causes infectious mononucleosis
Epstein-Barr virus causes infectious mononucleosis, which is associated with atypical (reactive) lymphocytosis. Because of the difficulty in culturing Epstein-Barr virus, and readily available heterophile antibody test and serology, it is rarely necessary to culture this virus in routine clinical
Most common cause of genital ulcers
Genital herpes (HSV-1, HSV-2)
Most common viral STD Condyloma accuminatum/a = genital wart(s) Can be on cervix, perianal, penile, inside urethra, on thigh, on tongue
HPV Mostly due to types 6 & 11 (most warts), also 16, 18, & 32
Transport temperature for viral culture
4o if less than a day
store at -80 if transport is delayed >24 hrs
Packaging for viral samples
TRIPLE PACKED
Paperwork packaged separately in lead-proof bag with at least two patient identifiers
When is transport media not required?
If only PCR is to be done
Also body fluids (especially CSF) should not be diluted
When is the best time for a urine specimen?
First morning void has highest titers
Collect bone marrow in what kind of tube/
EDTA
What tube for whole blood viral culture
Purple top vacutainer
Plasma samples collected in a green top tube are NOT acceptible for PCR
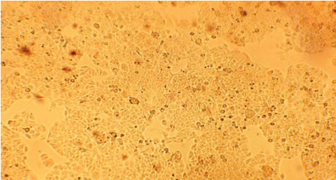
What are the three main types of tissue culture cell lines used for examining cytopathic effects (CPE)?
What do MK cells look like?
Hepatocytes from undergrad cell culture

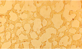
What do healthy HL cells look like?
Clustery cobblestones

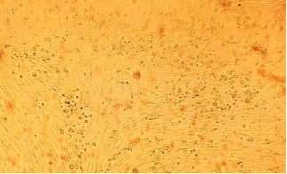
What do healthy HDF cells look like?
Swirly fingerprints.

Diagnostic CPE of HSV
Rapid infection of all cell lines
HDF appearing as round balloon cells resulting in total monolayer destruction

Diagnostic CPE of cytomegalovirus (CMV)
Grows only in diploid fibroblasts, albeit slowly
Generates boat-like patches of rounded or swolen cells

Diagnostic CPE of Varicella Zoster (VZV)
Grows only in HDF, albeit slowly

CPE starts as small individual patches of rounding and as virus growth proceeds, the CPE radiates out from the initial patch forming “funnel like” shapes which cover much larger portions of the cell sheet than is seen with CMV.
Diagnostic CPE of coxackie B virus
All six serotypes grow well in MK and HL cells but little if any growth is seen in HDF cells. The CPE is a small uniform rounding which rapidly progresses to total monolayer destruction.

Diagnostic CPE of Echovirus
CPE is usually best in HDF, with MK slightly less positive. No growth is seen in the HL cell line.
CPE varies from uniform small rounding in MK to a stringy appearance then cell death in HDF.

Dianostic CPE of Polivirus
The polioviruses generally grow very rapidly in all three major cell lines (MK, continuous, and HDF) and cause a uniform small rounding with rapid degeneration of the entire monolayer. The CPE looks similar to both Coxsackie B and Echoviruses.
Diagnostic CPE in Adenovirus
Lacy appearance in HL

Diagnosis of Influenza by culture
Generally no CPE
HOWEVER, hemadsorbtion to hemagglutinin sites is key in MK
Explain why hemadsorption is used for influenza diagnosis
Hemagglutinin is expressed on the host surface during viral replication, so the addition of RBCs to culture will result in RBC clumping
HAd is performed at 4oC to inhibit neuaminidase activity
Diagnostic CPE of Respiratory Syncytial Virus (RSV)
RSV causes syncytia (fused multi-nuclear cells) primarily in the HL cells. HDF cells may also be affected but the CPE usually appears later and appears as minor patches of cell disintegration along monolayer borders.

Diagnostic CPE of Rhinovirus
Usually grows best at 33° C (lower than the normal 35-37° C range) and CPE is highly retractile rounding occurring only in HDF. The involved cells appear in patches with most of the monolayer looking normal.
