All of these ANCA-associated vasculitides affect small- to medium-sized blood vessels and tend to be associated with the presence of autoantibodies to antigenic proteins normally present in the granules of neutrophils (name 3)
GPA, MPA, EGPA
Clinical signs of this disease of the large vessels includes 3 out of 5 of the following:
Giant cell arteritis
*ESR is the rate at which red blood cells sediment in a period of one hour. It is a common hematology test, and is a non-specific measure of inflammation.
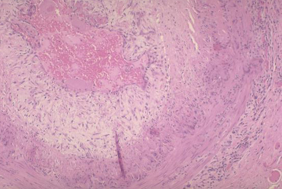
This disease may cause visual loss, jaw claudication (pain due to ischemia) and scalp tenderness - histo looks like this:

Giant cell arteritis
treatment for giant cell arteritis?
corticosteroids (+ bisphosphonates to preserve bone density)
name the disease:
polyarteritis nodosa (PAN
*this is a medium vessel vasculitis and it tends to affect larger rather than smaller vessels (ie, HTN more common than GN)
patients presenting with this disease may have sinusitis, pneumonitis (nodules that cavitate), and antibodies to proteinase 3; renal involvement in 85% of patients
granulomatosis with polyangitis (GPA)
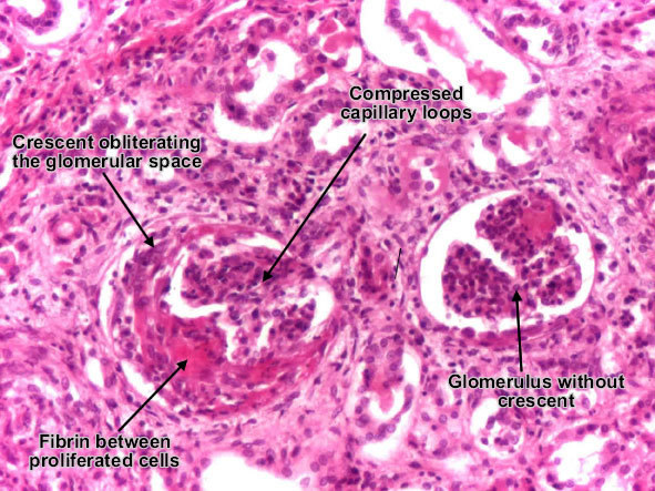
*note the classic crescentic glomerulonephritis

asthma is the cardinal feature of this vascular disease, in 90% of patients; neuropathy and sinus involvement is also very common
eosinophilic granulomatous polyangitis (EGPA)
Though it is not a sensitive or specific serologic test, in eosionphilic granulomatous polyangitis _-ANCAs are found against _______.
P-ANCA; myeloperoxidase
a rare disease that is characterized by rapidly progressing GN and weight loss, sometimes with pulmonary hemorrhage, and is sometimes associated with P-ANCA
microscopic polyangitis (MPA)
this drug caused mortality in vasculitides to drop from 90% to 5% and is used therapeutically to induce remission
cyclophosphamide
*toxicity is a concern
this is a disease of young people with small vessel involvement and classically presents with:
IgA vasculitis
this is the most common systemic vasculitis in children (ages 3-15) and up to half of cases are preceded by URI
IgA vasculitis
therapy for IgA vasculitis?
corticosteroids; prednisone in the event of renal disease
Which of these is NOT one of the 4 classic clinical manifestations of Henoch Schonlein Purpura (IgA vasculitis)?
A. Purpura
B. Abdominal pain
C. Renal involvement
D. Pneumonitis
E. Arthritis/Arthralgia
D
Which of the following organ systems is NOT commonly involved in PAN?
A. Renal
B. Neurologic
C. Pulmonary
D. Musculoskeletal
C.
Pulmonary system involvement is characteristic of GPA.