Vet Prep Flashcards

(53 cards)

1
Q

A horse presents to you with a corneal ulcer. You are concerned because it appears to be infected, as shown in this image. You perform cytology and find gram negative rods. What is the most likely organism infecting the corneal ulcer in this horse?

  1. E. coli
  2. Pseudomonas
  3. Pasteurella Multocida
  4. Staphylococcus spp.
A

pseudomonas

The correct answer is Pseudomonas. Pseudomonas is the most common agent causing bacterial keratitis in the horse. The gram negative cytology provides further evidence that it is the likely culprit. Staphylococcus can cause keratitis in horses but is gram positive. E. coli and Pasteurella are not agents that are commonly involved with keratitis in the horse.

How well did you know this?
1
Not at all
2
3
4
5
Perfectly
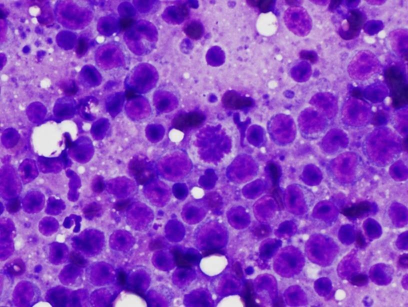
2
Q

A 7-year old female Lhasa Apso presents to you for lethargy and inappetence. On your exam, you detect mandibular lymphadenopathy and perform a fine needle aspirate. You see the aspirate depicted here. Which of these treatments would be given to this patient as part of a first line therapy?

A. Carboplatin
B. Itraconazole
C. Prednisone
D. Doxycycline
E. Milbemycin

A

Prednisone

This is a case of lymphoma. The cytology depicts the classic finding of a population of lymphoid cells that are predominantly lymphoblasts based on their size and characteristics. If you were unsure about their size due to magnification, there is a neutrophil in the lower left corner for comparison. The lymphoblasts are considerably larger than the neutrophil. Mature lymphocytes would be smaller than a neutrophil. Note that there is a mitotic figure in the middle of the slide.

There are many treatments and protocols for lymphoma and some of the main agents known to have efficacy are prednisone, doxorubicin, cyclophosphamide, vincristine, L-asparaginase, and lomustine. There are many other efficacious chemotherapeutics for lymphoma but carboplatin is not considered a first line treatment for lymphoma in dogs.

The other drugs listed are antifungal (itraconazole), antibiotic (doxycycline) and anti-parasitic (milbemycin).

How well did you know this?
1
Not at all
2
3
4
5
Perfectly
3
Q

A 6-year old female spayed English Pointer presents for lethargy and weight gain. The owner notes that the dog is eating and drinking a normal amount, but the dog is still gaining weight. A physical exam reveals weak pelvic limbs, facial nerve paralysis, a symmetrically patchy haircoat, and seborrhea. Lab work reveals a normocytic, normochromic anemia with a PCV of 29% (35-57%), lipemic serum, and cholesterol of 1090 mg/dl (135-278 mg/dl). What is the most likely diagnosis?

A. Adrenal dependent hyperadrenocorticism
B. Hypothyroidism
C. Pituitary dependent hyperadrenocorticism
D. Hyperthyroidism

A

Hypothyroidism

The correct answer is hypothyroidism. The clinical signs, physical exam findings, and lab work abnormalities are classical for hypothyroidism. Other common abnormalities seen with hypothyroidism include pyoderma, neuromuscular signs (ataxia, knuckling, vestibular signs, etc), markedly elevated triglycerides, and a mild normocytic, normochromic anemia. Hyperthyroidism rarely occurs in dogs. You would expect to see polyuria, polydipsia, and polyphagia with hyperadrenocorticism.

How well did you know this?
1
Not at all
2
3
4
5
Perfectly
4
Q

A 10-year old male castrated cat that you have previously diagnosed with hyperthyroidism presents to you for acute onset of blindness. You perform an ophthalmic exam and note retinal hemorrhage. What diagnostic test should you perform first?

A. Coagulation times
B. Total T4 levels
C. Serum BUN and creatinine
D. Free T4 levels by equilibrium dialysis
E. Blood pressure

A

Blood Pressure

The correct answer is blood pressure. Cats with hyperthyroidism are likely to develop hypertension. If this is severe enough (>180-200 mmHg systolic), they can be at risk for acute retinal detachment or hemorrhage resulting in blindness. Prompt resolution of the hypertension is critical to prevent further damage to the eye and other organs.

How well did you know this?
1
Not at all
2
3
4
5
Perfectly
5
Q

Which of these nerve blocks is used to examine the eyes of a horse?

A. Corneal nerve block
B. Trigeminal nerve block
C. Oculomotor nerve block
D. Auriculopalpebral nerve block

A

Auriculopalpebral nerve block

The correct answer is auriculopalpebral nerve block. Blocking this branch of cranial nerve VII (facial nerve) disrupts the motor innervation to the orbicularis oculi, which is the muscle that closes the eye. In the horse, this muscle is very strong and can prevent a thorough ocular exam. To perform this block, lidocaine is injected subcutaneously at the caudal aspect of the zygomatic arch where the nerve is palpable. Because this is a motor nerve, the eye will not be able to close as well, but there is no anesthesia of the tissue

How well did you know this?
1
Not at all
2
3
4
5
Perfectly
6
Q

A 6-year old male neutered Weimaraner presents for right forelimb lameness. Radiographs are shown below and show a mixed productive and destructive lesion affecting the right distal radius with accompanying soft tissue swelling. The lesion does not cross the joint. What is the most common primary bone tumor in the dog?

A. Chondrosarcoma
B. Osteosarcoma
C. Hemangiosarcoma
D. Fibrosarcoma
E. Multiple myeloma

A

Osteosarcoma

The correct answer is osteosarcoma. Chondrosarcoma, fibrosarcoma and hemangiosarcoma can all be primary bone tumors but are much less common in dogs than osteosarcoma.

Annotations:
Yellow: Amorphous periosteal proliferation
Orange: Geographic lysis and expansile appearance of the mid-radius
Blue: soft tissue swelling

How well did you know this?
1
Not at all
2
3
4
5
Perfectly
7
Q

Which of these are used in the minor cross match for blood products when looking for a compatible blood donor for a dog?

A. Recipient red blood cells, recipient plasma
B. Recipient red blood cells, donor plasma
C. Donor red blood cells, donor plasma
D. Donor red blood cells, recipient plasma

A

Recipient Red Blood cells, donor Plasma

The correct answer is recipient red blood cells, donor plasma. In a minor crossmatch, you are looking to see if the factors in the plasma of the donor are going to react to the recipient’s red blood cells.

How well did you know this?
1
Not at all
2
3
4
5
Perfectly
8
Q

A 6-month old cat presents for having ptyalism and for being underweight. On physical examination, you note a bright copper color to the cat’s iris bilaterally. What is this suggestive of?

A. Portal systemic shunt
B. Polycystic kidney disease
C. Toxoplasmosis
D. Hemolytic anemia

A

Portal systemic shunt

The correct answer is a portal-systemic shunt. Ptyalism is a sign commonly seen with PSS in cats but not dogs, and the copper-colored iris is a striking and almost pathognomonic finding in conjunction with other clinical findings. Hemolytic anemia could cause icterus but not the change in iris color. Animals with polycystic kidney disease would not have a copper-colored iris. Toxoplasma can cause ocular signs such as uveitis but would not have a copper iris.

How well did you know this?
1
Not at all
2
3
4
5
Perfectly
9
Q

A 10 year male castrated German Shepherd dog presents for an acute onset of ptosis, drooping of the lip, and drooping of the cheek all on the left side. What nerve has been damaged?

A. CN V
B. CN VII
C. CN III
D. CN VI

A

CN VII

The correct answer is CN VII. This is the facial nerve which is responsible for motor of the facial muscles as well as sensation in the ear and lacrimation. CN V is mostly responsible for sensation. CN III is the oculomotor nerve and serves in movement of the eye. CN VI is also involved in movement of the eye.

How well did you know this?
1
Not at all
2
3
4
5
Perfectly
10
Q

If a mass appears in the lungs on a right lateral radiograph but not on a left lateral radiograph, where is the mass located?

A. Mediastinum
B. Body wall
C. Left lung
D. Right lung

A

Left Lung

The correct answer is left lung. On a right lateral radiograph, the right side is down. In this situation, the right lung lobes are compressed and the left lung lobes inflated, accentuating a mass in the left lung. On a left lateral radiograph, the left lobes are compressed and a mass in the left lung can be concealed due to compression of the lung surrounding the mass

How well did you know this?
1
Not at all
2
3
4
5
Perfectly
11
Q

Which infectious agent causes the clinical presentation of pigs most similar to that of Haemophilus parasuis (Glasser’s disease)?

A. Streptococcus suis
B. Fusobacterium necrophorum
C. Erysipelothrix rhusiopathiae
D. Mycoplasma hyosynoviae

A

Streptococcus suis

The correct answer is Streptococcus suis. Streptococcus suis and H. parasuis both cause polyarthritis, polyserositis, fever, and pneumonia in young piglets up to several weeks of age. Both can cause fibrinopurulent inflammation as well as meningitis and convulsions.

Erysipelas and M. hyosynoviae typically occur in grower and finisher pigs and do not result in pneumonia. Diamond-shaped skin lesions (thus the name “diamond skin disease”) are pathognomonic for Erysipelas. Fusobacterium necrophorum causes lameness via footrot or laminitis.

How well did you know this?
1
Not at all
2
3
4
5
Perfectly
12
Q

The goose shown in the image below (image not important) was found weak on the shore of a local pond where oil had been dumped. The goose was covered in oil, dehydrated and weak but responsive. Which of the following is an important acute clinical effect of oil on affected birds?

A. Disruption of function of the plumage
B. Lead toxicity
C. Contact dermatitis
D. Hepatotoxicity
E. Nephrotoxicity

A

Disruption of function of the plumage

Feathers serve a critical waterproofing and insulatory function which is disrupted by oil and can rapidly result in hypothermia. Other concerns for oiled birds include GI irritation from ingestion of oil during preening, hemolytic anemia, and pneumonia due to inhalation of oil.

Treatments include heat, supportive care, and activated charcoal. Once stabilized, frequent high pressure, warm, mild detergent baths and clean warm water rinses until water beads freely off of the feathers is important. Birds should be placed in warm air flow until dry and they should be maintained on self-skimming ponds for several days after washing to ensure full waterproofing.

How well did you know this?
1
Not at all
2
3
4
5
Perfectly
13
Q

A 1-year old female spayed Doberman Pinscher has presented after being hit by a car. Initial chest radiographs show mild contusions, and the patient appears to be otherwise stable. A right mid-shaft long oblique femoral fracture has been identified. Routine pre-operative blood work is unremarkable. A buccal mucosal bleeding test (BMBT) is elevated at 6 minutes. What will you administer prior to surgery?

A. Desmopressin acetate
B. 1,25 dihydrocholecalciferol
C. Vitamin K
D. Whole blood transfusion

A

Desmopressin Acetate

The correct answer is desmopressin acetate (DDAVP). Administration of desmopressin results in release of von Willebrand factor, which will help this patient with clotting. Given this dog’s breed and elevated BMBT there is a very strong likelihood she is afflicted with von Willebrand’s disease. In Dobermans this results in an inability to form a clot. This can be life threatening if the dog is taken to surgery.

A whole blood transfusion does not provide an adequate source of von Willebrand factor but may be necessary if the patient’s bleeding cannot be controlled despite appropriate pre-operative measures. 1,25 dihydrocholecalciferol is the active form of vitamin D which aids intestinal resorption of calcium. The BMBT does not assess factors 2, 7, 9, or 10 and therefore vitamin K is not indicated

How well did you know this?
1
Not at all
2
3
4
5
Perfectly
14
Q

You are called one hot summer day to see a group of horses in New Mexico which are slobbering and not eating their hay. Three out of 20 horses seem to be visibly affected. On physical exam of the first one, you find fever of 104 F (40 C) and obvious oral ulcers as shown in the image, mainly on the tongue. What is your tentative diagnosis?

A. Bovine papular stomatitis
B. Vesicular stomatitis
C. Foot-and-Mouth disease (FMD)
D. African Horse Sickness
E. Glanders

A

vesicular stomatitis

VS affects horses, cattle and pigs with similar clinical signs. It is a viral disease of high morbidity and low mortality that appears about every 7 to 10 years in the Southwestern United States. Yearly outbreaks occur in southern Mexico and northern South America. Black flies and midges appear to be the vectors. Affected premises should be quarantined

How well did you know this?
1
Not at all
2
3
4
5
Perfectly
15
Q

Several 16 to 20 month old Holstein dairy heifers who have been out in pasture have developed large areas of skin sloughing, which appears to affect mainly the white unpigmented areas (see photo). Based on this observation, what is the best diagnosis?

A. Ordinary sunburn
B. Malignant catarrhal fever, skin form
C. Allergic dermatitis
D. Photosensitization
E. Insect hypersensitivity

A

Photosensitization

Photosensitization mainly affects unpigmented skin where photodynamic agents have accumulated making the skin hyper-reactive to UV light. The cause of this photosensitization can be primary, in which case a plant-derived compound (such as hypericum) or chemical is injected, ingested or topically applied, is the cause. Alternatively, the cause can be secondary due to hepatic damage/failure where the liver fails to remove ingested chlorophyll-breakdown products like phylloerythrin, which accumulates in the skin and results in UV damage (sunburn). You need to determine whether this is primary or secondary by checking liver enzymes and bilirubin levels.

How well did you know this?
1
Not at all
2
3
4
5
Perfectly
16
Q

A one-month old foal develops fever, icterus, and diarrhea acutely. Bloodwork shows hyperfibrinogenemia, hypoglycemia, and elevated liver enzymes. Which of these conditions is most likely?
A. Clostridium novyi type B
B. Theiler’s disease
C. Tyzzer’s disease
D. Herpesviral hepatitis

A

Tyzzer’s disease

The correct answer is Tyzzer’s disease. This is the most likely cause because of the age of the foal and the acute nature of the disease. Tyzzer’s disease is caused by Clostridium piliformis, which causes an acute necrotizing hepatitis. It affects only foals from about 1-6 weeks of age. Theiler’s disease is a condition of adult horses. Clostridium novyi is rare in horses and seen much more in sheep and cattle. Herpesvirus can cause hepatitis but is usually seen at or very soon after birth.

How well did you know this?
1
Not at all
2
3
4
5
Perfectly
17
Q

You are called to examine and treat a valuable 3 year old show cow that appeared normal yesterday but has collapsed and is too weak to get up (see photo). You examine her and find T=102F or 38.9 C, HR=130, and RR=42. Her heart is pounding very loudly. The mucous membranes of her eyes, mouth and vulva are all very pale. You diagnose an acutely bleeding abomasal ulcer. What is the most important treatment?

A. 4 to 8 liters of fresh whole blood IV
B. 4 liters of commercial plasma IV plus vitamin K
C. 20 liters of 1.3% sodium bicarbonate IV
D. 40 liters balanced electrolytes orally
E. 40 liters of saline IV

A

4 - 8 liters of fresh whole blood IV

In the case of an acute blood loss such as this, the most important treatment is whole blood. Other sodium-containing fluids may be beneficial while the blood is being collected if this will not result in losing time in getting the whole blood into this cow. In most cases the single blood transfusion results in recovery. After about 24 hours the cow will exhibit melena as the digested blood reaches the rectum.

How well did you know this?
1
Not at all
2
3
4
5
Perfectly
18
Q

An 11-year old female Pomeranian presents to you for coughing and exercise intolerance. On exam: Wt: 9.25 lbs, T: 101.2F (38.4 C), HR: 132 bpm, RR: Panting, mucous membranes are pink. She has mild tracheal sensitivity and a grade III-IV/VI left apical holosystolic murmur and grade II/VI right apical holosystolic murmur. Femoral pulses are strong and synchronous, with a regular rhythm. She has harsh lung sounds bilaterally. On abdominal palpation, you note hepatomegaly. You find bilateral luxating patellas. You take chest radiographs (see image) and decide to treat the dog based on these findings. Which medication plan is most appropriate?

  1. Furosemide and enalapril
  2. Clavamox and enrofloxacin
  3. Oxygen and atenolol
  4. Atropine and a temporary pacemaker
  5. Immiticide (Melarsomine)
A

Furosemide and enalapril

The radiograph here shows a severe symmetrical alveolar pattern in the perihilar region extending to the right and left caudal lung lobes. The heart is tall on the lateral view causing dorsal elevation of the trachea.

This, in conjunction with the physical findings, is compatible with congestive heart failure (CHF) secondary to mitral valve regurgitation. The dog also has hepatic congestion evident by enlargement on the radiograph. Treatment for CHF include diuretics (furosemide/Lasix, hydrochlorothiazide, spironolactone), arterial vasodilators (enalapril, benazepril, amlodipine, hydralazine), positive inotropes (pimobendan), and venodilators (nitroglycerine).

Clavamox and enrofloxacin are antibiotics which could be used to treat pneumonia, but that is not this dog’s problem. Immiticide is the treatment for heartworm. Atenolol is a beta blocker and not part of the management of mitral regurgitation or CHF. Atropine or a pacemaker would be indicated for conduction problems.

Annotations:
There is marked elongation of the cardiac silhouette on the lateral views (yellow line) resulting in dorsal displacement of the trachea (red area), consistent with left ventricular enlargement.
A large focal bulge is noted at the caudodorsal aspect of the cardiac silhouette consistent with left atrial enlargement. (Purple circle)
A focal soft tissue opaque bulge is also noted in the region of the left auricle on the DV view. (Pink circle)
There is concurrent mild widening of the cardiac silhouette on the lateral views consistent with right-sided cardiomegaly (orange line).
The cranial lobar pulmonary veins are larger than the corresponding arteries. There is mild distension of the caudal lobar pulmonary arteries and veins with right caudal lobar pulmonary vein slightly larger than the corresponding artery. (green lines)
There is a marked diffuse unstructured interstitial pattern to early alveolar pattern (blue circle), most severe in the dorsal aspects of the right caudal and left caudal lung lobes.
The liver is mildly enlarged, extending beyond the costal arch with rounded caudoventral margins. (brown circle)

Radiographs provided by Adrien Hespel, DVM, MS, DACVR and University of Tennessee College of Veterinary Medicine

How well did you know this?
1
Not at all
2
3
4
5
Perfectly
19
Q

You have a 6-kg cat that you wish to raise his PCV from 15 to 25%. You plan to administer packed red blood cells. How many milliliters of packed red blood cells will this cat need?
A. 30 ml
B. 60 ml
C. 120 ml
D. 15 ml

A

60 ml

The correct answer is 60 ml. In order to raise the PCV 1% you will need to give 1ml/kg of packed red blood cells. So it takes 6mls to raise this cat’s PCV by 1%. If we are going to increase it by 10% we will need 60ml of packed red blood cells.

How well did you know this?
1
Not at all
2
3
4
5
Perfectly
20
Q

Which of these drugs is a neuromuscular blocker when given to a dog?
A. Naloxone
B. Neostigmine
C. Atracurium
D. Edrophonium
E. Fentanyl

A

Atracurium

The correct answer is atracurium. Atracurium is a non-depolarizing neuromuscular blocker. Other neuromuscular blockers include pancuronium, d-tubocurarine and succinylcholine. Succinylcholine is a depolarizing neuromuscular blocker. Fentanyl is an opioid. Naloxone is an opioid antagonist. Edrophonium and neostigmine are cholinesterase inhibitors used to reverse neuromuscular blockers.

How well did you know this?
1
Not at all
2
3
4
5
Perfectly
21
Q

What species is the principle carrier and vector of Malignant Catarrhal Fever (MCF) virus in North America?
A. Bison
B. Horse
C. Cattle
D. Sheep
E. Donkey

A

Sheep

MCF virus is ovine herpes virus-2 (OvHV-2) and is carried by 95-99% of sheep in North America which show no symptoms. It is also carried by 75% of domestic goats, 40% of muskox, 37% of bighorn sheep, 25% of pronghorn antelope, 62% of mouflon sheep, and by a small percentage of elk, mule deer, and white tailed deer. Susceptible hosts include cattle, water buffalo, deer, pigs, and bison; bison are the most susceptible

How well did you know this?
1
Not at all
2
3
4
5
Perfectly
22
Q

Many turkeys on a poultry farm develop whitish “wart-like” nodules and scabs on the comb, wattles, feet, and vent. Which management intervention would help prevent spread of the disease?
A. Tick control
B. Raise the room temperature 5 degrees
C. Thoroughly disinfect pens and equipment
D. Mosquito control
E. Immediate removal of fecal waste
F. Add antibiotics to the drinking water

A

Mosquito control

The condition described here is the dry form of avian (fowl) pox. This is a relatively slow spreading disease that can be spread by contact or by mosquitoes that may harbor infective virus for greater than a month.

In the dry form of the disease, the main sign is raised, whitish wart-like lesions on unfeathered areas (head, legs, vent, etc.). The lesions heal in about 2 weeks. Unthriftiness, decreased egg production and retarded growth may be seen. Mortality is low with this form of the disease. The wet form mainly involves the oral cavity and upper respiratory tract. Lesions are diphtheritic and can ulcerate or erode mucous membranes. Marked respiratory involvement can lead to mortality.

A diagnosis is usually based on flock history and presence of these lesions. This is a pox virus and there is no specific effective treatment but there is a vaccine. Disease control is best accomplished by preventive vaccine as sanitation alone will not prevent spread of disease. Several vaccines are available and a single application results in permanent immunity.

There are not many tick borne poultry diseases but they may include spirochaetosis and Pasteurella infection.

Raising the temperature 5 degrees may be part of the treatment for infectious bronchitis in chickens. Disinfecting pens +/- quarantine is done for quail bronchitis, aspergillosis, and ulcerative enteritis. Antibiotics in the drinking water are most effective for preventing secondary bacterial infections and for mycoplasma but not preventing spread of the virus.

23
Q

A 1-year old mixed breed stray dog is presented for extreme pruritis and the lesion shown in the picture. The dog was recently found and adopted off the street and has been itching despite being bathed and treated with flea preventatives. The owner reports that she has been itching and developing rashes on her own body since adopting this dog. Your physical exam shows that the dog has several additional similar lesions on the other legs, chest, and ventral abdomen. What is the most likely diagnosis?

A. Cutaneous lymphoma
B. Sarcoptes infestation
C. Demodex infection
D. Squamous cell carcinoma

A

Sarcoptes infestation

The key to this question is that Sarcoptic mange is extremely pruritic and can be transmitted to people, including this dog’s owner. Diagnosis of this disease is usually based on clinical impression and potential for exposure to the mites. A positive skin scraping would be most definitive, but scrapes often come back negative and trial therapy would need to be instituted.

Demodex is not transmittable to people and does not typically cause extreme pruritus like Sarcoptes.

Lymphoma and squamous cell carcinoma are less likely because they typically would occur in older animals and neither are usually particularly itchy.

24
Q

A 11-year old male castrated Golden Retriever presents for collapse with muffled heart sounds on examination. You ultrasound the heart and obtain the following image; the right atrium (RA) and right ventricle (RV) are labeled. A large mass is seen in the right atrioventricular groove with pericardial effusion. What is the likely diagnosis?

A. Idiopathic pericardial hemorrhage
B. Hemangiosarcoma
C. Chemodectoma
D. Pulmonary adenocarcinoma
E. Lymphoma

A

Hemangiosarcoma

The correct answer is hemangiosarcoma. Hemangiosarcoma of the heart has a predilection for the right auricle of dogs, with Golden Retrievers being predisposed. Stabilization of this patient will require pericardiocentesis; prognosis is guarded and may include chemotherapy, pericardiectomy, or rarely auriculectomy. Chemodectoma arises from the ascending aorta and heart base; lymphoma is rare in the heart of dogs and is more commonly metastatic than a single mass. Idiopathic pericardial hemorrhage is incorrect because of the clear evidence of a mass.

25
When performing a subtotal colectomy on a feline patient, what blood vessel limits the amount of colon that you are able to remove? A. Ileocolic artery B. Left colic artery C. Caudal mesenteric artery D. Pudendal artery
Ileocolic artery ## Footnote The correct answer is ileocolic artery. The site for colonic resection is limited by tension on the ileocolic artery when trying to suture your new end of colon to the rectum. Sometimes the tension is too great and instead of a colocolic anastomosis, an ileocolic anastomosis must be performed. Essentially you are trying to connect a section of ascending colon to the rectum. Now that can be pretty far! Performing an ileocolic anastomosis is not ideal because you eliminate the ileocecal valve, and that may predispose the animal to bacterial overgrowth. The caudal mesenteric artery gives branches to the rectum and descending colon. The left colic artery also feeds the descending colon. The pudendal artery supplies the external genitalia. The ileocolic artery provides blood supply to the ascending and transverse colon
26
A 4 year old mare has bilateral swelling and drainage of the mandibular lymph nodes. Rectal temperature is 101.8F (38.8 C). Which of the following is the most appropriate plan for this horse? A. Administer penicillin B. Inform the state veterinarian C. Administer corticosteroids D. Culture the discharge for bacteria
Culture the discharge for bacteria ## Footnote The correct answer to this question is to culture the discharge for bacteria. The most likely diagnosis for this horse is equine strangles. Strangles most commonly affects younger horses (\<5 years of age), but can cause disease in any age horse. The etiologic agent of this disease is Streptococcus equi subsp. equi. Currently, the diagnostic test of choice to confirm equine strangles is bacterial culture, but recently there is a trend towards PCR testing on guttural pouch samples. While awaiting test results, the horse should be separated from any other horses, as strangles is highly contagious to other horses. Antibiotic therapy is controversial and thought to lengthen the course of disease rather than shorten it when given at this stage; also, it may possibly interfere with the natural immunity acquired from natural infection. Don't forget to report positive cases of S. equi to the state veterinarian! As of March 2020, S.equi is a monitorable disease in the United States, meaning individual veterinary practitioners are not mandated to report Strangles to the USDA/APHIS. State veterinarians and laboratories include S. equi cases as part of their monthly disease reports to APHIS.
27
A 3-year old, indoor-only, male castrated Maine Coon cat is presented to you for acute-onset of hindlimb pain and paresis. Physical examination reveals a grade III left parasternal heart murmur and minimal movement in the hind legs. Femoral pulses are bilaterally absent, and the hindlimb toes are cold to the touch. The cat is tachypenic, but lung sounds are normal. What is the most likely diagnosis? A. Tetanus B. Chlorpyrifos toxicity C. Thrombus at the aortic bifurcation (saddle thrombus) D. T3-L3 intervertebral disc disease E. Lymphoma of the spinal cord
Thrombus at the aortic bifurcation (saddle thrombus) ## Footnote Maine Coon cats are predisposed to development of hypertrophic cardiomyopathy at a young age. Consequently, left atrial enlargement predisposes to atrial thrombus formation, and these clots frequently lodge in the arterial supply to the hindlimbs. The trifurcation is where the aorta divides into the two external iliac arteries and the common origin of the internal iliac arteries. Classic findings due to a clot at the aortic trifurcation include posterior paresis/paralysis, hindlimb pain, cyanotic nailbeds, absent femoral pulses, and a firm leg musculature. Other signs of cardiac disease/failure (murmur or pulmonary edema) are often but not always evident at presentation. Neither cord lesions, tetanus, nor toxicities should cause the vascular compromise evident on this cat's physical exam.
28
A horse is suspected of having the muscle disease rhabdomyolysis, and you are seeking a laboratory test to help confirm the diagnosis. Of the following, which test would likely be the most helpful? A. Creatine kinase (CK) B. Anion gap C. Sorbitol dehydrogenase (SDH) D. Ionized phosphate E. Gamma glutamyl transferase (GGT)
Creatine Kinase (CK ## Footnote CK, also called, CPK, is found in muscle cells and is elevated in the serum when muscle damage occurs
29
A 6-month old feedlot steer, which entered the feedlot 4 weeks ago, has lost weight and is now showing an enlarged left flank as shown in the image below. On exam, you find the left side of the abdomen to be gas-filled under moderate pressure, and the rumen to be otherwise poorly filled and with poor motility. Based on percussion and auscultation, the animal also appears to have chronic bronchopneumonia. What is the most likely cause of the rumen malfunction? A. Left displaced abomasum B. Cecal dilation C. Free gas bloat, failure to eructate D. Type 3 vagal indigestion E. Frothy bloat
Free gas bloat, failure to eructate ## Footnote This is sometimes called Type 1 vagal indigestion, or free gas bloat. It is frequently associated with swollen mediastinal lymph nodes caused by pneumonia. The signals to or from dorsal rumen receptors, which detect gas pressure and open the cardia, are compromised such that eructation does not occur normally and free gas bloat occurs. This in turn causes the calf to feel full and it eats poorly and loses weight. One needs to treat the pneumonia and perhaps create a temporary rumen fistula to allow the escape of gas until eructation returns to normal
30
A 4-year old male neutered Pit Bull mix comes in to your clinic because his owner thinks he might have gotten into rodenticide while she was out of the house 2 hours ago but is not sure. You send her to bring back the box of rodenticide and induce emesis by administering subconjunctival apomorphine. Within 5 minutes, the dog vomits the material shown in the image below. You rinse out the conjunctiva and administer oral activated charcoal. The owner returns with a box of rodenticide that says brodifacoum. What should you recommend? A. Check serum calcium levels today and once weekly for 6 weeks B. Treat the dog with vitamin K1 for 6 weeks C. No additional treatment or monitoring is needed D. Hospitalize the dog for 24 hours to monitor and treat potential neurologic signs E. Treat the dog with vitamin E and selenium
Treat the dog with vitamin K1 for 6 weeks ## Footnote The bright green vomit confirms the owner's suspicion of rodenticide ingestion because many rat poisons contain a bright green dye. Dogs that ingest these products may have bright green vomit or stool. Brodifacoum is a vitamin K antagonist commonly used in rodenticides. Ingestion of this compound causes hemorrhaging after several days due to a lack of production of new clotting factors. Treatment for this condition requires vitamin K1 administration for 4-6 weeks.
31
A 4-year old female spayed mixed Chihuahua presented to the emergency service at approximately 5am this morning after presumptively being attacked by a coyote. The patient has a flail chest and it is questionable if there is direct communication between the thoracic cavity and the environment (it was difficult to examine the dog due to her fractious nature). Exploration of the wound was performed, and once anesthetized, it was apparent she had a pneumothorax. The patient must be ventilated, as there is no vacuum present in the chest for lung expansion to occur. What pressure should the anesthetist not exceed if manually bagging the patient during anesthesia? A. 20cm H2O B. 12cm H2O C. 24cm H2O D. 8cm H2O
20cm H2O ## Footnote Pressures above 20cm H20 may result in barotrauma. In an otherwise healthy patient it is not recommended to exceed this pressure. In patients with chronic atelectasis, anesthetists will be much more apprehensive about over ventilating or ventilating the lungs too quickly, as acute expansion can trigger re-expansion pulmonary edema, which may then lead to acute respiratory distress syndrome and death
32
Which of these is the most common cause of seizures in the adult ferret? A. Hepatic encephalopathy B. Intracranial neoplasia C. Hypocalcemia D. Idiopathic epilepsy E. Hypoglycemia
Hypoglycemia ## Footnote The correct answer is hypoglycemia. Hypoglycemia secondary to insulinoma is the most common cause of seizures in the adult ferret. Keep in mind, a prolonged seizure can actually cause hypoglycemia, so the finding of low blood glucose in a seizuring ferret does not necessarily confirm a diagnosis of insulinoma. Idiopathic epilepsy has not been reported in ferrets. Hypocalcemia and hepatic encephalopathy can cause seizures, but are not as commonly reported as hypoglycemia.
33
A male goat presents for vocalizing and straining to urinate. He has been kicking at his abdomen. You detect crystals adherent to the hairs around the prepuce (see image). What condition should you suspect and try to rule out first? A. Lower intestinal obstruction B. Urinary tract obstruction C. Acute severe pyelonephritis D. Upper intestinal obstruction
Urinary Tract Obstruction ## Footnote The correct answer is urinary tract obstruction due to calculi. This should be suspected in all male and castrated male goats (and sheep) with non-specific signs of disease or discomfort because it is so common. Common clinical signs associated with urinary tract obstruction are vocalization and dribbling of urine. Heaving or forceful abdominal contractions may be seen. Hematuria, dysuria, prolonged urination, and apparent abdominal pain are also common signs. The most important step of evaluation is exteriorization of the penis and examination of the urethral process because this is the most common site of blockage. In severe cases the entire urethra may be filled with calculi.
34
Rubiosis iridis as seen in this cat is a sign of what process in the eye? A. Chorioretinitis B. Anterior uveitis C. Glaucoma D. Iris atrophy E. Lens luxation
Anterior uveitis ## Footnote The correct answer is anterior uveitis. Rubiosis iridis along with other signs such as aqueous flare, hyphema, hypopyon, keratic precipitates, and decreased intraocular pressure are all suggestive of anterior uveitis which can be caused by a number of infectious, immune-mediated, traumatic, and idiopathic causes
35
A client calls and says her cat was chewing on her lily plant two days ago and is now acting very sick. You tell her to bring the cat in immediately so that you can perform which of the following? A. Induce emesis and administer activated charcoal B. Abdominal radiographs to diagnose intestinal obstruction C. ALT, AST, GGT, and total bilirubin levels D. BUN and creatinine levels
BUN and creatinine levels ## Footnote Lily plant toxicosis is extremely serious and can cause rapid and fatal acute renal failure in cats. If ingestion is suspected, decontamination and aggressive fluid therapy, and monitoring of renal values are recommended immediately. In this case, since 2 days have passed, inducing emesis and administering activated charcoal would not be helpful. What you can do is check renal values (BUN and creatinine) and treat for acute renal failure. Ruling out an intestinal obstruction in a cat with this history is reasonable but not the best of the choices given
36
A 2-year old female DSH cat presents for weight loss, anorexia, dyspnea, and lethargy. She was previously treated with antibiotics but is still febrile on physical exam. You detect pleural effusion and notice that the abdomen is distended. On CBC there is a non-regenerative anemia, neutrophilia, and lymphopenia. On chemistry there is hyperproteinemia and a slight elevation in liver enzymes. What is your primary differential? A. Feline infectious peritonitis B. Feline immunodeficiency virus C. Feline calicivirus D. Feline leukemia virus
Feline infectious peritonitis ## Footnote The correct answer is FIP. This poor cat is infected with the dreaded wet form of feline infectious peritonitis. Good job if you nailed it! If you think about the pathogenesis of the virus, then these clinical signs make a lot of sense. With FIP, the classical lesion is pyogranulomatous vasculitis due to antigen-antibody complexes depositing in the venular endothelium, which results in pleural and peritoneal effusion. The CBC findings are common for FIP but not too specific. In greater than 50% of cats with the wet form of FIP, there will be hyperproteinemia. In greater than 70% of cats with the dry form of FIP there is hyperproteinemia.
37
During your examination of an 18-year old horse, you observe what is shown in the photograph. Based on the location and appearance of this lesion, what is the most likely diagnosis? A. Melanoma B. Sarcoid C. Habronema D. Cuterebra E. Squamous cell carcinoma
Melanoma ## Footnote The correct answer is melanoma. Melanoma is one of the most common tumors in horses (about 10% of all neoplasms) and gray horses are at high risk of around 80%. They can occur anywhere but appear most frequently in the perineal region or ventral tail as is evident in this horse. In horses, they are usually darkly pigmented (as opposed to dogs where amelanotic melanomas occur somewhat commonly). In horses, most are slowly growing but can be locally invasive. Many treatments are out there, but there is no standard of care treatment. Depending on location and extent, consider surgical removal, benign neglect, chemotherapy (systemic or intralesional) and immunotherapy.
38
A 10-day old commercial dairy calf has diarrhea that is white in color (see photo). The calf is dehydrated, hypovolemic, weak and unable to stand. T=100F (37.8 C), HR=100, and RR=20. No other abnormalities are found on physical examination. Based on these findings, what is the treatment of choice? A. IV fluids containing 50 meq/L of potassium B. Oral fluids containing sodium bicarbonate C. Oral fluids containing high levels of both sodium and chloride D. IV fluids containing only saline E. IV fluids with added sodium bicarbonate
IV fluids with added sodium bicarbonate ## Footnote This calf is typical of those suffering from nonspecific calf diarrhea, most often associated with enteropathogenic E coli, rotavirus, or cryptosporidium. The calf develops hypovolemia and metabolic acidosis and requires sodium-containing IV fluids which contain additional alkali such as sodium bicarbonate. One can assess that the calf is severely acidotic given that it is lethargic and unable to stand. While oral fluids may also be useful, at this stage, the calf will require IV fluids
39
A horse presents to you for chronic, recurrent laminitis and skin disease. You notice on your exam that the horse has a particularly thick, long, wavy, and matted coat. The owner mentioned that this developed many months ago. What is a likely diagnosis? A. Cushing's disease (Pituitary Pars Intermedia Dysfunction) B. Hypothyroidism C. Diabetes insipidus D. Pheochromocytoma
Cushing's disease (Pituitary Pars Intermedia Dysfunction) ## Footnote The correct answer is Cushing's disease. The coat condition described is what horses with glucocorticoid excess develop; it is referred to as hirsutism. They will also be predisposed to infections including laminitis and skin diseases such as Dermatophilus. They are also frequently polyuric, polydipsic, and polyphagic.
40
You are asked to examine some feeder pigs that have stopped eating yesterday. The group is lying down and seems lethargic. They have fevers of 105-106F (40.6 -41.1 C), firm dry feces, and the skin has rhomboid-shaped red blotches scattered on it. What treatment should be recommended? A. Gentamicin B. Chloramphenicol C. Streptomycin D. Penicillin E. Metronidazole
Penicillin ## Footnote Erysipelas is susceptible to penicillins, as well as tetracyclines (usually), lincomycin and tylosin. Chloramphenicol and nitroimidazoles (including metronidazole) are not approved for food animal use
41
A 4-year old male Manx cat presents to you because the owners found an empty, opened pill vial in the bathroom and the cat vomited. On physical exam, you note ptyalism and facial edema. The cat's mucous membranes are pale and slightly icteric. You perform a blood smear and detect Heinz bodies in erythrocytes. The cat's packed cell volume (PCV) is 26% (30-45%). The owners provide you a list of the medications in the medicine cabinet which are acetaminophen (Tylenol), finasteride (Propecia), enalapril (Vasotec), and omeprazole (Prilosec). What treatments should you institute for this cat? A. Prednisone and amoxicillin B. Acetylcysteine and S-adenosylmethionine C. Activated charcoal and whole blood transfusion D. Emesis and methylene blue
Acetylcysteine and S-adenosylmethionine ## Footnote Acetaminophen toxicity in cats usually occurs when owners administer the drug, unaware of its significant potential toxicity in cats. In this case, the cat's clinical signs are most consistent with acetaminophen toxicity based on the Heinz body anemia that is present. Cats can die from oxidative damage and methemoglobinemia within 1-2 days of ingestion. It may also be associated with hepatotoxicity in cats, although this is seen more frequently in dogs. Recall that cats are particularly sensitive to acetaminophen because they have decreased glucuronyl transferase activity which conjugates acetaminophen to glucuronic acid for excretion. As a result, 50-60 mg (a single tablet) may be fatal for a 4-5 kg cat. Treatment should consist of toxin removal if possible by inducing emesis in some cases. As the cat in this case is already vomiting, this may not be necessary. Activated charcoal is controversial and should only be given if ingestion occurred within hours and should be administered very carefully in cats due to the risk of aspiration. The specific antidote is acetylcysteine which binds to some of the reactive metabolites of acetaminophen and increases the availability and synthesis of glutathione. Other treatments may include S-Adenosylmethionine (SAMe) which has hepatoprotective and antioxidant properties. Cimetidine can be given to inhibit the p450 oxidase in the liver and limit formation of toxic metabolites. Ascorbic acid can also be used as an adjunct treatment to bind toxic metabolites. In cats with signs of hypoxemia from severe hemolytic anemia (PCV \<20%), a transfusion and further supportive care may be warranted.
42
Your client is pregnant and is worried about acquiring toxoplasmosis from her cat. What do you advise? A. Submit toxoplasmosis titers from the cat. A positive cat infected with toxoplasmosis can shed multiple times in its lifetime and pose a zoonotic risk. B. Toxoplasmosis titer should be performed on the owner by a human physician. A positive titer indicates antibodies to the organism that will prevent infection in the first trimester. A negative titer indicates she should remove her cats from her environment. C. Have a housemate empty the litter box daily as a simple precaution to prevent infection as it takes 1-3 days for passed oocysts in the stool to sporulate into an infective form. D. Submit toxoplasmosis titers from the cat. A IgG titer of 1:64 or greater suggests recent or active infection that could pose a danger.
Have a housemate empty the litter box daily as a simple precaution to prevent infection as it takes 1-3 days for passed oocysts in the stool to sporulate into an infective form ## Footnote oxoplasmosis gondii is a protozoal organism. The cat is the definitive host; the entire life cycle of the organism can be completed within this host. Most cats become infected when they consume an exposed rodent with bradyzoites encysted in their tissues. Only recently infected cats generally shed oocysts in their stool, and cats typically only shed these oocysts for 1-2 weeks. Most cats will only have one shedding episode in their lifetime. A IgM (not IgG) titer of 1:64 or greater suggests recent or active infection and that cat is at risk of shedding oocysts in their stools. Oocysts are not infective until they sporulate. This process takes \> 24 hours, so emptying the litter box daily is advised, preferably by someone who is not pregnant. If an owner has owned cats for a long while, it is possible that they may have previously been exposed and therefore have mounted an immune response to the organism. If so, it may be advisable to test for Toxoplasma antibody titers in the owner. A sufficient antibody titer will mean the client is protected from infection during the first trimester.
43
What is the potential udder fate of goats infected with caprine arthritis encephalomyelitis virus? A. The udder is not affected B. Bluebag C. Gangrene D. Hardbag
Hardbag ## Footnote CAEV is a retrovirus and when it affects the udder it will cause fibrosis and result in a firm udder with agalactia. Treatment is ineffective and the goat should be culled. The disease is usually subclinical but can cause arthritis in adults and encephalitis in kids
44
A 9-month old male pitbull presents to you for hindlimb lameness that developed suddenly several days ago and has gotten worse. On your examination, the dog is painful on palpation of the left tibia. You take radiographs of the tibia which are shown below. Which of the following is the most appropriate treatment for the suspected condition? A. Fluconazole B. Ampicillin C. Splint stabilization D. Surgical correction E. Carprofen
**Carprofen** ## Footnote This is a case of panosteitis based on the young age of the patient and radiographic presence of focal intramedullary densities within the tibial diaphysis. Minor differentials could include osteomyelitis. Panosteitis is a self-limiting, painful condition characterized by limping and lameness. It typically affects the long bones of young dogs, usually between the ages of 5 to 18 months. It can occur with any breed, but it is more common in medium- to large-sized dog breeds. Treatment is primarily supportive consisting of limiting activity and anti-inflammatory drugs. Therefore, carprofen is the best answer choice listed. Pain lasts from weeks to months and resolves in nearly all cases. While these treatments reduce the pain associated with the condition, they may not alter the duration or course of the disease. Annotations: Circled: There are focal areas of increased patchy medullary sclerosis in the distal femur and proximal tibia.
45
The dog in the photograph was vaccinated earlier in the day. What type of allergic reaction is occurring? A. Type I B. Type II C. Type IV D. Type III
**Type I** ## Footnote The correct answer is type I. Type I hypersensitivity is IgE-mediated and results in immune mediated hypersensitivity. Type II hypersensitivity is an antibody-dependent reaction and occurs due to IgG or IgM made against normal self antigens or some foreign antigen that resembles some molecule on the surface of host cells. Type III hypersensitivity is an immune complex-mediated reaction. This is caused when soluble antigen-antibody complexes form in large amounts and overwhelm the body instead of being normally removed by macrophages in the spleen and liver. Type IV is considered a delayed hypersensitivity and is cell-mediated. T8-lymphocytes will be sensitized to an antigen and differentiate into cytotoxic T-lymphocytes. T helper 1 type T4-lymphocytes become sensitized to an antigen and produce cytokines
46
A 3-year old female spayed indoor/outdoor domestic short hair presents for congestion and swelling over the bridge of the nose. The swelling over the nose is firm and seems to be subcutaneous. There is also mild enlargement of the mandibular lymph nodes. You perform cytology from a fine needle aspirate of the swelling over the nose and see narrow, budding, thick-walled yeasts surrounded by clear capsules (see picture). You also detected a lesion in the retina on fundic examination. Which of the following treatments would be indicated? A. Doxycycline B. Itraconazole C. Trimethoprim sulfa D. Amoxicillin-clavulanic acid E. Lufenuron
**Itraconazole** ## Footnote Based on the description of the cytology and clinical symptoms of this cat, the most likely diagnosis is Cryptococcus neoformans. This is a fungal disease that occurs when the organism is inhaled and is disseminated to skin, eyes, CNS, lungs, or other areas. The upper respiratory tract is most often involved and symptoms can include nasal discharge, sneezing, swelling over the nose, and regional lymphadenopathy. If the CNS is involved, seizures can also occur. The disease has been thought to be transmitted most often through infected pigeon droppings. Itraconazole, fluconazole, or amphotericin B are the anti-fungals of choice for this disease. Doxycycline, Trimethoprim sulfa, and Clavamox are all antibiotics and would not address a fungal infection. Lufenuron is a flea treatment that has had some implications for treatment of dermatophytes due to its ability to inhibit chitin. About 1/3 of the cell wall of a fungus is composed of chitin. This has not been a promising or approved treatment for ringworm and surely would not be an appropriate treatment for Cryptococcus
47
A dog presents to your clinic with tenesmus and swelling near the anus as seen in the image. On examination, there is a fluctuant swelling lateral to the anus, and on rectal exam, you note lateral dilatation of the rectum. Which of the following is the most common signalment for dogs presenting with this problem? A. They are younger intact females B. There is no age or sex predilection C. They are older intact males D. They are older intact females E. They are younger intact males
They are older intact males ## Footnote This is a case of a perineal hernia. Older intact male dogs are most commonly affected. Overrepresented breeds include Boxers, Collies, Kelpies, Pekingese, and Boston terriers. The hernia results from a weakened pelvic diaphragm. It is thought that there may be a hormonal component which results in weakening with time.
48
A pregnant mare was brought out to your barn for observation in anticipation of parturition. After several hours of restless behavior, several gallons of allantoic fluid rush out from the vulva. Which of the following would you expect to happen next for a normal parturition? A. The placenta is expelled from the vulva B. The hind legs of the foal emerge from the vulva C. The thin, white, glistening amniotic membrane emerges from the vulva D. The red, velvety, chorioallantoic membrane emerges from the vulva
The thin, white, glistening amniotic membrane emerges from the vulva ## Footnote This case description is consistent with stage I of labor in the horse. The first stage of foaling typically lasts 30 minutes to 4 hours. During this stage, mares act restless and may exhibit signs similar to colic such as flank watching, pawing, and constantly getting up and down. When the amniotic sac ruptures ("water breaks"), there may be several gallons of allantoic fluid that come out. Usually, within about 5 minutes, the second stage of labor begins and the foals feet and nose appear at the vulva, covered in the white, thin, glistening amnion. If a red, velvety, membrane is seen, this is the chorioallantois which indicates premature placental separation which can impair oxygen delivery to the fetus and can result in death of the foal. Usually, the muzzle will emerge from the amnion by the time the foal's hips pass through the pelvis but if not, the amnion can be gently broken and removed. Usually, the umbilical cord breaks naturally when the mare stands or foal begins to rise. Then, within 30 minutes to 3 hours after foaling, the placenta should be expelled.
49
A 2-year old male neutered cat presents to you depressed, hypersalivating, and ataxic with muscle tremors. The owner reports that a pyrethrin-based spot-on formulation for flea control belonging to their Golden Retriever was accidentally applied on the cat earlier today. Which of the following drugs will you use to treat the cat's clinical signs? A. Amoxicillin B. Atropine C. Methocarbamol D. 2-PAM E. Acepromazine
Methocarbamol ## Footnote Pyrethrins alter the activity of the sodium ion channels of nerves, which prolongs the period of sodium conductance. This increases the length of depolarization resulting in repetitive nerve firing. Cats are particularly sensitive to pyrethrin-containing products and can develop clinical signs within hours after administration. Affected animals should be bathed to remove remaining product. Minor clinical signs such as hypersalivation and ear twitching are usually self-limiting and do not require treatment. Control of marked tremors or seizures can be achieved with methocarbamol (Robaxin)
50
A 2-year old mare presents to you several weeks after recovering from a mild upper respiratory infection. She now presents with edema and sloughing of the legs (see image), chest and abdomen as well as mucosal petechial hemorrhages. She is sore and reluctant to move. Biopsy of the skin lesion is consistent with aseptic necrotizing vasculitis. What is the most likely diagnosis? A. Type I hypersensitivity B. Purpura hemorrhagica C. Idiopathic thrombocytopenia D. Bastard strangles E. Cantharidin toxicity
Purpura hemorrhagica ## Footnote This is the clinical and histologic appearance of purpura hemorrhagica. It is a type-III hypersensitivity which is when antigen-antibody complexes accumulate, leading to disease. Purpura hemorrhagica most commonly occurs 2-4 weeks after exposure to certain infectious agents or vaccines. This condition is most commonly seen subsequent to infection with Streptococcus equi subsp. equi or vaccination against it but it can also be associated with other pathogens, particularly respiratory pathogens including other streptococcal species and equine influenza. Regardless of the cause, purpura hemorrhagica results from accumulation of antigen-antibody complexes that deposit on blood vessel walls and activate a strong immune response (vasculitis). The leaky blood vessels lead to hemorrhage and edema. Bastard strangles refers to the condition when Streptococcus equi subsp. equi creates abscesses in unusual sites (other than the lymph nodes draining the throat) such as abdominal or lung lymph nodes. Cantharidin toxicity (also known as blister beetle toxicity) leads to mucosal irritation and results in colic and cystitis. It can also lead to hypocalcemia. Primary immune-mediated thrombocytopenia (sometimes called idiopathic thrombocytopenia) can be seen in horses but is not consistent with the necrotizing vasculitis described in the case. Type I hypersensitivity reactions are immediate reactions (such as urticaria) invoked by an antigen or allergen.
51
A 2-year old nonlactating dairy cow in California has a sudden onset of head tilt and drooling. The owner also reports that she appears less active and less interested in feed than normal, and today is circling in one direction in the pen. You examine her and find T=105F (40.6 C), HR=96, and RR=32. There is ptosis, drooped ear, and weakness of the lips on the affected side. You take a lumbosacral spinal tap (see photo), and submit the CSF to your lab. The results show elevated protein and WBCs, with the cell type being mainly monocytes. The lab reports seeing some gram positive bacteria in the monocytes of the CSF. Based on these findings what is the best treatment for this condition? A. Metronidazole B. Chloramphenicol C. Enrofloxacin D. Metoclopramide E. Penicillin
Penicillin ## Footnote The diagnosis is Listeriosis. Listeria monocytogenes can effectively be treated in the early stages of the disease with penicillin, ampicillin, or tetracycline. Intramuscular procaine penicillin for example has a withdrawal of 10 days for slaughter (meat) and 48 hours for milk if the animal is lactating. Other choices of approved antimicrobials would also likely be effective since L. monocytogenes is susceptible to most antimicrobials. For a list of approved animal drugs see www.farad.org/vetgram. FARAD is the United States Food Animal Residue Avoidance Databank which gives withdrawal information as well as a list of prohibited drugs. The other drugs listed as choices here are prohibited and cannot be legally used in food animals in the USA
52
A 6-month old Chocolate Labrador presents for limping and failure to gain weight. He is housed in an outdoor kennel with other hunting dogs. He is fed a large breed dry puppy food. He received his puppy shots at 8, 12, and 16 weeks old. He is quiet, alert, and responsive. His body condition score is 3/9, with rib exposure and poor fat deposition. His mucous membranes are pale pink, with a capillary refill time of 2 seconds. His heart and lungs auscult normally. No abnormalities are felt on abdominal palpation. He is an intact male, and both testicles are descended. The only abnormalities are the pads of his two front feet and left hind foot (see image) that he chews at frequently. What is diagnostic test of choice? A. Fecal float B. Skin scraping C. Biopsy D. Radiographs E. CBC and chemistry panel F. PCV and TP
Fecal Float ## Footnote Hookworms (Ancylostoma and Uncinaria) are intestinal parasites that suck blood and can cause anemia, enteritis, coughing during larval migration, and dermatitis. Any young dog that is failing to thrive and/or has pale mucous membranes should be tested for intestinal parasites. Hookworm dermatitis, also called Ancylostomiasis is typically seen in conditions with poor sanitation and/or in kennels. Hookworms can be transmitted in utero, during nursing, or via 3rd stage larva penetrating the skin. The most commonly affected skin areas are the pads and interdigital spaces of the feet, but can include any surface that contacts the ground. The larva migrate through the dog's tissues before arriving in the intestines. They cause significant anemia, failure to thrive, or sudden death in young dogs. In mild cases, deworming protocols are often enough; with severe cases blood transfusions and parenteral treatments are often necessary. Skin scraping and impression smears of the affected skin areas are typically unrewarding for isolating parasites. A PCV/TP would show signs of anemia, but not the underlying etiology. Complete blood cell count and chemistry will often show anemia that is regenerative and an eosinophilia. Radiographs would be unrewarding in this case. A biopsy may show migrating larva if biopsied soon after trauma, however this is not a diagnostic test routinely used
53
A 7-year old female spayed English Springer Spaniel presents for difficulty breathing and lethargy. Physical exam shows pale mucous membranes and increased respiratory effort. You collect blood for a complete blood count and a chemistry panel and you place a drop of blood with a drop of saline on a glass slide. After swirling the sample around, you can grossly see what is shown in the picture. What's your diagnosis? A. Hemolysis B. Vitamin K antagonist toxicity C. Immune mediated hemolytic anemia D. Rouleaux formations E. Evan's syndrome
Immune mediated hemolytic anemia ## Footnote The image shows a positive slide agglutination test. The dark patches in the sample are caused by antibodies attached to the surface of the erythrocytes cross linking the cells together causing these clumps. This is highly suggestive of an immune mediated reaction to antigen on the individual's red blood cells. Rouleaux formations are red blood cells stacked together as a result of their natural discoid shape and large surface area causing them to have an affinity for each other. They typically resemble a stack of coins or cookies. Evan's syndrome is an autoimmune condition characterized by an immune attack on erythrocytes, platelets, and occasionally leukocytes as well. You would not be able to diagnose this on a slide agglutination test alone. Vitamin K antagonist toxicity with rodenticide causes a coagulopathy but should not cause hemagglutination.