What structures make up the the renal corpuscle? What structures feed fluid in and out of the corpuscle?
Structures:
Glomerulus
Bowman’s Capsule (and space)
Blood:
Blood enters through afferent arterioles
Exits via efferent arterioles
These structure exist at the ‘vascular pole’ of the corpuscle
Urine:
Ultrafiltrate runs into the PCT at the urinary pole
What cells make up the parietal layer of Bowman’s capsule?
What is their function?
Simple squamous epithelium
Funnel ultrafiltrate into the PCT
Describe the structure of the filtration barrier in the renal corpuscle
Barrier made up of:
Fenestrated endothelium (simple squamous)
Basement membrane (shared)
Podocytes
Why is the renal filtration barrier a good filter?
Fenestrated epithelium and basement membrane allow small solutes, water and proteins to pass through and preventing RBCs from passing through
Podocytes have interdigitating pedicels that create filtration slits, allowing only water and small solutes to pass
What is this structure?
Label the boxes

Renal Corpuscle
Boxes from top centre clockwise:
Mesangial matrix
Parietal epithelium of Bowman’s capsule (simple squamous)
Parietal basement membrane
Bowman’s Space
Start of PCT
Urinary Pole
Filtration barrier (Visceral layer of bowmans capsule + endothelium)
Vascular Pole
DCT w/macula densa
Describe the microscopic appearance of the PCT
Simple cuboidal epithelium with pronounced brush border
What are the sections of the Loop of Henle and how do they differ?
4 Sections:
Pars recta
Thin descending limb
Thin ascending limb
Thick ascending limb
Difference:
appearance/epithelial lining
Ddscribe the microscopic appearance of the thin limb of the Loop of Henle
Simple squamous epithelium with no brush border
Describe the appearance of the thick limb of the Loop of Henle
Simple cuboidal epithelium with no brush border
Describe the microscopic appearance of the DCT
Simple cuboidal epithelium with no brush border
Larger lumen than PCT
Makes contact with its parent glomerulus
Numerous mitochondria
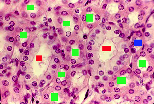
Identify this section of the kidney
What structures are represented by the blue, red and green boxes?

Cortex
Boxes:
Green - Peritubular capillaries
Blue - DCTs
Red - PCTs
Identify this section of the kidney
What types of structures are represented by the coloured boxes?

Medulla
Boxes:
Green - Thick ascending limb
Red - Collecting ducts
Blue - Thin descending/ascending limb
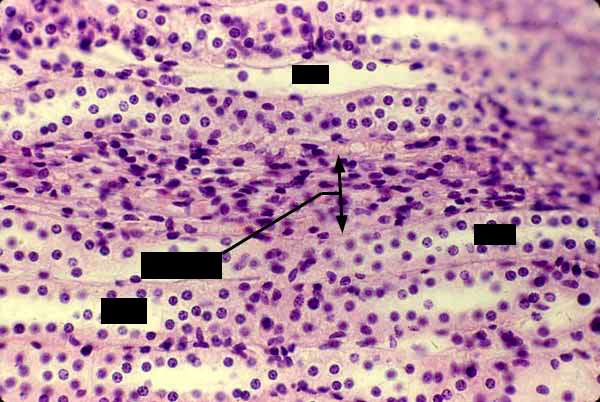
This is a section of the renal medulla
Label the lines

From left to right:
Thick ascending limb
Vasa recta
Thin limb (ascending or descending)
Thick ascending limb
Describe what is seen here

Bundles of Vasa recta interspersed between tubules in the renal medulla
What is the function of mesiangal cells?
Produce the mesiangal matrix found near the vascular pole of the glomerulus
Matrix offers mechanical support, but other fuctions unknown
What are the cell types of the juxtaglomerular apparatus and where are they found?
What are the functions of these cells?
Macula densa
Dark staining section of DCT adjacent to vascular pole of the glomerulus
May function as a sensor for Na+ and Cl- conc
Juxtaglomerular cells
Found in the wall of the afferent arterioles
Specialised smooth muscle cells with granules that produce and secrete renin
Lacis cells
Found just outside the glomerulus near the vascular pole and the macula densa
Function not known, associated with secretion of erythropoietin
What is the course of urine from the end of the DCT to the renal pelvis?
Drain into collecting ducts
Collecting ducts merge and terminate at the renal papillae to form Ducts of Bellini
Drain into the minor calycies which merge to form major calycies which in turn merge into the pelvis
Label the boxes
Black
Ducts of Bellini
Red
Minor Calyx
Blue
Collecting duct
What does this picture show?
Label the boxes

Ureter
Boxes, top left anticlockwise:
Transitional urothelium
Muscularis externae (Arranged longitudinal, circular, longitudinal with only the first two layers in the proximal ureter)
Adventitia
Lamina propria (connective tissue)
What is shown here?
Label the boxes

Section of Bladder wall
Boxes top then bottom:
Urothelium
Detrusor muscle (Smooth muscle arranged longitudinal, circular, longitudinal)