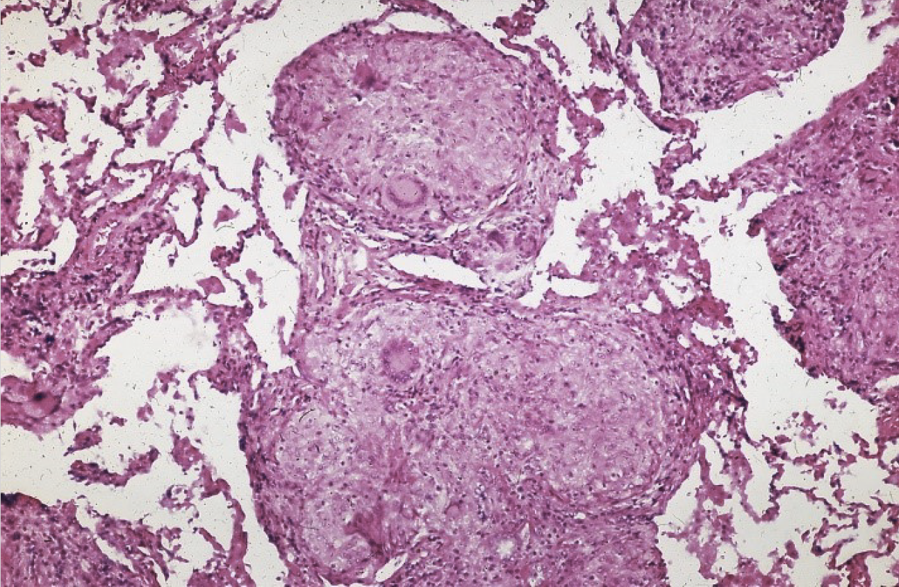
19v88
Mann, 28 år, dataingeniør. Tidligere frisk, ingen medisiner. Relativt akutt syk med feber, influensalignende symptoler, tørrhoste, smerter i ledd. Fikk etter hvert ømme, røde flekker på leggene. Røntgen thorax viste forstørrede lymfeknuter i hilus. Som ledd i utredningen ble det gjort bronkoskopi med biopsier.
Hva er den mest sannsynlige diagnosen?

19v106
En 30 år gammel kvinne presenterer seg hos fastlegen med nyoppdaget arteriell hypertensjon og nedsatt allmenntilstand. Ved utredning har hun et blodtrykk på 185/105 mm Hg og serum kreatinin på 250 μmol/L (60-105 μmol/L) (eGFR 21). Urin stix: Blod +++, protein ++. Urinmikroskopi viser rød blodcellesylindre (se bildet).
Hvilken diagnose er mest sannsynlig?


20v90
En 75 år gammel kvinne blir henvist fra fastlegen etter en episode med blodig oppkast. Pasienten følte seg dårlig og har hatt _svart avføring i flere dage_r. På sykehuset (referanseverdi i parantes):
Pasienten fikk endoskopisk hemostase av et magesår, etter to uker var kreatinin 275 μmol/L, eGFR 14 mL/min.
Hvilken årsak til nyreskade er mest sannsynlig?
20v46
Du er fastlege for en 30 år gammel mann som har ileostomi_._ Han ble kolektomert grunnet ulcerøs colitt for 3 måneder siden. Det som nå plager han, er et smertefullt sår på magen. Det startet som ei lita kvise, og har i løpet av to uker raskt økt i størrelse. Ved undersøkelse finner du like ved stomiåpningen en ulcerasjon på 3 cm i diameter med lilla misfarget sårkant, underminering og nekroser sentralt. Det du ser av granulasjonsvev er hissig rødt, og lettblødende.
Hva er mest sannsynlig diagnose?

