Variadas. Flashcards

(110 cards)

1
Q

Q. Artefacto que se produce por la diferencia existente entre la frecuencia de precesión del átomo de H ligado a la grasa y el ligado al agua.

A

Artefacto de desplazamiento químico

How well did you know this?
1
Not at all
2
3
4
5
Perfectly
2
Q

Q. ¿Qué es el movimiento Browniano?

A

Es la propiedad que tienen las moléculas para moverse al azar en función de su energía térmica

How well did you know this?
1
Not at all
2
3
4
5
Perfectly
3
Q

Q. En difusión, ¿qué es el valor de “b”?

A

Es el periodo de tiempo que tarda una partícula en fluir a través de una superficie.

How well did you know this?
1
Not at all
2
3
4
5
Perfectly
4
Q

Q. La secuencia DWI o difusión siempre debe ir acompañada de la siguiente secuencia con la cual se debe comparar:

A

Mapa ADC

How well did you know this?
1
Not at all
2
3
4
5
Perfectly
5
Q

Q. Respecto al CARTIGRAM o mapa T2, seleccione la respuesta correcta:

A

Son mapas de colores que representan las sutiles alteraciones en el tiempo de relajación de T2 a consecuencia de cambios en la estructura microscópica del cartílago.
No requiere contraste.
El cartílago normalmente tiene un T2 corto.

How well did you know this?
1
Not at all
2
3
4
5
Perfectly
6
Q

Q. De qué signo se trata y diagnóstico probable.

A

Signo del tallo de apio secundario a degeneración mucosa.

How well did you know this?
1
Not at all
2
3
4
5
Perfectly
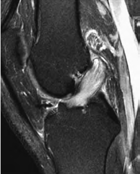
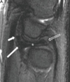
7
Q

Q.Qué estructura se encuentra comprometida y qué grado lesión asignarías.

A

LCA, grado II.

How well did you know this?
1
Not at all
2
3
4
5
Perfectly
8
Q

Q. Qué estructura se encuentra comprometida y qué grado de lesión asignarías

A

LCA y LCP, grado II.

How well did you know this?
1
Not at all
2
3
4
5
Perfectly
9
Q

Q. De acuerdo con la imagen, qué signo radiológico identificas y en qué consiste.

A

Signo del ligamento colateral coronal. Consiste en la pérdida de la disposición oblicua del ligamento, observándolo completo en el un plano coronal, se observa en casos de inestabilidad estática de la rodilla comúnmente secundario a rotura del LCA.

How well did you know this?
1
Not at all
2
3
4
5
Perfectly
10
Q

Q. ¿Clasificación que evalúa por resonancia magnética el daño al cartílago?

A

De Outerbridge modificada.
De la Sociedad internacional de reparación del cartílago.

How well did you know this?
1
Not at all
2
3
4
5
Perfectly
11
Q

Q .¿Termino que se utiliza para describir una lesión del cartílago con extensión al hueso subcondral?

A

Lesión osteocondral.

How well did you know this?
1
Not at all
2
3
4
5
Perfectly
12
Q

Q. Una lesión osteocondral que compromete más del 50% del espesor total del cartílago corresponde a:

A

Grado III (Outerbridge Modificada)

How well did you know this?
1
Not at all
2
3
4
5
Perfectly
13
Q

Q. A que grado de la clasificación de Outerbridge modificada corresponde la siguiente lesión:

A

Grado III (Outerbridge Modificada)

How well did you know this?
1
Not at all
2
3
4
5
Perfectly
14
Q

Q. Una lesión osteocondral que compromete el espesor total del cartílago con extensión al hueso subcondral corresponde a un:

A

Grado IV (Outerbridge Modificada)

How well did you know this?
1
Not at all
2
3
4
5
Perfectly
15
Q

Q. Cómo se dividen las ROTURAS PARCIALES según la porción del tendón que este comprometida:

A

Articulares, bursales e intersticiales.

How well did you know this?
1
Not at all
2
3
4
5
Perfectly
16
Q
A

Rotruas parciales. Según la porción del tendón que este comprometida: 3 tipos

How well did you know this?
1
Not at all
2
3
4
5
Perfectly
17
Q

Q. Elige la respuesta correcta respecto a la siguiente imagen:

A

Rotura parcial del tendón supraespinoso en su cara bursal mayor del 50 %

How well did you know this?
1
Not at all
2
3
4
5
Perfectly
18
Q

Q. Como de divide la retracción medial de las roturas completas según la clasificación de Patte:

A
  • GRADO I: ESCASA RETRACCIÓN
  • GRADO II: FIBRAS SOBRE EL VÉRTICE DE LA CEFALICA.
  • GRADO III: SOBRE EL REBORDE GLENOIDEO SUPERIOR O MEDIAL A ESTE
How well did you know this?
1
Not at all
2
3
4
5
Perfectly
19
Q
A

Como de divide La retracción medial de las roturas completas según la clasificación de Patte:

How well did you know this?
1
Not at all
2
3
4
5
Perfectly
20
Q

Q. Cuál es el hallazgo principal en la siguiente imagen:

A

Engrosamiento del tendón supraespinoso en relación con tendinosis o tendinopatía(proceso degenerativo)

How well did you know this?
1
Not at all
2
3
4
5
Perfectly
21
Q

Q. En la siguiente imagen de resonancia magnética en corte axial, ¿Cuál es el hallazgo principal y a que patología corresponde?

A

Engrosamiento hiperintenso que rodea el tendón del bíceps en su porción vertical, en relación con Tenosinovitis

How well did you know this?
1
Not at all
2
3
4
5
Perfectly
22
Q

En la luxación de la porción larga del tendón bíceps, señale a que patologías se pueden asociar:

A

Desgarro del tendón subescapular y supraespinoso.
Desgarro de la polea del bíceps

How well did you know this?
1
Not at all
2
3
4
5
Perfectly
23
Q

Q. ¿Cuál de las siguientes estructuras no conforman la polea del bíceps?

A

Ligamento Glenohumeral inferior

How well did you know this?
1
Not at all
2
3
4
5
Perfectly
24
Q

Q. ¿Que estructuras conforman la polea del bíceps?

A

Ligamento Glenohumeral superior
Ligamento coracohumeral en su banda media
Tendón subescapular.

How well did you know this?
1
Not at all
2
3
4
5
Perfectly
25
Q. En la siguiente imagen de resonancia magnética, menciones los hallazgos, ¿A qué grado de la clasificación de Habermeyer se refiere?
Desgarro del ligamento glenohumeral superior, sin afectación del tendón supraespinoso ni subescapular, Grado 1
26
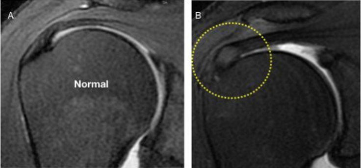
Q. El signo del triángulo subcoracoideo, ¿A que se refiere, y cuál es la patología asociada?
Reemplazo de la grasa por tejido blando / fibrosis en el triángulo entre el ligamento coracohumeral, apófisis coracoides y capsula articular, en relación con Capsulitis adhesiva
27
(a)Normal subcoracoid fat triangle in control subject; (B) Partial obliteration of subcoracoid fat triangle.
28
Q. QUE ES LO QUE EVALUAMOS EN ES UNA RESONANCIA DE TOBILLO
R: EDEMA, DERRAME Y CAPSULA ARTICULAR, SINDESMOSIS Y LIGAMENTOS, TENDONES.
29
Q. ¿Cuál de los siguientes tendones NO posee vaina tendinosa en el tobillo?
Tendón de Aquiles
30
Q. ¿Cuál es el tipo más común de tendinosis en el tendón de Aquiles?
Tendinosis no insercional
31
Q. Las lesiones tendinosas traumáticas representan aproximadamente el __% de las lesiones agudas de tobillo.
3%
32
Q. ¿Cuál es una característica clave de la tendinitis en imágenes de resonancia magnética?
Engrosamiento del tendón con isointensidad en T1 y trazos hiperintensos en T2
33
Q. ¿Cuál de las siguientes lesiones es más frecuente en el tendón tibial posterior?
Desgarro longitudinal (splitting)
34
Q. Mencione las 3 articulaciones del codo
Radiohumeral, cubitohumeral y radiocubital proximal.
35
Q. Es el flexor más potente del codo, se inserta en la tuberosidad cubital.
Braquial
36
Q. Es el supinador mas potente del antebrazo y actúa como flexión del codo, se inserta en la tuberosidad del radio.
Bíceps braquial
37
Q. Es el estabilizador estático mas importante del codo contra valgo y rotación interna
Complejo ligamento colateral medial
38
Q. Que estructura se articula con fosa humeral al flexionar el codo
Proceso coronoides
39
Q. ¿PRINCIPALES HALLAZGOS DE ESTAS IMÁGENES Y A QUE GRADO INESTABILIDAD ROTATORIA POSTEROLATERAL (PLRI) CORRESPONDE ?
Inestabilidad rotatoria posterolateral, grado 1. Resonancia magnética ponderada por PD del FS coronal que muestra una avulsión de la colateral del ligamento cubital lateral proximal y retracción del fragmento óseo (flechas blancas). El edema de la médula ósea se observa en el capitelo (puntas de flecha blancas) y la cabeza radial (asteriscos blancos).
40
Q. ¿ CUAL SERIA SU DIAGNOSTICO CON ESTA IMAGEN Y CUAL ES EL HALLAZGO PRINCIPAL EN ESTA IMAGEN?
Diagnostico es una Epicondilitis lateral. La imagen de RM GRE coronal a nivel del epicóndilo lateral muestra un espacio lleno de líquido (flecha) en el sitio del origen esperado del tendón del ECRB.
41
Q. ¿Qué signo señalan las puntas de flecha blancas y negras en la siguiente imagen y que representan cada uno de sus componentes?
A: Signo de la doble línea, la línea hiperintensa representa la interfaz reactiva o zona de sustitución progresiva y el borde esclerótico externo hipointenso.
42
¿En que etapa de la enfermedad Legg Calvé Perthes se encuentra el siguiente paciente?
Etapa avascular.
43
Q. Las siguientes imágenes muestran una patología Epifisiolisis o Epifisiolistesis, ¿Cuál es, por qué y que datos son los que señalan las fechas?
R: Epifisiolisis ya que no está desplazada, la flecha blanca señala la placa de crecimiento ensanchada e irregular, la punta de flecha derrame sinovial.
44
Q. ¿Por qué sabemos que este paciente tiene epifisiolistesis?
R: Porque las cabezas femorales son pequeñas.
45
Q. ¿Cuál signo señalan las flechas blancas y que significa?
R: Signo de la media luna e indica fractura subarticular.
46
Q. ¿Cuál signo señalan las flechas blancas y que significa?
R: Signo de la media luna e indica fractura subarticular.
47
Quiste subcondral.
48
Osteofito subcondral
49
Osteoartritis
50
Pinzamiento CAM, ángulo alfa.
51
Nombre de estructuras
Rojo: Escotadura sigmoidea radial Azul: Cabeza cubital Amarillo: Silla cubital Rosa: Fóvea Verde: estiloides
52
Nombre de estructuras
*Cartílago central Flecha larga: lig radio cubital volar Flecha corta: Lig. Cubito piramidal Flecha sin rellenar: Lig. Radiocubital dorsal
53
Adquisición de RM de la muñeca en corte axial, mencione a que hacen referencia las estructuras con las letras:
R: Musculo pronador cuadrado con sus cabezas superficial y profunda
54
Mencione que clase de lesión de Palmer es la mostrada en la imagen de RM:
Clase 1ª
55
Mencione que método para calcular inestabilidad radio cubital es el mostrado a continuación:
Método de Mino o de la línea radiocubital
56
T2 FS, Hiperseñal y agrandamiento nervio ulnar.
57
STIR,Agrandamiento e hiperseñal del nervio mediano
58
Q. ¿Qué indica la hiperseñal en músculos tenares en secuencias sensibles a líquido, en un paciente con contexto de neuropatía n. mediano?
Atrofia/denervación
59
Q. ¿qué ligamentos estabilizan la articulación trapecio-metacarpiana?
L. oblicuo anterior, l. dorsoradial, l. dorsocentral, l. oblicuo posterior, lig. Intermetacarpal
60
Q. ¿Qué ligamento se lesiona en etapas iniciales de la rizartrosis?
Ligamento oblicuo anterior
61
En la anatomía trilaminar del útero ponderada en secuencia T2 la zona hipointensa corresponde a:
Zona de unión
62
La secuencia pilar en el protocolo de RM de útero es:
T2
63
En la clasificación de FIGO los miomas submucosos corresponden a :
0.1 Y 2
64
La siguiente imagen corresponde a:
Endometriosis recto vaginal. Endometriosis de recto vaginal con infiltración a la pared rectal.
65
Es la apariencia típica de la adenomiosis.
Hipo intensidad difusa en t2 con respecto el miometrio circundante e y focos hiperintensos alternantes.
66
Q. Cuáles son hallazgos que conforman la triada de O'Donoghue.
Lesión del ligamento cruzado anterior (LCA), ligamento colateral medial (LCM) y menisco medial.
67
Q. CUAL ES EL LIGAMENTO LATERAL QUE SE ROMPE CON MAS FRECUENCIA Y QUE OBSERVAS EN LAS IMAGENES
PERONEO ASTRAGALINO ANTERIOR
68
Q. Ligamentos intrarticulares de la rodilla excepto:
Ligamentos cruzados. Ligamento meniscofemoral anterior (Humprey). Ligamento meniscofemoral posterior ( Wrisberg).
69
Q. Son componentes de la esquina posteromedial excepto:
Ligamento colateral medial y capa exterior. Ligamento colateral lateral y fascia externa. Ligamento colateral medial y fascia femoral interna.
70
Q. Son los tendones que componen la pata de ganso:
Sartorio, grácil y semitendinoso.
71
Q. Son secuencias edema sensibles en la rodilla:
T2 fat sat, DP + fatsat, Stir.
72
Q. Es el tendón más importante en la esquina posterolateral.
Tendón poplíteo
73
Q. Es un área anatómica triangular en el aspecto anterosuperior del hombro delimitada superiormente por el margen anterior del tendón supraespinoso, e inferiormente por el margen superior del tendón subescapular, y que va desde el proceso coracoide hasta el surco de los bíceps:
Intervalo de los rotadores
74
Intervalo de los rotadores
Es un área anatómica triangular en el aspecto anterosuperior del hombro delimitada superiormente por el margen anterior del tendón supraespinoso, e inferiormente por el margen superior del tendón subescapular, y que va desde el proceso coracoide hasta el surco de los bíceps:
75
Tipo de acromion más común:
Tipo II
76
Se refiere a la ausencia del labrum en su porcion antero-superior asociada a un ligamento glenohumeral medio:
Complejo de Buford
77
¿En qué patología meniscal se observa el signo de “doble ligamento cruzado posterior”?
Desgarro en asa de cubo
78
Es un signo observado en la rotura meniscal radial:
Menisco fantasma
79
Nombre que recibe la clasificación usada para los tipos de menisco discoide:
Watanabe
80
Son signos de rotura del ligamento cruzado anterior:
Ángulo de Blumensaat anormal, signo de la escotadura vacía, traslación tibial anterior.
81
Patología desarrollada por una “apofisitis” del tubérculo tibial que condiciona lesión del tendón patelar:
Enfermedad de Osgood-Schaltter
82
¿Qué es el fenómeno de resonancia?
Onda electromagnética cuya frecuencia coincide con la frecuencia de precesión del protón que queremos excitar.
83
¿Qué es el tiempo de eco (TE) y el tiempo de repetición (TR)?
Tiempo de eco (TE): Es el tiempo que transcurre entre la primera onda de 90° y la señal que recibimos. Tiempo de repetición (TR): Es el tiempo que transcurre entre una onda de 90° y la siguiente onda de 90°
84
¿Cómo se obtiene una secuencia en densidad de protones y para que es útil en la aplicación osteomuscular?
Se obtiene con un Tiempo de repetición largo + Tiempo de eco corto, y es útil para la evaluación de meniscos postoperatorios.
85
¿Cuál es la utilidad de las secuencias de ponderación intermedia?
Son sensibles para la evaluación del cartílago articular, presentan mayor intensidad de señal del cartílago que en T2, es menos propensa a sufrir artefactos de ángulo mágico que las verdaderas secuencias en densidad de protones.
86
¿Para qué sirven las secuencias T1 y T2 en la evaluación del sistema musculo esquelético?
T1: evalúa detalles anatómicos, confirma el remplazo de la médula ósea grasa normal, determinar el grado de atrofia de los músculos, detecta y caracteriza lesiones lipomatosas. T2: Detecta líquido, edema.
87
¿Cuál es la característica de la lesión ALPSA?
Avulsión del ligamento glenohumeral inferior con preservación del periostio.
88
¿En qué consiste la lesión de Bankart?
Avulsión del complejo labroligametario inferior del borde glenoideo.
89
¿cuál es el principal mecanismo de una lesión SLAP?
Tracción forzada del TPLBB.
90
¿Clasificación de la lesión SLAP con morfología en “asa de balde” sin extensión al tendón del bíceps?
SLAP3
91
1- Calcáneo. 2- Cuboides. 3- Cuneiforme lateral. 4- Tercer metatarsiano. 5- Segundo metatarsiano. 6- Primer metatarsiano. 7- Cuneiforme intermedio. 8- Cuneiforme medial. 9- Navicular.
92
¿Cómo se le conoce también al tarso y que huesos lo componen?
Astrágalo, calcáneo, navicular, cuboides, cuneiforme medial, intermedio y lateral /// Retropié.
93
El ligamento deltoideo se divide en:
Fibras superficiales y fibras profundas.
94
El tendón de Aquiles está formado por la confluencia de:
Gastrocnemios y soleo.
95
¿Qué comportamiento en la fase hepatobiliar de un estudio de RM permite diferenciar entre lesiones benignas y malignas en el hígado?
En la fase hepatobiliar, las lesiones benignas (como la hiperplasia nodular focal) captan contraste, apareciendo hiperdensas. Las lesiones malignas (como carcinoma hepatocelular o metástasis) no captan contraste, apareciendo hipointensas.
96
Q: ¿Qué características tienen las imágenes potenciadas en T1 en Fuera de Fase GRE al evaluar hígado graso en comparación con las imágenes en fase?
A: En fase opuesta, hay una pérdida de intensidad de señal en las áreas de esteatosis, mientras que en fase, el hígado graso muestra una intensidad de señal mayor que el bazo.
97
Q: ¿Cómo varía la señal de un hemangioma en RM en secuencias con tiempos de eco prolongados?
A: Un hemangioma mantiene una señal alta, comparable a la del líquido cefalorraquídeo.
98
Q: ¿Qué tipo de vascularización tienen los nódulos regenerativos y cómo se comportan en las diferentes fases de realce dinámico?
A: Los nódulos regenerativos tienen vascularización principalmente portal. No presentan realce temprano en la fase arterial y suelen isointensificarse en las fases portal y de equilibrio.
99
Q: ¿Cómo se comportan los HCC bien diferenciados en la fase hepatocitaria con contraste Gd-EOB-DTPA, y qué transportador está relacionado con la captación del contraste?
A: Los HCC bien diferenciados pueden acumular contraste en la fase hepatocitaria, viéndose isointensos o hiperintensos.
100
¿Para que sirve el signo de Collins?
Para diferenciar la etiologia de la epigastralgia
101
102
103
104
105
106
107
108
109
110