Upper Blocks Flashcards

(105 cards)

1
Q

is coagulopathy a contraindication to a peripheral block?

A

not necessarily - still have to consider potential for uncontrolled hemorrhage but compartment is compressible (vs. central blocks)

How well did you know this?
1
Not at all
2
3
4
5
Perfectly
2
Q

how might site infection affect a peripheral block?

A

might decrease efficacy of the block d/t pH of tissue being < pKa

increased ionized (hydrophilic) portion of the drug, prevents nerve entry

How well did you know this?
1
Not at all
2
3
4
5
Perfectly
3
Q

1 cause of LAST

A

inadvertent vascular injection

How well did you know this?
1
Not at all
2
3
4
5
Perfectly
4
Q

only block that covers the shoulder

A

interscalene

How well did you know this?
1
Not at all
2
3
4
5
Perfectly
5
Q

what area does a supraclavicular block cover?

A

his notes (Nagelhout) - entire upper extremity distal to the shoulder

NYSORA - anesthesia of the upper limb often including the shoulder

M&M - dense anesthesia for surgeries at or distal to the elbow

:) :) fuck :) :) this :) :)

How well did you know this?
1
Not at all
2
3
4
5
Perfectly
6
Q

specific risks of interscalene block

A
  • close to carotid, vertebral artery, IJV, spinal cord, CSF
  • inadvertent arterial injection = seizures
  • inadvertent CSF injection = immediate high spinal
  • also per M&M - almost invariably blocks ipsilateral phrenic nerve
How well did you know this?
1
Not at all
2
3
4
5
Perfectly
7
Q

significant risk of supraclavicular block

A

inadvertent puncture of pleural space & pneumothorax

+ according to M&M - nearly half have ipsilateral phrenic nerve palsy. seems important :’)

How well did you know this?
1
Not at all
2
3
4
5
Perfectly
8
Q

an interscalene block provides analgesia to what areas?

A

shoulder and upper arm

How well did you know this?
1
Not at all
2
3
4
5
Perfectly
9
Q

infraclavicular block provides analgesia to what areas?

A

elbow and below

How well did you know this?
1
Not at all
2
3
4
5
Perfectly
10
Q

axillary block provides analgesia to what areas?

A

distal to elbow

How well did you know this?
1
Not at all
2
3
4
5
Perfectly
11
Q

3 approaches for peripheral nerve blocks

A
  1. US guided
  2. peripheral nerve stimulation
  3. landmark (blind)
How well did you know this?
1
Not at all
2
3
4
5
Perfectly
12
Q

skin prep used prior to nerve block

A

chlorhexidine and alcohol mixture

(betadine considered neurotoxic)

How well did you know this?
1
Not at all
2
3
4
5
Perfectly
13
Q

local analgesia used prior to nerve block

A

0.5-1 mL of 1% lidocaine using a 27g or 30g needle to block insertion site

How well did you know this?
1
Not at all
2
3
4
5
Perfectly
14
Q

lead placement for peripheral block via nerve stimulation

A
  • positive (red): connected to electrical attachment of nerve-stimulating needle
  • negative (black): connected to EKG sticker

*note that he said what’s on his handout is mislabeled*

How well did you know this?
1
Not at all
2
3
4
5
Perfectly
15
Q

what shape needle is used for a nerve block?

A

conical shape - reduces likelihood of impaling the nerve by displacing rather than peircing the fiber

How well did you know this?
1
Not at all
2
3
4
5
Perfectly
16
Q

what aspect of block needle design allows you to recognize the tip based on muscle tip response?

A

needles have an insulating property designed to transfer electrical stimulus to the tip of the needle rather than along the full length

How well did you know this?
1
Not at all
2
3
4
5
Perfectly
17
Q

target range for satisfactory muscle response when doing a peripheral block via nerve stimulation

A

0.3 - 0.5 mA

How well did you know this?
1
Not at all
2
3
4
5
Perfectly
18
Q

if muscle contraction is occurring at < 0.3 mA, what does that mean?

A

too close to the nerve/may be in contact with it

pull the needle back before injecting LA

How well did you know this?
1
Not at all
2
3
4
5
Perfectly
19
Q

benefits of ultrasound-guided peripheral blocks

A
  • more precise placement
  • more complete and dense block
  • avoid adjacent structures
  • reduce intravascular injection risk
How well did you know this?
1
Not at all
2
3
4
5
Perfectly
20
Q

cross sectional US view - short axis or long axis?

A

short axis

How well did you know this?
1
Not at all
2
3
4
5
Perfectly
21
Q

longitudinal US view - short axis or long axis?

A

long axis

How well did you know this?
1
Not at all
2
3
4
5
Perfectly
22
Q

US view used to identify the anatomy of the nerve and center it on the screen

A

short axis (cross section)

How well did you know this?
1
Not at all
2
3
4
5
Perfectly
23
Q

advantage of long axis US view of needle

A

full view of needle is maintained throughout

decreased chance that needle tip is lost “out of plane”

How well did you know this?
1
Not at all
2
3
4
5
Perfectly
24
Q

which US view is described:

if standing at the side of a tunnel, you can see length but can’t appreciate width

A

long axis

How well did you know this?
1
Not at all
2
3
4
5
Perfectly
25
which US view is described: if you were looking down through a train tunnel and have a view of the outside edge and hole where the train comes through
short axis | (no quantifiable depth)
26
where is the beam emitted by the US probe
only directly under the probe
27
nerves that make up the brachial plexus
C5-T1
28
elements of the brachial plexus | (idk how else to ask this)
Roots Trunks Divisions Cords Branches *Real Texans Drink Cold Beer*
29
which brachial plexus block approach blocks trunks?
interscalene
30
which brachial plexus block approach blocks divisions?
supraclavicular
31
which brachial plexus block approach blocks cords?
infraclavicular
32
which brachial plexus block approach blocks branches?
axillary
33
nerve of brachial plexus that is typically not covered by interscalene block
ulnar nerve
34
volume of injection for brachial plexus block
commonly ~30 mL
35
pneumothorax is a risk for all brachial plexus block approaches except:
axillary
36
complication of brachial plexus block that is related to close proximity to phrenic nerve for which patients is this particularly problematic?
ipsilateral hemiparesis of diaphragm problematic in pts with compromised spontaneous ventilation
37
treatment for ipsilateral diaphragm hemiparesis with brachial plexus block
none - self limiting typically not noticable in young, healthy pts
38
what is Horner's syndrome?
uptake of LA into head and neck that results in sympathetic blockade to nerves affecting facial structures
39
symptoms and treatment of Horner's syndrome
S/S: ptosis, miosis, anhidrosis on affected side self-limiting for duration of block
40
block that is well-correlated with Horner's sydnrome
interscalene
41
how to locate point of injection for interscalene block
* identify sternal head of sternocleidomastoid muscle * move laterally to clavicular head * move further lateral to space in between anterior and middle scalenes
42
adverse effect of using only the landmark technique for axillary block
puncture of axillary artery
43
nerve that is closest to US probe and skin (superficial) in the axillary approach
median nerve
44
location of median nerve in axillary approach
* superficial * adjacent to coracobrachialis muscle * anterior
45
axillary approach: deepest nerve (opposite the median nerve)
radial nerve
46
axillary approach: nerve that is on the biceps side
musculocutaneous
47
axillary approach: nerve that is on the triceps side
ulnar nerve
48
when should epi be avoided in an upper extremity block?
below the elbow (risk of vasculature compromise generally outweighs use)
49
general volume max for ulnar nerve blocks (or did he mean all upper extremity blocks? per nerve with brachial plexus blocks? this is incredibly confusing)
5 mL
50
max surgical time for a Bier block
2 hours
51
where is the IV placed for a Bier block?
in operative extremity, as distal as possible (will be removed after LA injection - will need a separate IV for anesthesia purposes)
52
how long does a tourniquet have to be left inflated for a Bier block? why?
at least 20 min to prevent toxicity - after 20 min, enough of LA has absorbed into soft tissue and will be metabolized when released back into vasculature
53
when does tourniquet pain become as prominent as surgical pain?
\> 2 hours
54
contraindications for a Bier block
* severe compromise of venous system, soft tissue trauma (need an intact venous compartment) * arm has to be able to tolerate arterial tourniquet - AV fistula, mastectomy
55
contraindications for a Bier block
* severe compromise of venous system, soft tissue trauma (need an intact venous compartment) * arm has to be able to tolerate arterial tourniquet - AV fistula, mastectomy
56
additives to a Bier block
* any agent that would otherwise be acceptable for IV admin * common: clonidine, toradol, ketamine, decadron, fentanyl
57
chronology of Bier block (9)
1. place small gauge IV in operative extremity 2. place tourniquet on upper arm (or leg) after padding in place 3. note radial pulse 4. elevate arm 5. esmarch bandage exsanguination 6. inflate tourniquet 50 mmHg over SBP 7. confirm absence of pulse 8. inject 50mL of preservative free 0.5% lidocaine without epi 9. remove IV
58
LA used for Bier Block
50mL preservative-free **0.5%** lidocaine without epi
59
why can't you use 1% lidocaine for a Bier Block?
would have to use less volume to prevent toxicity and you need that volume to fill the compartment
60
where must the tourniquet be placed for a Bier Block (upper extremity)?
on the humerus - incidence of failure higher on forearm d/t 2 bones being in the way
61
why is double tourniquet for a Bier block used
allows a field block to occur naturally addresses tourniquet pain
62
technique of a double tourniquet for Bier block
* inflate proximal tourniquet at the beginning of the case * when tourniquet pain develops, distal tourniquet inflated (over an area that is numb) * after distal inflation, proximal tourniquet deflated
63
methods to avoid soft tissue injury with Bier block
cast padding or equivalent under tourniquet
64
descending order of vessels and nerve in the inferior border of the rib
vein artery nerve
65
functions of the radial nerve
* triceps * supination of forearm * extension of wrist * abduction of thumb * extension of other fingers
66
function of median nerve
* flex elbow * pronate forearm * flex wrist * flex fingers * abduct thumb
67
what nerves form the radial nerve
C5-T1
68
what forms the median nerve
lateral and medial cords
69
nerves that form the ulnar nerve
C8-T1
70
functions of ulnar nerve
* flexion of wrist, ring, and small (pinky?) fingers * adduction of fingers * adduction & flexion of thumb
71
use of intercostal block
* lasts several hours * reduce surgical pain * allow improved efficacy of painful respirations
72
landmark for intercostal block
midaxillary line
73
adverse effect of particular concern with an intercostal block and why
LAST LA uptake is highest with intercostal block (also PTX, but some others can cause that too)
74
why might epi be added to an intercostal block?
to reduce vascular uptake & risk of LAST
75
technique for intercostal block
* find rib with needle and slide to inferior edge * pass inferior edge 2-3 mm before injection
76
block that provides analgesia to abdominal compartment
TAP block | (transversus abdominus plane)
77
uses of TAP block
open and laparoscopic procedures post-op pain
78
in a TAP block, LA spreads between what 2 muscles?
internal oblique & transversus abdominus
79
what does a TAP block cover?
**unilateral** blockade of nerves from T9-L1
80
volume used in a TAP block
20 mL injected incrementally under US guidance
81
limitations of TAP block
can have inadequate spread through fascial plane muscle or sub-q uptake can impact duration and levels affected
82
what indicates an appropriately placed TAP block on US?
separation of the plane between internal oblique and TA muscle
83
what are these things if your US probe is on a tummy
1. Subq 2. external oblique 3. internal oblique 4. transversus abdominus 5. abdominal content
84
risks of a thoracic epidural
* infection * bleeding * hypotension * bradycardia
85
common approach for thoracic epidural
paramedian
86
where is LA injected for a pec nerve block?
between pec major and minor
87
where is US placed to find location of pec block?
at origin of pec muscle near anterior axillary line identify musles in SAX
88
landmark for paravertebral block
identify transverse process at target level (generally several levels injected)
89
technique for paravertebral block
* identify transverse process at target level * insert spinal/epidural needle to transverse process and “walk off” to an additional 1cm depth * generally 5mL LA per level
90
onset and duration expected with paravertebral block
uptake fairly rapid 4 hour duration of effective analgesia expected
91
erector spinae plane block vs. paravertebral and PEC blocks
markedly simpler less risk higher success rate
92
what is responsible for increasing spread and absorption into spinal nerves in an erector spinae block?
volume
93
nerve root that typically corresponds with the radial nerve
C6
94
nerve root that typically corresponds with the median nerve
C7
95
nerve root that typically corresponds with the ulnar nerve
C8
96
Label A-F on this beautiful textbook worthy graphic
A: radial (C6) B. median (C7) C. ulnar (C8) D. medial cutaneous E. axillary F. musculocutaneous
97
T/F Bupivacaine can be used for a bier block
Nope never
98
Which nerve is generally the most hyperechoic in axillary view?
Musculocutaneous
99
3 muscles identified for a TAP block | (worksheet)
1. external oblique 2. internal oblique 3. transversus abdominus
100
the red represents sensory distribution of what brachial plexus block approach?
interscalene
101
the expected sensory distribution of which brachial plexus block approach is shown
supraclavicular (note: does not **reliably** anesthetize the axillary nerve/shoulder area)
102
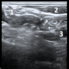
left is lateral, medial is right what are these things (worksheet 4)
1. brachial plexus trunks 2. SCM 3. carotid artery (left)
103
What nerve lies separate from the axillary artery that must be blocked separately for terminal branch coverage? (worksheet)
musculocutaneous
104
what are these circled guys? (this is a right sided supraclavicular approach to brachial plexus)
brachial plexus divisions | (lateral to artery)
105
what are these things in the right groin (left is medial, right is lateral)
1. femoral vein 2. femoral artery 3. femoral nerve