Vólvulo Cecal Flashcards

(3 cards)

1
Q
A

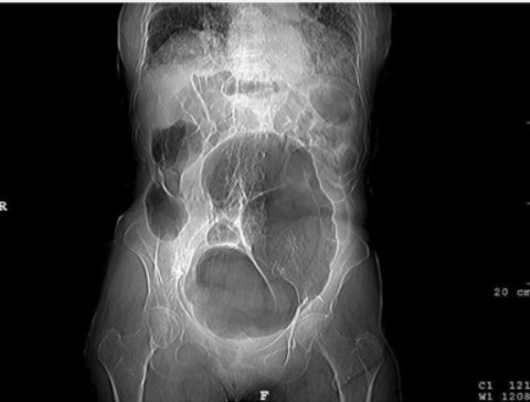
Vólvulo Cecal

  • Estructura llena de aire en forma de riñón en Radiografia Abdominal
How well did you know this?
1
Not at all
2
3
4
5
Perfectly
2
Q

¿ Cuál es el estudio de elección para confirmar el diagnóstico de un vólvulo cecal ?

A

TAC abdominal

How well did you know this?
1
Not at all
2
3
4
5
Perfectly
3
Q

¿ Cuál es el tratamiento recomendado del vólvulo de ciego ?

A
  • Quirúrgico ; el procedimiento de elección es hemicolectomia derecha y anastomosis primaria ileocólica

En ancianos evitar cirugía ; hacer cecopexia

How well did you know this?
1
Not at all
2
3
4
5
Perfectly