Ventricle CSF Flashcards

(18 cards)

1
Q

Where is the majority of the CSF produced?

A

Lateral Ventricle (65%)

How well did you know this?
1
Not at all
2
3
4
5
Perfectly
2
Q

What layer of the BBB controls entry of NTs?

A

Endothelium

How well did you know this?
1
Not at all
2
3
4
5
Perfectly
3
Q

What layer of the Blood-CSF barrier controls passage of substances?

A

Choroid cells

How well did you know this?
1
Not at all
2
3
4
5
Perfectly
4
Q

The Interventricular Foramen of Monroe is located between what ventricles?

A

Lateral Ventricle and 3rd ventricle

How well did you know this?
1
Not at all
2
3
4
5
Perfectly
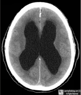
5
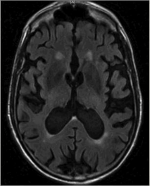
Q

What is this?

A

Communicating hydrocephalus at the level of lateral ventricle

How well did you know this?
1
Not at all
2
3
4
5
Perfectly
6
Q

Where is the blockage in a communicating hydrocephalus?

A

After it exits ventricles, most commonly at level of arachnoid villi

How well did you know this?
1
Not at all
2
3
4
5
Perfectly
7
Q

75y/o male patient presents with progressive gait apraxia, memory loss, and urinary incontinence for the past few months most likely has what kind of hydrocephalus?

A

Chrnoic communicating hydrocephalus

How well did you know this?
1
Not at all
2
3
4
5
Perfectly
8
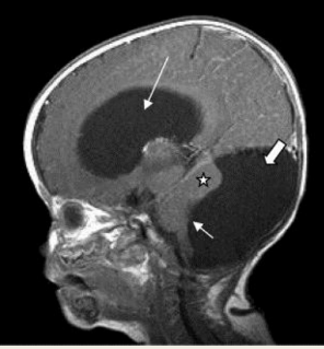
Q

What is this?

A

Hydrocephalus Ex-Vacuo

How well did you know this?
1
Not at all
2
3
4
5
Perfectly
9
Q

Why would a patient with hydrocephalus ex-vacuo have enlarged cerebral ventricles and subarachnoid spaces?

A

More CSF to make up for loss of brain matter (atrophy, schizophrenia, traumatic brain injury) => maintain ICP

How well did you know this?
1
Not at all
2
3
4
5
Perfectly
10
Q

What ventricles would be enlarged in Aqueductal stenosis?

A

Lateral and 3rd Ventricles

How well did you know this?
1
Not at all
2
3
4
5
Perfectly
11
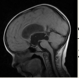
Q

What is this?

A

Aqueductal Stenosis

How well did you know this?
1
Not at all
2
3
4
5
Perfectly
12
Q

Infant pt presents with enlarged head and decreasing consciousness. On exam, he has papilledema and difficulty looking up. What might this patient have?

A

Aqueductal stenosis

How well did you know this?
1
Not at all
2
3
4
5
Perfectly
13
Q

What is gliosis?

A

Change in glial cells in response to damage

(Damage to CNS may cause narrow aqueduct => Increased pressure in ventricle => increased shear stress through aqueduct => increased damage => increased blockage)

How well did you know this?
1
Not at all
2
3
4
5
Perfectly
14
Q

MRI shows enlarged 4th ventricles and cerebellar hypoplasia, as well as enlargement at the base of the skull in the posterior fossa. What disease process is this?

A

Congenital brain malformation

Dandy Walker Malformation

How well did you know this?
1
Not at all
2
3
4
5
Perfectly
15
Q

What is this?

A

Dandy Walker Malformation

How well did you know this?
1
Not at all
2
3
4
5
Perfectly
16
Q

What occurs in a Chiari II malformation?

A

Displacement of medulla, 4th ventricle, and cerebellar vermis through the foramen magnum

Lumbosacral myelomeningocele

Hydrocephalus

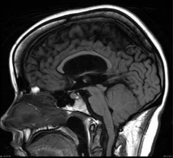
17
Q

What is happening in this image?

A

Chiari II Malformation (displacement of medulla, 4th ventricle, cerebellar vermis)

18
Q

3 y/o male presents with HA, morning N/V that gets worse, clumsiness/ataxia, decreased activity. What is the most likely hydrocephalus?

A

Acquired hydrocephalus (Medulloblastoma)