You have a sinus infection that got worse, then better, but all of a sudden got worse again. You also feel tooth pain. This is likely?
Acute Rhinosinusitis
What is used for Dx and Tx of BPPV (benign paroxysmal positional vertigo)?
Dx: Dix-Hallpike maneuver
Tx: Epley Maneuver
What are the Adapted Centor Criteria for when to give antibiotics?
A score of 0-2 means unlikely step and antibiotics should not be given. Score of 3+ needed.
Give one point for: Tonsilar exudates, Fever, Absence of cough, Swollen lymph nodes
Add one point for pts age 3-14
No points for pts age 15-44
Minus one point for 45+
What is this called?

Cobblestoning
What is this called?

Tonsiloliths (tonsil stones)
What are the 3 causes of earaches?
Acute otitis media (AOM)
Otitis media w/ effusion
Otitis externa
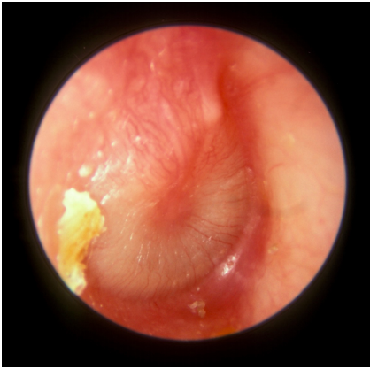
What is shown here?

Normal Tympanic membrane
What is shown here, often appears that the TM is?

Acute Otitis Media: TM appears to be bulging
What is shown here?

Otitis Media w/ Effusion
What is shown here?

Otosclerosis: abnormal bone growth around stapes
Associated w/ progressive hearing loss beginning as early as young 20s
What is shown here?

Otitis Externa - Swimmers ear
*Usually associated w/ pain upon touching the external ear structures
Examining adult ear vs. child?
Adult: Pull up, out and away
Child: Pull down, out and away
Frontal sinuses are located where, palpated how, and when do they open in child?
Where are maxillary sinuses located?
Lateral to the nose on both side, push up.