Vascular Flashcards

(89 cards)

1
Q

A patient presents with a one-year history of intermittent twitching of the right side of the face. During surgery to address the twitching, the nerve indicated by the arrow in the image shown is injured. This injury will most likely cause which of the following neurological deficits?
A. Unilateral Facial Numbness B. Vertigo
C. Dysphagia
D. Sensorineural hearing loss
E. Unilateral Facial Weakness

A

Correct Answer: Dysphagia

How well did you know this?
1
Not at all
2
3
4
5
Perfectly
2
Q

Which of the following characteristics confers the highest risk of hemorrhage for patients harboring dural arteriovenous fistulae?
Answers:
A. Draining into cortical veins
B. No sinus or venous outflow occlusion
C. Draining into the transverse-sigmoid sinuses
D. Venous varix on a draining vein

A

Correct Answer:
Draining into cortical veins

How well did you know this?
1
Not at all
2
3
4
5
Perfectly
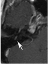
3
Q

A 23-year-old woman is evaluated because of Bell palsy. An MR image with contrast of the facial nerve is shown. The arrow corresponds to which of the following segments of the facial nerve?
A. Labyrinthine segment
B. Meatal (canalicular) segment
C. Tympanic segment
D. Mastoid segment
E. Extratemporal segment

A

Correct Answer: Mastoid segment

How well did you know this?
1
Not at all
2
3
4
5
Perfectly
4
Q

During arteriovenous malformation embolization, prior to the administration of the liquid embolic agent ethylene-vinyl alcohol copolymer, the microcatheter should be flushed with which of the following agents?
Answers:
A. Dimethyl sulfoxide (DMSO)
B. Heparin
C. Phosphate-buffered saline (PBS)
D. Lidocaine hydrochloride 1%
E. Dextrose 5% in water (D5W)

A

DMSO

How well did you know this?
1
Not at all
2
3
4
5
Perfectly
5
Q

The carotid sinus reflex is characterized by which of the following?
Answers:

A. Reduced vagal nerve activity following hypotension
B. Vasoconstriction due to acidosis
C. Tachycardia following systemic arterial hypertension
D. Bradycardia following systemic arterial hypertension
E. Hypertension following external manual compression

A

Correct Answer:
Bradycardia following systemic arterial hypertension

How well did you know this?
1
Not at all
2
3
4
5
Perfectly
6
Q

Aortic arch classification is based on the distance from the origin of which of the following arteries to the top of the aortic arch?
A. Right carotid
B. Innominate
C. Left carotid
D. Right vertebral
E. Left vertebral

A

B. Innominate

How well did you know this?
1
Not at all
2
3
4
5
Perfectly
7
Q

A 75-year-old woman is evaluated for complaints of a painful left eye, double vision, and a “buzzing” sound in her head when she goes to sleep. Ophthalmic examination shows the left eye is proptotic and chemotic. Which of the following is the most likely diagnosis?
Answers:
A. Tentorial Dural Arteriovenous Fistula
B. Giant Basilar Tip Aneurysm
C. Tinnitus
D. Carotid-cavernous Fistula
E. Benign Positional Vertigo

A

D. Carotid-cavernous Fistula

How well did you know this?
1
Not at all
2
3
4
5
Perfectly
8
Q

Six months after undergoing removal of a medial sphenoid wing and cavernous sinus wall meningioma, a 67-year-old man complains of persistent dysesthetic pain and numbness along his inferior eyelid, lateral nose, mid face, and upper lip. This was most likely caused by injury to a branch of the nerve that ultimately passes through which of the following openings?
Answers:
A. Superior Orbital Fissure
B. Vidian Canal
C. Foramen Rotundum
D. Foramen Spinosum
E. Foramen Ovale

A

Correct Answer: Foramen Rotundum

How well did you know this?
1
Not at all
2
3
4
5
Perfectly
9
Q

An angiogram and MR image of the brain are shown. Which of the following vessels supplies the posterior circulation in this patient?
A. Fetal posterior communicating artery
B. Persistent hypoglossal artery
C. Persistent otic artery
D. Persistent proatlantal segmental artery
E. Persistent trigeminal artery

A

B. Persistent hypoglossal artery

How well did you know this?
1
Not at all
2
3
4
5
Perfectly
10
Q

Which of the following is likely to provide the most conclusive evidence of the anatomic integrity of the facial nerve in a patient with a facial paralysis following a basilar skull fracture?

Answers:
A. High Quality MRI
B. Surgical Exploration
C. High-resolution CT
D. Schirmir’s test
E. Electroneurography (ENOG)

A

Electroneurography (ENOG)

How well did you know this?
1
Not at all
2
3
4
5
Perfectly
11
Q

Which of the following statements is true regarding Wilbrand’s knee?

A. Compression of Wilbrand’s knee occurs at the posterior chiasm
B. Compression of Wilbrand’s knee causes contralateral central scotoma.
C. A junctional scotoma includes an inferio-nasal defect
D. A junctional scotoma includes a superio-nasal defect
E. Compression of Wilbrand’s knee results in an ipsilateral central scotoma and contralateral temporal defect

A

E. Compression of Wilbrand’s knee results in an ipsilateral central scotoma and contralateral temporal defect

How well did you know this?
1
Not at all
2
3
4
5
Perfectly
12
Q

The cell bodies of the afferent fibers carrying proprioceptive information from the masseter muscle are located in which of the following structures?
Answers:
A. Trigeminal Ganglion
B. Principal Sensory Nucleus of CN V C. Spinal trigeminal nucleus
D. Nucleus Ambiguus
E. Mesencephalic nucleus of CN V

A

Correct Answer: Mesencephalic nucleus of CN V

How well did you know this?
1
Not at all
2
3
4
5
Perfectly
13
Q

Primary auditory sensory neurons are located in which of the following structures?
Answers:
A. Heschl’s gyrus
B. Medial geniculate nucleus
C. Cochlear nucleus
D. Cochlear duct
E. Spiral ganglion

A

E. Spiral ganglion

How well did you know this?
1
Not at all
2
3
4
5
Perfectly
14
Q

A 65-year-old man is evaluated ten hours after the sudden onset of aphasia and right hemiplegia. He has no history of bleeding disorders and takes no medications. A CT scan of the brain shows no hemorrhage; MR angiography shows an abrupt cutoff of the left M1 segment and no diffusion abnormalities. Which of the following is the most appropriate treatment for this patient?
Answers:
A. recombinant alteplase
B. Mechanical Thrombectomy
C. Observation
D. Decompressive Craniectomy
E. External Ventricular Drain

A

Correct Answer: Mechanical Thrombectomy

How well did you know this?
1
Not at all
2
3
4
5
Perfectly
15
Q

The numerical designation associated with a preparation of the liquid embolic agent ethylene-vinyl alcohol copolymer refers to which of the following characteristics?
Answers:
A. Viscosity in centipoise
B. Polymerization time in seconds C. Osmolality in osmoles per liter D. Concentration as a percentage E. Volume in milliliters

A

Correct Answer: Viscosity in centipoise

How well did you know this?
1
Not at all
2
3
4
5
Perfectly
16
Q

A patient requires dual antiplatelet therapy for a neuroendovascular procedure. However, upon genetic testing, the patient is found to have two nonfunctional copies of the CYP2C19 gene and is classified as a CYP2C19 poor metabolizer. In addition to aspirin, which of the following is the most appropriate drug choice for this patient?
Answers:
A. Ticagrelor
B. Clopidogrel
C. Argatroban
D. Dipyridamole
E. Cilostazol

A

Correct Answer: Ticagrelor

How well did you know this?
1
Not at all
2
3
4
5
Perfectly
17
Q

A 22-year-old woman with moyamoya disease undergoes cerebral angiography. Based on the lateral projection of the left external carotid artery shown, which of the labeled arteries (A–E) would be most appropriate to use for an extracranial/intracranial bypass?
Answers:
A. A
B. B
C. C
D. D
E. E

A

Correct Answer: D

Discussion:
The Superficial Temporal Artery (D) is the most-studied and traditionally used extracranial donor vessel in an EC-IC Direct Bypass surgery.
A - Facial Artery
B - Internal Maxillary Artery
C - Middle Meningeal Artery
D - Superficial Temporal Artery
E - Occipital Artery

How well did you know this?
1
Not at all
2
3
4
5
Perfectly
18
Q

A 45-year-old man is evaluated because of a two-week history of headaches. MR angiography shows a 13-mm smooth left middle cerebral artery aneurysm. Which of the following factors would put this patient at increased risk for future hemorrhage?
Answers:
A. Smoking Status
B. Use of statin drugs
C. Multiple unruptured aneurysms
D. Hypertension
E. Family history of subarachnoid hemorrhage

A

Correct Answer: Hypertension

Discussion:
The PHASES score was developed to help surgeons decide when to treat unruptured intracranial aneurysms based on an estimated 5-year aneurysm rupture risk using risk factor status and combined data from prospective cohort studies. Predictors were age, hypertension, history of subarachnoid hemorrhage, aneurysm size, aneurysm location, and geographical region. In study populations from North America and European countries other than Finland, the estimated 5-year absolute risk of aneurysm rupture ranged from 0.25% in individuals younger than 70 years without vascular risk factors with a small-sized (<7 mm) internal carotid artery aneurysm, to more than 15% in patients aged 70 years or older with hypertension, a history of subarachnoid haemorrhage, and a giant-sized (>20 mm) posterior circulation aneurysm.
The patient in this question had a large 13mm anterior circulation aneurysm in a patient less than 70 years old. For a patient under 70 with a never-ruptured MCA aneurysm 10.0-19.9mm in size, a patient without hypertension has a 1% predicted risk of ruputure in the next 5 years–or 2% if the patient also has hypertension–and is considered low to very low risk of rupture. In this case, a history of hypertension would put the patient at increased risk of future rupture. The PHASES study concluded that “sex, presence of multiple aneurysms, and smoking status had no added value for the prediction of aneurysm rupture when other risk factors were accounted for.”
References:
Greving JP, Wermer MJ, Brown RD Jr, et al. Development of the PHASES score for prediction of risk of rupture of intracranial aneurysms: a pooled analysis of six prospective cohort studies. Lancet Neurol. 2014 Jan;13(1):59-66.
Foreman PM, Hendrix P, Harrigan MR, Fisher WS 3rd, Vyas NA, Lipsky RH, Walters BC, Tubbs RS, Shoja MM, Griessenauer CJ. PHASES score applied to a prospective cohort of aneurysmal subarachnoid hemorrhage patients. J Clin Neurosci. 2018 Jul;53:69-73. doi: 10.1016/j.jocn.2018.04.014. Epub 2018 Apr 20. PMID: 29685416.

How well did you know this?
1
Not at all
2
3
4
5
Perfectly
19
Q

During arteriovenous malformation embolization, prior to the administration of the liquid embolic agent n-butyl cyanoacrylate, the microcatheter should be flushed with which of the following agents?
Answers:
A. Ethylene-vinyl alcohol (EVOH) B. Heparin
C. Normal saline
D. Dextrose 5% in water (D5W)

E. Dimethyl sulfoxide (DMSO)

A

Correct Answer:
Dextrose 5% in water (D5W)

How well did you know this?
1
Not at all
2
3
4
5
Perfectly
20
Q

Which of the following best describes cranial nerves that are contained within the superior orbital fissure?
Answers:

A. Damage to the nerves from superior orbital fissure syndrome (SOFS) can occur from craniofacial trauma and causes a down-and-out eye and blindness.
B. There are eight individual nerves from five cranial nerves which pass through the superior orbital fissure.
C. They pass through the tendinous ring of Zinn to get to the orbit.
D. They are traveling from the cavernous sinus to the apex of the orbit.
E. They are bordered by the greater and lesser wings of the sphenoid as well as the ethmoid bone.

A

Correct Answer:
They are traveling from the cavernous sinus to the apex of the orbit.

How well did you know this?
1
Not at all
2
3
4
5
Perfectly
21
Q

Axons of retinal ganglion cells project to which of the following structures?
Answers:
A. Meyer’s loop
B. Suprachiasmatic nucleus
C. Optic chiasm
D. Lateral geniculate body
E. Optic cortex

A

Correct Answer: Lateral geniculate body

How well did you know this?
1
Not at all
2
3
4
5
Perfectly
22
Q

A 63-year-old woman with breast cancer is evaluated after undergoing MR imaging of the brain; the MR image is shown (Figure 1). Cerebral angiograms from the anteroposterior vertebral view (Figure 2) and lateral vertebral view (Figure 3) are shown. Which of the following treatments provides the lowest risk of procedural-related neurological deficits?

Answers:
A. Radiosurgery
B. Endovascular Embolization
C. Surgical resection after endovascular embolization D. Microsurgery
E. Surgical resection after radiosurgery

A

Correct Answer:
Correct Answer: Radiosurgery

How well did you know this?
1
Not at all
2
3
4
5
Perfectly
23
Q

Which of the following nuclei is associated with the sympathetic nervous system?
Answers:
A. Edinger–Westphal
B. Dorsal motor nucleus of the vagus
C. Inferior salivatory
D. Intermediolateral
E. Suprachiasmatic

A

Correct Answer: Intermediolateral

How well did you know this?
1
Not at all
2
3
4
5
Perfectly
24
Q

Bedside hearing evaluation of a patient shows the following: Test Left Ear Right Ear Weber No lateralization Lateralization Rinne Air conduction > Bone conduction Bone conduction > Air conductionWhich of the following is the most likely diagnosis?
Answers:
A. Left Sensorineural hearing loss
B. Left Conductive hearing loss
C. Bilateral sensorineural hearing loss
D. Right Sensorineural hearing loss
E. Right Conductive hearing loss

A

Correct Answer:
Correct Answer:
Right Sensorineural hearing loss

How well did you know this?
1
Not at all
2
3
4
5
Perfectly
25
Which of the following is a characteristic of supplementary motor area syndrome? Answers: A. Irreversible B. Hyper-reflexia C. Global akinesia D. Occurs only after bilateral lesions E. Decreased muscle strength
Correct Answer: Global akinesia
26
The chorda tympani nerve exits the skull from which of the following structures? Answers: A. Petrotympanic fissure B. Stylomastoid foramen C. Petromastoid canal D. Mastoid foramen E. Jugular foramen
Correct Answer: Petrotympanic fissure
27
Which of the following is a characteristic of dorsal midbrain syndrome Answers: A. Marcus-Gunn pupils B. Preserved vertical saccades velocity C. Preserved reflex eye movements D. Divergence nystagmus with attempted upward voluntary gaze E. Limited upward voluntary gaze
Correct Answer: Limited upward voluntary gaze
28
An 80-year-old woman with a history of atrial fibrillation held her anticoagulation prior to undergoing an epidural steroid injection. She acutely develops aphasia and right-sided hemiplegia. NIH Stroke Scale on presentation is 14. CT scan of the head shows no hemorrhage. The patient receives an intravenous bolus of tissue plasminogen activator (tPA) without improvement. CT angiogram (Figure 1) and CT perfusion scans (Figure 2) are shown. Which of the following is the most appropriate next step in management? A. Initiation of dual anti-platelet therapy with aspirin and clopidogrel B. Decompressive hemicraniectomy C. Administration of intra-arterial tPA D. Supportive care with mean arterial blood pressure greater than 85 mmHg E. Urgent mechanical thrombectomy
Correct Answer: Urgent mechanical thrombectomy
29
Which of the following vessels is most often associated with glossopharyngeal neuralgia? Answers: A. Anterior Inferior Cerebellar Artery (AICA) B. Superior Cerebellar Artery (SCA) C. Vertebral Artery D. Posterior Inferior Cerebellar Artery (PICA) E. Unnamed Vein
Correct Answer: Posterior Inferior Cerebellar Artery (PICA)
30
A stroke in which of the following vascular distributions is most likely to cause alexia? Answers: A. Posterior cerebral artery B. Superior cerebellar artery C. Anterior cerebral artery D. Anterior choroidal artery E. Middle cerebral artery
Correct Answer: Posterior cerebral artery
31
The greater superficial petrosal nerve contains which of the following types of autonomic fibers? Answers: A. Postganglionic Sympathetic B. Preganglionic Sympathetic C. Postganglionic Parasympathetic D. Preganglionic Parasympathetic E. It does not contain autonomic fibers
Correct Answer: Preganglionic Parasympathetic
32
A 67-year-old man with type 2 diabetes mellitus, hyperlipidemia, and hypertension presents with transient aphasia and right-sided weakness. MR imaging demonstrates a watershed infarct in the left hemisphere. CT angiography shows focal 70% left M1 stenosis. Which of the following is the most appropriate treatment? Answers: A. Superficial temporal artery-middle cerebral artery (STA-MCA) bypass performed on a subacute basis B. Medical management with dual antiplatelets, glycemic control, and statin therapy C. Balloon angioplasty and stenting D. Mechanical thrombectomy E. Intra-arterial tissue plasminogen activator (tPA) infusion into left internal carotid artery
Correct Answer: Medical management with dual antiplatelets, glycemic control, and statin therapy
33
A 25-year-old woman presents with a painless mass in her right neck. The mass is depicted in the MR image shown. Following surgery, she awakens with a droopy eyelid and a smaller pupil on that side. This is most likely a result of injury to which of the following structures? Answers: A. Sympathetic chain B. Carotid body C. Ansa cervicalis D. Hypoglossal nerve E. Vagus nerve
Correct Answer: Sympathetic chain
34
Which of the following contains the neurons that mediate the sense of taste in the anterior two- thirds of the tongue? Answers: A. Trigeminal ganglion B. Geniculate ganglion C. Spiral ganglion D. Pterygopalatine ganglion E. Inferior (petrosal) ganglion
Correct Answer: Geniculate ganglion
35
A 42-year-old man is brought to the emergency department because of sudden onset of syncope. On arrival, he is hoarse, with palatal deviation to the right and a decreased gag response. An MR image is shown. Which of the following is the most likely diagnosis? Answers: A. Cavernous Malformation B. Metastatic tumor C. Abscess D. Ruptured Posterior Inferior Cerebellar Artery Aneurysm E. Arteriovenous fistula
Correct Answer: Cavernous Malformation
36
A 45-year-old woman undergoes a bifrontal craniotomy for resection of a large olfactory groove meningioma. An image of the frontal bone after a bicoronal incision and forward reflection of the scalp is shown. Damage to the structure indicated by the arrows would result in which of the following deficits? Answers: A. Reduced tearing B. Inability to raise the eyebrow C. Dysesthesia or numbness in the lateral forehead and scalp D. Dysesthesia or numbness in the medial forehead and scalp E. Partial ptosis
Correct Answer: Dysesthesia or numbness in the lateral forehead and scalp
37
Nerve fibers mediating taste from the anterior two-thirds of the tongue have their cells of origin in which of the following? Answers: A. Nucleus tracus solitarius B. Superior salivatory nucleus C. Submandibular ganglion D. Geniculate ganglion E. Pterygopalatine ganglion
Correct Answer: Geniculate ganglion
38
A 65-year-old man is evaluated because of a slowly progressive, nine-month history of urinary dysfunction, midthoracic pain, and difficulty walking. Physical examination shows inability to tandem walk, a T8 sensory level, and weakness in the lower extremities graded at 4/5. The T2- weighted axial MR image of the thoracic spine at the T6 level shown is most consistent with which of the following? Answers: A. Type 4 Spinal Vascular Malformation B. Type 2 Spinal Vascular Malformation C. Spinal cord infarction D. Type 1 Spinal Vascular Malformation E. Type 3 Spinal Vascular Malformation
Correct Answer: Type 1 Spinal Vascular Malformation
39
In the Carotid Revascularization Endarterectomy versus Stenting Trial (CREST), stenting for carotid stenosis was associated with an increased risk of which of the following? Answers: A. Stroke in asymptomatic patients B. Myocardial infarction C. Cranial Nerve palsies D. Stroke in symptomatic patients E. Death
Correct Answer: Stroke in asymptomatic patients
40
Which of the following nerve structures is most closely associated with the physiologic response of lacrimation? Answers: A. GSPN B. Ciliary ganglion C. Greater palatine nerve D. Otic ganglion E. Facial nerve
Correct Answer: GSPN
41
The majority of the blood supply to the midbrain is provided by which of the following arteries? Answers: A. Radicular B. Posterior inferior cerebellar C. Superior cerebellar D. Posterior cerebral E. Vertebral
Correct Answer: Posterior cerebral
42
Which of the following factors is associated with increased procedural risk of cerebral ischemia after carotid artery stenting, but not after carotid endarterectomy? Answers: A. Left ventricular ejection fraction < 30% B. Aortic arch configuration type 2 and 3 C. Ipsilateral neck irradiation history D. Severe renal disease E. Contralateral cartoid occlusion
Correct Answer: Aortic arch configuration type 2 and 3
43
The 2018 stroke guidelines published by the American Heart Association/American Stroke Association (AHA/ASA) support endovascular thrombectomy in select patients. From symptom onset, which of the following best describes the longest time window in which patients are recommended to have endovascular thrombectomy? Answers: A. 18-24 hours B. <2 hours C. 6-16 hours D. 16-18 hours E. <6 hours
Correct Answer: 6-16 hours
44
In a patient with spinal dural arteriovenous fistula, which of the following is the most likely cause of symptoms? Answers: A. Spinal cord compression B. Venous hypertension C. Compression of exiting nerve roots D. Hemorrhage E. Spinal cord infarction
Correct Answer: Venous hypertension
45
Clasp knife spasticity is due to a lesion in which of the following tracts? Answers: A. Clarke's column B. Dorsal spinocerebellar tract C. Lower motor neuron D. Upper motor neuron E. Ventral spinocerebellar tract
Correct Answer: Upper motor neuron
46
A 72-year-old woman is evaluated for a lesion that was incidentally discovered on the axial T2- weighted MR image that is shown. Which of the following best describes this patient's estimated five-year risk for hemorrhage or new neurological deficit because of this lesion? Answers: A. 7.1% B. 9.4% C. 3.8% D. 48.6% E. 1.02%
Correct Answer: 3.8%
47
A 74-year-old man is evaluated because of a four-year history of progressive bilateral leg numbness and gait instability. A T2-weighted thoracic sagittal MR image is shown. Which of the following is the most appropriate next step in management? Answers: A. Spinal Computed Tomography angiogram B. Exploratory laminectomy C. Observation D. Spinal digital subtraction angiogram E. Lumbar puncture
Correct Answer: Spinal digital subtraction angiogram
48
The oculomotor nerve passes between which of the following arteries? Answers: A. PCA + Achor B. SCA + Achor C. PCA + SCA D. Achor + Pcomm E. SCA + AICA
Correct Answer: PCA + SCA
49
A 25-year-old man has the sudden onset of unilateral paralysis of the facial musculature and ipsilateral hyperacusis. These symptoms are most likely caused by damage to which of the following nerves? Answers: A. Nerve to the stapedius B. GSPN C. Chorda tympani D. Vestibulocochlear E. Facial nerve
Correct Answer: Facial nerve
50
Hyperacusis is most likely caused by dysfunction of which of the following nerves? Answers: A. Glossopharyngeal nerve B. Vagus nerve C. Vestibulocochlear nerve D. Facial nerve E. Trigeminal nerve
Correct Answer: Facial nerve
51
During a routine examination, a 67-year-old man has an audible bruit in his left carotid artery. Three years ago, he underwent radiation treatment of the neck for malignancy. Carotid Doppler shows 80 to 89% stenosis. An MR image of the brain shows old infarctions in the left middle cerebral artery territory. Transcranial Doppler is positive for emboli. Which of the following is the most appropriate next step in the management of this patient? Answers: A. Carotid endarterectomy B. Carotid stenting C. 3D Ultrasound D. Aspirin and statins E. Observant management
Correct Answer: Carotid stenting
52
Evidence shows that there is improved outcome of surgical evacuation of a 3-cm spontaneous intraparenchymal hematoma causing neurological deficits when is it performed in which of the following locations? Answers: A. Lateral Ventricle B. Third Ventricle C. Cerebellum D. Inferior Frontal Gyrus E. Thalamus
Correct Answer: Cerebellum
53
A previously healthy 14-year-old girl is brought to the emergency department with sudden loss of consciousness. She is emergently intubated. A CT scan is performed and shown. Which of the following is the most likely cause of the abnormality seen? Answers: A. Cerebral aneurysm B. Cerebral venous sinus thrombosis C. Arteriovenous malformation D. Parieto-occipital neoplasm E. Cavernous malformation
Correct Answer: Arteriovenous malformation
54
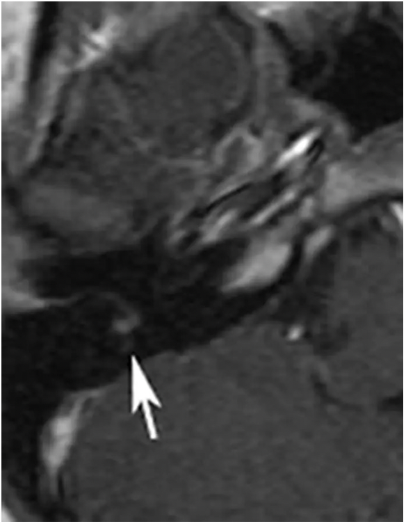
A 23-year-old woman is evaluated because of Bell palsy. An MR image with contrast of the facial nerve is shown. The arrow corresponds to which of the following segments of the facial nerve? Answers: A. Extratemporal segment B. Meatal (canalicular) segment C. Labyrinthine segment D. Tympanic segment E. Mastoid segment
Correct Answer: Tympanic segment
55
A 79-year-old woman is evaluated because of a Hunt and Hess grade 4 and Fisher grade 4 subarachnoid hemorrhage with left hemiplegia. CT scan of the head shows a subarachnoid hemorrhage isolated to the cervicomedullary junction and posterior fossa. CT angiography shows an 8-mm right posterior inferior cerebral artery (PICA) aneurysm with a 2-mm neck in addition to a 2-mm left middle cerebral artery (MCA) aneurysm. Which of the following is the most appropriate treatment for this patient? Answers: A. Endovascular coil embolization of ruptured aneurysm and observation of unrutured aneurysm B. Open microsurgical clipping of ruptured aneurysm and observation of unruptured aneurysm C. Observation D. Endovascular flow diversion of both aneurysms E. High-flow Bypass
Correct Answer: Endovascular coil embolization of ruptured aneurysm and observation of unrutured aneurysm
56
A 44-year-old woman with Down syndrome has had increasingly frequent episodes of numbness, tingling, and weakness of her right upper extremity over the past four months. In the course of her cerebrovascular evaluation, an arteriogram is performed, and the left common carotid injection anteroposterior (Figure 1) and lateral (Figure 2) projections are shown. Which of the following therapeutic options has been best demonstrated to decrease the incidence of strokes in this population of patients? Answers: A. Cervical Carotid Stenting B. Encephaloduroarteriosynangiosis C. Encephaloduroarteriosynangiosis D. Superficial temporal artery to internal carotid artery bypass E. Calcium channel blockers
Correct Answer: Superficial temporal artery to internal carotid artery bypass
57
Which of the following vessels provides the blood supply to the posterior limb of the internal capsule? Answers: A. Lenticulostriate arteries B. Middle cerebral artery C. Recurrent artery of Heubner D. Anterior cerebral artery E. Anterior choroidal artery
Correct Answer: Anterior choroidal artery
58
A 64-year-old man is evaluated seven hours after sustaining an ischemic stroke. The patient is awake and alert. He has severe contralateral hemiparesis, and his NIH stroke scale score is 10. CT angiography shows a large intracranial internal carotid artery (ICA) occlusion. Perfusion imaging shows a large penumbra. Which of the following is the most appropriate management of this patient? Answers: A. recombinant alteplase B. Mechanical Thrombectomy C. External Ventricular Drain D. Decompressive Craniectomy E. Observation
Correct Answer: Mechanical Thrombectomy
59
When the trigeminal root is exposed by the retromastoid approach for the treatment of trigeminal neuralgia, which of the following structures is most likely to be identified as the cause of compression? Answers: A. Anterior Inferior Cerebellar Artery (AICA) B. Superior Cerebellar Artery (SCA) C. Unnamed Vein D. Basilar Artery E. Vertebral Artery
Correct Answer: Correct Answer: Superior Cerebellar Artery (SCA)
60
In the pediatric age group, moyamoya disease is best treated with which of the following? Answers: A. Surgical revascularization B. Vascular stenting C. Anti-hypertensives D. Aspirin E. Maximal hydration
Correct Answer: Surgical revascularization
61
A 75-year-old woman is admitted with a two-day history of right arm weakness. Her only medication is aspirin. She is noted to be hypertensive and hyperlipidemic. An MR image of the brain shows a small left hemispheric stroke and cerebral angiogram shows high-grade stenosis of the left M1 segment. Which of the following is the most appropriate management? Answers: A. Dual antiplatelet therapy with aspirin and clopidogrel B. Percutaneous angioplasty C. Intracranial stenting D. Mechanical thrombectomy E. Warfarin therapy
Correct Answer: Dual antiplatelet therapy with aspirin and clopidogrel
62
A 40-year-old man has sudden onset of left-sided facial droop and left hemiparesis 48 hours after a motor vehicle collision. He was neurologically intact after the accident until this event. Emergent non-contrast CT scan of the head shortly after his deterioration is negative. Which of the following is the most appropriate next diagnostic evaluation? Answers: A. Color-flow Doppler B. MR angiography C. CT angiography D. Conventional Angiography E. MRI DWI sequence
Correct Answer: Conventional Angiography
63
Which of the following cranial nerves traverse the superior orbital fissure? Answers: A. Olfactory B. Trochlear C. Optic D. Maxillary E. Nasocillary nerve
B. Trochlear
64
A patient is undergoing surgical division of the vestibular portion of the vestibulocochlear (VIII) nerve midway between the brain stem and the internal acoustic meatus as treatment of Meniere disease. Which of the following parts of the nerve should be cut? Answers: A. Superior Vestibular Nerve, Inferior Vestibular Nerve (Saccular Nerve), and Singular Nerve (Posterior Ampullary Nerve) B. Superior Vestibular Nerve and Inferior Vestibular Nerve (Saccular Nerve) C. Superior Vestibular Nerve, Inferior Vestibular Nerve (Saccular Nerve), Singular Nerve (Posterior Ampullary Nerve), and Scarpa's Ganglion D. Vestibular Nerve E. Superior Vestibular Nerve and Singular Nerve (Posterior Ampullary Nerve)
Correct Answer: Superior Vestibular Nerve, Inferior Vestibular Nerve (Saccular Nerve), Singular Nerve (Posterior Ampullary Nerve), and Scarpa's Ganglion
65
The posterior cord of the brachial plexus ends by dividing into the radial nerve and which of the following other nerves? Answers: A. Ulnar B. Long thoracic C. Musculocutaneous D. Axillary E. Median
Correct Answer: Axillary
66
The rostral medulla predominantly receives blood from which of the following arteries? Answers: A. Internal carotid B. Anterior spinal C. Radicular D. Basilar E. Vertebral
Correct Answer: Vertebral
67
A 16-year-old girl is evaluated for paresthesia in both legs and an unsteady gait. T2-weighted non- contrast sagittal (Figure 1) and axial (Figure 2) MR images are shown. Which of the following is the most likely diagnosis? Answers: A. Cavernous malformation B. Spinal cord infarction C. Glioma D. Ependymoma E. Arteriovenous
Correct Answer: Cavernous malformation
68
A patient with a unilateral inferior altitudinal visual field defect is most likely to have a lesion in which of the following? Answers: A. Optic nerve B. Lateral geniculate nucleus C. Retina D. Optic chiasm E. Meyer Loop
Correct Answer: Optic nerve
69
A 66-year-old asymptomatic woman undergoes a right vertebral artery angiogram. Based on the image shown, this patient is at risk for developing which of the following? Answers: A. Aphasia B. Brain stem ischemia C. Bitemporal hemianopsia D. Right arm claudication E. Retinal transient ischemic attack
Correct Answer: Brain stem ischemia
70
A 22-year-old woman with a history of multiple transient ischemic attacks and a recent small ischemic stroke undergoes cerebral angiography. On the basis of the images shown, which of the following is the most appropriate next step in management? Answers: A. Calcium channel blockers B. Direct Revascularization C. Warfarin D. encephalomyoarteriosynangiosis E. Indirect Revascularization
Correct Answer: Direct Revascularization
71
The location of the facial (VII) nerve within the internal auditory canal at the medial edge of the transverse crest is best described as which of the following? Answers: A. Directly superior to the cochlear nerve B. Posterior to Bill's bar (vertical crest) C. Directly superior to the inferior vestibular nerve D. Anterior to the cochlear nerve E. Inferior to the transverse crest
Correct Answer: Directly superior to the cochlear nerve
72
Which of the following nerves provides motor (secretory) innervation to the parotid gland? Answers: A. Stylopharyngeal nerve B. Chorda tympani C. Auriculotemporal D. Greater petrosal nerve E. Facial nerve
Correct Answer: Auriculotemporal
73
A 42-year-old man is evaluated after sustaining an ischemic stroke caused by occlusion of the cervical internal carotid artery and the M1 segment of the middle cerebral artery. CT perfusion scans obtained 7 hours after the onset of the stroke are shown. Which of the following is the most appropriate next step in management? Answers: A. recombinant alteplase B. Mechanical Thrombectomy C. External Ventricular Drain D. Decompressive Craniectomy E. Observation
Correct Answer: Decompressive Craniectomy
74
A 60-year-old woman with a large middle cerebral artery infarction begins to demonstrate neurological deterioration from increasing cerebral edema. Her family wants to know whether decompressive craniectomy will be of benefit. Which of the following statements describes the most likely effect of decompressive craniectomy on this patient? Answers: A. Mortality rate is increased; most survivors are able to live independently B. Mortality rate is decreased; rate of significant disability is increased C. Mortality rate is not affected; most survivors become functionally independent D. Mortality rate is increased; most survivors remain vegetative E. Mortality rate is decreased; most survivors have no or minimal disability
Correct Answer: Mortality rate is decreased; rate of significant disability is increased
75
An 81-year-old man with hypertension, hyperlipidemia, and an ejection fraction of 45% presents with two episodes of transient right arm weakness over the past month. An angiogram is shown. Which of the following carries the lowest 30-day risk of stroke? Answers: A. Carotid artery angioplasty and stenting B. Carotid endarterectomy C. Atorvastatin therapy D. Aspirin and clopidogrel therapy E. Warfarin therapy
Correct Answer: Carotid endarterectomy
76
The patient whose angiogram is shown most likely corresponds with which of the following etiologies? Answers: A. Infectious B. Polycystic kidney disease C. Marfan syndrome D. Traumatic E. Ehlers-Danlos syndrome
Correct Answer: Traumatic
77
According to the results of prospective, randomized, controlled trials, which of the following best describes the effect of decompressive craniectomy in patients with large middle cerebral artery infarction? Answers: A. Decreased mortality and improved functional outcome B. Increased mortality and worsened functional outcome C. Increased risk of hemorrhagic conversion D. Inceased ICU length of stay E. Decreased ICU length of stay
Correct Answer: Decreased mortality and improved functional outcome
78
A 10-year-old child presents with spasticity and dystonia of the face, neck, and all four extremities that is refractory to medical therapy. He was born at 32 weeks gestation. MR image shows leukomalacia but no hydrocephalus. Which of the following is the most appropriate treatment? Answers: A. Deep brain stimulation B. Intrathecal Baclofen pump C. Spinal cord stimulator D. Selective dorsal rhizotomy E. Thalamotomy
Correct Answer: Intrathecal Baclofen pump
79
A lesion in the jugular foramen results in which of the following? Answers: A. Deficit of cranial nerves 9, 10 , 11 B. Deficit of cranial nerves 10, 11, 12 C. Deficit of cranial nerves 9, 10 , 11, 12 D. Deficit of cranial nerves 9, 10 , 11, 12 and Horner's syndrome E. Deficit of cranial nerves 10, 12
Correct Answer: Deficit of cranial nerves 9, 10 , 11
80
For which of the following conditions has cortical spreading depression been implicated as a causative factor? Answers: A. Migraine B. Sudden infant death syndrome C. Cerebral vasospasm D. Cortical venous thrombosis E. Essential tremor
Correct Answer: Migraine
81
A 73-year-old woman with breast cancer is evaluated after undergoing MR imaging of the brain. Results of the MR imaging prompted the physician to perform cerebral angiography; anteroposterior (Figure 1) and 3D rotational (Figure 2) right internal carotid injections are shown. Which of the following is the most appropriate management? Answers: A. Observation B. EC-IC Bypass C. Endovascular Embolization D. Microsurgical Clipping E. Huntarian Ligation
Correct Answer: Endovascular Embolization
82
Which of the following factors is most predictive of postoperative intracerebral hemorrhage after carotid endarterectomy? Answers: A. Normotension B. Hypertension C. Antiplatelet use D. Anticoagulant use E. Absence of Preoperative Infarct Burden
Correct Answer: Hypertension
83
In children, a pulsating exophthalmos most often indicates which of the following? Answers: A. Leukemia B. Sphenoid wing dysplasia C. Orbital Arteriovenous Malformation D. Spontaneous Carotid-cavernous fistula E. Optic Glioma
Correct Answer: Sphenoid wing dysplasia
84
The photograph shown demonstrates the standard surgical exposure for a left carotid endarterectomy. Injury to the structure indicated by the arrow would most likely result in which of the following symptoms? Answers: A. Ipsilateral tongue weakness B. Dysphagia and loss of gag reflex C. Weakness in lower lip muscles D. Ipsilateral miosis and ptosis E. Hoarseness
Correct Answer: Ipsilateral tongue weakness
85
A 35-year-old woman presents with a migraine and is found to have a fistula of the transverse and sigmoid sinuses without reflux into the cortical veins. Which of the following is the most appropriate management at this time? Answers: A. Endovascular embolization B. Emergent surgical clipping C. Observation D. Radiosurgery E. Dural Venous Sinus Pressure Monitoring
Correct Answer: Observation
86
Weakness in which of the following muscles would confirm C8 radiculopathy rather than ulnar neuropathy as the cause of a lack of hand strength? Answers: A. Medial lumbricals B. Opponens pollicis C. Palmar interossei D. Flexor digiti minimi brevis E. Dorsal interossei
Correct Answer: Opponens pollicis
87
A 34-year-old woman with severe headaches is arousable, but develops a dense left hemiparesis. Imaging studies demonstrate venous sinus thrombosis with a 1-cm temporal hematoma. Which of the following is the safest and most effective treatment option? Answers: A. Endovascular thrombectomy or thrombolysis of the involved dural sinus B. Initiation of heparin therapy C. Direct thrombectomy or thrombolysis through a bur hole placed over the superior sagittal sinus D. Initiation of hypertonic saline to reduce cerebral edema E. Temporal craniotomy for evacuation of the hemorrhage
Correct Answer: Initiation of heparin therapy
88
Which of the following conditions is associated with an increased incidence of moyamoya disease? Answers: A. Multiple endocrine neoplasia, type 2B B. Rendu-Osler-Weber syndrome C. Familial cavernoma syndrome D. Trisomy 21 E. Ehlers-Danlos syndrome
Correct Answer: Trisomy 21
89
The photograph shown demonstrates the standard surgical exposure for a left carotid endarterectomy. An injury to the structure indicated by the black star would most likely result in which of the following symptoms? Answers: A. Hoarseness of voice B. Pupillary dilatation C. Weakness of the left sided lower lip depressor D. Ptosis E. Tongue deviation to the left side
Correct Answer: Hoarseness of voice