Volvulus Flashcards

(23 cards)

1
Q

What is a volvulus?

A
  • Twisting of a loop of bowel
  • Around its mesenteric attachment
How well did you know this?
1
Not at all
2
3
4
5
Perfectly
2
Q

Why is a volvulus bad?

A
  • Surgical emergency
  • Closed loop bowel obstruction forms within affected segment
  • Compromise of blood supply due to twisting
  • Rapidly leads to bowel necrosis and perforation
How well did you know this?
1
Not at all
2
3
4
5
Perfectly
3
Q

Where do most volvulus occur and why?

A
  • Sigmoid colon due to its long mesentery
  • = prone to twist
  • Other sites inc stomach, caecum, small intestine and transverse colon
How well did you know this?
1
Not at all
2
3
4
5
Perfectly
4
Q

RF for volvulus

A
  • Advanced age
  • Neurological disorders eg Parkinsons or vascular dementia
  • Psychiatric disease - on antipsychotics esp
  • Reduced mobility
  • Male
How well did you know this?
1
Not at all
2
3
4
5
Perfectly
5
Q

Why are all these risk factors increasing the risk?

A
  • Increase chance of chronic constipation and slow transit time
  • = redundant sigmoid colon (longer than space to fit)
  • = prone to twist
How well did you know this?
1
Not at all
2
3
4
5
Perfectly
6
Q

Symptoms of sigmoid volvulus

A
  • Abdominal distension
  • Absolute constipation
  • Varying degrees of abdominal pain
  • Then vomitting secondary to obstruction later
How well did you know this?
1
Not at all
2
3
4
5
Perfectly
7
Q

Compared to other causes of bowel obstruction, how do symptoms differ?

A
  • Rapid onset - over a few hours
  • Degree of abdominal distension - very
How well did you know this?
1
Not at all
2
3
4
5
Perfectly
8
Q

Examination of volvulus

A
  • Distended abdomen
  • Tympanic to percussion
  • Localised tenderness
  • Peritonism = ?bowel ischaemia developing
How well did you know this?
1
Not at all
2
3
4
5
Perfectly
9
Q

Sigmoid volvulus x-ray

A

Often done first line even though less sensitive than CT

Coffee bean sign
How well did you know this?
1
Not at all
2
3
4
5
Perfectly
10
Q

Management of all patients with volvulus

A
  • IV fluids - resuscitation
  • NG tibe esp if vomitting
  • Urinary cathter for fluid balance
  • Analgesia
  • Correct electrolytes
How well did you know this?
1
Not at all
2
3
4
5
Perfectly
11
Q

Bedside and bloods for ?volvulus

A
  • FBC
  • U&E
  • CRP
  • Clotting screen
  • VBG - pH and lactate - bowel ischaemia?
How well did you know this?
1
Not at all
2
3
4
5
Perfectly
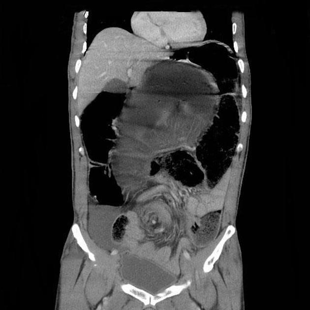
12
Q

Imaging for volvulus sigmoid

A
  • CT abdomen pelvis + IV contrast
  • = very dilated sigmoid colon with whirl sign
  • Also allows to check for bowel ischaemia, if ileocaecal valve is incompetent = signs of SBO
How well did you know this?
1
Not at all
2
3
4
5
Perfectly
13
Q

Conservative management sigmoid volvulus

A
  • Decompression via sigmoidoscope and insertion of flatus tube
How well did you know this?
1
Not at all
2
3
4
5
Perfectly
14
Q

How is sigmoidoscope decompression done?

A
  • Patient placed in left lateral position
  • Lubricated sigmoidoscope into rectum - often need to use flexible one instead of rigid as difficult
  • Manoeuvered to locate the twisted bowel
  • Gentle pressure to untwist the volvulus
  • When in correct position - rush of air and liquid faeces as obstruction is relieved
How well did you know this?
1
Not at all
2
3
4
5
Perfectly
15
Q

What is the flatus tube for?

A
  • Left in situ for up to 24hrs after initial decompression
  • Allows for continued passage of contents and aid recovery of affected area
How well did you know this?
1
Not at all
2
3
4
5
Perfectly
16
Q

When is surgery for volvulus needed?

A
  • Evidence of bowel ischaemia
  • Perforation
  • Repeated failed endoscopic decompression
17
Q

Surgery for sigmoid volvulus

A
  • Sigmoid colectomy - often as Hartmanns procedure via laparotomy
  • Primary anastomosis not advised as co-morbid and frail
18
Q

What happens if patients get recurrent volvulus?

A
  • May choose to have elective surgery
  • Sigmoid colectomy with primary anastomosis or end colostomy
  • Balance risk of recurrence with risk of surgery
19
Q

Complications of volvulus

A
  • Bowel ischaemia
  • Bowel perforation
20
Q

Ages that caecal volvulus affects

A
  • Bimodal
  • 10-29 - may have intestinal malformation or sometimes excessive exercise
  • 60-79
21
Q

Managament caecal volvulus

A
  • Right hemicolectomy
22
Q

Imaging for caecal volvulus

A
  • CT abdomen pelvis
  • Distended caecum, mesenteric whirl and SBO