WBC Function Flashcards

(16 cards)

1
Q

Neutrophil function

A

Majority of peripheral WBCs
Phagocytosis
Destruction of microorganisms
Contain pyrogen

How well did you know this?
1
Not at all
2
3
4
5
Perfectly
2
Q

Eosinophil function

A

Allgery
Parasitic infection
Inflammation (asthma)
Phagocytosis

How well did you know this?
1
Not at all
2
3
4
5
Perfectly
3
Q

Basophil function

A

Inflammation
Hypersensitivity
Anaphylaxis - IgE receptors, Degranulation, Vasoactive, bronchoconstrictive, chemotatic
Tissue Basophil = mast cell

How well did you know this?
1
Not at all
2
3
4
5
Perfectly
4
Q

T cells

A

Precursors migrate to Thymus and matures here
Helper, suppressor, cytotoxic - different T cell forms
60-80% of peripheral blood lymphs
Markers: Tdt, CD4, CD8
NK cells can kill foreign antigens without antibodies

How well did you know this?
1
Not at all
2
3
4
5
Perfectly
5
Q

B cells

A

Bone marrow
Antibody production
Markers: Surface Ig, CD34, CD19

How well did you know this?
1
Not at all
2
3
4
5
Perfectly
6
Q

Monocyte

A

Phagocytosis
Inhibit bacterial growth
Removes old cells
Antigen processing - involved with innate and adaptive
Scavenger
Primarily a tissue cell

How well did you know this?
1
Not at all
2
3
4
5
Perfectly
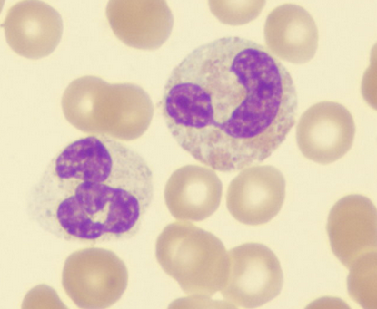
7
Q
A

Hypersegmented Neutrophils
5-6 lobes
Response to infection

How well did you know this?
1
Not at all
2
3
4
5
Perfectly
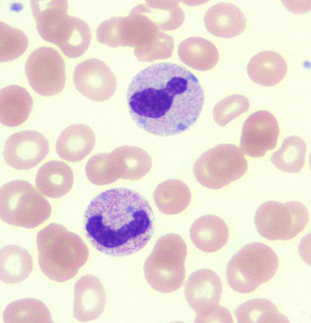
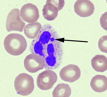
8
Q
A

Hypsegmented Neutrophils
Normal function
Two lobes connected with thin filament

How well did you know this?
1
Not at all
2
3
4
5
Perfectly
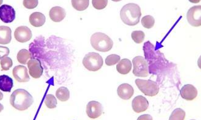
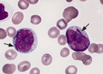
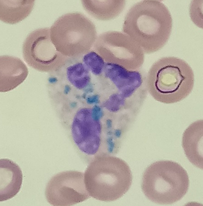
9
Q
A

Dohle Bodies
Aggregates of Endoplasmic Reticulum
Toxic change

How well did you know this?
1
Not at all
2
3
4
5
Perfectly
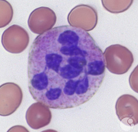
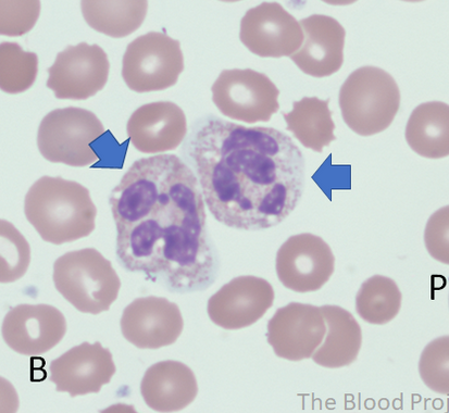
10
Q
A

Toxic Granulation
Associated with infection
Granules stain with dark-blue/black

How well did you know this?
1
Not at all
2
3
4
5
Perfectly
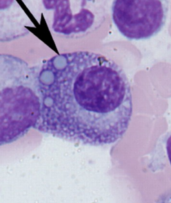
11
Q
A

Vacuoles
Associated with infection, artefact, fat, end stage of microogranism digestion

How well did you know this?
1
Not at all
2
3
4
5
Perfectly
12
Q
A

Auer Rods
Fused Lysosomes

How well did you know this?
1
Not at all
2
3
4
5
Perfectly
13
Q
A

Smudge/Basket Cells
Broken cells
Use Albumin to coat WBC to perform differential
May be artefact
>10/100 WBC

How well did you know this?
1
Not at all
2
3
4
5
Perfectly
14
Q
A

Russell Bodies - Plasma cells
Immunoglobulin
Mott Cell - lots of vacuoles inside
Flame Cell - Associated with IgA

How well did you know this?
1
Not at all
2
3
4
5
Perfectly
15
Q
A

Barr Bodies - no note for differential
“Drumsticks” appearance
Females most notably

How well did you know this?
1
Not at all
2
3
4
5
Perfectly
16
Q
A

Blue-green Crystals
Necrotic hepatocytes in setting of acute liver failure