W7 lecture Flashcards

(18 cards)

1
Q

What is this?

A

Articulator - occludor

How well did you know this?
1
Not at all
2
3
4
5
Perfectly
2
Q

What is this?

A

Articulator – average articulator

How well did you know this?
1
Not at all
2
3
4
5
Perfectly
3
Q

What is this?

A

Articulator – average articulator

How well did you know this?
1
Not at all
2
3
4
5
Perfectly
4
Q

What is this?

A

Articulator – individual articulator

How well did you know this?
1
Not at all
2
3
4
5
Perfectly
5
Q

What is this?

A

Articulator – individual articulator

How well did you know this?
1
Not at all
2
3
4
5
Perfectly
6
Q

These are 3 guiding surfaces

A

Incisor and canine guidance

How well did you know this?
1
Not at all
2
3
4
5
Perfectly
7
Q

What is this?

A

Average mounting of the casts

How well did you know this?
1
Not at all
2
3
4
5
Perfectly
8
Q

What is this?

A

Facebow

How well did you know this?
1
Not at all
2
3
4
5
Perfectly
9
Q

What is happening here?

A

Individual mountig of the casts

How well did you know this?
1
Not at all
2
3
4
5
Perfectly
10
Q

What do these pictures indicate?

A

Different maxilla positions

How well did you know this?
1
Not at all
2
3
4
5
Perfectly
11
Q

What are 2 things we need to use for jaw relation?

A
  1. Wax rim
  2. Gothic arch tracer
How well did you know this?
1
Not at all
2
3
4
5
Perfectly
12
Q

What does this slide indicate?

A

Jaw relation adjustment with wax rims

How well did you know this?
1
Not at all
2
3
4
5
Perfectly
13
Q

What does this slide indicate?

A

Jaw relation adjustment with wax rims

How well did you know this?
1
Not at all
2
3
4
5
Perfectly
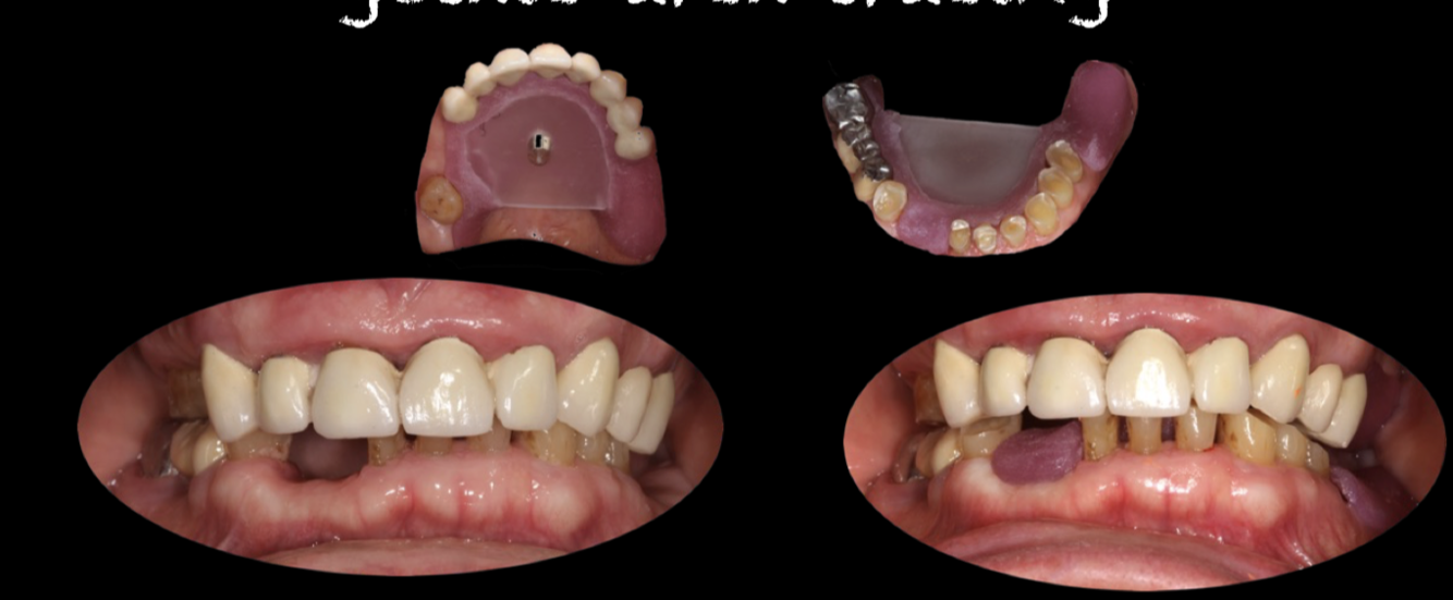
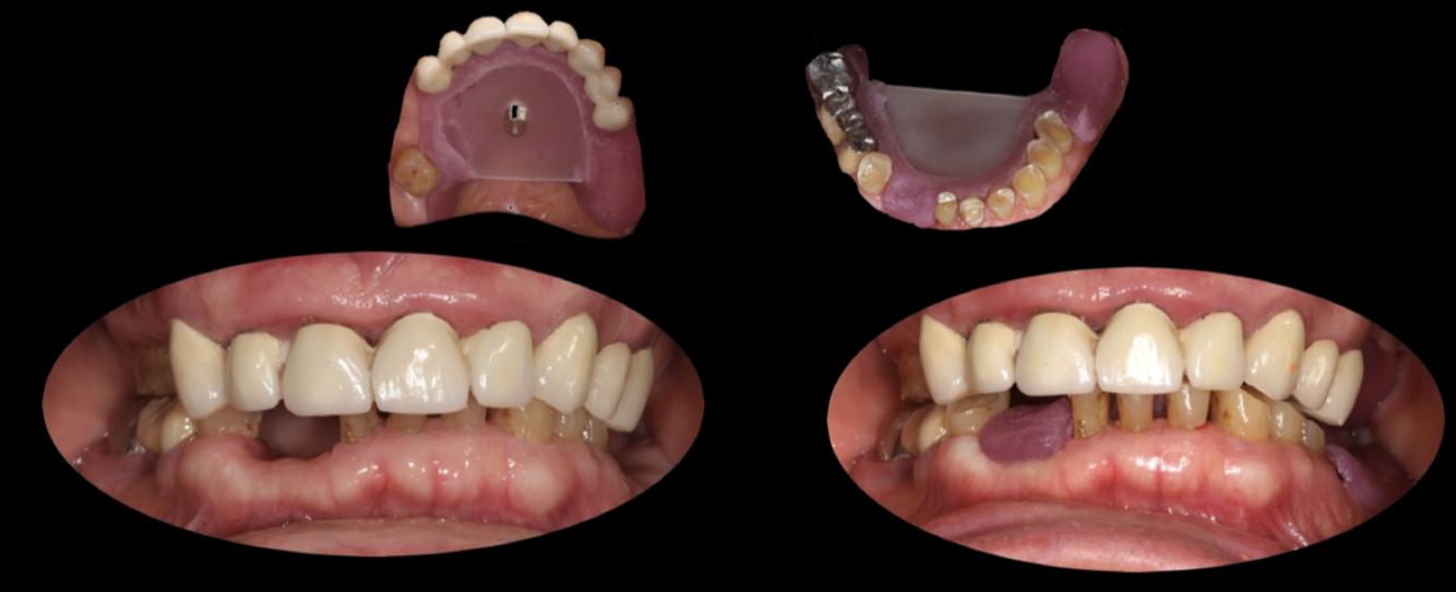
14
Q

What does this slide indicate?

A

Jaw relation adjustment with gothic arch tracing

How well did you know this?
1
Not at all
2
3
4
5
Perfectly
15
Q

What does this slide indicate?

A

Jaw relation adjustment with gothic arch tracing

How well did you know this?
1
Not at all
2
3
4
5
Perfectly
16
Q

What are individual movements that you can see?

A

average – individual

17
Q

What is this?

18
Q

Compare average and individual articulators

A

The average articulator works well only in few cases, even in these cases woul work only in case of individual mounting (with facebow) 100%!