UNIT 4: Identifying and Classifying Image Artifacts Flashcards

(77 cards)

1
Q

What is an artifact?

A

Any false visual feature on a medical image that simulates tissue or obscures tissue.
Artifacts can be defined as an unwanted signal. Artifacts can be vendor specific and can vary by vendor.

How well did you know this?
1
Not at all
2
3
4
5
Perfectly
2
Q

In digital radiography (DR), three classifications of artifacts can be described:

A

-image receptor
-software
-object

How well did you know this?
1
Not at all
2
3
4
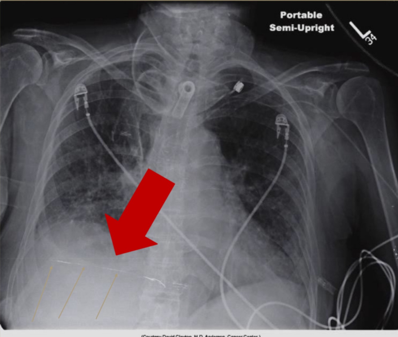
5
Perfectly
3
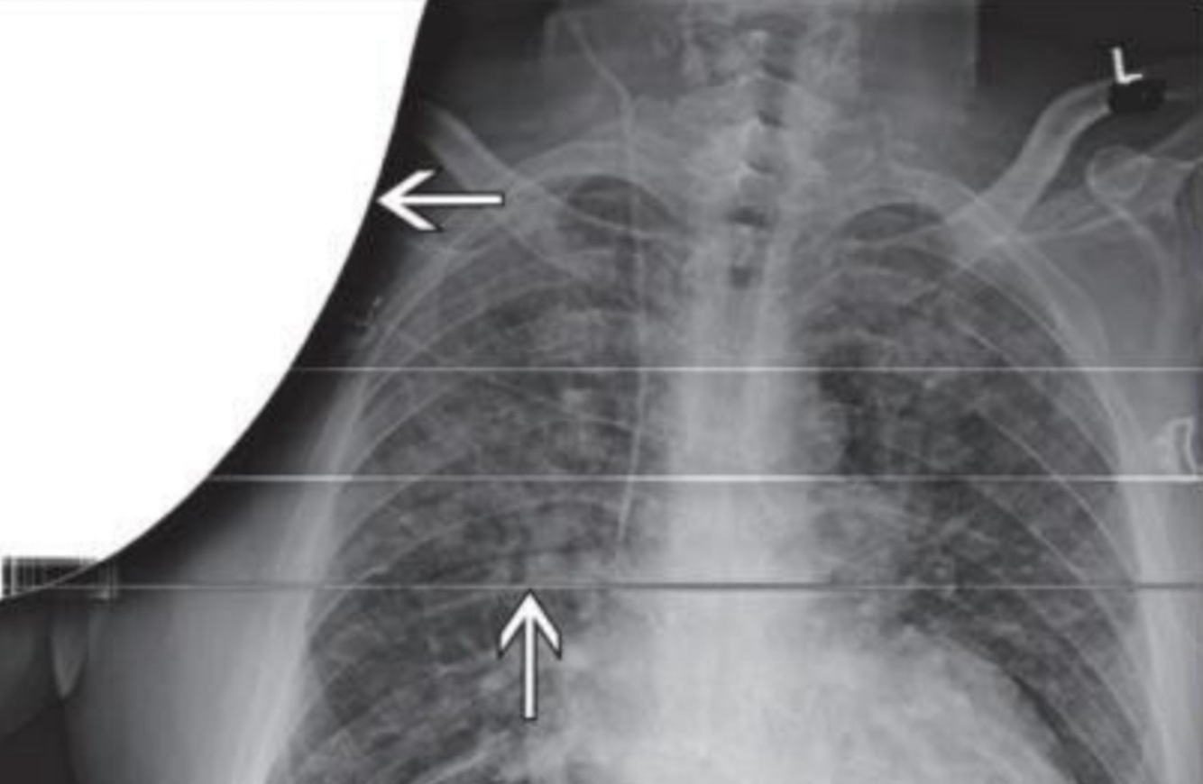
Q

Image receptor artifacts are caused by

A
  • Dust, dirt, scratches
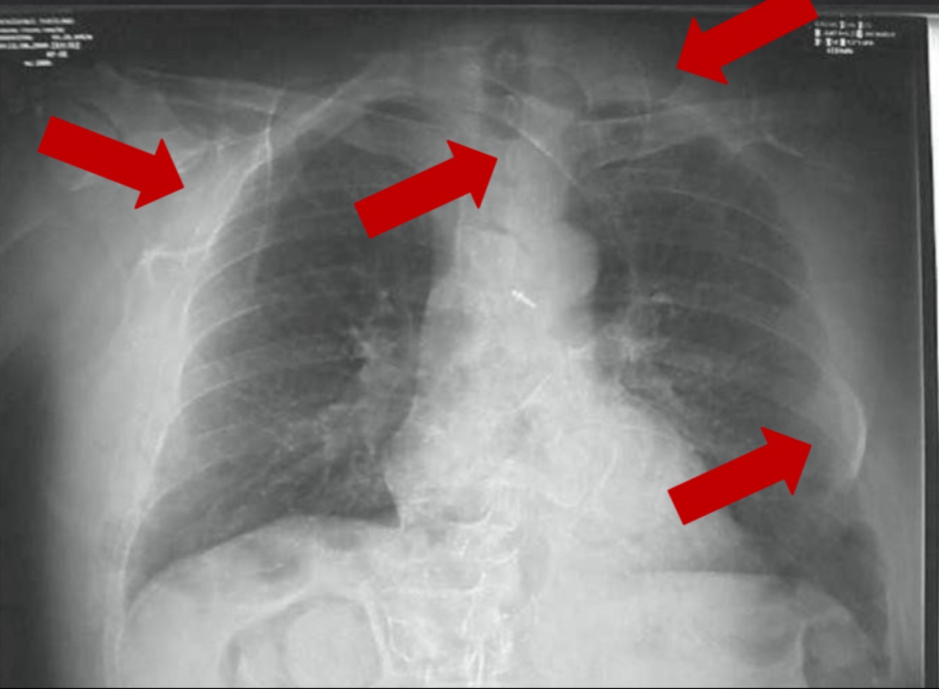
    -Pixel malfunction
    -Ghost images
How well did you know this?
1
Not at all
2
3
4
5
Perfectly
4
Q

Software Artifacts are caused by

A
  • Histograms
    -Range/scaling
    -Image compression
How well did you know this?
1
Not at all
2
3
4
5
Perfectly
5
Q

Object Artifacts are caused by

A

-Patient positioning
-Collimator/partition
-Backscatter

How well did you know this?
1
Not at all
2
3
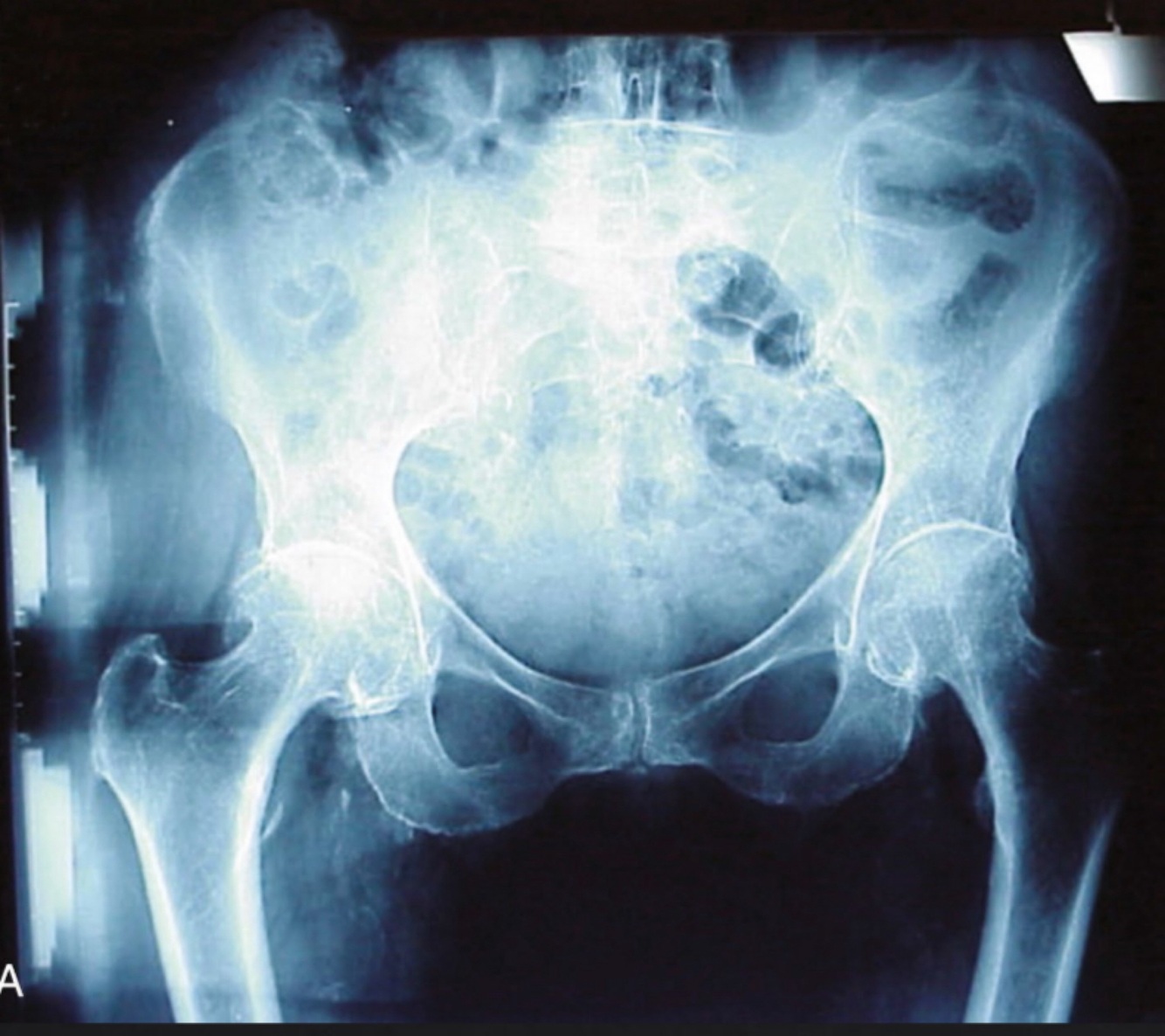
4
5
Perfectly
6
Q

Responsibilities of the radiographer

A

• Ensure patient is prepared for the exam
• Ensure equipment is functioning properly
• Technical considerations

How well did you know this?
1
Not at all
2
3
4
5
Perfectly
7
Q

Responsibilities of the Radiologist

A

• Interpret entire image
• Follow up with ordering physician

How well did you know this?
1
Not at all
2
3
4
5
Perfectly
8
Q

What are some ways radiographers can reduce image artifacts?

A

-Ensure image receptors are kept clean
-Optimal kVp and sufficient mAs
-Parallel Collimation
-Proper histogram selection
-Avoid windowing

How well did you know this?
1
Not at all
2
3
4
5
Perfectly
9
Q

What is a low signal artifact and how does it appear in a radiograph?

A

Artifacts that cause beam attenuation of low signal to the IR
-Ex:
• Dust, dirt, scratches
• Jewelry, cell phones, snaps
• Sponges, sheets, towels
• Wet hair, hair pins/ holders
• Wheelchair or stretcher rails
• Residual contrast material
• Equipment artifacts
• Software artifacts

How well did you know this?
1
Not at all
2
3
4
5
Perfectly
10
Q

What is a high signal artifact and how does it appear in a radiograph?

A

Artifacts that cause an increase signal to the IR
-Ex:
• Backscatter from damage to IP
• Exposure field outside IR
• High exposure to IR
• Lacks collimation
• Background radiation(CR)
• Ghost images

How well did you know this?
1
Not at all
2
3
4
5
Perfectly
11
Q

Artifacts produced by dust can be corrected easily with

A

proper cleaning (unless the dust is internal to the optics of a computed radiography (CR) imaging system. Dust on any section of the CR optical path—mirrors and lenses—cannot be corrected by the radiologic technologist and will require professional service)

How well did you know this?
1
Not at all
2
3
4
5
Perfectly
12
Q

Scratches or a substantial malfunction of pixels likely will require

A

replacement of the image receptor

How well did you know this?
1
Not at all
2
3
4
5
Perfectly
13
Q
A

Residual glue on IR

(Damage to CR plates)

How well did you know this?
1
Not at all
2
3
4
5
Perfectly
14
Q
A

Debris on IR mimics foreign bodies

(Damage to CR plates)

How well did you know this?
1
Not at all
2
3
4
5
Perfectly
15
Q
A

-Dust inside the Cassette
-Resolution: Clean the Image Plate with approved solution

How well did you know this?
1
Not at all
2
3
4
5
Perfectly
16
Q
A

-Dust or damage to Light Guide
-Resolution: Call service provider to clean/repair equipment

How well did you know this?
1
Not at all
2
3
4
5
Perfectly
17
Q
A

-Damaged DR Detector
-Resolution: Replacement of the Detector

How well did you know this?
1
Not at all
2
3
4
5
Perfectly
18
Q
A

-Liquid Contamination
-Resolution: Replacement of the Detector

How well did you know this?
1
Not at all
2
3
4
5
Perfectly
19
Q

The appearance of ghost images occurs because of

A

incomplete erasure of an previous image on a CR image receptor

How well did you know this?
1
Not at all
2
3
4
5
Perfectly
20
Q

Usually, ghost images can be corrected by

A

additional signal erasure techniques

How well did you know this?
1
Not at all
2
3
4
5
Perfectly
21
Q

If a CR image receptor has not been used for 24 hours, it should be

A

erased again before use. When a completely erased image receptor is processed, the resultant image should be uniform and free of artifacts

How well did you know this?
1
Not at all
2
3
4
5
Perfectly
22
Q
A

-Phantom/Ghost Images
-Caused by Incomplete erasure of IR

How well did you know this?
1
Not at all
2
3
4
5
Perfectly
23
Q
A

CR Background radiation, IR not used for days

How well did you know this?
1
Not at all
2
3
4
5
Perfectly
24
Q
A

CR IR Came Apart

How well did you know this?
1
Not at all
2
3
4
5
Perfectly
25
Irradiation of a digital radiographic image receptor by the raw x-ray beam may show
variations over the image, producing an irregular pattern that could interfere with diagnosis
26
With irregular patterns, a preprocessing manipulation known as
flatfielding, resulting in a uniform response to a uniform x-ray beam
27
Flatfielding is a preprocessing software correction that is performed to
equalize the response of each pixel to a uniform x-ray beam
28
Flatfielding corrects the anode heel-effect
29
If a lot of scattering material is present behind the image receptor, backscatter radiation can cause a
phantom/ghost image
30
If a phantom artifact is discovered, the back side of the image receptor should be
shielded to reduce backscatter x-rays
31
-Backscatter Radiation -Resolution: Collimate, place lead strip behind Cassette
32
Incorrect histogram selection
33
-The exposure field must be properly collimated, sized, and positioned. Exposure field recognition errors leads to histogram analysis errors because signal outside the exposure field is included in the histogram. The result is very dark or very light or very noisy images. -In DR, proper collimation has the added value of defining the image histogram. If improperly collimated, the histogram can be improperly analyzed, resulting in an artifact
34
-Normal chest x-ray of newborn • Proper cassette size and orientation • Center area of interest to IR • Collimate to area of interest
35
Systems can recognize even-numbered x-ray exposure fields that are centered and cleanly collimated. Multiple image exposures on 1 CR IR is not recommended unless the unexposed portion is shielded. Note the loss of contrast on A when compared to B.
36
For the image histogram to be properly analyzed, each collimated field should consist of 4 distinct collimated margins. 3 collimated margins usually works, but fewer than three can result in artifacts.
37
If multiple fields are projected onto a single image receptor, each must have clear, collimated edges and margins between each field. This process, called partitioning, allows two or more images to be projected on a single image receptor. Partitioning of multiple digital images on a single image receptor results in proper separation and collimation of each image.
38
Alignment of the exposure field on the IR is important. When the image field is not orientated with the size and dimensions of the IR, image artifacts can appear.
39
How can this image be improved?
• Use appropriate sized IR • Center body part to IR • Parallel collimation • Tighter collimation • Proper patient positioning
40
-Cause: Poor grid alignment-grid lines seen. -Resolution: The CR should be centered to the grid to avoid this. -Grid lines can also be seen by scanning the IR in the same direction as the grid lines. Grid frequency of 103 lines per inch or greater recommended for mobile grids to avoid this artifact.
41
-Exposure artifact -Quantum Mottle (Starvation)
42
-Exposure artifact -Data Drop (Detector Saturation)
43
Foreign body: swallowed coin
44
Foreign body: screw
45
Foreign body: Shot in the eye with a pellet gun
46
Foreign body: Swallowed Safety Pin
47
Foreign body: aspirated washer
48
Swallowed Watch Battery
49
Foreign body: Swallowed Magnets
50
Foreign body: Swallowed Marble
51
Foreign body: Aspirated Almond
52
Foreign body: Swallowed Pencil
53
Foreign body: Swallowed Turkey Bone
54
Foreign body: Piece of Wood
55
Foreign body: Piece of Glass
56
Foreign body: Stepped on a Nail
57
Foreign body: Acupuncture Needles
58
Foreign body: Surgical Sponge
59
Foreign body: Bullet
60
Foreign body: Sharpnel
61
Foreign body: Swallowed packets of illicit drugs
62
Foreign body: push up bra
63
Foreign body: extension arm of vacuum
64
Foreign body: Low signal artifact
65
International Electrotechnical Commission (IEC)
-Developed and published an international standard of exposure index and deviation index ( IEC 62494-1) and the DICOM storage and transmission of these numbers in 2008 -The American Association of Physicists in Medicine (AAPM Task Group # 116) and the ImageGently Campaign adopted these standards in 2010
66
Exposure Indicator or Index
*the numeric value assigned to the exposure to the IR -The base exposure indicator number for all systems designates the middle of the detector operating range -Exposure indicator numbers outside the range indicate overexposure and underexposure.
67
High **S** number means
Underexposed
68
Low **S** number means
Overexposed
69
Fuji, Philips, and Konica systems
• the exposure indicator is known as the **S, or sensitivity number** • The S number is the amount of luminescence emitted at 1 mR at 80 kVp, and it has a value of 200 **• The higher the S number with these systems, the lower the exposure.** -For example, an S number of 400 is half the exposure of an S number of 200, and an S number of 100 is twice the exposure of an S number of 200. • The numbers have an **inverse relationship** to the amount of exposure so that each change of 200 results in a change in exposure by a factor of 2. **-Higher S # =Underexposed** **-Lower S # = Overexposed**
70
Kodak Carestream
• uses **exposure index, or EI, as the exposure indicator** • A 1 mR exposure at 80 kVp combined with aluminum/copper filtration yields an EI number of 2000 • An EI number plus 300 (EI + 300) is equal to a doubling of exposure, and an EI number of minus 300 (EI − 300) is equal to a halving of exposure. • The numbers for the Kodak Carestream system have a **direct relationship** to the amount of exposure so that each change of 300 results in change in exposure by a factor of 2.
71
Agfa Systems
• exposure indicator is the **lgM, or logarithm of the median exposure** • An exposure of 20 µGy at 75 kVp with copper filtration yields an lgM number of 2.6 • Each step of 0.3 above or below 2.6 equals an exposure factor of 2. • An lgM of 2.9 equals twice the exposure of 2.6 lgM, and an lgM of 2.3 equals an exposure half that of 2.6 **• The relationship between exposure and lgM is direct**
72
Example 1: An exposure of 80 kVp and 10 mAs results in an S# of 600. What change would be needed to bring the S# into the suggested manufacturer’s range of 100-400?
Double the mAs to get 300 for the S number -Explanation: the S# is Fuji, Konica or Phillip's indicator numbers – An S# of 200 in the middle of the exposure indicator range for these systems. The S# in inversely proportional to the exposure intensity at the IR, therefore an S# of 600 indicates an underexposure. If the radiographer double the mAs to 20 mAs the S# should decrease to approximately half to around 300. Since the median is 200, this is slightly underexposed still, but within the range of 100-400 as suggested by the manufacture.
73
Example 2: On a Agfa system an exposure of 85 kVp at 40mAs of a CTL hip resulted in a lgM of 2.0. What change in mAs is needed to bring the lgM to the median of 2.6?
Double the mAs TWICE (40x2= 80, 80x2= 160) to get the exposure indicator (IgM) to. 2.6 -Explanation: The lgM is the logarithm of the median exposure. The median exposure for this system is 2.6. The exposure indicator is directly related, therefore a lgM of 2.0 is underexposed. For each doubling of the mAs a 0.3 increase of the lgM would result. If the radiographer increase the mAs 4X to 160 mAs, this change would increase the lgM by 0.6 and bring it to about 2.6, which is the median suggested by the manufacturer.
74
Deviation Index
the deviation of the actual EI to the target EI. The target EI (EIT) is the middle of the EI range for a particular exposure system. The actual EI is divided by the EI target. The formula for deviation index is: DI = 10 x log10 (EI/EIT) The AAPM recommends 5 DI ranges (rows) with 4 limits.
75
What can a properly designed Deviation Index chart inform radiographers?
how far from the target EI the actual exposure, assist in making accept/consult/repeat decisions and assess potential changes to future exposures
76
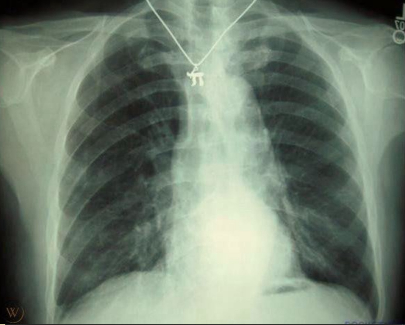
Using the example Cannon RadPro Chart posted below answer the following question: An AP mobile chest exam for central line placement is made with 110 kVp and 3 mAs on a large patient with a 8:1 grid. All critical anatomy is present, positioning is acceptable and the Central line is visible within the SVC. The EI # is 405. Based on the information given and your assessment of the DI chart, what should the radiographer do?
Usually you would divide mAs by 1.25 according to the chart, but because all anatomy is present and the Central line is visible in the image, even though the EI is higher that the EIT, indicating overexposure (b/t 26-58%) it is still within the acceptable range. The image should be accepted.
77
Using the example Cannon RadPro Chart posted below answer the following question: A soft tissue neck is taken on a geriatric patient with a HX of possibly swallowing a small fish bone using 80 kVp at 5 mAs. • The image is well positioned and all essential anatomy is visible. The EI# is 174. Given the information available and your assessment of the DI chart, what should the radiographer do?
The EI indicates underexposure below 37%. This image is likely to suffer from several photographic quality problems: 1. Exposure: Given an exposure this low, the image would demonstrate quantum mottle noise. The noise would make visualizing objects with similar subject contrast difficult because when noise is increased, image contrast resolution decreases. The action that would solve this problem is to increase mAs in order to decrease image noise. Without any other changes mas should be multiplied by 1.5. 2. Contrast: A small fish bone is difficult to visualize due to its similar subject contrast with the structures of the neck. This is a problem with contrast noise due to kVp. As kVp is Increased, noise due to Compton scatter increases, compounding the problem above; loss of contrast due to increased noise. The action that would solve this problem would be to decrease kVp. Without any other changes kVp should be reduced by 15%. To summarize: Problems – loss of contrast due to noise from quantum mottle and contrast noise due to high kVp. Solution- increase mAs and decrease kVp. The new technique should be 70 kVp at 15 mAs. Here is the math: 80 kvp at 5 mAs: Original technique • Step 1 - 80 kVp at 7.5 mAs; 5 x 1.5 = 7.5 • Step 2 - 70 kVp at 15 mAs - Decrease kVp using 15 % rule to maintain the new exposure (decreases Compton scatter, increases subject contrast – decreases contrast noise, increase contrast resolution)