VENTRICULAR SYSTEM AND DEVELOPMENT
i) what are they continous with?
ii) which part of the neural tube becomes the ventricles and central canal?
iii) which layer lines the ventricles and central canal?
iv) label structures A-D
v) at what embryonic day do the ventricles develop?

i) continuous with the subarachnoid space and central canal of the spinal cord
ii) lumen of the neural tube > ventricles and central canal
iii) ependymal layer lines the ventricles and central canal
iv) A = ectoderm
B = neural crest cells
C = ependymal layer
D = lumen of neural tube
v) embryonic day 24
DEVELOPMENT OF THE VENTRICLES
i) what end of the lumen expands to form the ventricles?
ii) which secondary brain vesicles surround the
a) lateral ventricle
b) third ventricles
c) fourth ventricle
iii) at what embryonic day does this expansion happen?
iv) label the diagram

i) the cranial end
ii) a) lateral = telencephalon
b) third ventricle = diencephalon
c) fourth ventricle = metencephalon and myencephalon
iii) expansion happens at embryoic day 36
iv) A = telencephalon
B = diencephalon
C = mesencephalon
D = metencephalon
E = myelencephalon
LATERAL VENTRICLES
i) how many are there?
ii) what four parts are they divided into? which brain area does each occupy?
iii) what colour would the ventricles be on a T1 weighted MRI?
iv) label diagram A-C
v) what structure seperates the bodies of the lateral ventricles?
v) what structure sits in the roof?
vii) what structure sits in the lateral wall?
viii) what structure sits in the floor of the inferior horn?

i) two
ii) divided into body (parietal), anterior (frontal), posterior (occipital), inferior horn (temporal)
iii) on T1 weighted MRI ventricles will be black as liquid is black
iv) A = anterior horn
B = posterior horn
C = body
v) septum pellucidum seperates the lateral ventricles
vi) corpus callosum sits in roof
vii) caudate nucleus sits in the lateral wall
viii) hippocampus sits in the floor of the inferior horn
what are structures labelled A & B?

A = caudate nucleus
B = hippocampus
INTERVENTRICULAR FORAMEN
i) which two ventricles does this allow communication between?
ii) what is it also known as?
iii) label A-C on diagram

i) communication between lateral and third ventricles
ii) aka foramen of monro
iii) A = lateral ventricles
B = third ventricle
C = interventricular foramen
THIRD VENTRICLE
i) what does it look like on imaging?
ii) what structure sits in the lateral wall and which forms the roof?
iii) label structures A-C

i) slit like cleft
ii) thalami sit in the lateral wall and the fornix sits in the roof
iii) A = thalamus
B = fornix
C = third ventricle
i) label the diagram
ii) what can G be subdivided into?

A = fornix B = septum pellucidum
C = corpus callosum
D = caudate nucleus
E = hippocampus
F = thalamus
G = lentiform nucleus
ii) Lentiform nucleus is mde up of the putamen and globus pallidus
CEREBRAL AQUEDUCT
i) what ventricules does this allow communication between?
ii) what is it also known as?
iii) what brain area is it anatomically surrounded by?
iv) label the diagram

i) communication between the third and fourth ventricle
ii) aka he aqueduct of sylvius
iii) surrounded by the midbrain
iv) A = third ventricle
B = fourth ventricle
C = cerebral aqueduct
FOURTH VENRTICLE
i) what brain area is it surrounded by?
ii) which structres lay posterior, anterior and lateral?
iii) which structures lay superior and inferior?
iv) what two things is it continuous with?
v) label picture A-G

i) surrounded by the hindbrain
ii) posterior = cerebellum
anterior = pons and medulla
lateral = cerebellar peduncles
iii) superior = sup medullary velum
inferior = inf medullary velum
iv) continous with the central canal of the spinal cord and the sub arachnoid space
v) A = midbrain
B = pons
C = medulla
D = cerebral aqueduct
E = sup medullary velum
F = fourth ventricle
G = inf medullary velum
FOURTH VENTRICLE COMMUNICATION
i) how may foramen exit into the sub arachnoid space?
ii) what are the names of these foramen?
iii) what structure do they communicate with?
iv) label diagram A-D

i) three
ii) 2x foramen of luschka (lateral)
1x foramen of magendie (middle)
iii) communicate with the cisterna magna
iv) A = colliculi
B = cerebellar peduncles
C = foramen Luschka
D = foramen Magendie
CHOROID PLEXUS
i) how does it produce CSF? (which arteries are involved)
ii) where is it found?
iii) describe its structure - what type of epithelium surrounds it?
iv) describe the 2 stage process of CSF production
v) label diagram A & B

i) filters blood from branches of the internal carotid and basilar arteries
ii) found throughout the ventricles
iii) very simple structure - capillary network surrounded by cuboidal epithelium
iv) 1) blood filtered through holes in fenestrated capillaries
2) components transported through cuboidal epithelium in the walls of the capillaries then into the ventricles
v) A = choroid plexus in the lateral ventricle
B = choroid plexus in the third ventricle
STRUCTURE OF THE CHOROID PLEXUS
i) label the diagram A-C
ii) what type of connections are found between the epithelial cells? name two functions of these
iii) what do the epithelial cells form?

i) A = connective tissue core
B = fenestrated capillaries
C = cuboidal epithelium
ii) tight junctions
1) prevent macromolecules entering the CSF
2) permeable to water and CO2
iii) ep cells + TJs form a blood CSF barrier
CUBOIDAL EPITHELIUM IN THE CHOROID PLEXUS
i) what type of specialised cells are they?
ii) what is present on the surface? whats the function of this?
iii) what is their main role?
iv) what is exchanged in and out of the CSF?
v) what % of CSF is produced by the choroid plexus? where is the rest produced?
i) specialised ependymal cells
ii) villi present on the surface to increase surface area
iii) main role is to actively transport/facilitated diffusion CSF components
iv) bidirectional transport = uptake of metabolites from CSF to the capillaries
v) 60% is produced by the choroid plexus and the rest of produced by other sites in the brain parenchyma
CSF COMPOSITION
i) how are the differences between CSF and plasma maintained?
ii) which two ions is CSF low in?
iii) is there high or low protein in CSF?
iv) are there many cells in CSF?
v) what does the composition of CSF allow?
i) maintained by active transport processes
ii) low in K+ and Ca2+
iii) low protein in CSF
iv) very few cells in CSF
v) composition is ideal for physiolgical functioning of neurons
CSF CIRCULATION WITHIN VENTRICLES
i) what is the sequence of CSF flow from
lateral ventricle > cisterna magna?
ii) once out of the ventricles where does the CSF go? describe sequence
iii) how does the CSF get absorbed back into the circulation? (how does it enter sinuses, where do these ultimately drain?)
iv) does much CSF pass through the central canal in adults? why?
i) lat ventricle > interventricular foramen
third ventricle > cerebral aqueduct
fourth ventricle > foramen luschka and magendie > cisternal magna
ii) CSF passes out the ventricles into the sub arachnoid space via the cisterna magna
iii) CSF gets absorbed by:
- flows over the cerebellum/cerebral hemispheres
- absorbed into venous sinuses eg superior saggital sinus through arachnoid granulations
- sinuses drain into the internal jugular vein
iv) not much CSF passes through the central canal as it is usually blocked in adults
CSF CIRCULATION
i) label diagram A-D

A = arachnoid granulation B = superior saggital sinus C = cerebellum/cerebral hemispheres D = cisterna magna
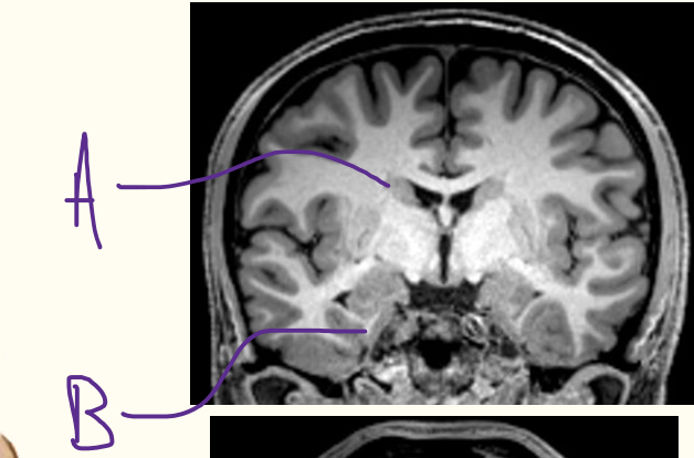
SUB ARACHNOID SPACE
i) which two meningeal layer does it lay between?
ii) what does it follow?
iii) name two reasons it is important to have CSF in contact with the brain parenchyma
iv) on what type of MRI does fluid appear white? what does this allow you to see?
v) label diagram A-C

i) sits between pia and arachnoid
ii) follows the contours of the brain
iii) important for CSF to contact brain parenchyma due to
1) transfer of micronutrients into the brain
2) removal of metabolites
iv) T2 weighted - allows you to see gyri and sulci as they are bathed in CSF
v) A = lateral ventricle
B = fourth ventricle
C = cisterna magna
ARACHNOID GRANULATIONS & ABSORPTION OF CSF
i) which meningeal layer do they project through and where do they terminate?
ii) is there higher pressure in the subarachnoid space or the venous sinus? what does this allow and what does it consequently prevent?
iii) what cause the arachnoid granulations to close off and wha do they now act as?
iv) what conditions must be present for the arachnoid granulations to be open? (pressure)
i) project through the dura mater and terminate in the venous sinuses (especially superior saggital and transverse venous)
ii) higher pressure in the SA space than the venous sinus which allows CSF to move from the gran to the sinus
- prevents pooling of blood in the SA space
iii) the granulations close off if venous pressure exceeds CSF pressure and they then act as one way valves
iv) for the granulations to be open there must be higher pressure in the SA space compared to the sinuses
CSF VOLUME
i) how many ml of CSF is produced a day? how many ml/min?
ii) what is the total volume of CSF in the system at any one time?
iii) how is excess CSF absorbed?
i) produce 500ml per day (0.35ml per min)
ii) total vol of CSF in system is approx 140ml
iii) excess CSF is absorbed through arachnoid granulations
MAIN FUNCTIONS OF CSF
name the four principle functions of CSF and explain
1) hydraulic buffer to cushion the brain against trauma = mechanical protection
2) Removes metabolites from CNS
- move from pia > CSF > arach granulations > sinus
3) Maintains a stable ionic environment for neuronal function
- neurons are bathed in CSF
4) transport of neurotransmitteres and chemicals
- NT can be made in one part of the brain and needed in another part
COLOUR OF CSF IN DISEASE
i) what colour is CSF normally?
ii) what is another name for yellow colour?
iii) what does yellow/pink/orange CSF indicate? why?
iv) what does cloudy/turbid CSF indicate? why?
v) how is CSF sampled? what is the specific site/spinal level it is taken from?
vi) why is it taken from a lower level in children?
i) normally a clear and sterile fluid
ii) yellow colour = xanthocromia
iii) yellow/pink/orange = subarachnoid haemorrhage
- due to lysis of RBCs and Hb release
iv) cloudy/turbid = bacterial meningitis/some kind of infection
- increased leucocytes which is indicative of infection
v) sampled by lumbar puncture by putting a needle into the lumbar cisterna (no spinal cord)
- L3/4 in adults
- L4/5 in children
vi) the skeleton grows slower than the spinal cord so the sp cord may be at a lower level (therefore sample lower to avoid sp cord)
HYDROCEPHALUS
i) what is it?
ii) what three things lead to HC?
iii) how is intracranial pressure affected? what does this cause?
iv) give five symptoms? what may be the earliest symptom?
v) what are the two broad categories of hydrocephalus?
i) water in the brain which causes dilation of brain ventricles
ii) 1) blocked CSF circulation
2) impaired absorption
3) over secretion
iii) intracranial pressure is increased which causes pressure on surrounding tissue which affects neurological function
iv) headaches, vomiting, vision disturb, papilledema (swelling of optic disk), seizurre, balance problems
- headache may be earliest symptom
v) can be congenital or acquired
NON COMMUNICATING HYDROCEPHALUS
i) what is the primary cause? give three reasons that may cause
)ii) what does this lead to in relation to CSF circulation around the brain
iii) what causes the dilated ventricles?
iv) what is the mainstay of treatment? does this fix the cause?
i) primary cause is blockage within the ventricular system
due to tumour, cysts, stenosis (narrowing of ceb aqueduct)
ii) leads to CSF not being able to circulate over the surface of the brain
iii) CSF cant exit the ventricular system therefore ventricles become dilated
iv) treatment = insert a shunt between lateral ventricle to abdo cavity to reduce ICP
- this doesnt fix the cause
HYDROCEPHALUS
i) what type of hydrocephalus is being represented by the pictures?
ii) is the MRI T1 or T2 weighted?
iii) explain the treatment shown

i) non communicating hydrocephalus
ii) T2 weighted as fluid is white
iii) shunt from lateral ventricle to abdomen to decrease ICP