What are the layers of arteries?
endothelium (tunica intima)
smooth muscle (tunica media)
fibrous connective tissue (tunica adventitia)
What are the types of vascular disease?
arterial diseases
venous diseases
lymphatic diseases
vascular tumors
congenital anomalies
What are the categories of arterial diseases?
arteriosclerosis
aneurysm
vasculitis
functional arterial disease
fibromuscular dysplasia
What is vasculitis?
inflammation of and damage to blood vessels
vessel damage leads to ischemia (usually predominates)** **or aneurysm which compromises end-organ function
heterogenous - many etiologies, many manifestations
What are causes of secondary vasculitis?
infection
drugs
malignancy
connective tissue disease (lupus or progressive systemic sclerosis)
What are do the primary vasculitides have in common?
autoimmune etiology
inflammation of the vessel wall often leads to necrosis or aneurysmal formation
vessel wall inflammation -> occlusion or aneurysm -> end organ dysfunction
constitutional symptoms (fever, weight loss, malaise, anorexia, fever)
What are the subclassifications of vasculitis?
large vessel
medium-sized vessel
small vessel
What are the large vessel vasculitis?
Giant Cell Arteritis
Takayasu’s Arteritis
What are the medium-sized vessel vasculitides?
Polyarteritis Nodosa
Kawasaki disease
Thromboangiitis Obliterans
What are the small vessel vasculitides?
Immune Complex Mediated
ANCA-associated
What is the classic presentation of giant cell arteritis (aka temporal arteritis)?
patients > 50 yrs, men more than women
extracranial arteries, temporal is common
classic presentation: fever, anemia, high ESR, headaches
other common manifestations:
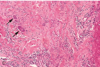
How is the diagnosis of giant cell arteritis confirmed?
temporal artery biopsy
granulomatous inflammation - can see giant cells in vessel walls, which gives the arteritis its name

What is the treatment for giant cell arteritis?
high-dose steroids such as prednisone
What is the classic presentation of Takayasu’s Arteritis?
women < 50
asian descent
constitutional symptoms first (fever and weight loss) before clinical manifestation of clinical symptoms
involves ascending aorta and immediate branches
“pulseless disease” (decrease in peripheral pulse)
end-organ blood supply can also be affected (neurologic symptoms, claudication, or pulmonary hypertension)
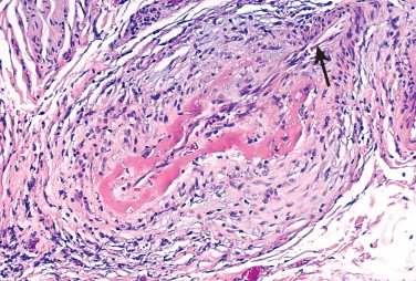
What are the histological findings of Takayasu’s Arteritis?
histology is the same as temporal arteritis
giant cells are present
inflammation across all 3 layers of artery

What is the treatment for Takayasu’s Arteritis?
steroids
cytotoxic agents
anaotmic correction of stenosis - stents or bipass if needed
What are the common clinical findings of Polyarteritis Nodosa?
often middle-aged patients
small-medium sized muscular arteries
skin manifestations such as cutaneous nodules
Mononeuritis Multiplex (people have peripheral neuropathies because of involvement of arteries associated with no central nerve identifiable)
Renal: hematuria
30% associated with Hep B
GI manifestations: abdominal pain
What are the phases of Polyarteritis Nodosa?
acute phase - transmural inflammation and fibrinoid necrosis
chronic phase - fibrous wall thickening
stages can coexist!

What is the treatment for Polyarteritis Nodosa?
corticosteroids and cyclophosphamide
What is the common presentation of Kawasaki Disease?
young children (less than 4)
T-cell delayed hypersensitivity
endothelial antibodies precipitating acute vasculitis
Classic Pentad: fever, conjunctivitis, strawberry tongue, cervical lymphadenitis, desquamative rash
can lead to MI or death
What are the risks of leaving Kawasaki Disease untreated?
risk of coronary artery ectasia and aneurysms
What is the treatment for Kawasaki Disease?
high dose aspirin
100 mg/kg/day
intravenous immunoglobulin
What are the general features of Thromboangiitis Obliterans (Buerger’s Disease)?
medium-small arteries
very cellular, inflammatory thrombus with relative vessel wall sparing
young heavily smoking males
can involve nerve and vein
very segmental - leads to symptoms of claudication
tibial and radial arteries most involved
can lead to rest limb pain, ulcerations, and gangrene
What are the classic symptoms of Thromboangiitis Obliterans?
rest pain
instep claudication
Raynaud’s Phenomenon
Limb ischemia
superficial thrombophlebitis