Types of vasculitis are organized by. . .
. . . the size of the blood vessels affected by the pathology

Vasculitis diagram: Where is the inflammation?

“Large” blood vessels
The aorta and its major branches
Medium blood vessels
Visible to the naked eye or by angiography, often named arteries that branch off of the “major” central arteries.
Small blood vessels
Arterioles, capillaries, and venules
Microscopic
Etiologies of large vessel vasculitis
Etiologies of medium vessel vasculitis
Etiologies of small vessel vasculitis
Organs selectively affected by small vessel vasculitis and corresponding symptoms
Organs affected by medium vessel vasculitis and associated symptoms

Livedo
Organs affected by large vessel vasculitis and associated symptoms
Specific lab tests are available to test for ___.
Specific lab tests are available to test for small vessel vasculitis, but not medium or large vessel vasculitis.
Small vessel vasculitis may be due to an underlying ___.
Small vessel vasculitis may be due to an underlying connective tissue disease.
Tests for small vessel vasculitis
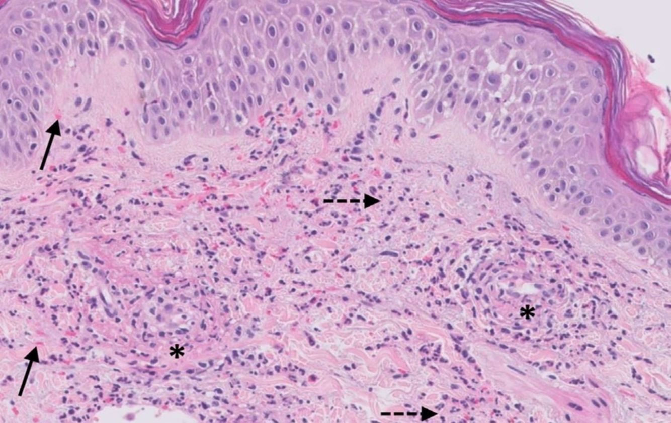
Leukocytoclastic vasculitis

Small vesse vasculitis on H and E. Note the asterix in the vessel wall and extravasated RBCs (the histological equivalent to the finding of non-blanching erythema)
Asterix
Firboid necrosis in a vessel wall
Anti-neutrophil cytoplasmic antibodies (ANCA)
Indirect immunofluorescence test for ANCA

Three phenotypes of ANCA
____ is central to ANCA
NETosis is central to ANCA
NETosis model for ANCA

Role of DNAse I in ANCA
Impaired DNAse I activity leads to NET persistence following physiological NETosis. This leads to some damage which is then associated with anti-PR3 and anti-MPO antibody development. These ANCAs then activate further NETosis via FcγRI binding.
The cycle goes on.