with large densities should have a wider window width (ie chest)
How well did you know this?
1
Not at all
2
3
4
5
Perfectly
9
Q

What is the ROI tool

A

placed on the image to determine the average HU measure of that area and the standard deviation

How well did you know this?
1
Not at all
2
3
4
5
Perfectly
10
Q

Using the Cursor vs ROI for HU measurement

A
  • using the mouse shows value for one pixel
  • ROI shows the average HU of that area and is more accurate for diagnosis
How well did you know this?
1
Not at all
2
3
4
5
Perfectly
11
Q

When should ROI measurement be used

A

when HU is involved in diagnosis

How well did you know this?
1
Not at all
2
3
4
5
Perfectly
12
Q

Factors that increase the SD measurement of the ROI HU measurement

A
  1. mixed attenuation within the ROI (ie calcium flecks within an organ)
  2. an ROI that is not inside the margins of the object being measured
How well did you know this?
1
Not at all
2
3
4
5
Perfectly
13
Q

What is the reference image function

A

displays the location of slices through the slice lines in corresponding locations on the scout image
- feature aids in localizing slices

How well did you know this?
1
Not at all
2
3
4
5
Perfectly
14
Q

DFOV versus Magnification

A
  • decrease in DFOV increases size of displayed image and improved spatial resolution
  • image mag does not improve magnification, uses image data not raw data
Change in DFOV
How well did you know this?
1
Not at all
2
3
4
5
Perfectly
15
Q

What type of data is there after CT scan

A

raw and image

How well did you know this?
1
Not at all
2
3
4
5
Perfectly
16
Q

What is image reconstruction

A

used when raw data are manipulated to create an image

How well did you know this?
1
Not at all
2
3
4
5
Perfectly
17
Q

What is reformation

A

when image data is are assembled to produce images in different planes or produce 3D images

18
Q

What is Prospective Reconstruction

A
  • steps involved in acquiring and manipulating raw data so initial image can be formed
  • ie Selecting algorithm, SFOV slice thickness etc and setting DFOV
  • planned before scanning begins
19
Q

What is retrospective reconstruction

A

Can only be performed on the operator console (scanner).
* Raw data needed.
* Even though many parameters can be changed retrospectively, the resultant image are always in the same plane.
* DFOV, image centering and reconstruction algorithm can be changed.
* Can be applied to both helical and axial data.

20
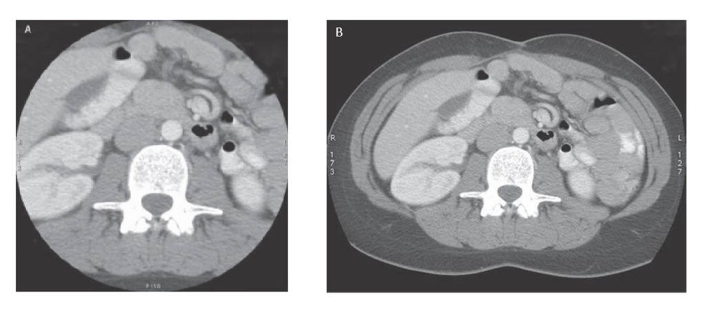
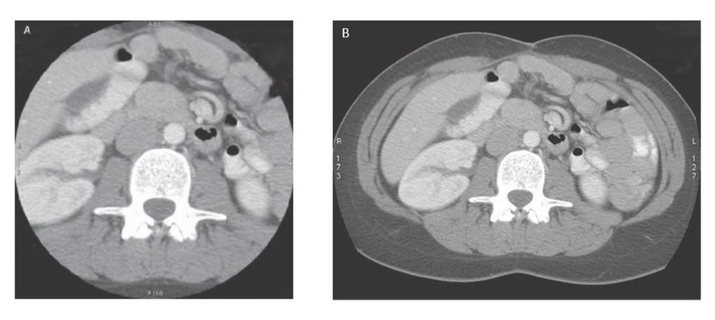
Q

What is happening in this image

A

retrospective recon of DFOV

21
Q

What is image Reformation

A

uses Image data to generate images in a new plane or orientation from the prospective image

  • scanned plane may not be optimal for diagnosis thus reformats are valuable
22
Q

Parameters for image reformation

A
  • source images must have an identical DFOV, image center, gantry tilt, and they must be contiguous or overlapping.
  • even a small amount of motion can degrade reformation
  • thinner slices = better reformation
  • images can be 2D or 3D
23
Q

What is multi planar reformation

A
  • done to show anatomy in various planes (2D)
  • preserves original attenuation values
  • done at the operator console separate workstation
  • modern software and computing power allows high quality reformations to be generated
24
Q

Manual vs Scanner MPRs

A
  • manual MPRs requires operator to input the criteria such as thickness of MPR, the plane desired and the incrementation of resulting image
  • scanner created MPR: automatically generated by the scanner software
  • advantages: saves the technologist time and ensures they are done
25
What is Curved Planar Reformations (CPRs)
- type of MPR accomplished by aligning the long axis of the imaging plane with a specific anatomical structure - includes the enture structure on a single image (good for displaying a vessel)
26
How/ What are 3D reformations
- can require special software - time consuming and not done on the console
27
What is shaded surface display
- is a form of segmentation - selectively removing or isolating information from the data set referred to as segmentation - voxels located on the edge of the surface are used to show the outline/outside shell of the structure | creates a 3D model looking at bone structures clearer than axial images
28
What is this image
SSD removed any voxel value different from the shell of bone
29
What is volume rendering
a 3D representation of the image using all voxels Pixels in the final VR image can be assigned a color, brightness and degree of opacity (0% - 100%).
30
how does volume rendering and shaded surface display differ
- in VR all voxels contribute to the image versus just the shell of the structure in SSD
31
What are MIPs
- Maximum Intensity Projections - examines each voxel along a line from the views eyes and selects only the highest values to be displayed - used when objects of interest are the brightest objects in the image (bones and contrast filled structures)
32
What is endoluminal imaging
- look inside the lumen of a structure - reffered to as virtual endoscopy - Endoluminal imaging visualizes a structure as if it were hollow and the viewer were inside of it.
33
What is was used to create this image
Maximum Intensity Projections
34
What is MiniIP
using the voxels with the minimum value in the line of display used for low attenuation structures like the bronchial tree
35
What is seen in this image
MiniIP
36
What is the best way to obtain MIP or MiniIP images
limiting the data set so other structures that are present will not obscure
37
What is region of interest Editing
- most basic method of segmentation - ROI is removed by manually drawing a shape from within the data set using a "virtual scalpel" to cut the defined section - used to remove obscuring structures from 3D images - can be manual automatic or semiautomatic
38
Factors that degrade reformatted images
1. Segmentation errors 2. Image noise 3. Artifacts
39
How does segmentation errors affect reformatted images
- Important vessels or structures are inadvertently edited out of data set. - Can be obvious or subtle. - Crucial if a missing structure is unexpected. Example, Accessory artery. - Therefore, important to review unsegmented volumes, MIPs and source data.
40
How does Image noise affect reformatted images
- excessive noise can limit quality and utility of 3D images - can be avoided by using appropriate scan parameters for patient size
41
How does artifacts affect reformatted images
- motion
42
Study this