What are the three main types of benign renal tumours?
Renal cyst; oncocytoma; angiomyolipoma
What constitutes the majority of asymptomatic benign kidney lesions?
Kidney cysts
How are kidney cysts diagnosed?
Often incidental on USS, CT
What does an angiomyolipoma consist of?
Blood vessels, fat, muscle
What is Wunderlichs syndrome?
Spontaneous renal haemorrhage sometimes caused by angiomyolipoma
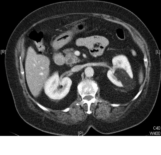
What does the CT image show? How is this treated?

Angiomyolipoma. Embolization
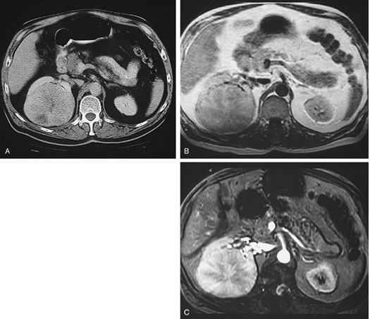
What features of this CT allow the diagnosis of oncocytoma to be made?

Large rounded mass within the kidney with central scar
What is the classical triad of renal cell carcinoma? Why is this of limited clinical value?
Haematuria, loin pain, renal mass. Only 15% have the triad
How might renal cell carcinoma present?
Triad of symptoms
Incidental finding
Systemic features
Where does RCC arise from?
PCT epithelium
What should be suspected in multifocal or bilateral RCC?
Von-Hippel Lindau
How is RCC diagnosed?
Triple-phase contrast CT
USS
Biopsy- high false negative rate
Describe the staging system used in RCC.
Robson staging:
I- confined to kidney
II-contained within Garota’s fascia
III- spread to renal vein
IV- metastases
How is RCC managed?
Radical/partial nephrectomy
What adjuvant therapies can be used in RCC?
Interferon alpha, IIL-2, sunitinib (anti-angiogenesis agents)
What does the image show? How is it treated?

Balanitis xerotica obliterans- precancerous cutaneous lesion. Circumcision, dilatation of meatal stenosis
What are the two types of penile SCC in-situ?
Erythroplasia of Queryat
Bowen’s disease
How does SCC of the penis often present?
Delayed presentation
Foul-smelling, red, raised area chronic fungating ulcer
How is penile cancer staged?
TNM
How is carcinoma of penis treated?
Surgery (penectomy); lymph node biopsy; radio
How does testicular cancer present?
Painless swelling on testicle
10% due to mets- e.g. neck swelling, SOB