What are the muscles of the rotator cuff?
Supraspinatous
Infraspinataous
Teres Minor
Subscapularis
Name the muscles numbered

Where do the supraspinatus, infraspinatus and teres minor muscles attach on to?
Greater tuberosity of the humerus
What shoulder problems are common in each age group?
young
old
elderly
Young- instability
Old- rotator cuff tears
Elderly - Glenohumeral Osteoarthritis
What is Impingement sydrome?
The tendons of the rotator cuff (usually the supraspinatus muscle) are compressed in the tight subacromial space during movement resulting in pain.

What range of motion is known as the painfull arc?
60-120 degrees of abduction
Name three causes of impingement syndrome
What is the management plan for Impigement Syndrome?
Treatment is conservative
NSAIDs
Physiotherapy
Subacromial Injection
Subacromial decompression surgery if necessary
What is a rotator cuff tear?
Tendons of a rotator cuff muscle tear.
Can be partial or full thicknes
Classic history of a sudden jerk
degenerative changes in the tendons
What is the management plan for Rotator cuff tears?
Physiotherapy to strength remain cuff muscles
Surgical Rotator Cuff repair.
What is another name for Adhesive Capsulitis?
Frozen Shoulder
What is adhesive capsulitis?
Progressive pain and siffness of the shoulder in patients between 40 and 60 - resloving after 18-24 months
What is the principle clinical sign of frozen shoulder?
Loss of external rotation
How do you treat frozen shoulder?
Phsyiotherapy
Analgesic - Intra-articular injections
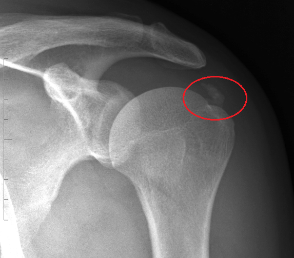
What can be seen on this X-ray?

Acute calcific tendonitis
What would the patient experiance in acute calcific tendoitis?
Acute onset of severe shoulder pain
What tendon is usually affected in acute calcific tendonitis?
Suprapspinatous tendon
What is the prognosis of acute calcific tendonitis?
Self limiting with pain easing as the calcification reabsorbs
What are the two types of shoulder instability that exist?
Traumatic instabiliy
Atraumatic - patients with generalized ligamentous laxity
What is Carpal Tunnel syndrome?
Compression of the median nerve as it passes through the carpal tunnel.

What nerve is affected in carpal tunnel sydrome?
Median nerve
What do patients with carpal tunnel syndrome present with?
Symptoms affecting only the thumb and raidal 2.5 fingers
What are some of the secondary causes of Carpal Tunnel Syndrome?
Rheumatoid Arthritis
Pregnancy
Diabetes
Chronic renal failure
What is the management plan for carpal tunnel syndrome?
Non operative
wrist splints at night to prevent flexion.
Steroid Injections
Surgical treatments
Carpal tunnel decompression - division of the carpal ligament under local anaesthetic