Vascular Access Flashcards

(29 cards)

1
Q

A 7M-day-old term infant presents to the emergency department with vomiting and severe dehydration. Resuscitation attempts require IV access, and nursing staff have been unable to obtain a peripheral IV. Intraosseous access is not obtained either. After carefully assessing the situation, the provider decides to place an umbilical vein catheter. The umbilical vein is correctly identified, and a pre-flushed catheter is placed 1-2 cm past the point of blood return. Shortly after placing the line, the nursing staff is able to obtain IV access. The intensive care fellow asks the provider to remove the catheter before the child goes to the intensive care unit. The catheter is removed, and the child suddenly becomes hypotensive and arrests. What step in removal would have helped to prevent this complication?

A

To prevent air embolism as the catheter is removed, tighten the purse-string suture or tape, and apply pressure to the umbilicus.

How well did you know this?
1
Not at all
2
3
4
5
Perfectly
2
Q

What are the options for vascular access in the pediatric patient?

A

Obtaining vascular access of any kind is especially challenging in children.

A peripheral intravenous (PIV) cannula is the most commonly used device for venous access.

Placement of an intravenous catheter in children can be quite traumatic to the child, the parents, and the attendant health care providers. In some situations, it can be a fairly frustrating and time-consuming procedure, frequently requiring multiple attempts.

The specific vascular access device (VAD) and the site chosen for its placement to obtain venous access is based on the indications, urgency of need, and expected duration of use (Table 8.1).

Clinicians must be aware of the limitations and potential adverse effects of the various VADs that are available.

In an emergency, other options should be considered after a few failed attempts at PIV cannula insertion. Historically, the only available options were a venous cutdown or an emergency central venous catheter (CVC). These options take considerable time and often require the services of a pediatric surgeon.

Intraosseous (IO) needle placement is the most common contingency method of emergency vascular access in children. Mechanical IO introducer devices allow for easier training of emergency medical personnel and have improved the success rate of IO placement in the prehospital setting. With appropriate training, an IO needle can be placed more quickly than a PIV cannula.

In sick neonates, umbilical vessels are frequently cannulated but can be used for only a finite period (maximum of 5 days for an umbilical artery catheter [UAC] and 14 days for an umbilical venous catheter [UVC]).

Early placement of a peripherally introduced central catheter (PICC) is preferable in these infants.

Persistence with using PIV cannulas leads to higher complication rates and reduces the number of future PICC placement sites.

In choosing the appropriate VAD for an oncology patient, the requirements of the oncologist, the patient’s age, expected activity level, expected chance of cure, number of previous VADs placed, and patency of the central veins should all be considered.

The number of lumens, size of the catheter, type of catheter, and its location can all be tailored to the specific patient.

Long-term maintenance of central venous access in patients suffering from intestinal malabsorption is particularly challenging. Once the six conventional sites of central venous access—bilateral internal jugular, subclavian, and femoral veins—are exhausted, one must become more creative in gaining central access.

Complications that are common to all types of VADs are extravasation of infusate, hemorrhage, phlebitis, septicemia, thrombosis, and thromboembolism.

Multiple studies have shown that catheter-related blood stream infections can be prevented with appropriate education and training utilizing insertion and maintenance bundles.

H&A

How well did you know this?
1
Not at all
2
3
4
5
Perfectly
3
Q

What are helpful techniques in peripheral venous access?

A

Insertion of a PIV is the most frequently used method of gaining vascular access. In infants and children, PIV access is usually achieved by using the veins on the dorsum of the hand, forearm, dorsum of the foot, medial aspect of the ankle, and the scalp.

In infants, the median vein tributaries on the ventral aspect of the distal forearm and wrist and the lateral tributaries of the dorsal venous arch on the dorsum of the foot may be available, but typically allow cannulation of only the finest-diameter catheters.

The location of the distal long saphenous vein (anterior to the medial malleolus) is fairly constant and is frequently palpable, making it one of the most popular veins used for PIV access, particularly in infants. It allows a larger catheter and excellent stabilization of the catheter as well.

Scalp veins can be readily visible and accessible, but it can be difficult to maintain access for any length of time.

Similarly, external jugular vein catheters tend to get dislodged promptly in a moving patient and may be useful for only a short time.

Several techniques have been shown to be beneficial in cannulating a peripheral vein, including warming the extremity, transillumination, and epidermal vasodilators.

Ultrasound (US) guidance has been used to obtain access to basilic and brachial veins in the emergency department.

Devices utilizing near-infrared imaging of the veins up to a depth of 10 mm are being used routinely in the hospitals, as well as by emergency medical personnel in the field, to find and access peripheral veins in all age groups. Unlike with US, there is no physical contact with the overlying skin and hence there is no compression or distortion of the veins.

Jet-injected buffered lidocaine has been found to allow venipuncture without pain and without adversely affecting success rate.

Topical application of nitroglycerine ointment has been described in an attempt to improve success in placement of PIV. However, there is no evidence that it helps with placement of the catheter, and it has been shown to be associated with a higher rate of complications.

Significant complications associated with PIV catheters include phlebitis, thrombosis, and extravasation resulting in a chemical burn or necrosis of surrounding soft tissue.

H&A

How well did you know this?
1
Not at all
2
3
4
5
Perfectly
4
Q

What is the ideal location for the tip of the umbilical catheter?

A

Neonates are often managed with catheters placed either in the umbilical vein and/or one of the umbilical arteries.

They can be used for monitoring central venous or arterial pressure, blood sampling, fluid resuscitation, medication administration, and total parenteral nutrition (TPN).

To minimize infectious complications, the UVCs are usually removed after a maximum of 14 days.

These catheters are typically placed by neonatal nurse practitioners or neonatologists and require dissection of the umbilical cord stump within a few hours of birth.

It is possible for the pediatric surgeon to cannulate the umbilical vessels after the umbilical stump has undergone early desiccation.

A small vertical skin incision is made above or below the umbilical stump to access the umbilical vein or artery, respectively. Once the fascia is incised, the appropriate vessel is identified, isolated, and cannulated.

The tip of the UVC should be positioned at the junction of the inferior vena cava (IVC) and the right atrium (RA).

The xiphisternum is a good landmark for the RA/IVC junction.

On the chest radiograph, the tip of the UVC should be at or above the level of the diaphragm.

Electrocardiography and ultrasonography have been shown to be more accurate than plain radiography in positioning the tip accurately.

The tip of the UAC is best positioned between the sixth and tenth thoracic vertebrae, cranial to the celiac axis.

Various calculations have been proposed to estimate the correct length of the catheter before insertion, based on weight and other biometric measures of the infant.

The long-standing argument about the safety of a “high” versus “low” position for the UAC tip has been laid to rest.

The “high” position just described has been shown to be associated with a low incidence of clinically significant aortic thrombosis without any increase in other adverse sequelae.

These umbilical vessel catheters have been associated with various complications. In addition to tip migration, sepsis and vessel thrombosis can occur.

Additionally, UVCs have been associated with perforation of the IVC, extravasation of infusate into the peritoneal cavity, and portal vein thrombosis.

UACs are associated with aortic injuries, thromboembolism of the aortic branches, aneurysms of the iliac artery and/or the aorta, paraplegia, and gluteal ischemia with possible necrosis.

Pooled rates of blood stream infections associated with umbilical catheters and CVCs in level III neonatal intensive care units has improved over recent years.

H&A

How well did you know this?
1
Not at all
2
3
4
5
Perfectly
5
Q

What is the ideal location for the tip of a PICC line?

A

PICC lines provide reliable central venous access in neonates and older children without the need for directly accessing the central veins.

PICC lines are suitable for infusion of fluids, medications, TPN, and blood products.

Many institutions caring for sick children have developed special teams and protocols for placement of PICC lines to reduce variations in practice and increase availability.

The modified Seldinger technique is used most frequently.

A small PIV catheter (about 24 gauge) is first placed, preferably with US guidance, in a suitable extremity vein such as the basilic, cephalic, or long saphenous vein.

A fine guide wire is advanced through the catheter and into the vein, and the initial catheter is removed.

The track is then dilated, and a peel-away PICC introducer sheath is advanced over the guide wire.

The guide wire is then removed, and the PICC line is introduced through the sheath.

The tip of the PICC should be placed at the superior vena cava (SVC)/RA junction or the IVC/RA junction.

Tip locations peripheral to these are considered noncentral and are associated with higher complications.

PICC lines are also eminently suitable for short- to medium-term (weeks) home intravenous therapy of antibiotics or TPN.

The most common complications associated with PICC lines are infections, occlusion, and dislodgement of the catheter.

H&A

How well did you know this?
1
Not at all
2
3
4
5
Perfectly
6
Q

What are options for central venous catheter (CVC) placement?

A

With the development of PICC teams and the increasing use of PICC lines, there has been a decline in the use of CVCs in neonates and older children.

Nontunneled CVCs are used for short- and medium-term indications, whereas surgically placed tunneled CVCs are used for medium- and long-term indications.

In premature neonates, if PICC placement is not successful, tunneled CVCs are preferentially used because of their smaller size and durability as opposed to nontunneled CVCs.

The central veins accessed for placement of CVCs are the bilateral internal jugular veins, subclavian veins, and femoral veins.

In older children and full-term neonates, the percutaneous Seldinger technique is used.

In premature neonates and occasionally in older children, the relevant central vein or one of its tributaries (i.e., common facial vein or external jugular vein in the neck, cephalic vein in the deltopectoral groove, or the long saphenous vein at the groin) is dissected and cannulated.

In some emergency situations, percutaneous femoral vein access may be preferred because the insertion site is away from the activity centered around the head, neck, and chest.

The tip of a CVC placed in the lower body should be positioned at the junction of the IVC and RA, which will ensure prompt dilution of the infusate and likely a lower chance of thrombosis.

Again, the xiphoid process is a good surface landmark to estimate the length of catheter needed.

Radiographically, the tip should be positioned just above the diaphragm.

A CVC placed through an upper body vein should be positioned such that the tip is at the junction of the SVC and RA.

Surface landmarks for this location are less reliable. A point about 1 cm caudal to the manubriosternal junction, at the right sternal border, gives a close estimate to the SVC/RA junction in toddlers and older children.

The lower margin of the third right costosternal junction has been shown to be the best surface landmark in adults for placement of the CVC tip at the SVC/RA junction.

Length recommendations have been made based on a child’s weight for placement of right internal jugular and right subclavian CVCs.

On a chest radiograph, the tip of the catheter should project about two vertebral bodies caudal to the carina.

A tunneled CVC can be left in place for several months to years.

The Broviac and Hickman catheters (Bard Access Systems, Salt Lake City, UT) are made of silicone and are available in various sizes, the smallest being a 2.7-French (Fr) single-lumen catheter.

The catheters have a Dacron cuff that promotes tissue ingrowth, resulting in anchoring of the catheter within the subcutaneous tunnel.

The cuff can be placed close to the exit site of the catheter to facilitate removal by dissection through the exit site.

Placement of the Dacron cuff midway between the venotomy site and the exit site has the advantage of reducing the chance of unintended removal of the catheter.

Use of US guidance for percutaneous central venous access is the standard of care for the internal jugular and femoral sites. The benefits of US assistance include a higher success rate, faster access, fewer needle passes, and fewer arterial punctures.

Real-time two-dimensional US guidance is recommended when placing a CVC into the internal jugular vein (IJV) in adults and children in elective situations.

In a randomized controlled trial, US was shown to be beneficial in IJV catheterization in infants weighing less than 7.5 kg when compared with a US image-based skin surface marking.

During insertion, the US transducer is wrapped in a sterile sleeve, and sterile gel is used to obtain real-time images of the vessel being accessed. Either a short-axis view across the diameter of the vessel or the long-axis view along the length of the vessel is used to visualize the needle approaching and entering the vessel.

A guide wire is then passed into the vessel, followed by Seldinger technique for placement of the CVC.

Because of the proximity of the clavicle, visualization of the subclavian vein is poor with US.

Infraclavicular axillary vein cannulation had a 96% success with US guidance for tunneled CVC placement into the subclavian vein in one study.

Several studies in adults have further validated this approach.

CVCs inserted via an axillary vein have complications similar to those of other central catheters.

The majority of blood stream infections in children are associated with the use of a vascular access device.

Tunneled CVCs inserted in the neck veins in neonates have been associated with a higher rate of complications than those placed in the femoral region. Infection rates were 5.8 (neck) versus 0.7 (groin) per 1000 catheter days in one study.

In another study, urgent CVCs placed in 289 pediatric burn unit patients also resulted in higher infection rates with subclavian and internal jugular CVCs compared with the femoral CVCs (10 and 13.6 vs 8.2 per 1000 catheter days).

This higher infection rate in the neck/upper chest area is thought to be due to the higher nursing and respiratory therapy activity around the head and neck in these patients requiring intensive burn care.

Ethanol lock, in addition to antibiotic therapy, has been shown to be beneficial in salvaging CVCs that become infected. Ethanol lock has also been shown to be superior to heparin lock in preventing catheter infection and loss in children with intestinal failure.

Retained fragments of CVCs after attempted removal has been reported to occur at a rate of 2%. Leaving a ligated fragment of the catheter within the blood vessel is felt to be safer than the alternative, which involves interventional or operative removal.

H&A

How well did you know this?
1
Not at all
2
3
4
5
Perfectly
7
Q

What are the indications for totally implanted central venous catheters?

A

Totally implantable intravascular devices (ports) are subcutaneous reservoirs attached to CVCs.

The reservoirs are made of a metal or hard plastic shell with a central silicone septum that is penetrated for access.

They provide a reliable, long-lasting solution for patients who need intermittent access to their central venous system.

They are ideal for patients who desire to be involved in aquatic sports and other physical activities.

They are most useful for patients with malignancies, coagulopathies, hemolytic syndromes, and renal failure, all of which require continuous vascular access.

Low-profile ports with 5- or 6-Fr catheters are available for use in infants. Larger ports are available with dual lumens. High-flow ports are available (PowerPort-Bard Access Systems, Salt Lake City, UT) that allow high-pressure injection of intravenous contrast for radiologic imaging.

Ports require special noncoring needles to keep the septum from leaking.

The reservoir should be implanted in a subcutaneous pocket, over a firm base such as the chest wall.

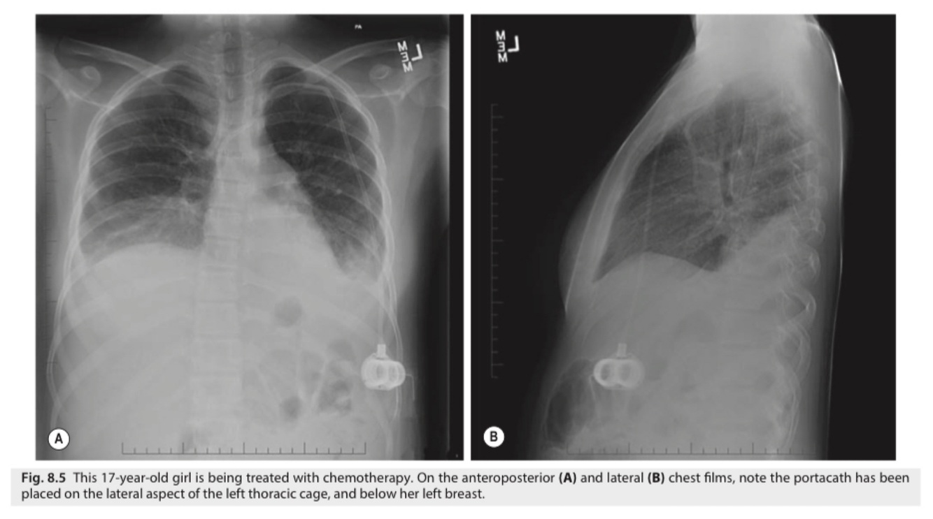
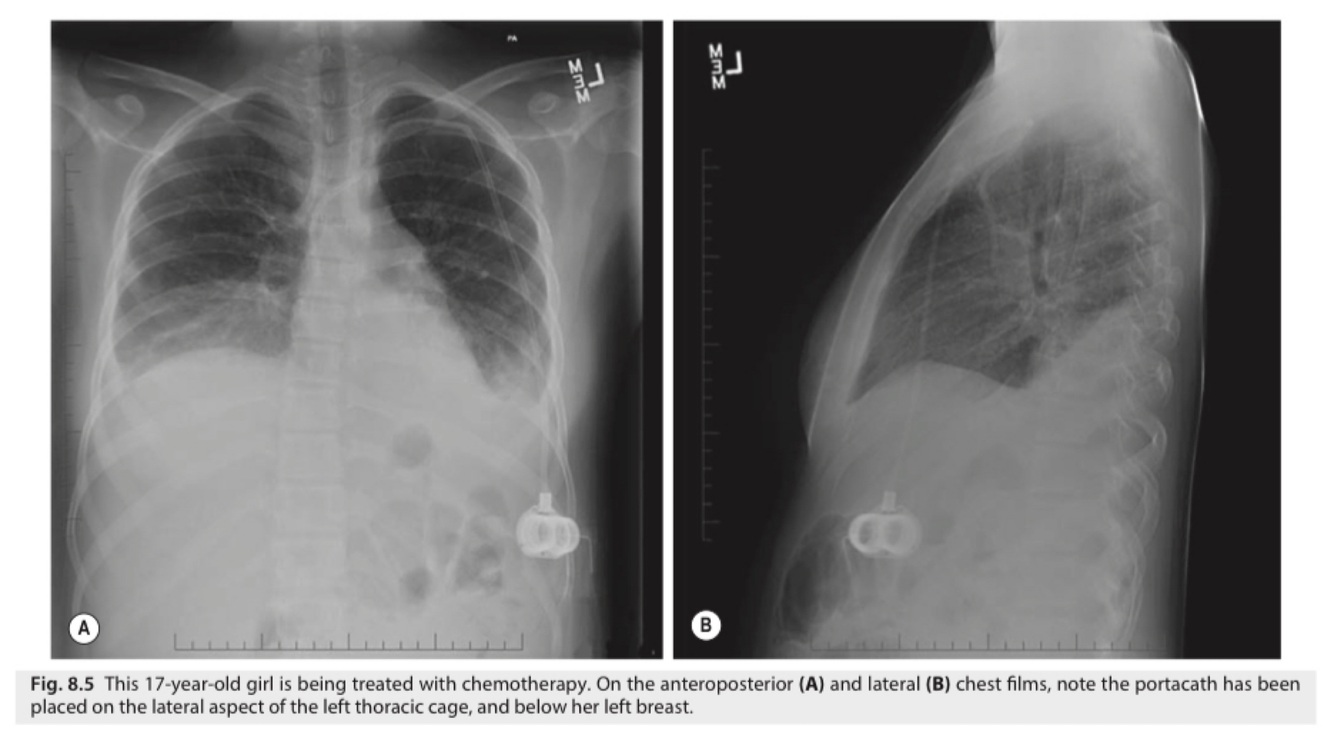
Preferred sites for port placement include the pectoral area, parasternal area, (above and medial to the areola), and the subclavicular area (medial to the anterior axillary fold).

In females with a concern for cosmesis, the low presternum area and the lateral chest wall are locations that hide the scar when the port is eventually removed.

In determining port placement, consideration should be given to the age of the patient, the intended activities, as well as the convenience of the caregivers.

Subclavicular placement will make it easy to access the port with minimal disrobing. In obese girls and young women, it is less likely to get displaced by the highly mobile breast tissue.

The presternal location will provide a very stable foundation for the port, even in the obese child.

When placed over the lower sternum, it can be accessed with opening the front of a button-down top or shirt.

Complications that are unique to a port include an inability to access the port, disconnection of the catheter from the reservoir with extravasation, flipping of the port, fracture and embolization of the catheter, and breakdown of the overlying skin.

Ports have been shown to be associated with lower complications in children undergoing outpatient cancer treatment when compared with PICCs and CVCs.

H&A

How well did you know this?
1
Not at all
2
3
4
5
Perfectly
8
Q

What are indications for totally implantable central catheters?

A

Totally implantable intravascular devices (ports) are subcutaneous reservoirs attached to CVCs.

The reservoirs are made of a metal or hard plastic shell with a central silicone septum that is penetrated for access.

They provide a reliable, long-lasting solution for patients who need intermittent access to their central venous system.

They are ideal for patients who desire to be involved in aquatic sports and other physical activities.

They are most useful for patients with malignancies, coagulopathies, hemolytic syndromes, and renal failure, all of which require continuous vascular access.

Low-profile ports with 5- or 6-Fr catheters are available for use in infants. Larger ports are available with dual lumens.

High-flow ports are available (PowerPort-Bard Access Systems, Salt Lake City, UT) that allow high-pressure injection of intravenous contrast for radiologic imaging.

Ports require special noncoring needles to keep the septum from leaking.

The reservoir should be implanted in a subcutaneous pocket, over a firm base such as the chest wall.

Preferred sites for port placement include the pectoral area, parasternal area, (above and medial to the areola), and the subclavicular area (medial to the anterior axillary fold).

In females with a concern for cosmesis, the low presternum area and the lateral chest wall are locations that hide the scar when the port is eventually removed.

In determining port placement, consideration should be given to the age of the patient, the intended activities, as well as the convenience of the caregivers.

Subclavicular placement will make it easy to access the port with minimal disrobing.

In obese girls and young women, it is less likely to get displaced by the highly mobile breast tissue.

The presternal location will provide a very stable foundation for the port, even in the obese child.

When placed over the lower sternum, it can be accessed with opening the front of a button-down top or shirt.

Complications that are unique to a port include an inability to access the port, disconnection of the catheter from the reservoir with extravasation, flipping of the port, fracture and embolization of the catheter, and breakdown of the overlying skin.

Ports have been shown to be associated with lower complications in children undergoing outpatient cancer treatment when compared with PICCs and CVCs.

H&A

How well did you know this?
1
Not at all
2
3
4
5
Perfectly
9
Q

What are the indications for intraosseous access?

A

Several studies have been published over the past 60 years establishing the safety and effectiveness of IO access for infusion of fluids and medications in children, including neonates.

IO access has also been shown to be faster than access with a PIV and safer than an emergency CVC.

Bone marrow consists of rich lattice network of vessels. Whereas the peripheral veins collapse in patients in shock, the vascular spaces in the bone marrow do not.

The bioavailability of resuscitative drugs administered through IO access has been well established and shown to be better than that of those administered through an endotracheal tube.

The current Pediatric Advanced Life Support (PALS) recommendation is to establish IO access promptly if PIV access cannot be attained rapidly in neonates and children of all ages who need intravenous drugs or fluids urgently.

In children, the long bones of the lower extremities are used preferentially for IO placement. The proximal tibia is the most common site, followed by the distal femur.

With full sterile precautions, a needle designed for bone marrow aspiration is advanced through the cortical bone to access the bone marrow.

In an infant, a spinal needle may be used, but in an older child, a generic bone marrow needle or a purpose-designed IO needle such as the widely used Jamshidi needle (Cardinal Health, McGraw Park, IL) is used.

The anteromedial flat surface of the tibia, 1–3 cm caudal to the tibial tuberosity, is the best site. A small skin incision is made using the tip of a pointed scalpel or a large-bore hypodermic needle. The IO needle is positioned pointing posteriorly and angled slightly caudad. It is then advanced through the cortical bone using a screwing and unscrewing motion with constant pressure.

Once the needle penetrates the outer cortex, a sudden “give” is felt.

The needle is held in this position, and the obturator is removed. A syringe is attached, and bone marrow is aspirated to confirm correct placement.

The IO needle is stabilized with a dressing.

The distal femur location is accessed by placing the needle 1–3 cm cephalad to the patella, and angled slightly cranial to avoid the growth plate.

Contraindications to IO placement include injury or suspected injury to the bone or soft tissue overlying the placement site.

Mechanical devices such as the Bone Injection Gun (BIG, Wasimed, Caesarea, Israel), FAST1 System (Pyng Medical Corporation, Vancouver, Canada), and EZ-IO (Vidacare, San Antonio, TX) have helped expand the use of IO access.

The first two are spring-loaded devices. The FAST1 System is designed for sternal use in adults.

The EZ-IO is a power drill–assisted device that makes IO placement easier in older children and adults.

Early concerns about potential adverse effects on the growth plates of long bones used for IO access have been allayed by animal studies.

The overall complication rate is estimated to be about 1%.

Extravasation of fluid is the most common adverse event.

Compartment syndrome, osteomyelitis, skin and soft tissue infection, bone fractures, and fat embolism, although rare, have also been reported.

H&A

How well did you know this?
1
Not at all
2
3
4
5
Perfectly
10
Q

What is the vessel of choice for venous cutdown?

A

Although the advent and eventual broader acceptance of IO infusion has almost eliminated the need for venous cutdown and reduced the role of emergency placement of CVCs, pediatric surgeons should maintain the knowledge and skills required to perform this procedure.

The vessel of choice is the long saphenous vein near the medial malleolus. The vein is superficial, it is of satisfactory size, and there is minimal subcutaneous fat in this location.

A transverse incision is made anterior and cephalad to the medial malleolus.

The vein is readily identified by dissecting through the thin subcutaneous tissue and is stabilized by placing proximal and distal stay ligatures.

The vein is then directly cannulated using a venous catheter of appropriate size relative to the vein, and the catheter is anchored to the adjacent skin.

H&A

How well did you know this?
1
Not at all
2
3
4
5
Perfectly
11
Q

What are alternative routes for central venous access in children?

A

Maintaining long-term venous access in children with chronic needs such as short-gut syndrome can be quite challenging.

On occasion, the current central venous site can be reused by passing a guide wire through the line that is being replaced.

In situations in which a guide wire cannot be passed, the fibrous sheath around the catheter can be surgically approached similar to a venous cutdown to place a new catheter.

Children who have had multiple previous CVCs can have thrombosis or stenosis of the central veins that precludes successful placement of a new catheter.

Doppler US or magnetic resonance angiography can be used to survey the central veins, including the brachiocephalic vein, the SVC, and the IVC.

When necessary, percutaneous access can be gained via a patent IVC by either a translumbar or transhepatic approach

A tunneled catheter can then be inserted to reach the IVC/RA junction.

Translumbar IVC catheters are quite durable, whereas transhepatic catheters tend to get withdrawn from the vascular space owing to the constant respiratory excursions of the diaphragm.

The brachiocephalic vein, if patent, can similarly be accessed through a suprasternal route.

The azygos vein may be accessed through one of the intercostal veins percutaneously or surgically using a thoracotomy or thoracoscopic assistance.

Direct RA access has been used to manage patients with intestinal failure and occluded central veins for long periods and in cardiac patients in an acute situation.

H&A

How well did you know this?
1
Not at all
2
3
4
5
Perfectly
12
Q

What are indications for intraarterial catheter placement?

A

Intra-arterial catheters allow continuous hemodynamic monitoring and blood sampling.

The radial artery at the wrist is most commonly used for intra-arterial access due to the excellent collateral circulation.

The dorsalis pedis and posterior tibial arteries are other peripheral sites that may sometimes be used.

Femoral arteries are frequently used by cardiologists for catheter-based cardiac interventions and occasionally for monitoring.

However, in general, it is advisable not to use the main artery of an extremity for chronic arterial catheter placement to avoid thromboembolic and ischemic complications.

Adequacy of collateral arterial supply through the ulnar artery should be confirmed before placement of a radial arterial line by using the Allen test.

The right radial artery allows preductal monitoring and sampling.

Percutaneous cannulation is usually successful. If unsuccessful, an arterial cutdown can be performed.

Digital ischemia can result from radial artery catheters.

Thromboembolism can result in limb loss if the axillary, brachial, or femoral artery is catheterized.

Local infections can occur when the catheters are left for several days.

Finally, a pseudoaneurysm can result from injury to the adjacent vein during placement.

H&A

How well did you know this?
1
Not at all
2
3
4
5
Perfectly
13
Q

What is the route of choice for hemodialysis catheters?

A

The current recommendation is to use an autologous arteriovenous fistula (AVF) as the route of choice for hemodialysis.

AVFs permit high-flow rates that facilitate effective dialysis.

They also are reliable, durable, and, once established, have low complication rates.

Because patients are often referred late, and AVFs take time to mature, there is frequently a need for CVCs for immediate dialysis.

Temporary and tunneled long-term, double-lumen hemodialysis catheters are placed preferentially through the right IJV, either percutaneously or by cutdown.

The larger size of the vein and the straight internal path of the catheter allow a larger catheter to be placed safely through the right IJV.

Additionally, use of the IJV avoids possible injury or thrombosis to the SCV, which must be patent to develop a functioning AVF at the wrist.

The longterm, cuffed hemodialysis catheters are precurved to allow right IJV placement with tunneling to the pectoral area.

Flow rates achieved through hemodialysis catheters tend to be lower, and they last a relatively short time.

AVF is also an option for management of young children with severe hemophilia.

H&A

How well did you know this?
1
Not at all
2
3
4
5
Perfectly
14
Q

Which of the following is true regarding the rate of flow through vascular access catheters?

A The rate of flow is governed by the Poisson–Hagen formula.

B The rate of flow through a rigid tube = 8η·L / P·r 4 ·∏

C The greatest flow is achieved with long, wide catheters.

D The length of the catheter has the greatest impact on flow rate.

E Central lines are not the most effective means of rapid fluid administration.

A

E Central lines are not the most effective means of rapid fluid administration.

Flow rate through a tube is described by the Hagen–Poiseuille formula:

P·r 4 ·∏ / 8η·L

where P is driving pressure, r is radius of the tube, η is viscosity of the liquid and L is length of the tube.

Thus the fastest flow can be achieved through a short, wide catheter.

However, the width, not the length, of the catheter will have the greatest impact, as the flow is proportional to the fourth power of the catheter’s radius.

Central lines are long and slim and therefore are not the most effective means of rapid fluid administration.

SPSE 1

How well did you know this?
1
Not at all
2
3
4
5
Perfectly
15
Q

Which of the following is true regarding umbilical arteries?

A A single umbilical artery is found in approximately 5% of neonates.

B They are a continuation of the external iliac arteries.

C They twist around the umbilical vein.

D When fetal circulation ceases, the pelvic portion remains patent as the inferior vesical artery.

E The non-patent obliterated part of the artery becomes the lateral umbilical ligament.

A

C

A single umbilical artery is a rare abnormality, present in only around 0.3% of neonates.

It is associated with an increased incidence of chromosomal and congenital abnormalities.

In fetal circulation, the internal iliac artery is twice the size of the external iliac artery and is a direct continuation of the common iliac artery.

On each side of the body, the umbilical artery, arising from the internal iliac artery, ascends along the side of the bladder, then runs along the underside of the anterior abdominal wall to enter the umbilical cord.

Within the umbilical cord the two arteries twist around the umbilical vein, ending in the placenta.

After birth, the main length of the umbilical arteries becomes obliterated into a fibrous cord called the medial umbilical ligament.

The pelvic portion of the artery remains patent as the superior vesical artery.

SPSE 1

How well did you know this?
1
Not at all
2
3
4
5
Perfectly
16
Q

Which of the following correctly states the infection rate of central venous catheters?

A 1 episode per 1000 catheter days
B 1 episode per 100 catheter days
C 5 episodes per 100 catheter days
D 5 episodes per 1000 catheter days
E 1 episode per 500 catheter days

A

D The infection rate of central lines is 5 episodes per 1000 catheter days.

Up to 60% of central lines become infected, half of which require removal.

The commonest infecting organisms are Staphylococcus aureus and Staphylococcus epidermidis, with gram-negative infections being more prevalent in immunocompromised patients.

SPSE 1

17
Q

Which of the following veins is not suitable for an open technique of central line insertion?

A cephalic
B saphenous
C internal jugular
D subclavian
E femoral

A

D

Open (‘cutdown’) techniques can be used to insert peripherally inserted central catheters (PICCs) into the cephalic and saphenous veins, and central lines into internal jugular and femoral veins.

In addition to these veins, percutaneous insertion techniques can be used on scalp veins and subclavian veins.

SPSE 1

18
Q

Which of the following is not a contraindication to using the intraosseous route?

A bone fracture
B neonate
C older child
D use as long-term access
E previous failed attempt

A

B

Intraosseous needles are useful for emergency access in neonates and young children.

With the intraosseous route, fluid is infused into the non-collapsible venous network of sinusoids within the medullary cavity of the bone.

The most reliable and safe site is 2–3 cm distal to the tibial tuberosity on the flat anteromedial surface of the tibia, as the surface of the bone is close to the skin and there are no nearby vital nerves or vessels to damage.

The tibia cannot be used if there is a fracture in that limb.

An alternative site is the iliac crest.

Intraosseous needles have a high success rate of insertion – 98% – but should not be attempted multiple times in the event of a failed insertion because of the increased risk of complications such as epiphyseal damage and osteomyelitis.

They should not be used for long-term access or non-emergency access, as the risks include fat embolus, osteomyelitis and needle displacement resulting in subperiosteal infiltration or subcutaneous extravasation.

In older children the bone cortex is too thick to be easily penetrated with an intraosseous needle, unless a powered device is used.

SPSE 1

19
Q

Validated techniques to improve the success rate of peripheral intravenous cannulation in the children over the age of one, include all except:

A local warming
B transillumination with fibre-optic ‘cold light’
C transillumination with an otoscope
D Lidocaine with prilocaine topical cream (EMLA)
E topical nitroglycerine (GTN)

A

D

Local warming dilates the arterioles and decreases alpha- 2-adrenergic vasoconstriction, improving the success of cannulation.

Transillumination with cold-light fibre optics is commonly used to good effect but the user should be aware of the rare complication of burns.

Transillumination using an otoscope has been shown in the emergency department setting to increase the success rate of venous access with a reduction in number of events.

EMLA cream causes local reaction in up to 50% of patients including erythema or oedema and irritation. It may improve patient compliance, but has no direct effect on the vasculature.

GTN positively affected venous dilatation, choice of cannulation site and ease of cannulation, in a double-blinded trial of 104 children aged between 1 and 11 years.

SPSE 1

20
Q

With reference to pericardial effusion and cardiac tamponade associated with central venous catheters, the following are true except:

A present chiefly in neonates and infants

B peripherally inserted central catheters are associated with a decreased risk

C managed with prompt withdrawal of the central venous catheter

D managed with pericardiocentesis

E can present with hypotension

A

B peripherally inserted central catheters are associated with a decreased risk

There is evidence that peripherally inserted central catheters are associated with an increased risk of cardiac tamponade and pericardial effusion, particularly soon after birth.

A 10-year review demonstrated no occurrence in patients over 3 weeks of age.

Prematurity is a risk factor with reported mean gestational age of 30–33 weeks at birth. This is thought to be due to thin cardiac tissue associated with small premature infants.

A study in 2005 identified five occurrences in patients less than 1500 g due to the peripherally inserted central catheter.

Prompt recognition of signs, which include cardiac arrest, increased respiratory rate or oxygen requirements, tachycardia or hypotension, followed by line removal and pericardiocentesis is a highly effective therapy.

SPSE 1

21
Q

When inserting a percutaneous central venous catheter the following are true except:

A The right side is preferable due to avoidance of the thoracic duct.

B The patient should be placed in reverse Trendelenburg’s position for the subclavian or internal jugular veins.

C It should be noted that the subclavian vein position is more cephalad in younger children.

D Gentle negative pressure should be applied during needle insertion.

E. Accessing the femoral vein is aided by inguinal compression over the femoral vein.

A

B

The thoracic duct enters at the junction of the left subclavian and left jugular veins.

In the infant population, placing the patient in reverse Trendelenburg’s position (head up) increases the cross-sectional area of the femoral vein by 15%.

When combined with inguinal pressure over the femoral vein, this increases by 30%.

Trendelenburg’s position (head down) for subclavian and internal jugular veins similarly increases the cross-sectional area and also minimises risk of cerebral air embolism.

Gentle negative pressure is recommended during needle insertion so that the vein does not collapse during venepuncture.

In infants, the subclavian vein was found to have a significant superior arch as it coursed centrally, that was more apparent on the right.

The horizontal position of the sub clavian vein that is seen in adults does not become evident until over 12 months of age.

SPSE 1

22
Q

In a haemophilia patient undergoing central vascular access, which of the following is false?

A Factor VIII levels should be optimised preoperatively.

B Most catheters tend to be removed, as they are no longer needed.

C Complications requiring catheter removal include infection, blockage, line fracture, inability to access the port and pain.

D Factor VIII inhibitors are associated with more catheter complications.

E Even when the device has to be removed for complications, most patients and carers opt for the insertion of a further device.

A

B

Catheter-related complications are the most common reason for removal of central venous catheters in patients with haemophilia.

These include (in reducing incidence): infection, blockage, catheter fracture, inability to access port and pain. optimisation of factor VIII levels (above 100%) preoperatively with a bolus and subsequent infusion maximises success of the insertion procedure.

This can prevent even the slightest bruising around the wounds, a suspected nidus of infection particularly in inhibitor-positive children.

Inhibitors are associated with a 67% increase in infections, and most infected devices need to be removed for successful treatment.

The formation of antibodies against factor VIII inhibits replacement therapy and is the most serious treatment-related complication faced by patients with haemophilia.

The majority of patients and carers will opt for reinsertion of another implantable device after removal because of complication.

This is very likely related to the trauma of repeated peripheral access procedures, and the overall satisfaction with implantable devices.

Overall, the salient features of successful outcome when inserting an implantable venous access device in children with haemophilia are
(a) a robust protocol for catheter insertion,
(b) the management of the catheter and
(c) the timing of administration of factor VIII.

SPSE 1

23
Q

With reference to central venous catheter–related complications, the following are true, except:

A Passing the guide wire while monitoring the electrocardiogram rhythm strip (to observe for rhythm disturbances to indicate that the guide wire is in the heart) is a safe practice.

B Air embolism should be suspected in severe hypotension with a normal electrocardiogram tracing.

C Phrenic nerve paresis has a worse prognosis in neonates.

D Too medial insertion of subclavian lines should be avoided.

E Pneumothorax should not be a fatal complication.

A

A

There are several reports of dysrhythmias in children, secondary to guide wire placement, requiring medications and/or cardioversion for correction.

Guidewires can also be associated with direct cardiac injury and perforation despite their relatively soft tip.

The typical finding in air embolism is severe hypotension with a normal electrocardiogram tracing.

The classic ‘millwheel’ murmur, a loud churning sound as the air mixes with the blood in the right ventricle in the setting of an air embolism, may be heard but is transient.

In larger children, phrenic nerve paresis is much better tolerated and typically resolves within 1–3 years.

In pre-term infants with phrenic nerve paresis, weaning from ventilation can be problematic and respiratory function can dramatically worsen with inadequate diaphragm function.

Too medial insertion of subclavian lines may lead to ‘pinching’ between the clavicle and first rib.

Pneumothorax should not be a fatal complication because it is a well-known complication and is easily controlled with a tube thoracostomy. There has been only one reported death.

SPSE 1

24
Q

Which of the following statements is incorrect with regard to Hickman and Broviac catheters?

A The internal diameter of a 6.6Fr single lumen catheter is twice that of a 2.7Fr single lumen catheter.

B They have a tissue ingrowth cuff that takes 2–4 weeks to take effect.

C They are radio-opaque.

D They can be placed in the right atrium.

E They can be removed by simple traction alone.

A

D

The internal diameter of a 6.6Fr single lumen catheter is 10 mm.

The internal diameter of a 2.7Fr single lumen catheter is 5 mm.

Tissue grows into the Dacron cuff after 2–4 weeks.

These catheters are radio-opaque but the small-sized catheters may require water-soluble contrast during radiological screening to determine the current position.

These catheters are not right atrium catheters.

The preferred position is at the junction of the superior vena cava and the right atrium.

There are several documented methods of catheter removal, dependent on whether the catheter is sutured internally at the cuff site or at the vessel insertion site.

Catheters may be removed by simple traction without dissecting the cuff unless it is retained post removal.

SPSE 1

25
In children with difficult peripheral access, which of the following is not correct? A Clinical studies show that only 53%–76% of children are successfully cannulated on the first attempt B Blood products can be given via the intraosseous route. C Subcutaneous absorption of isotonic fluids can be accelerated by the concomitant administration of hyaluronidase. D Fluid given via the subcutaneous route can be used in emergency situations. E Similar serum drug levels are achieved with both intravenous and intraosseous routes.
D Studies have demonstrated that only 53%–76% of children are successfully cannulated on the first attempt. Approximately 5%–33% require more than two attempts to achieve intravenous access. The intraosseous route allows for the rapid delivery of a variety of drugs, crystalloid solutions and blood products. Human recombinant formulation of hyaluronidase has been approved for use as an adjunct to accelerate subcutaneous fluid and drug administration. It is an enzymatic spreading agent and early evidence indicates that it is safe and effective in children with mild and moderate dehydration. Subcutaneous administration of fluid is not recommended in emergency situations, as systemic absorption is significantly reduced by compromised peripheral perfusion. Similar serum drug levels are achieved with intraosseous and intravenous routes. There is evidence that drug delivery may be faster than via an intravenous route. SPSE 1
26
Which of the following statements is incorrect with regard to positioning of central venous catheters? A A left femoral venous catheter should cross the midline. B Common malpositions include the contralateral subclavian vein and the ipsilateral internal jugular vein. C Catheter tip position can be elicited with fluoroscopy, ultrasound scan or a lateral cross-table radiograph. D Risk of severe allergic reaction to intravenous contrast injection should not be a barrier to performing contrast injection for determining central line placement. E A postoperative chest X-ray can help prevent complications.
E A femoral venous catheter placed in the left side should be demonstrated to cross the midline to sure that it is in the inferior vena cava rather than a lumbar or other non-central vein. A retrospective review of 11 306 paediatric patients demonstrated an incidence of 0.18% of acute allergic reaction. Only three patients had a severe reaction. Many institutions routinely use fluoroscopy intraoperatively to ascertain catheter tip position. A limitation of anterior–posterior radiographs/fluoroscopy is that only a two-dimensional view is obtained. This may be addressed with a lateral cross-table radiograph. Sonography has been used to used determine catheter position, especially in the context of trapped central lines. Although routine chest radiographs immediately post-insertion can be used to verify the position of the catheter, there is no evidence that they can help prevent complications. SPSE 1
27
Which of the following advanced paediatric life support statements with regard to venous access is incorrect? A Surface anatomy of the saphenous vein of an infant is half a finger’s breadth superior and anterior to the medial malleolus. B Surface anatomy for tibial intraosseous infusion is the anterior surface, 2–3 cm below the tibial tuberosity. C Surface anatomy for femoral intraosseous infusion is the anteromedial aspect, 3 cm above the medial condyle. D The femoral vein lies medial to the femoral artery. E The external jugular vein can be seen passing over the sternocleidomastoid muscle at the junction of its middle and lower thirds.
C The saphenous vein of an infant is half a finger’s breadth superior and anterior to the medial malleolus. In small children, this is found one finger’s breadth away. Surface anatomy for tibial intraosseous insertion is as stated. For femoral insertion, the landmark is the anterolateral aspect, 3 cm above the lateral condyle. The femoral vein lies medial to the femoral artery (‘VAN’ – from medial to lateral: vein, artery, nerve). The external jugular vein passes over the sternocleidomastoid at its middle and lower thirds. Digital pressure over the lower end above the clavicle stabilises and distends this vein. SPSE 1
28
Which of the following is true regarding the tip position of peripherally inserted central venous catheters (PICCs) in neonates? A Catheter tip angulation or looping is strongly associated with cardiac tamponade. B The ideal tip position is in the right atrium. C Cardiac tamponade is generally well tolerated. D Migration of the catheter tip occurs in 1% of all PICCs. E All of the above.
A Approximately 25% of neonatal unit admissions will undergo PICC placement. Distal catheter angulation, curvature or looping as well as right atrial tip placement are all strongly associated with cardiac tamponade. Cardiac tamponade leads to death in 44% of such cases unless pericardiocentesis is performed. Migration of line tips after initial placement and securing occurs in approximately 10% of cases and is usually distal in nature. Recommendations for PICC placement in neonates include the following: ● use PICCs only when there is a clear indication. ● Do not place tips in the right atrium; tips should be in either the superior or inferior vena cava. ● Perform regular radiographs to identify migration. ● Withdraw any migrated lines from the right atrium. ● Train staff to perform pericardiocentesis for acute collapse when initial resuscitation fails. SPSE 1
29
When deciding which vascular access device to insert, the following should be taken into account except: A the child and carer’s wishes B the length of treatment required C the need for regular blood tests D a history of previous vascular access procedures E the child’s age.
D Most children admitted for surgery will have some form of vascular access during their admission. This ranges from peripheral venous cannulation to emergency intraosseous cannulation in a resuscitation setting. Working together with the child and parents and keeping them informed during the process of vascular access will ensure more success. When given all the options, the older child who enjoys swimming may choose an implantable vascular access device (VAD) rather than an external tunnelled line, for instance. The duration of treatment is important and generally PICCs will suffice when therapy extends from 7 days to several months. Peripheral access will suffice for shorter durations and either tunnelled or implanted, subcutaneous VADs should be considered for therapy beyond 6 months. Double-lumen tunnelled lines will be appropriate if frequent blood tests are required, whereas an implantable device is ideal when access is less frequent, e.g. once a week. A history of previous vascular access is important in choosing which site to use, and which technique to use in the event of thrombosed veins. It should not have any bearing on the choice of which device to use. The child’s age is important, e.g. when choosing implantable ports. A smaller child with little or no subcutaneous tissue would be at risk of port erosion. Equally a larger teenager with thick subcutaneous tissue would not be suitable for a port as needle access would be difficult or impossible. SPSE 1