Pleomorfism
Variation i storlek och form.
Melanom
Elakartad tur som utgår från melanocyter.
Chondrom
Godartad tumör utgående från broskvävnad.
Blastcell
Den morfologiska beskrivningen av en “omogen cell”, dvs en ej differentierad cell.
Hyalinos
Hyalindeposition i vävnad.
Jättecell
Abnormalt stor cell, oftast med flera kärnor, ex. flerkärniga makrofager eller osteoklaster.
Kronisk lymfatisk leukemi
Malignitet utgående från mogna B-celler som är ett leukemiserat lymfom.
Patogenes
Sjukdomsutveckling, dvs vilka mekanismer som ger upphov till en viss sjukdom.
Pannus
En form av granulationsvävnad bestående av inflammatoriska celler (makrofager, lymfocyter), fibroblaster och hypertrofisk synovium.
Enligt Medibas: kärlrik bindväv som växer som en matta under epitelet på hornhinnan eller i ledhinnan i en led (förtjockad ledhinna).
Pyknos
Irreversibel kondensering och förminskning av cellkärna, föregående apoptos eller nekros.
Fibrosarkom
Elakartad tumör som utgår från fibroblaster.
Onkoprotein
Det protein som bildas av onkogen.
Ektopi
Vävnad som finns på annat ställe än den är avsedd att finnas på, ex. ektopisk graviditet.
Immunhistokemi
Metod att utföra immunfenotypning i vävnadssnitt/cellutstryk av olika markörer med hjälp av ljusmikroskopi.
Myelopoes
Samlingsnamn för granulopoes och monocytopoes.
Carcinogenes
Stegvis process som leder till utveckling av cancer.
Hypertrofi
Ökad volym av celler i en vävnad, oförändrat antal celler.
Immunfenotyp
Vilka olika immunhistokemiska markörer (proteiner, lektiner, andra immunogena molekyler) en cell uttrycker, studerad med hjälp av specifika antikroppar och fluorokromer. Markören kan vara i form av ytbundna CD-antigen, intracytoplasmatiska eller nukleära antigener. Immunfenotypen kan bestämmas med antingen flödescytometrisk analys av celler i suspension (vätskefas), immunfluorescens eller med immunhistokemiska färgningar av vävnadssnitt.
Leukocytos
Ökat antal leukocyter i blod, resulterande i högt LPK-värde.
Hypoplasi
Minskat antal celler i en vävnad.
Ektasi
Utvidgning av ihåliga organ (ex. blodkärl, bronk).
Suppressorgen
Gen vars funktion normalt förhindrar cancerutveckling, ex. Rb, TP53.
Nevus
“Födelsemärke”, både kongenitala och förvärvade. Kan bestå av ansamling av melanocyter i huden eller växt av hudadnexae.
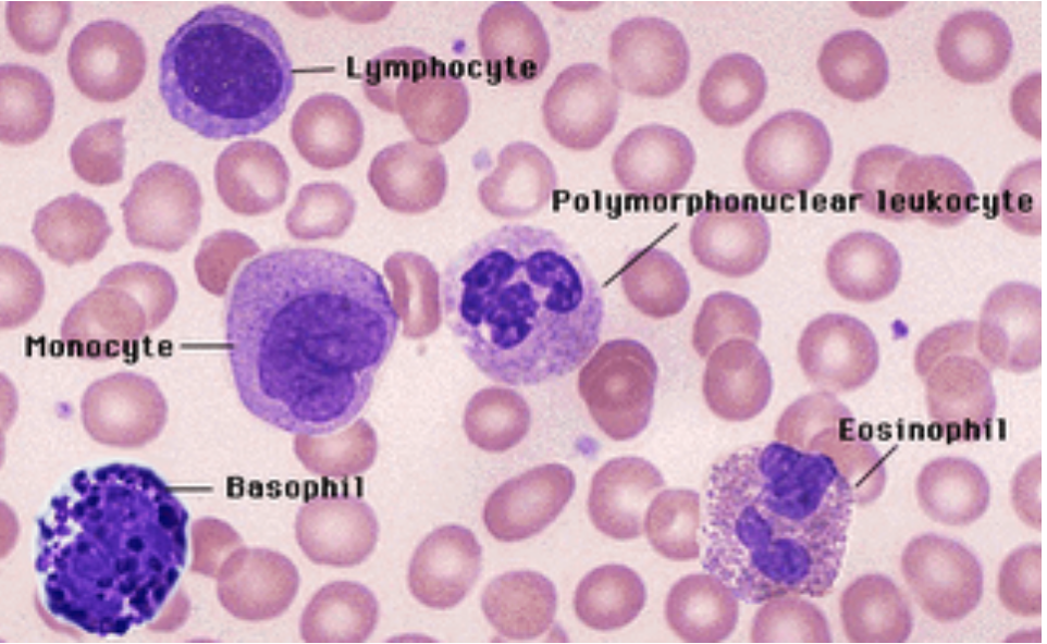
Basofil
Färgas blått i eosin-hematoxylin färgning.
