Distinguish between the three major salivary glands in composition.
Parotid: Entirely serous.
Submandibular: Mostly serous, some mucinous.
Sublingual: Mostly mucinous, some serous.
Describe the functional unit of a salivary gland.
Serous and/or mucinous cells, arranged into an acinus and draining into a duct.
Describe the sequence of salivary duct transit. Include epithelial types.
Smallest: Intercalated (cuboidal)
Merge to form striated ducts (cuboidal to low columnar)
Merge to form excretory ducts (stratified squamous; generally interlobular)
How is the composition of saliva altered as it traverses a salivary gland?
In the striated ducts, Na/K ATPases work to remove sodium (indirectly) from the lumen; saliva becomes hypotonic.
What cranial nerve innervates the salivary glands?
CN IX (parotid)
CN VII (sublingual and submandibular)
What is secreted by serous salivary cells?
Antibodies and enzymes such as amylases (ptyalin) and lipases.
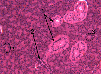
What is a serous demilune?
Secretory units consisting of mucinous acini capped by serous cells.
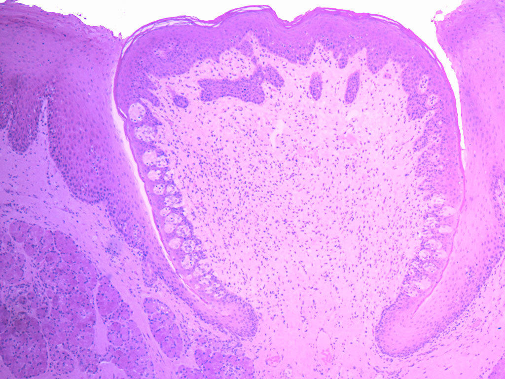
Distinguish between filiform, fungiform, and circumvellate papillae in composition and appearance.
Filiform papillae are small, abundant, and highly keratinized.
Fungiform are larger, still keratinized, but have a visible submucosal core.
Circumvellate papillae are very large, with prominent clefts housing taste buds.
Describe the structure and function of taste buds.
Containing an apical taste pore (and hairs?) and basally innervated, taste buds provide sensory information about masticated food via ligand-gated ion channels.
What types of epithelia are present in the esophagus and stomach?
What occurs in Barrett’s esophagus?
Esophagus: Stratified squamous
Stomach: Simple columnar
Chronic irritation causes metaplasia of esophageal epithelium into simple columnar (INTESTINAL, not stomach).
How is GERD treated?
Proton pump inhibitors (eg Omeprazole) to reduce acid production. Alternatives include antacids and histamine blockers.
Describe the (GI) pathophysiology and symptoms of scleroderma.
Collagen deposition (fibrosis) causes atrophy of the alimentary tract, causes atony (dysphagia, constipation), malabsorption, etc depending on the sites involved.
Describe the region of stomach with each characteristic:
Contrast the appearances of parietal and chief cells.
Parietal cells are large, round, and eosinophilic cells with central nuclei.
Chief cells are basophilic with basal nuclei.
Describe the appearance of stem cells and enteroendocrine cells.
Stem cells should contain mitotic figures (they are constantly turning over)
Enteroendocrine cells ppear as a round nucleus surrounded by unstained cytoplasm (use immunohistochemistry to differentiate)
For each of the following, give the cell type or the corresponding function.
Identify 1 and 2.

Describe what you see.

This is a circumvellate papilla. Note the taste buds nestled in the clefts around the papilla.
What is the arrow pointing to?
What else is present here?

The arrow points to a fungiform papilla (note the extension of submucosa, which distinguishes it from the many filiform papillae flanking it)
From where is this specimen taken?

This is from the body or fundus of the stomach (note the long gastric glands as compared to the gastric pits)