

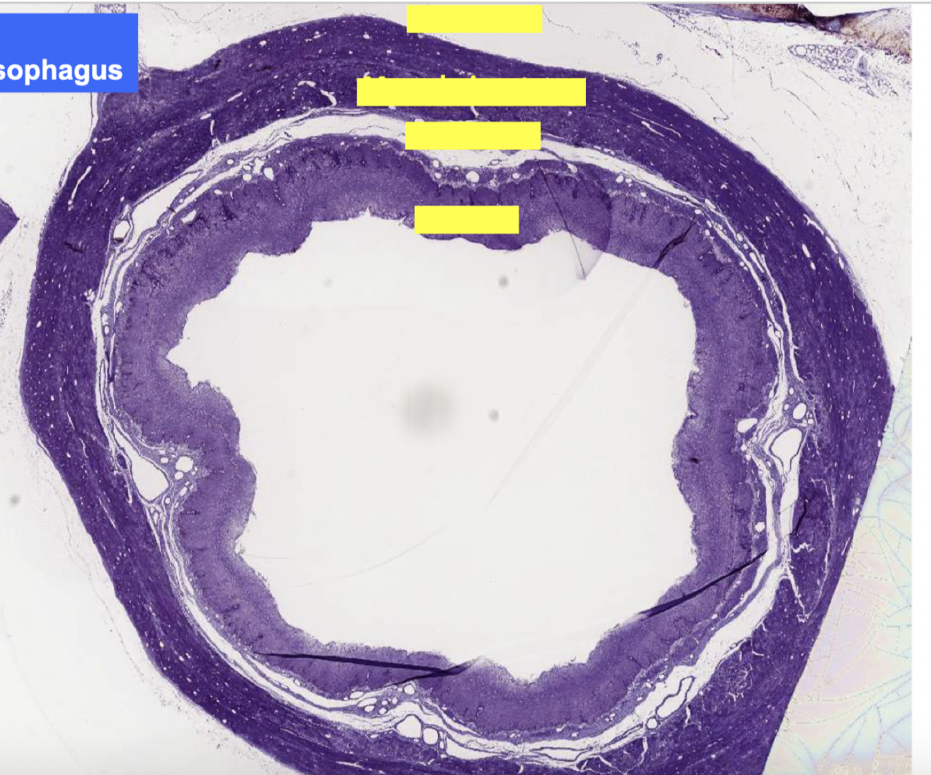
where in the body are we


where in body


where in body


mucosa composed of
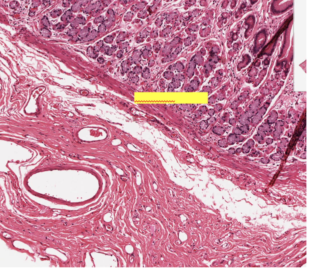
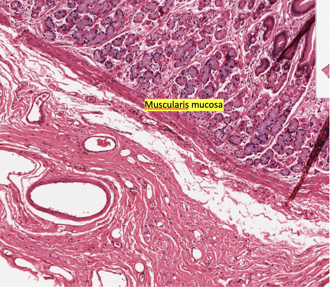
muscularis mucosae
what is lamina propria
what is muscularis mucosae
organization of tissue layers of GI tract
where in body


where in body


where in body

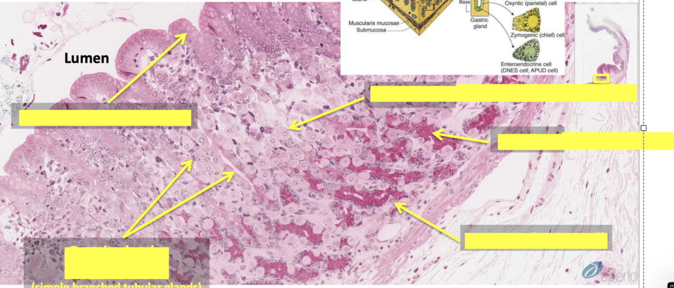
stomach

where in body

stomach

where in body

stomach

where in body

stomach

where in body

stomach

where in body


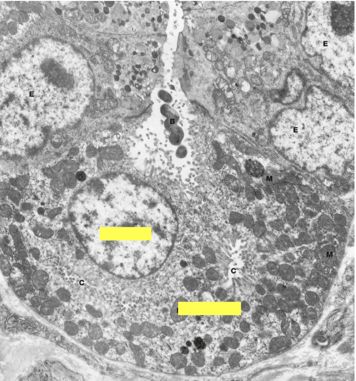
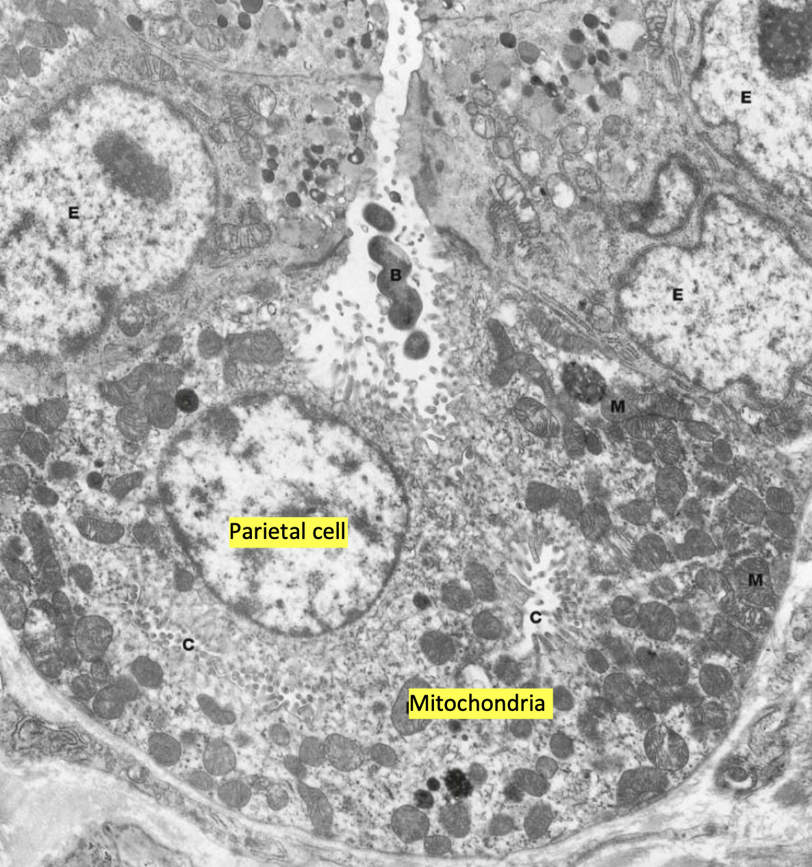
function of parietal cell
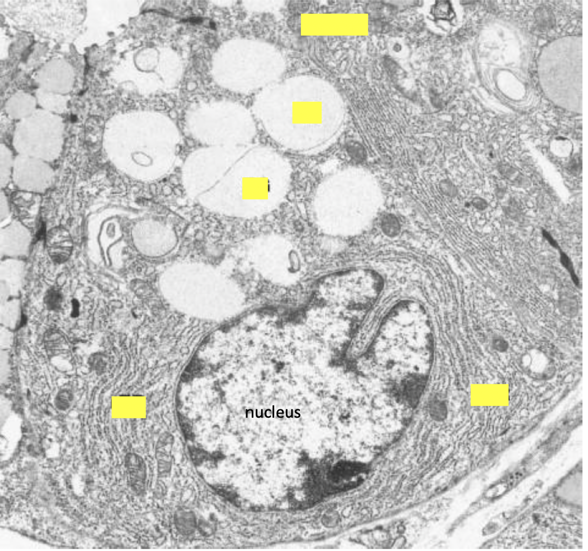
function of chief cell
where in body




what does HCl production require


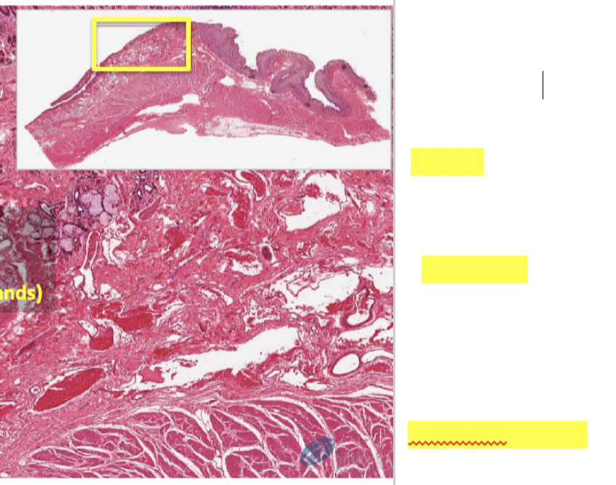
where in body


purpose of brunner’s glands
produce sodium bicarb and neutralizing compounds