Urinary System Flashcards

(51 cards)

1
Q

Which of the following terms describes the typical sonographic appearance of the medullary pyramids in the neonate?

  1. Anechoic
  2. Hypoechoic
  3. Hyperechoic
  4. Isoechoic
A
  1. Anechoic
How well did you know this?
1
Not at all
2
3
4
5
Perfectly
2
Q

Which of the following conditions is associated with a decreased in blood urea nitrogen? BUN

  1. Dehydration
  2. Hydronephrosis
  3. Liver failure
  4. Renal Failure
A
  1. Liver failure
How well did you know this?
1
Not at all
2
3
4
5
Perfectly
3
Q

The renal arteries arise from which aspect of the abdominal aorta?

  1. Medial
  2. Lateral
  3. Anterior
  4. Inferior
A
  1. Lateral
How well did you know this?
1
Not at all
2
3
4
5
Perfectly
4
Q

Which of the following structures is considered the basic functional unit of the kidney

  1. Nephrons
  2. Glomerulus
  3. Loop of henle
  4. Collecting tubule
A
  1. Nephron
How well did you know this?
1
Not at all
2
3
4
5
Perfectly
5
Q

The quadratus lumborum is a muscle located in the

  1. Medial abdomen wall
  2. Lateral abdominal wall
  3. Anterior abdominal wall
  4. Posterior abdominal wall
A
  1. Posterior abdominal wall
How well did you know this?
1
Not at all
2
3
4
5
Perfectly
6
Q

Fusion of the entire medial aspect of both kidneys is a congenital anomaly termed

  1. Crossed fused ectopia
  2. Cake kidney
  3. Sigmoid kidney
  4. Junctional parenchymal defect
A
  1. Cake kidney
How well did you know this?
1
Not at all
2
3
4
5
Perfectly
7
Q

Which of the following conditions is most likely to mimic a duplicated urinary system?

  1. Junctional parenchymal defect
  2. Fetal lobulation
  3. Dromedary hump
  4. Hypertrophied columns of bertin
A
  1. Hypertrophied columns of bertin
How well did you know this?
1
Not at all
2
3
4
5
Perfectly
8
Q

Dialysis patients are at increased risk for developing:

  1. Nephrocalcinosis
  2. Renal carcinoma
  3. Nephrolithiasis
  4. Renal vein thrombosis
A
  1. Renal carcinoma
How well did you know this?
1
Not at all
2
3
4
5
Perfectly
9
Q

The most common renal neoplasm identified in patients over the age of 55 years is

  1. Simple cyst
  2. Renal calculus
  3. Angiomyolipoma
  4. Renal cell carcinoma
A
  1. Simple cyst
How well did you know this?
1
Not at all
2
3
4
5
Perfectly
10
Q

This sagittal image of the urinary bladder demonstrates a

  1. Ureterocele
  2. Bladder diverticulum
  3. Catheter balloon
  4. Small amount of residual urine
A

c. Catheter balloon

How well did you know this?
1
Not at all
2
3
4
5
Perfectly
11
Q

A staghorn calculus begins forming in the:

  1. Calyces
  2. Renal cortex
  3. Renal pelvis
  4. Medullary pyramid
A
  1. Renal pelvis
How well did you know this?
1
Not at all
2
3
4
5
Perfectly
12
Q

An Infant presents to the ultrasound department with a history of a single urinary tract infection. The sonogram of the kidney most likely demonstrates:

  1. Hydronephrosis
  2. Infantile polycystic disease
  3. Normal medullary pyramids
  4. Multicystic dysplastic kidney
A
  1. Normal medullary pyramids
How well did you know this?
1
Not at all
2
3
4
5
Perfectly
13
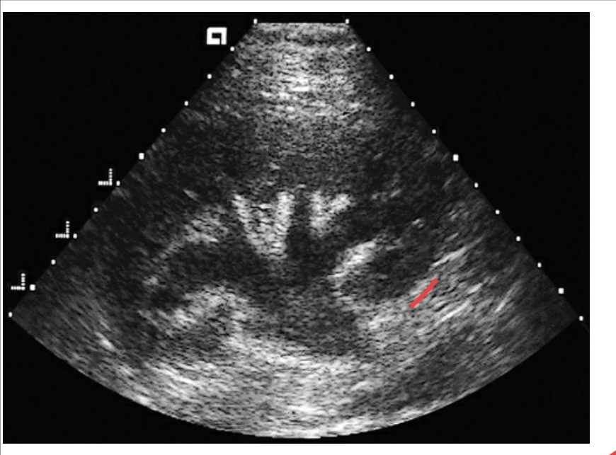
Q

Which of the following conditions is most likely demonstrated in this sonogram of the kidney?

  1. Pelviectasis
  2. Pyelonephritis
  3. Nephrolithiasis
  4. Hydronephrosis
A
  1. Hydronephrosis
How well did you know this?
1
Not at all
2
3
4
5
Perfectly
14
Q

The most common etiology for this pathology is

  1. Bladder infection
  2. Kidney infection
  3. Urinary stasis
  4. Urinary tract obstruction
A

d. Urinary tract obstruction

How well did you know this?
1
Not at all
2
3
4
5
Perfectly
15
Q

The pathology identified in this sonogram is most suspicious for a

  1. Ureterocele
  2. Malignant tumor
  3. Dilated urethra
  4. Bladder diverticulum
A
  1. Bladder diverticulum
How well did you know this?
1
Not at all
2
3
4
5
Perfectly
16
Q

Which of the following renal structures is composed of blood vessels or nerve fibers?

  1. Glomerulus
  2. Loop of Henle
  3. Renal Pyramid
  4. Renal tubule
A
  1. Glomerulus
How well did you know this?
1
Not at all
2
3
4
5
Perfectly
17
Q

A patient complaining of sharp, severe flank pain radiating to the groin is describing

  1. Renal colic
  2. Dysuira
  3. Mittelschmerz
  4. Dyspareunia
A
  1. Renal colic
How well did you know this?
1
Not at all
2
3
4
5
Perfectly
18
Q

Which of the following structures are contained in the renal sinus

  1. Renal artery, renal vein, ureter
  2. Lymphatics, perinephric fat, minor calyces
  3. Major Calyces, renal pelvis, ureter
  4. Lymphatics, peripelvic fat, major calyces
A

d. Lymphatics, Peripelvic fat, major calyces

How well did you know this?
1
Not at all
2
3
4
5
Perfectly
19
Q

Which of the following muscles is located lateral to each kidney?

  1. Psoas
  2. Quadratus Lumborum
  3. Internal oblique
  4. Transversus abdominis
A

Transversus abdominis

How well did you know this?
1
Not at all
2
3
4
5
Perfectly
20
Q

A triangular shaped hyperechoic focus located in the anterior renal cortex in an asymptomatic patient most likely represents

  1. Adenoma
  2. Ischemic necrosis
  3. Renal calculus
  4. A junctional parenchymal defect
A
  1. Junctional parenchymal defect
How well did you know this?
1
Not at all
2
3
4
5
Perfectly
21
Q

Normal post void residual urine volume in an adult patient should not exceed

  1. 5ml
  2. 20 ml
  3. 50 ml
  4. 100 ml
22
Q

A 43 YO female patient presents to the ultrasound department complain of right flank pain and dysuria. A generalized swelling of the kidney is demonstrated. The medullary pyramids appear well defined. This is suspicious for:

  1. Pyelnephritis
  2. Metastatic disease
  3. Hydronephrosis
  4. Acute tubular necrosis
A
  1. Pyelnephritis
23
Q

Which of the following patient positions is typically used for renal biopsy procedures?

  1. Supine
  2. Prone
  3. Trendelenburg
  4. Reverse trendelenburg
24
Q

Small echogenic protuberances identified on the posterior wall of the urinary bladder most likely represents

  1. Arcuate vessels
  2. Ureteric orifices
  3. Hydroureters
  4. Bladder diverticulums
A
  1. Ureteric orifices
25
Patients with adult polycystic renal disease have an increased incidence of developing 1. Nephrocalcinosis 2. Renal calculi 3. Renal carcinoma 4. Adrenal adenoma
Renal calculi
26
Which of the following anatomic variants is most likely identified in this sonogram 1. Renal duplication 2. Crossed fused ectopia 3. Junctional parenchymal defect 4. Hypertrophied column of bertin
4. Hypertrophied column of bertin
27
The arrow in this sonogram most likely identifies: 1. Perinephric fat 2. A renal abscess 3. Pyelnephritis 4. Thrombosis in the IVC
1, Perinephric fat
28
A mass is identified in the mid portion of the right kidney that demonstrates internal blood flow. The mass identified in the sonogram is most suspicious for 1. Hematoma 2. Dromedary hump 3. Renal cell carcinoma 4. Hemorrhagic cyst
3. RCC
29
This image of the female pelvis is demonstrating a 1. Bladder diverticulum 2. Ureterocele 3. Cather balloon 4. Dilated distal ureter
Ureterocele
30
The anechoic area demonstrated in the sonogram is most consistent with 1. Extrarenal pelvis 2. Pelviectasis 3. Parapelvic cyst 4. Hydroureter
3. Parapelvic cyst
31
Mesoblastic neprhomas are most likely to occur in patients under 1. 1 Year of age 2. 5 years of age 3. 10 years of age 4. 18 years of age
1. 1 year of age
32
a benign tumor composed of fat, blood vessels, and muscle describes 1. Adenoma 2. Lipoma 3. Fibroma 4. Angiomyolipma
4. AML
33
Fibromuscular hyperplasia is most commonly associated with stenosis in which of the following renal arteries 1. Main renal artery 2. Arcuate artery 3. Interlobar artery 4. Segmental artery
1. Main renal artery
34
Renal artery stenosis is suggested after the peak systolic velocity exceeds: 1. 90 cm/s 2. 135 cm/s 3. 180 cm/s 4. 230 cm/s
c. 180 cm/s
35
Which of the following conditions is most likely associated with painless hematuria? 1. Hydronephrosis 2. Pyelonephritis 3. AML 4. RCC
4. RCC
36
Which of the following conditions is frequently associated with urinary stasis 1. Parapelvic cyst 2. Nephrolithiasis 3. Renal carcinoma 4. Chronic renal failure
2. Nephrolithiasis
37
Fusion of the superior pole of one kidney to the inferior pole of the contralateral kidney is most consistent with which of the following congenital anomalies 1. Cake kidney 2. Crossed fused ectopia 3. Sigmoid kidney 4. Duplicated kidney
3. Sigmoid kidney
38
The normal adult renal cortex should measure a minimum of 1. 0.5 cm 2. 1.0 cm 3. 1.5 cm 4. 2.0 cm
2. 1.0 cm
39
The complete inability of the kidneys to excrete waste, concentrate urine, and converse electrolytes is termed renal: 1. Colic 2. Failure 3. Obstruction 4. Insufficiency
2. Failure
40
This sonogram is most likely identifying which of the following conditions 1. AML 2. Nephrocalcinosis 3. Glomerulonephritis 4. Metastatic lesions
2. Nephrocalcinosis
41
Which of the following congenital anomalies is most likely demonstrated in this sonogram? 1. Lump kidney 2. Cake kidney 3. Renal duplication 4. Sigmoid kidney
4. Sigmoid kidney
42
A patient presents with a history of intermittent umbilical discharge. Based on the clinical history, the sonogram is most likely demonstrating which of the following conditions? 1. Rectus abdominis hematoma 2. Umbilical abscess 3. Meckel's diverticulum 4. Patent urachal sinus
4. Patent urachal sinus
43
What is a Meckal diverticulum?
Anomalous sac protruding from the ileum
44
A patient hospitalized with malaria presents with a history of proteinuria. Based on this clinical history, the sonogram is most suspicious for which of the following conditions? 1. Pyelnephritis 2. Acute tunular necrosis 3. Glomerulonephritis 4. Renal sinus lipomatosis
Glomerulonephritis
45
A 40 YO patient presents with a history of elevated creatinine levels. Based on the clinical and sonographic findings, the masses are most suspicious for 1. Nephroblastoma 2. Renal sinus lipomatosis 3. Polycystic kidney disease 4. A medullary sponge kidney
1. Polycystic kidney disease
46
An incidental mass was discovered in the urinary bladder. Blood flow was demonstrated within the mass using color doppler imaging. This incidental finding is most suspicious for a bladder 1. Diverticulum 2. Adenoma 3. Carcinoma 4. Sludge ball
Carcinoma
47
When encountering this type of pathology, which of the following questions is most important for the sonographer to ask the patient? 1. Do you have high blood pressure 2. How often do you urinate in a day 3. Have you noticed any blood in your urine 4. How much water do you drink in a day.
3. Have you noticed any blood in your urine
48
This image of the urinary bladder is most likely demonstrating which of the following? 1. Uretocele 2. Ureteral jet 3. Flash artifact 4. External iliac artery
2. Ureteral jet
49
This sonogram is most likely demonstrating 1. Pyelonephritis 2. Fetal lobulation 3. Renal Carcinoma 4. Hypertrophied column of bertin
2. Fetal Lobulation
50
Duplex imaging of the lower pole of the left kidney most likely demonstrates which of the following? 1. Renal veins 2. Renal arteries 3. Bertin vessels 4. Arcuate vessels
4. Arcuate vessels
51
Which of the following pathologies is most likely demonstrated in this sonogram? 1. Nephrocalcinosis 2. Hydronephrosis 3. Staghorn calculus 4. Medullary sponge kidney
3. Staghorn calculus