Urinary tract imaging Flashcards

(32 cards)

1
Q

Put the uroliths struvite, cystine, ammonium urate and calcium oxalate in order from least to most radiodense

A
How well did you know this?
1
Not at all
2
3
4
5
Perfectly
2
Q

Identify the kidneys and bladder

A
How well did you know this?
1
Not at all
2
3
4
5
Perfectly
3
Q

Label the kidneys and bladder

A
How well did you know this?
1
Not at all
2
3
4
5
Perfectly
4
Q

What are the options of retrograde cystograms in contrast radiography of the lower urinary tract?

A

Pneumocystogram
Positive contrast cystogram
Double contrast cystogram

How well did you know this?
1
Not at all
2
3
4
5
Perfectly
5
Q

What is the contrast used in a pneumocystogram and what are the possible uses?

A

Contrast = air
Use = assess bladder wall thickness

How well did you know this?
1
Not at all
2
3
4
5
Perfectly
6
Q

What is the contrast used in a Posivite contrast cystogram and what are the possible uses?

A

Contrast = dilute iodine
Used = bladder rupture

How well did you know this?
1
Not at all
2
3
4
5
Perfectly
7
Q

What is the contrast used in a double contrast cystogram and what are the possible uses?

A

Contrast = air and dilute iodine
uses = improved detail of bladder wall, filling defects

How well did you know this?
1
Not at all
2
3
4
5
Perfectly
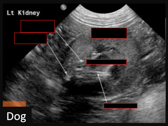
8
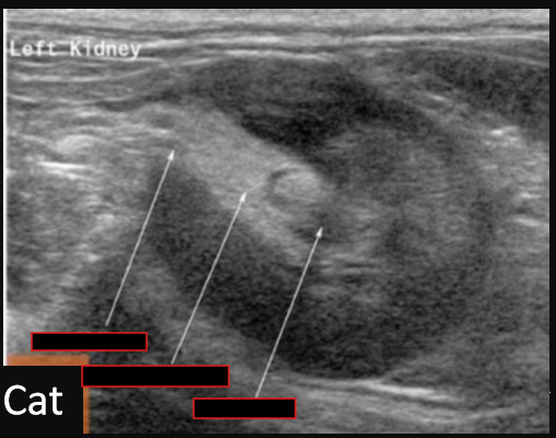
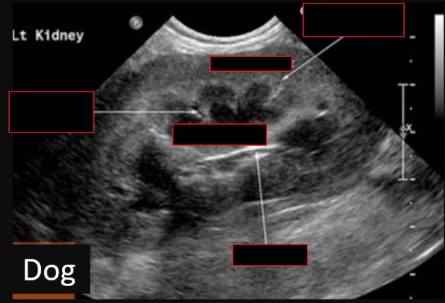
Q

Label this frontal/dorsal kidney ultrasound

A
How well did you know this?
1
Not at all
2
3
4
5
Perfectly
9
Q

Label this frontal/dorsal view kidney ultrasound

A
How well did you know this?
1
Not at all
2
3
4
5
Perfectly
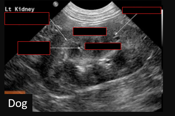
10
Q

Label this sagittal view kidney ultrasound

A
How well did you know this?
1
Not at all
2
3
4
5
Perfectly
11
Q

Label this transverse view kidney ultrasound

A
How well did you know this?
1
Not at all
2
3
4
5
Perfectly
12
Q

Label this transverse view kidney ultrasound

A
How well did you know this?
1
Not at all
2
3
4
5
Perfectly
13
Q

What view is this kidney ultrasound?

A

Transverse

How well did you know this?
1
Not at all
2
3
4
5
Perfectly
14
Q

What view is this kidney ultrasound?

A

Transverse

How well did you know this?
1
Not at all
2
3
4
5
Perfectly
15
Q

what view is this kidney ultrasound?

A

Sagittal

How well did you know this?
1
Not at all
2
3
4
5
Perfectly
16
Q

What view is this kidney ultraosound?

A

Frontal/dorsal

17
Q

What view is this kidney ultrasound?

A

Frontal/dorsal view

18
Q

Label the layers of the bladder walls

19
Q

Label this bladder

20
Q

Label this radiograph of a bitch

22
Q

Label this radiograph of a bitch in metoestrus
What is abdnormal?

A

Uterus contains fluid = pyometra

23
Q

Describe detection of pregnancy using mineralisation using radiography

A

Mineralisation of foetal skeleton in dogs and cats begins at ~28 days but is not detectable radiographically until day 42-45

24
Q

What conditions can cause an enlarged prostate?

A

Benign prostatic hypertrophy
Prostatitis
Neoplasia
Abcesses
Paraprostatic cysts

25
Label this male dog radiograph
26
What conditions can cause urethral obstruction?
Urolithiasis Urethral spasm Urethral plugs Urethral inflammation Neoplasia
27
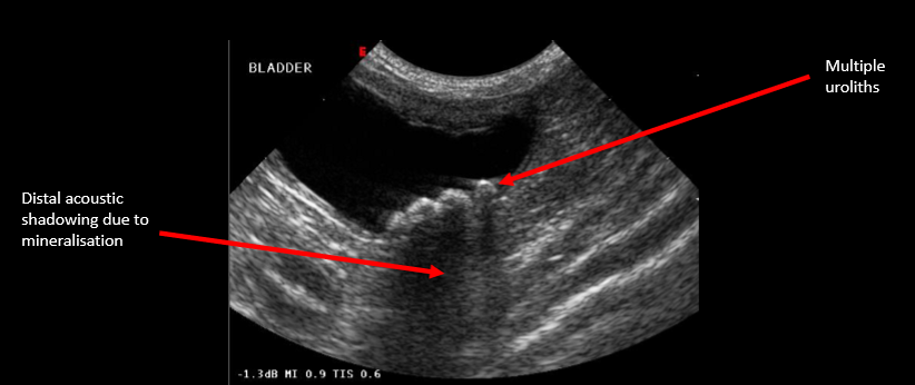
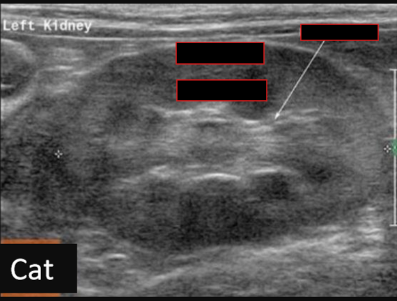
Label this ultrasound
28
Label this ultrasound
29
Identify the kidneys What pathology is present?
30
Identify this structure What pathology is present?
31
Label this structure What pathology is present?
32