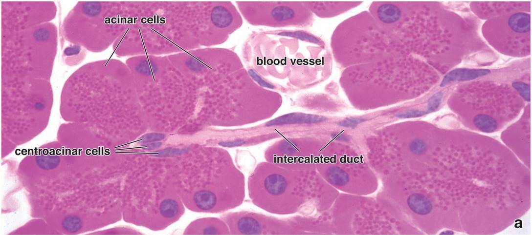
Identify the blanked out structures or cell types

Acinar Cells
Centroacinar cells
Intercalated duct

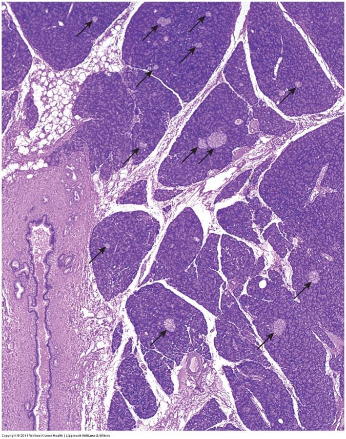
What do the arrows indicate?

Islets of langerhans
What are three cell types present in the light zone?
What type of pancreatic tissue is this?

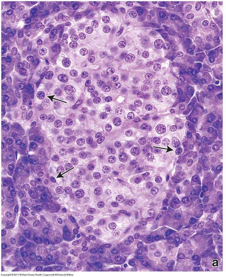
Alpha cells at the periphery
Beta cells at the core of the islet
Delta cells at the periphery
Endocrine tissue
Identify the structures indicated.

Light - Posterior Lobe, Neurohypophysis
Dark - Anterior Lobe, Adenohypophysis

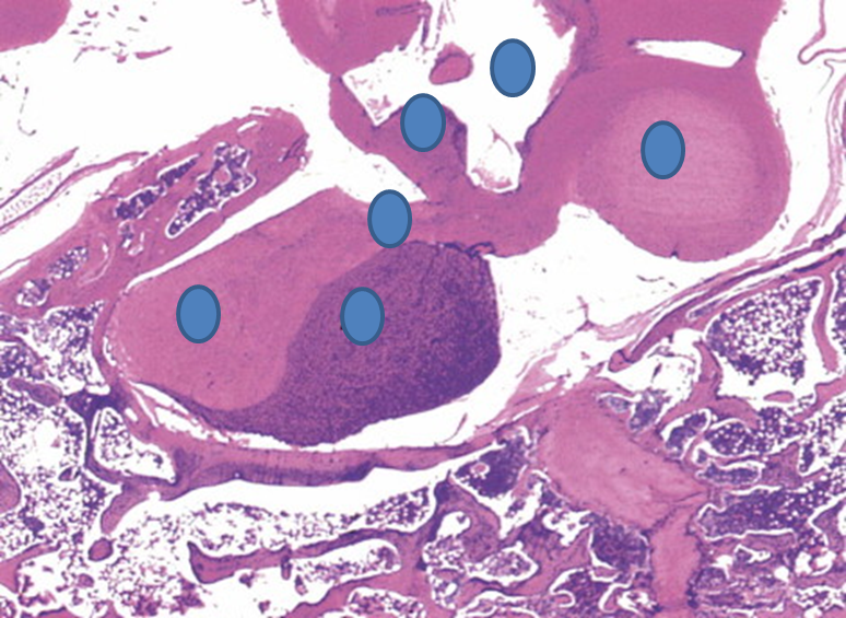
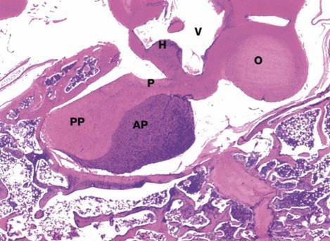
Identify the indicated structures.

AP: anterior pituitary
PP: posterior pituitary
P: pituitary stalk (infundibulum)
H: hypothalamus
V: ventricle
O: optic chiasm

What structure is this tissue from?

Pineal Gland. Recognize by the brain sand. (S)
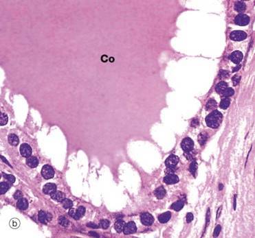
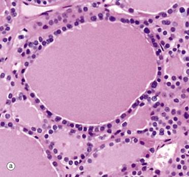
What is this tissue from? Is it active?

Thyroid. Is active
What cells are shown around the colloid structure?

Inactive Follicular epithelial cells of the thyroid
What do the indicated cells secrete?

Calcitonin
These are parafollicular cells. Recognize them by small pale staining clusters.
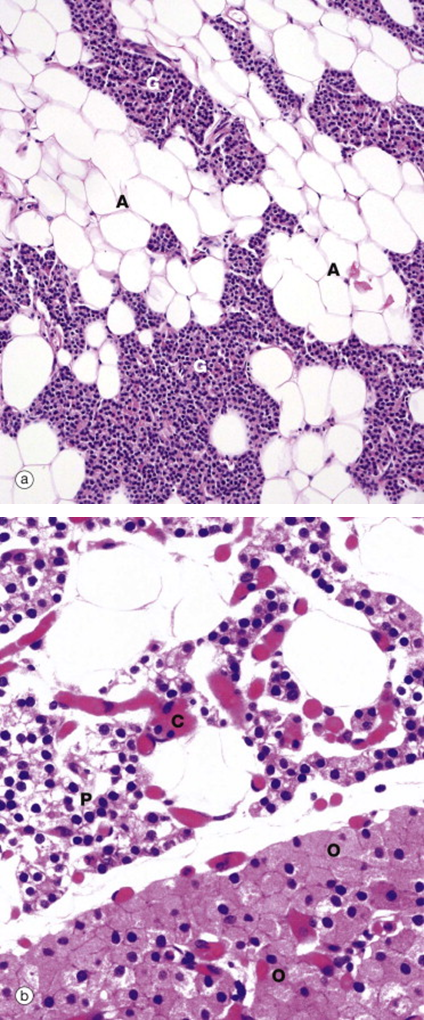
Where are these tissue samples taken from?

Parathyroid. Recognize from the presence of adipocytes.
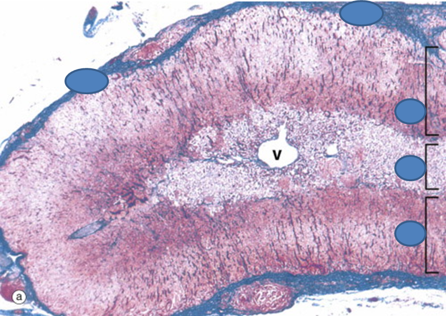
Identify the portions of this tissue. What is this gland?

Adrenal Gland

Cap: Capsule
C: Cortex
M: Medulla
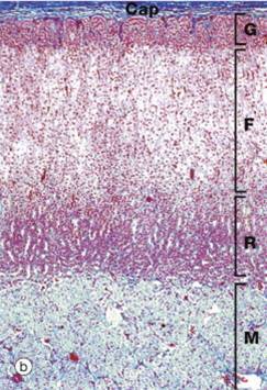
Identify the layers of the Adrenal gland shown.

•Capsule (Cap)
•Cortex
–Three zones:
•Zona glomerulosa (G)
•Zona fasciculata (F)
•Zona reticularis (R)
•Medulla (M)

Where is this from? What layers are shown?

adrenal gland
Z. Reticularis
Medulla