
IVP
2.

Ultrasound options? 3
Renal ultrasound indications? 6
Renal
Scrotal Ultrasound indications?
5
Scrotal
Prostate Ultrasound: Trans-Rectal Ultrasound (TRUS)
Used for what?
5
VOIDING CYSTOURETHROGRAM (VCUG)
RETROGRADE URETHROGRAM (RUG)
3.
What is the gold standard to detect stones?
CT scan
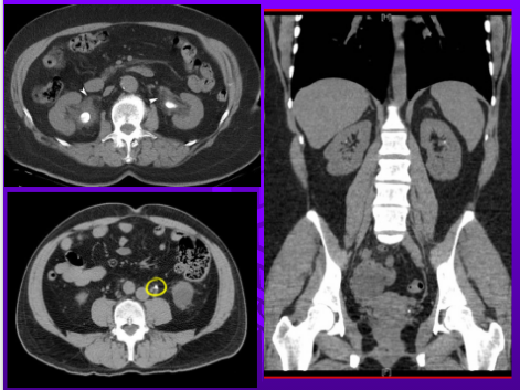
Renal Stone CT Scan
Drawbacks of Renal Stone CT scan? 2
Drawbacks

IVP
IVP
CT SCAN IVP
Drawbacks? 4
RADIONUCLIDE IMAGING: Renal Scan
1.
2.
Radionuclide Imaging: Renal Scan
Renal Scan
MRI: Prostate?
Prostate