You see an 8-month old kitten with the effusive form of feline infectious peritonitis and perform euthanasia. The kitten was having severe diarrhea around the house when it became ill. The owner has a 2 year old cat at home and wants to know what this cat’s prognosis is since it has been exposed to the sick kitten. Currently this cat is clinically healthy. What do you tell her?
(A) Place the cat on L-lysine to prevent or suppress any infection with FIP
(B) You recommend a coronavirus titer to determine it the cat is actively infected
(C) Feline infectious peritonitis is not contagious and because her other cat died of FIP does not mean this cat will succumb to the disease
(D) Her other cat may develop symptoms within the next two weeks because FIP is highly contagious
(E) Perform a PCR on the cat’s feces to see if the virus is being shed
(C) Feline infectious peritonitis is not contagious and because her other cat died of FIP does not mean this cat will succumb to the disease
Oral administration of which of these drugs has been implicated as a cause of esophageal strictures in cats?
Diazepam
Doxycycline
Potassium bromide
Azithromycin
doxycycline.
There is also evidence that clindamycin can cause stricture formation. For this reason, it is recommended that after pilling a cat with doxycycline, it is followed with a small volume (5-10 ml) of water.
A 10-year old German Shepherd presents to you with the complaint of licking the anal area and scooting. On examination, you find numerous ulcerated tracts in the perianal area that are draining purulent fluid. What is the diagnosis?
Clostridial colitis
Anal sac abscess
Anal sac impaction
Perianal fistula
Perianal Fistula.
This is seen mainly in older German Shepherds, and licking the anus is a common presenting complaint.
The key finding is the presence of multiple draining tracts in the perianal region that can actually be quite deep.
In January you examine a group of dairy calves which range in age from 2 to 7 months, with a complaint of hair loss and pruritus. The calves are thin and mucous membranes are pale. One has developed bronchopneumonia, and is also febrile and depressed. You do a skin scraping and find the parasite shown in the image, which your technician identifies as Hematopinus sp. The CBC shows the calves to be severely anemic. What treatment recommendation should you now make to the dairy owner?
Treat all calves with hematinics
Treat all calves for lice
Vaccinate all calves against Mannheimia hemolytica
Treat all calves for mange
Treat all calves with long acting tetracycline

Treat all calves for lice
An 8-week old Abyssinian cat recently obtained from a cattery presents to you for an examination and the owner reports that the cat has had diarrhea. On fecal float, you find multiple eggs like the one shown in the photo (see image). What should you treat the cat with?
Praziquantel (Droncit)
Pyrantel (Strongid)
Metronidazole (Flagyl)
Amoxicillin and clavulanate (Clavamox)
Selamectin (Revolution)
Sulfadimethoxine (Albon)
Sulfadimethoxine (Albon)
Explanation
This is an image of Isospora from a cat. Isospora are parasitic coccidia that can cause diarrhea as this cat is showing. Treatment for coccidia is usually with sulfonamides such as sulfadimethoxine or trimethoprim sulfa.
For the other drugs listed:
Droncit- Primarily for cestodes (tapeworms)
Revolution- For fleas, heartworms, hookworms, roundworms, and ear mites
Strongid- Primarily for roundworms and hookworms
Clavamox- A broad spectrum antibacterial
Metronidazole- Primarily for anaerobes, also used for giardia
A 10-year old female spayed Siamese cat presents for a new lump the owner found a month ago. She was spayed last year before she was adopted from the shelter. The owner states that the lump has grown over the last month, and it doesn’t seem to bother the cat. On exam, the 2 cm lump is located on the left 2nd mammary gland, and no other lumps are noted. The lump is freely moveable, and chest radiographs are clear. What is the chance that this tumor is malignant?
85%
20%
50%
5%
85%
70-90% of all feline mammary tumors are malignant. Spaying a cat before 6 months of age reduces the risk for mammary tumors by 7 fold.
The statistics for dogs is a 50:50 chance of malignancy for a single mammary mass.
A 6-year old intact male domestic short haired cat presents with acute onset exophthalmos of the right eye in the past 2 days. He is painful on palpation around his eye and head. The eye can be retropulsed with minimal resistance. He has not been eating in the past day and has a rectal temperature of 103.4F (39.7 C). What is the most likely diagnosis?
Anterior uveitis
Orbital neoplasia
Retrobulbar abscess
Glaucoma
Retrobulbar abscess
The answer is a retrobulbar abscess. Acute, painful exophthalmos is usually due to retrobulbar abscessation. These lesions are usually painful and may be swollen. These animals are frequently systemically ill with fever and leukocytosis. Causes of retrobulbar abscesses include penetrating wounds, foreign bodies, spread from dental or sinus infection, and hematogenous spread. Glaucoma does not cause exophthalmos, although, chronically it can cause buphthalmos which may appear similar. Anterior uveitis also does not cause exophthalmos.
You are working with a farmer who is having trouble with calves between the age of 2 weeks and 6 months. They are alert, but weak, dyspneic and die suddenly. On necropsy they have pale cardiac and skeletal muscles. What is the farmer’s problem?
Lightning strike
Selenium deficiency
Sorghum toxicity
Copper deficiency
The correct answer is selenium deficiency.
The pale muscle and clinical signs are classic for vitamin E and selenium deficiency. This is important to remember! Other things that should be on your differential list for this case include cardiotoxic plants.
What is the main mode of transmission for feline leukemia virus?
Shedding of virus via feces
Fomite transmission
Aerosol transmission
Shedding of virus via saliva
shedding of virus via saliva.
The main mode of transmission is via saliva. It requires prolonged, close contact. Cats may shed the virus for months to years. Transmission may also occur through reuse of instruments and blood. Virus is shed in saliva, tears, urine, and feces.
Dr Corrigan = Nice cats that groom each other
Coat color and sun exposure likely predisposed this cat to developing the tumor seen in the photo.
Basal cell tumor
Mast cell tumor
Melanoma
Squamous cell carcinoma
Squamous cell carcinoma
Explanation
The correct answer is squamous cell carcinoma. White cats or cats with areas of white fur on the face or ears are predisposed to developing squamous cell carcinoma from UV light. These lesions are usually ulcerative and appear around the nose, ears, or eyelids.
A 2-year old Quarter Horse presents for intermittent muscle fasciculation followed by weakness. What condition should you suspect?
Tetanus
Grass tetany
Stringhalt
Myotonia
Hyperkalemic periodic paralysis
The correct answer is hyperkalemic periodic paralysis (HYPP).
HYPP is seen in Quarter Horses due to a point mutation in a key part of a skeletal muscle sodium channel subunit. This results in elevation of the resting membrane potential to increase the likelihood of depolarizing. Excess concentrations of potassium can result in failure of the sodium channels to inactivate. Therefore, treatment is directed at decreasing dietary potassium.
Several beef cows present with a history of decreased appetite and excessive salivation. On physical exam, their tongues are firm on palpation, nodular, and painful (see image). You diagnose actinobacillosis. What is your recommendation to the owner?
The correct answer is to change feed and begin treatment of the animals affected with woody tongue, as the response is often good. Sodium iodide and antibiotics are effective. Given the presentation and clinical signs these animals have probably begun to ingest very rough and stemmed (scabrous) feed items which have injured their mouths. Upon injury, the normal inhabitant Actinobacillus lignieresii invades the soft tissues and causes the characteristic woody tongue granulomatous inflammation.
These animals don’t have rabies, and there is no need to cull them. Change feed before additional animals are affected. Do not use aminoglycosides as they have an extremely long withdrawal period.
A 13-year old spayed female Miniature Poodle presents with two mobile, soft, well-circumscribed, subcutaneous sternal masses, 3 cm and 6 cm in diameter, respectively. The owner had noticed one mass three months previously. Fine needle aspiration of both masses is performed and smears are prepared. A representative field of both specimens is illustrated below (Wright’s 20X). What is your diagnosis?
Lipoma
Fungal granuloma
Mesenchymal neoplasia (sarcoma)
Mast cell tumor
Explanation
The cells depicted are well-differentiated adipocytes. These cells are large, appear in aggregates or sometimes singly, and contain fat that stains negatively with Wright’s, such that the cytoplasm appears clear. The cells possess a small, round or ovoid, pyknotic nucleus that may be compressed and located in the periphery of the cell. This benign tumor is a lipoma, which is common in dogs. If the mass hinders the animal, it may be removed surgically. Infiltrative lipomas, and their malignant counterpart, liposarcomas, are less common.
When sampling for cytology, frequently the first indication that a lipoma has been aspirated is the clear, oily appearance of the material ejected from the aspiration needle onto the slide. Care must be taken while staining to ensure that the material does not wash off the slide, as fat does not adhere readily to the glass surface.
Note: Gentle heat fixing of greasy material to a slide may be of benefit in keeping adipose cells adherent to slides during staining. This can be accomplished by holding a slide over a Bunsen burner or lighter or gentle heating on a heating tray/bar for a few seconds so that the side opposite to that containing the cellular material is slowly warmed. The slide must be left to cool completely before staining. Slides coated with poly-l-lysine, which are used for Papanicolaou staining and/or increased adherence of tissue sections to slides, are also helpful in promoting cellular adherence and eliminating loss of cells during staining.
Sometimes, local fat will be aspirated and cannot be reliably differentiated from the adipose cells of a lipoma. If there is any doubt as to the presence of a discrete mass, surgical removal with histological evaluation is recommended.
What is a common side effect of xylazine administration in cats?
Anuria
Polycythemia
Vomiting
Miosis
Seizures
correct answer is vomiting. Xylazine frequently causes vomiting in cats. In fact, veterinarians use Xylazine when they wish to induce emesis in cats. It can also cause decreased PCV, mydriasis, and diuresis.
A 5-year old indoor/outdoor male neutered short hair presents for a wound on the chest. The owner noticed a hole in the skin and thought he had a ruptured abscess. On close examination of the wound, you notice a larva inside the hole. Which organism is most likely under the skin?
Culicoides
Cuterebra
Ctenocephalides
Ancylostoma
Cuterebra is a fly that lays its eggs on soil or plants. The eggs stick to the animal’s fur when they come into contact. The eggs hatch, and the larvae either penetrate the skin, are ingested when the animal grooms, or they enter the animal’s body through a natural opening, such as the nose.
In most cases, the larvae migrate to areas just under the skin on the head, neck, or trunk of the animal. In dogs, cats, and ferrets, who are not the usual hosts of this parasite, the larvae may also migrate to the brain, eye, eyelids, or throat.
As the larva grows under the skin, it produces a nodule or swelling. A small opening develops in the skin, through which it breathes. A small amount of drainage may occur around this breathing hole.
The treatment is to incise the skin if needed to remove the larva. You have to make sure to remove the larva in whole and not crush it. If it is damaged or crushed, it can cause an anaphylactic reaction.
Ctenocephalides is a flea, Ancylostoma is the hookworm, and Culicoides are tiny gnats that most often bother horses and livestock.
You go to a ranch to evaluate the sudden death of a bull. There is black, bloody discharge from all orifices. There is incomplete rigor mortis despite being dead for a day. What is your most likely diagnosis?
Grass staggers
Moldy sweet clover toxicity
Anthrax
Tetanus
Botulism
Anthrax
Antrax is caused by Bacillus anthracis. The black blood from the orifices, incomplete rigor mortis, and acute death is very characteristic of the disease in cattle. Lesions occur in the reticuloendothelial system and vasculature. Do not perform a necropsy on the animal as you would potentially release spores into the environment. You should notify the authorities if you suspect the disease.
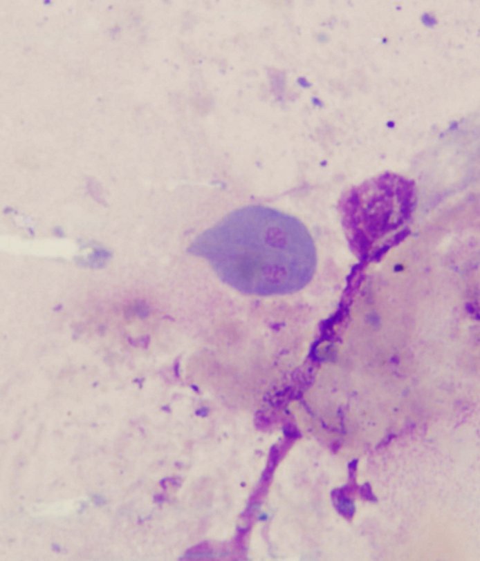
A 5-month old female cat presents to you for weight loss, chronic diarrhea and steatorrhea. The organism seen in a stained fecal smear is shown in the image below (this is a magnified 40X image, the organism is approximately 15 x 8 um). Which treatment is most appropriate?
Fenbendazole
Tylosin
Sulfadimethoxine
Penicillin
The organism is Giardia which can be recognized as a trophozoite with two nuclei outlined by adhesive discs. Giardia should be distinguishable from trichomonads which have a single nucleus and an undulating membrane.
The best treatments for Giardia are either fenbendazole or metronidazole.
Which of the following zoonotic pathogens is most likely to be acquired via raw goat milk?
Bacillus anthracis
Brucella melitensis
Brucella abortus
Clostridium difficile
Brucella suis
B. melitensis is a severe pathogen in humans, as are B. abortus from cattle, B. suis from pigs and B. canis from dogs.
A budgerigar is showing signs of squamous metaplasia of the oral mucosa, conjunctiva, and upper airways. It has developed associated bacterial sinusitis (see image). In a pet bird, what are these clinical signs most suggestive of?
Hypovitaminosis A
Hypovitaminosis D
Iodine deficiency
Hypocalcemia
Hypervitaminosis D
The correct answer is hypovitaminosis A. The functions of vitamin A are related to epithelial maintenance, vision, and skeletal development. In birds, problems with the skeleton or vision are rarely seen with vitamin A deficiency. Vitamin A deficiency can manifest as squamous metaplasia of the oral mucous membranes or glands. Glands may be entirely converted to squamous epithelium with keratin material and can look like abscesses or pustules but are essentially keratin cysts. They should be differentiated from lesions of pox, Candida, and Trichomonas. Lesions of the conjunctiva, nasolacrimal duct, upper GI tract, and upper respiratory tract can occur. Presenting signs may include severe dyspnea or respiratory signs.
A 4-year old domestic short haired male cat presents for an acute onset of vomiting and anorexia of one day duration. On physical exam you note the cat is depressed and approximately 5% dehydrated. Radiographs show an abnormally increased amount of plication of the small intestines. What is your most likely diagnosis?
Pancreatitis
String foreign body
Lymphoma
Panleukopenia
Hepatic lipidosis
The correct answer is string foreign body.
The radiographic description is classic for string foreign bodies. Panleukopenia is not likely because of the radiographic findings, and you would also expect more systemic signs such as respiratory disease and fever. With pancreatitis cats do not vomit as commonly as dogs. They usually show vague nonspecific signs. Hepatic lipidosis would not result in an acute onset of vomiting.