What are the small vessel vasculitides?
Henoch-Schoenlein purpura, Cryoglobulinemic vasculitis, ANCA vasculitides (Wegener, Churg-Strauss, Microscopic Polyangiitis)
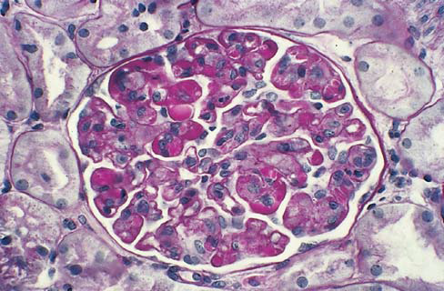
The kidney biopsy of the glomerulus below is of a patient with Cryglobulinemic vasculitis. What are the observable characteristics of this specimen?

Conspicuous glassy aggregates (“hyaline thrombi”) in the capillary lumina
What disease does cryoglobulinemic glomerulonephritis resemble?
Type I MPGN
What renal diseases does HSP mimic?
IgA nephropathy
What are the arteridites?
Polyarteritis nodosa, Kawasaki disease
What are the larger artery vasculitides? Describe the major effect that they have on the kidney.
Giant Cell Arteritis, Takayasu Arteritis; Narrowing main renal artery results in renal ischemia and hypertension
A kidney of a patient with hypertensive nephrosclerosis is shown. What accounts for the cortical granularity? Hypertensive nephrosclerosis IA kidney of a patient with hypertensive nephrosclerosis is shown. What accounts for the cortical granularity? Hypertensive nephrosclerosis IA kidney of a patient with hypertensive nephrosclerosis is shown. What accounts for the cortical granularity?

Sclerotic glomeruli and atrophic tubles cluster adjacent to preserved glomeruli and tubules
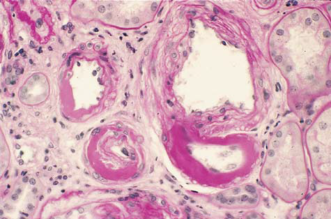
Hypertensive sclerosis is shown. What are the characteristic findings?

Arterioles exhibiting concentric hyaline thickening of the wall (hyaline arteriolosclerosis)
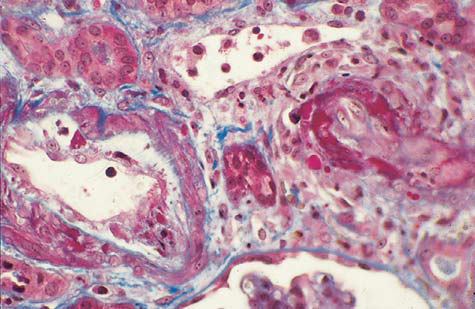
Malignant Hypertension is shown. What are the typical findings?

Fibrinoid necrosis, consolidation, and capillary congestion
Describe the typical patient with malignant HTN
Young black men
Describe the general mechanism of degradation caused by malignant HTN
High BP + uvascular vasoconstriction, cause endothelial injury as blood slams into narrowed vessels resulting in plasma constituents leaking into injured arteriolar walls (fibrinoid necrosis)
What is Goldblatt kidney?
Kidney deprived of vascular supply
Which renal artery is more commonly affected by atherosclerotic plaques?
Left
By what mechanism do Takayasu’s and Giant Cell Vasculitis cause HTN?
Narrow the renal arteries, cause renal HTN, increase renin release…
How does fibromuscular dysplasia result in HTN?
Results in narrowing of renal artery due to fibrous and muscular deposition
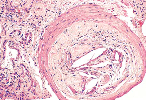
Renal atherosclerosis is shown. What is seen in the cleft? What can it cause?

Cholesterol cleft atheroembolus; Ischemia and acute renal failure
What is the mechanism of hemolytic-uremic syndrome leading to renal ischemia??
Endothelial damage allows plasma constituents to enter the intima of arteries, walls of arterioles, and subendothelial zone of glomerular capillaries, narrowing lumina and causing ischemia. Endothelial damage also promotes thrombus formation
What causes typical HUS?
Toxin from the O157:H7 strain of E. coli
What is Thrombotic thrombocytopenic purpura?
Acquired or genetic deficiency in protease used to cleave multimers of vWF resulting in platelet aggregation and uvascular thrombosis and potentially ischemia and renal failure
What do both HUS and TTP result in?
Uangiopathic hemolytic anemia
What are the differences betwixt HUS and TTP?
TTP is characterized by more numerous platelet-rich thrombi
Describe the presentation and course of a patient with typical HUS
Diarrhea caused by O157:H7 E. Coli features MAHA, acute renal failure w/ little vascular disease outside of the kidney
What is the most common cause of acute renal failure in children?
HUS
What is the term used to describe HTN, proteinuria, edema, and convulsions in the third trimester?
Eclampsia