Tumeurs associés au VHL
Grade d’ISUP pour les tumeurs rénales
Grade 1: nucléole peu visible ou absent à 40X et petits noyaux
Grade 2: nucléole visible à 40X, mais pas à 10x
Grade 3: nucléole à 10 X
Grade 4: cellules bizarres, sarcomatoides, rhabdoides
Syndromes associés aux tumeurs rénales papillaires
Caractéristiques histologiques du syndrome de léiomyomatose et carcinome à cellules rénales héréditaire
Nucléole éosinophile + halo périnucléolaire

Syndrome de Birt Hogg Dubé: tumeurs rénales associées
Tumeurs hybrides oncocytaires
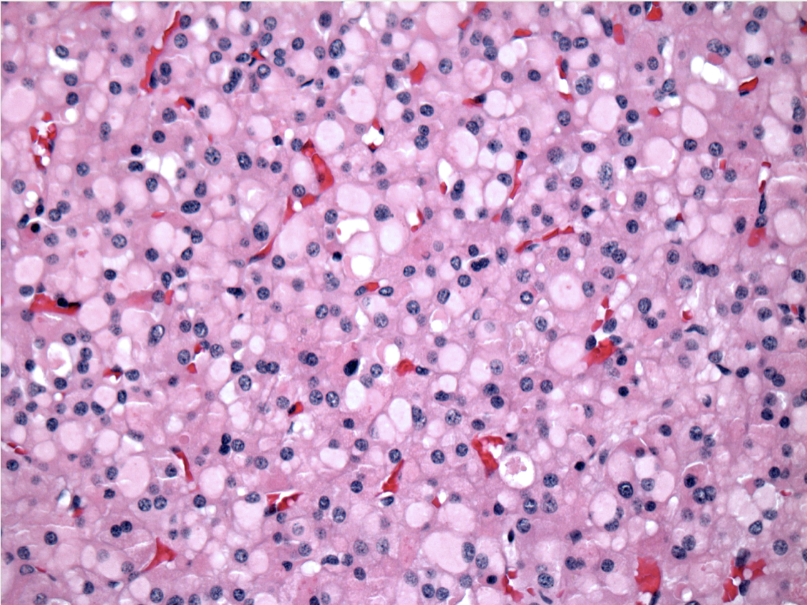
Chromophobe
Oncocytome
Carcinome rénal à cellules claires
RCC papillaire
Taille des adénomes papillaires
< 1.5 cm
Sclérose tubéreuse
Gènes
Sclérose tubéreuse
Tumeurs associées
Ddx tumeurs oncocytaires

4 patrons de T3 pour le rein
Veine rénale
Sinus rénal
Tissus adipeux péri-rénaux
Système pyélocaliciel
Meilleur marqueur IHC pan rénal
PAX8
Dans quelle tumeur il y a un marquage cup-like pour le CaIX?
Carcinome rénal papillaire à cellules claires
Cup-like membranous staining with CAIX, with sparing of the apical cell membrane is typical of clear cell papillary RCC (a recent diagnostic category), which has a much better prognosis than ccRCC (so important to distinguish).
Profil IHC du chromophobe
CK7 +
CD117 +
Hale +
Vimentine -
Profil oncocytome
CK7 -
CD117 +
Hale -
Vimentine -
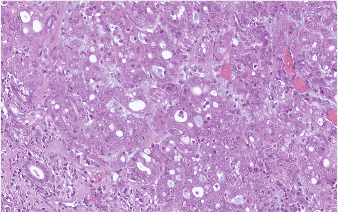
nommer la classification des tumeurs rénales
Tumeurs de haut grade qui forment des glandes
Nommer les deux
IHC
Canaux collecteurs : SMARCB1 +, OCT3/4 -
Médullaire : SMARCB1 -, OCT3/4 +

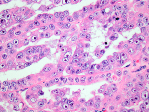
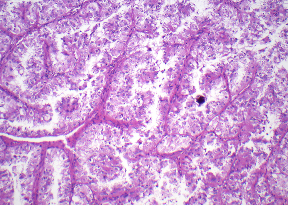
Tumeur rénale: dx

Carcinome médullaire
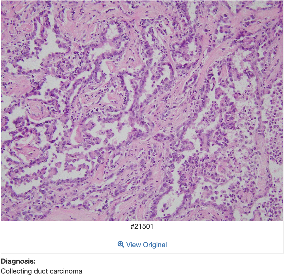
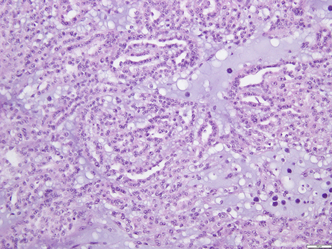
Tumeur rénale dx

Canaux collecteurs
Tiré de : Holger M. et al. WHO Classification of Tumours of the Urinary System and Male Genital Organs. 4e édition. International Agency for Research on Cancer, 2016
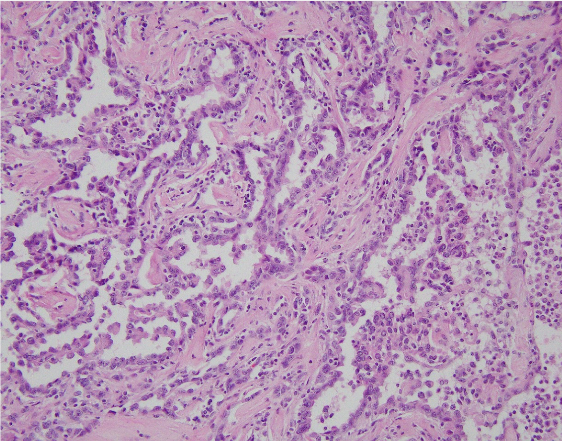
Tumeur rénale dx

Carcinome à cellules rénales avec translocation de la famille MiT
Tumeur rénale dx

Carcinome rénal associé à la déficience en déshydrogénase succinique B
Tumeur rénale dx

Carcinome tubulaire mucineux avec cellules fusiformes
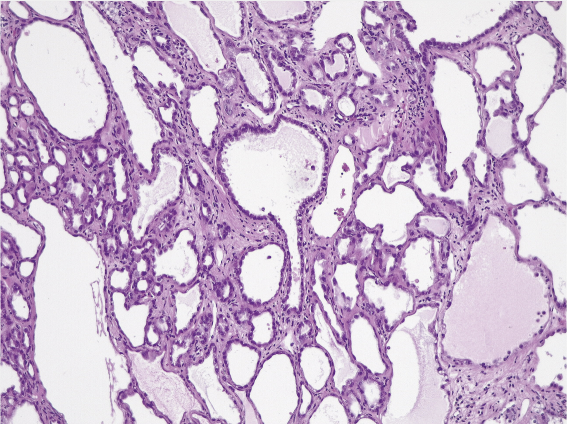
Tumeur rénale dx

Carcinome à cellules rénales tubulokystique
Microscopie :
Tubules et kystes recouverts d’une couche de cellules aplaties, cuboïdes/cylindriques et/ou « hobnail »
Gros noyaux irréguliers avec nucléoles grade OMS/ISUP 3
Profil IHC des tumeurs

Éléments du protocole du CAP pour les tumeurs rénales