Upper Extremities (Midterm) Flashcards

(57 cards)

1
Q

What is 1?

A

trapezium b.

How well did you know this?
1
Not at all
2
3
4
5
Perfectly
2
Q

What is 2?

A

trapezoid b.

How well did you know this?
1
Not at all
2
3
4
5
Perfectly
3
Q

What is 3?

A

capitate b.

How well did you know this?
1
Not at all
2
3
4
5
Perfectly
4
Q

What is 5?

A

hamate b.

How well did you know this?
1
Not at all
2
3
4
5
Perfectly
5
Q

What is 6?

A

hook of hamate

How well did you know this?
1
Not at all
2
3
4
5
Perfectly
6
Q

What is 7?

A

scaphoid b.

How well did you know this?
1
Not at all
2
3
4
5
Perfectly
7
Q

What is 8?

A

lunate b.

How well did you know this?
1
Not at all
2
3
4
5
Perfectly
8
Q

What is 9?

A

triquetrum b.

How well did you know this?
1
Not at all
2
3
4
5
Perfectly
9
Q

What is 10?

A

pisiform

How well did you know this?
1
Not at all
2
3
4
5
Perfectly
10
Q

What is 11?

A

styloid process of the radius

How well did you know this?
1
Not at all
2
3
4
5
Perfectly
11
Q

What is 12?

A

head of the ulna

How well did you know this?
1
Not at all
2
3
4
5
Perfectly
12
Q

What is 13?

A

styloid process of ulna

How well did you know this?
1
Not at all
2
3
4
5
Perfectly
13
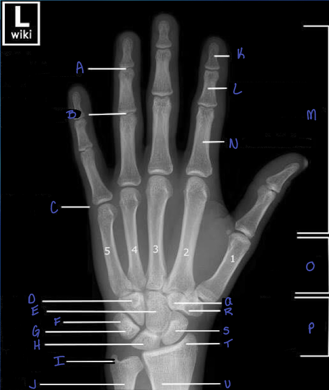
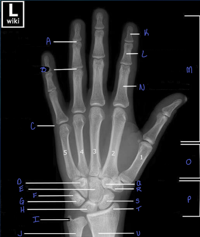
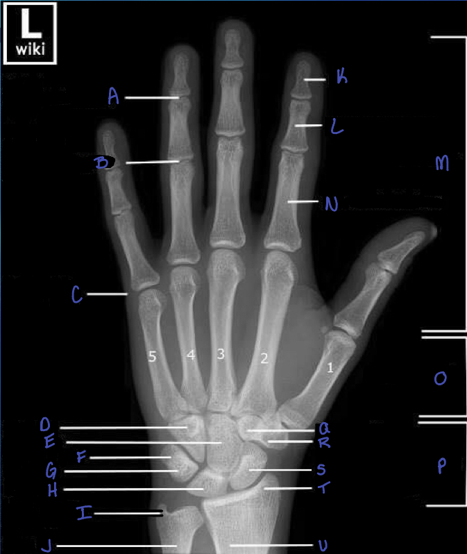
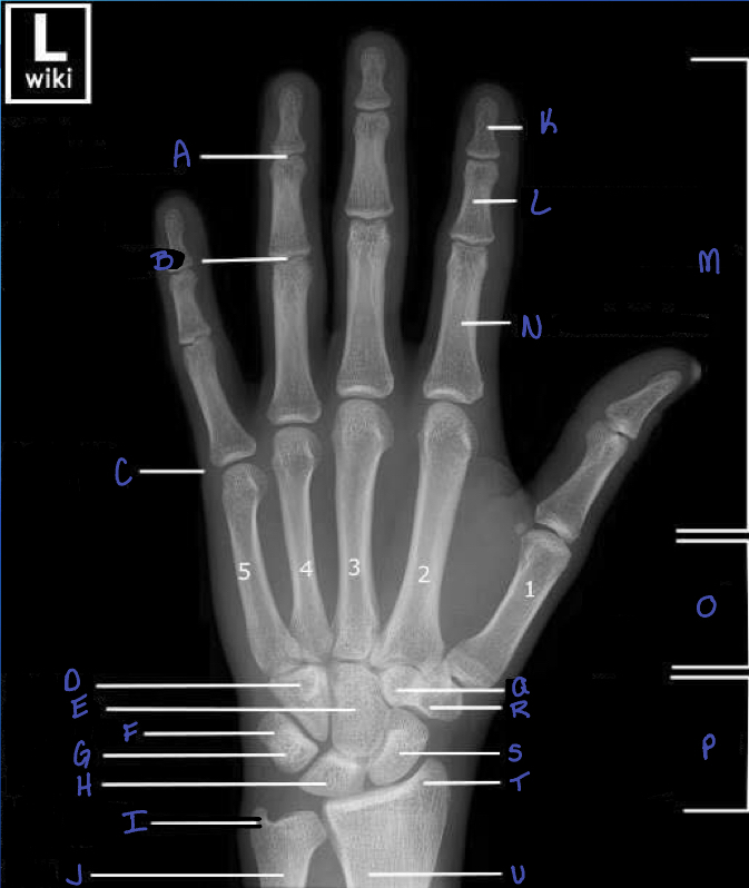
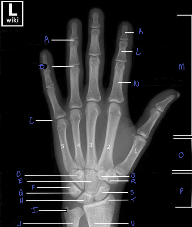
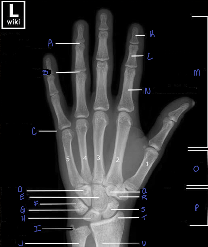
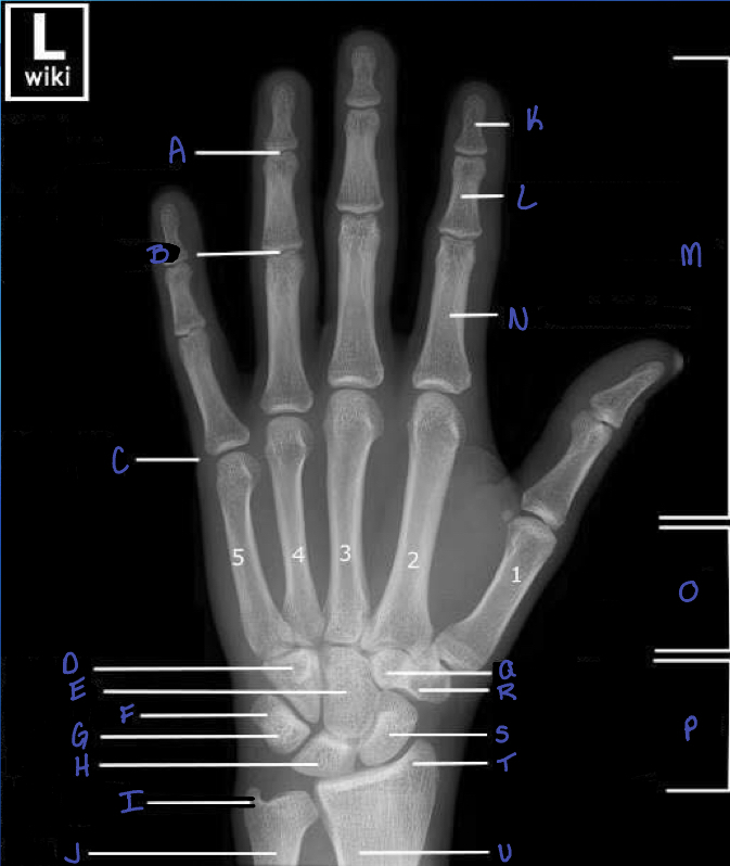
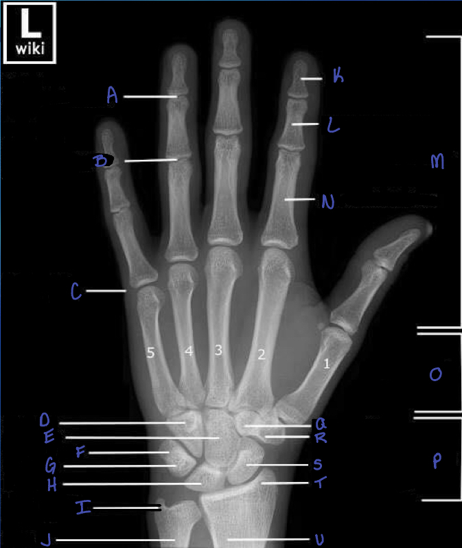
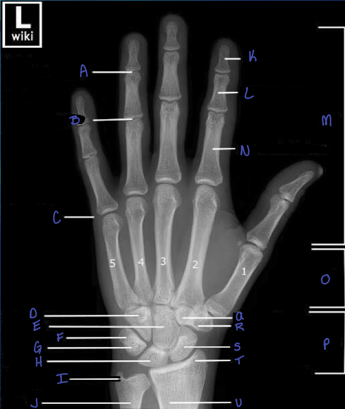
Q

What is A?

A

distal interphalangeal joint

How well did you know this?
1
Not at all
2
3
4
5
Perfectly
14
Q

What is B?

A

proximal interphalangeal joint

How well did you know this?
1
Not at all
2
3
4
5
Perfectly
15
Q

What is C?

A

metacarpophalangeal joint

How well did you know this?
1
Not at all
2
3
4
5
Perfectly
16
Q

What is D?

A

hamate b

How well did you know this?
1
Not at all
2
3
4
5
Perfectly
17
Q

What is E?

A

capitate b

How well did you know this?
1
Not at all
2
3
4
5
Perfectly
18
Q

What is F?

A

triquetrium b.

How well did you know this?
1
Not at all
2
3
4
5
Perfectly
19
Q

What is G?

A

pisiform

How well did you know this?
1
Not at all
2
3
4
5
Perfectly
20
Q

What is H?

A

lunate b.

How well did you know this?
1
Not at all
2
3
4
5
Perfectly
21
Q

What is i?

A

ulna styloid process

How well did you know this?
1
Not at all
2
3
4
5
Perfectly
22
Q

What is J?

A

ulna

How well did you know this?
1
Not at all
2
3
4
5
Perfectly
23
Q

What is K?

A

distal phalanx

24
Q

What is L?

A

middle phalanx

25
What is M?
phalanges
26
what is N?
proximal phalanx
27
What is O?
metacarpals
28
What is P?
carpals
29
What is Q?
trapezoid b.
30
What is R?
trapezium b.
31
What is S?
scaphoid b.
32
What is T?
radial styloid process
33
What is U?
radius
34
What is A?
lateral epicondyle
35
What is B?
radius
36
What is C?
olecranon fossa
37
What is D?
medial epicondyle
38
What is E?
trochlea
39
What is A?
head of humerus
40
What is B?
humerus shaft
41
What is C?
olecranon process
42
What is D?
ulna
43
What is E?
radius
44
What is A?
medial epicondyle
45
What is B?
olecranon process
46
What is C?
trochlea
47
What is D?
ulna
48
What is E?
humerus
49
What is F?
olecranon fossa
50
What is G?
lateral epicondyle
51
What is H?
radial tubercle
52
What is I?
radius
53
What is A?
radial shaft
54
What is B?
ulnar shaft
55
What is C?
humeral shaft
56
What is D?
trochlea
57
What is E?
olecranon process