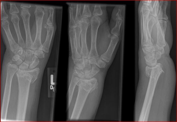
Most likely mechanism of injury?
People with this injury frequently have additional injuries including?
Fall on outstretched hand
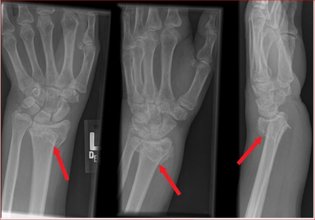
Shows distal radius fracture with shortening and dorsal displacment.
This injury is known as Colles’ fracture.
Ulnar styloid fracture, scaphoid fracture and acute carpal tunnel syndrome
Management of Distal Colles fracture
Most can be managed with conservative measures such as sugar tong splinting, with or without closed reduction.
More severe injuries, especially those with significant displacement or angulation >15-20 degrees may require urgent orthopedic consultation for possible surgical intervention
Fractures in teh 4th and 5th metacarpals are frequently caused by?
punching with a closed fist (boxer fracture)
Twisting or torsional injury of the hand may cause?
metacarpal fracture or a spiral fracture of the radius.
A fall with wrist in flexion may lead to?
Hyperflexion in addition to a ventrally displaced radius fracture (Smiths Fracture).
These fractures have a higher risk of complications and usually require orthopedic consultation.

For data that is normally distributed, what is the best choice for central tendancy?
How does that differ from data that is highly skewed?
Normal distribution: mean
Highly skewed: median
In a strongly skewed distribution, the mean is a better measure of central tendancy than the mean.
UTI antibiotic prophylaxis can be considered in young female patients who?
had at least two UTI in six months or 3 in one year.
First line imaging for ovarian torsion?
pelvic ultrasound with color doppler, which typically shows an enlarged, edematous ovary with impaired ovarian blood flow.
Stool microsocpy for Giardiasis will reveal?
Symptoms of acute infection include?
multiple cysts and several flagellated trophozoites with 2 nuclei
Bulky, greasy stools, bloating/flatus, weight loss.

Treatment of Giardiasis
What else is recommended?
Metronidazole
Hand hygenien is important to the spread of giardiasis - soap and water based agents are preferred (as giardia cysts are resistant to many alcohol-based hand sanitizers and disinfectants).
Affected individals with low risk do not require isolation.
Symptomatic individuals should be treated and refrain from attending recreational water venues to minimize disease transmission.
Giardia transmission
fecal-oral rout or ingestion of contaminated food or water.
Exposure to untreated water during camping or hiking is a common source of infection.
Treatment of recurrent Clostridium difficile infection
The management of a first relapse of Clostridum difficile infection is the same as as the inital episode.
Recurrent infection should be confirmed with stool studies.
Oral metronidazole is recommended for nonsevere and oral vancomycin is recommended for severe.
What is the likelihood ratio?
Postive LR
Negative LR
Both can be calculated from?
the probability of a patient with the disease having a particular finding (ex: positive or negative test) divided by the probablity of a patient without the disease having the same finding.
Positive LR =sensitivity (1-specificity)
Negative LR = (1- sensivity)/specificity.
Positive and negative LR can be calculated from sensitivtity and specificty values or a contigency table.
Likelihood <1 indicates?
LR=1
LR>1
LR<1 indicates decreased likelhood that the disease is present
LR = 1 indicates no change in the likelihood of disease
LR >1 indicates increased likelihood that the disease is present.
Type 1 versus Type 2 Error
The failure to detect a difference between groups as it exists is referred to as type II error.

The probablity of type II errors is related to?
Power of a study is increased with?
Power of the study.
larger sample sizes, so a smaller smaller study would be less effective in detecting differences between groups, increasing the chance of a type II error.
Gifts and approach
Gifts of small value that are expressions of gratutide are acceptable.
Acute interstitial nephritis is characterized by?
It is frequently caused by?
inflammatory infiltrate within the glomerulus, causing WBC casts, pyuria, mild hematuria and proteinuria.
medications including NSAIDs, PPI, Pencillins and diuretics.
Post infectious IgA nephropahty versus Acute interstital nephritis?
Post-infectious IgA nephropathy commonly closely follows an upper respiratory infection (within 3 days); however urinalysis demostrates hematuria and often proteinuria
*pyuria, WBC casts and trace protein in AIN.
Post-strep glomerulonephritis versus AIN
Post strep glomerulonephritis typically ocurs following Group A streptococcal infection.
Nephritis syndrome with hematuria, erythrocyte casts and proteinuria occurs weeks after infection.
*WBC casts is AIN
Herbal medications and what they are commonly used for:
Saw palmetoo
Kava Kava
St. John’s wort
Ginkgo biloba
Ginseng
Saw palmetoo - BPH
Kava Kava - Anxiety & insomonia
St. John’s wort - Depression
Ginkgo biloba - Memory enhancement
Ginseng - Improved mental performance
Side Effects
Saw palmetoo
Ginkgo biloba
Ginseng
Kava Kava
St. John’s wort
Saw palmetoo - increased bleeding risk
Ginkgo biloba- increased bleeding risk
Ginseng- increased bleeding risk
Kava Kava - severe liver damage
St. John’s wort - Hypertensive crisis, drug interactions: Antidepressants (serotinin syndrome), OC, Digoxin, Anticoagulants (decreased INR).
Treatment of acute asthma exacerbation in pregnant women versus nonpregnant patients.
Treatment is similar to that in nonpregnant patients.
An inhaled or nebulized short-acting beta agonist (albuterol is preferred during pregnany) is given initally, usually in combination with inhaled ipratorpium.
If patients with persistent symptoms, the next step is the administration of systemic corticosteriods (ex: oral prednisone) wihout delay.
The risks of systemic corticosteriods (ex: premature birth) are outweighed by the benefits of effective asthma exacerbation management.
*inhaled corticosteriods (ex: fluticasone) are generally safe during pregnancy, but not appropriate for acute exacerbation. Following acute treatment, patient should be advised to resume fluticasone to prevent recurrent future exacerbation.
ABG and pregnancy (chronic versus acute asthma exacerbation)
What suggest impending respiratory fialure and indication for intubation during asthma exacerbation in pregnant and non pregnant?
Pregnancy increases respiratory drive and leads to chronic respiratory alkalosis (PaCO2 of 27-32).
Acute asthma exacerbation causes acute respiratory alkalosis.
Respiratory acidosis PaCO2 >35 in pregnant or >40 in nonpregnant)