This deck covers
Scaphoid fractures
Bennet’s fracture
Ulnar collateral ligament of thumb
Boxer’s injuries
Flexor tendon injuries
What causes scaphoid fractures?
Falls onto outstretched hand (FOOSH)
Sports
RTAs
Describe the typical symptoms of a Scaphoid fracture
Pain along radial aspect of wrist & base of thumb
Loss of grip & pinch strength
What are the big signs of scaphoid fracture
Pain on palpation of anatomical snuffbox
Pain on telescoping the thumb
How are scaphoid fractures investigated?
MRI is the best
Xray will do the trick - but needs to be repeated at 2 weeks
What complication is associated with scaphoid fractures?
Explain why this can occur
Fractures of proximal 1/3rd risk AVN of the scaphoid
Because its got a stupid retrograde blood supply
Also a risk of non-union
How are scaphoid fractures treated?
Cast for 6 weeks
If displaced or non-union = surgery
Ulnar collateral ligament injury of the thumb involves the ulnar collateral ligament funnily enough
What does this ligament do?
Resists radial movement of the thumb
This ligament lies across the MTP joint of the thumb

How is the Ulnar collateral ligament of the thumb damaged?
Is it just the ligament that is damaged?
Damaged by excessive radial force
Aka Gamekeepers thumb (often happened after firing a gun)
Akaka skiiers thumb (yanky pole)
Can involve the ligament only - or involve avulsion of a bit of bone (either metacarpal or the phalanx)
Describe the presentation for UCL injury
What features on examination would be in keeping
Acute pain in the thumb following the injury
Weak pinch grip
Tenderness on ulnar side of thumb
Joint opens under radial stress
How is UCL thumb injury treated
Splint or cast (conservative treatment)
If bad - repair ligament
If avulsed bone - fixate it
What is a Bennet’s fracture?
What mechanism causes it?
Intra-articular fracture at the base of the 1st metacarpal (thumb)
Axial compression on a slightly flexed CMC joint - so occurs when falling on outstretched hand (FOOSH) or in boxing
In Bennet’s fractures - the metacarpal of the thumb is displaced
Why is this?
Displacement due to proximal pull from abductor pollicis longus (therefore unstable)
How are Bennet’s fractures treated?
Reduction followed by casting +/- wires
If unhappy - then screw fixation
What hand injuries are commonly seen after fights?
Boxer’s fracture
Fight bites - punch on exposed teeth may lead to fragments penetrating the MCP joint which can lead to nasty septic arthritis
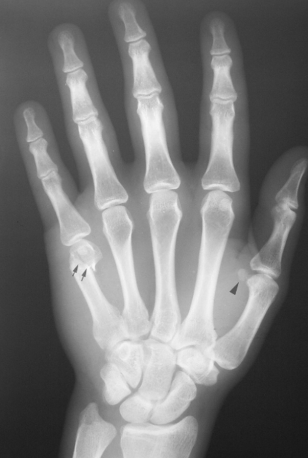
What is a Boxer’s fracture?
What bones does it typically affect?
Is there any displacement? If so - which way?
Fracture of the neck of the metacarpal
Usually the little or ring finger
Often volar (palmar) displacement

How are Boxer’s fractures treated?
Pretty much always conservatively - cast or splint
Reduction & wiring indicated if displacement is silly - ie visible bulge in the palm
Plates used very rarely
How do flexor tendon injuries occur?
Who does it most commonly happen to?
Knife lacerations
(drunk people cooking food is like the 3rd biggest cause)
Males > females
Young adults
What is the approach to management of flexor tendon injuries?
Repair surgically & early
Early movement reduces likelihood of adhesions